JavaScript is disabled in your browser. Please enable JavaScript to view this website.
AB112145

Mitochondrial Staining Kit - Red Fluorescence - Cytopainter

Be the first to review this product! Submit a review

|

(9 Publications)

Abcam's fluorescence imaging kits are a set of fluorescence imaging tools for labeling sub-cellular organelles such as lysosomes, mitochondria, and actin filaments.
1 Images
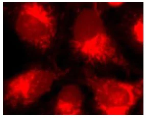
Fluorescence Microscopy - Mitochondrial Staining Kit - Red Fluorescence - Cytopainter (AB112145)
  • Fluorescence Microscopy

Supplier Data

Fluorescence Microscopy - Mitochondrial Staining Kit - Red Fluorescence - Cytopainter (AB112145)

Image of U2OS cells stained with ab112145 in a black 96-well plate.

Key facts

Sample types

Suspension cells, Adherent cells

Assay type

Cell-based

Assay Platform

Fluorescence microscope

Product details

Abcam's fluorescence imaging kits are a set of fluorescence imaging tools for labeling sub-cellular organelles such as lysosomes, mitochondria, and actin filaments. The selective staining of cell compartments provides a powerful method for studying cellular events in a spatial and temporal context.

ab112145 is designed to label mitochondria in live cells with red fluorescence. The kit uses our proprietary dye that selectively accumulates in mitochondria probably via the mitochondrial membrane potential gradient. The red fluorescent mitochondrial stain used in the kit has Ex/Em = 580/600 nm. The mitochondrial indicator, a hydrophobic compound, easily permeates intact live cells and becomes trapped in mitochondria after it gets into cells. This fluorescent mitochondrial indicator is retained in mitochondria for a long time since it carries a cell-retaining group. This key feature significantly increases the staining efficiency.

ab112145 can be readily adapted for many different types of fluorescence platforms, such as microplate assays, immunocytochemistry and flow cytometry. It is useful for a variety of studies, including cell adhesion, chemotaxis, multidrug resistance, cell viability, apoptosis and cytotoxicity. The kit provides all the essential components and can be used for both proliferating and non-proliferating cells.

Review other dyes and kits for mitochondrial staining, or the live cell staining fluorescent dyes guide.

Mitochondria are membrane-enclosed organelles found in most eukaryotic cells. Mitochondria are sometimes described as "cellular power plants" because they generate most of the cellular supply of ATP. In addition to supplying cellular energy, mitochondria are involved in a range of other processes, such as signaling, cellular differentiation, cell death, as well as the control of the cell cycle and cell growth. Mitochondria have been implicated in several human diseases, including mitochondrial disorders and cardiac dysfunction, and may play a role in the aging process. Although most of a cellular DNA is contained in the cell nucleus, the mitochondrion has its own independent genome.

What's included?

{ "values": { "500Test": { "sellingSize": "500 Test", "publicAssetCode":"ab112145-500Test", "assetComponentDetails": [ { "size":"1 x 50 mL", "name":"Live Cell Staining Buffer", "number":"AB112145-CMP01", "productcode":"" }, { "size":"1 x 100 µL", "name":"MitoRed Indicator", "number":"AB112145-CMP02", "productcode":"" } ] } } }

Properties and storage information

Shipped at conditions
Blue Ice
Appropriate short-term storage conditions
-20°C
Appropriate long-term storage conditions
-20°C
Storage information
-20°C

Product protocols

Target data

Publications (9)

Recent publications for all applications. Explore the full list and refine your search

Neuroscience bulletin 38:1025-1040 PubMed35570231

2022

Naturally-Occurring Antibodies Against Bim are Decreased in Alzheimer's Disease and Attenuate AD-type Pathology in a Mouse Model.

Applications

Unspecified application

Species

Unspecified reactive species

Jie-Ming Jian,Dong-Yu Fan,Ding-Yuan Tian,Yuan Cheng,Pu-Yang Sun,Cheng-Rong Tan,Gui-Hua Zeng,Chen-Yang He,Ye-Ran Wang,Jie Zhu,Xiu-Qing Yao,Yan-Jiang Wang,Yu-Hui Liu

Reproduction, fertility, and development 34:736-750 PubMed35513370

2022

-Acetylcysteine improves oocyte quality through modulating the Nrf2 signaling pathway to ameliorate oxidative stress caused by repeated controlled ovarian hyperstimulation.

Applications

Unspecified application

Species

Unspecified reactive species

Lijie Fan,Fengli Guan,Yucong Ma,Yu Zhang,Li Li,Ying Sun,Can Cao,Huilan Du,Ming He

Frontiers in physiology 13:837798 PubMed35360240

2022

Sleeve Gastrectomy-Induced AMPK Activation Attenuates Diabetic Cardiomyopathy by Maintaining Mitochondrial Homeostasis NR4A1 Suppression in Rats.

Applications

Unspecified application

Species

Unspecified reactive species

Songhan Li,Shuohui Dong,Qian Xu,Bowen Shi,Linchuan Li,Wenjie Zhang,Jiankang Zhu,Yugang Cheng,Guangyong Zhang,Mingwei Zhong

Frontiers in molecular biosciences 8:806650 PubMed35096971

2022

Accumulated ROS Activates HIF-1α-Induced Glycolysis and Exerts a Protective Effect on Sensory Hair Cells Against Noise-Induced Damage.

Applications

Unspecified application

Species

Unspecified reactive species

Shuo Liang,Shuohui Dong,Wenwen Liu,Man Wang,Shanshan Tian,Yu Ai,Haibo Wang

Nutrients 12: PubMed32443555

2020

Sesamol Increases Ucp1 Expression in White Adipose Tissues and Stimulates Energy Expenditure in High-Fat Diet-Fed Obese Mice.

Applications

Unspecified application

Species

Unspecified reactive species

Dong Ho Lee,Seo-Hyuk Chang,Dong Kwon Yang,No-Joon Song,Ui Jeong Yun,Kye Won Park

Neuroscience 416:268-280 PubMed31425734

2019

ROS-Mediated Mitochondrial Dysfunction and ER Stress Contribute to Compression-Induced Neuronal Injury.

Applications

Unspecified application

Species

Unspecified reactive species

Tao Chen,Jie Zhu,Yu-Hai Wang,Chun-Hua Hang

International journal of molecular sciences 20: PubMed30577593

2018

Oxyresveratrol Increases Energy Expenditure through Foxo3a-Mediated Ucp1 Induction in High-Fat-Diet-Induced Obese Mice.

Applications

Unspecified application

Species

Unspecified reactive species

Jin Hee Choi,No-Joon Song,A Reum Lee,Dong Ho Lee,Min-Ju Seo,Suji Kim,Seo-Hyuk Chang,Dong Kwon Yang,Yu-Jin Hwang,Kyung-A Hwang,Tal Soo Ha,Ui Jeong Yun,Kye Won Park

Neural regeneration research 13:1981-1987 PubMed30233073

2018

polypeptide protects dopaminergic neurons from apoptosis induced by rotenone and 6-hydroxydopamine.

Applications

Unspecified application

Species

Unspecified reactive species

Su Peng,Li Xu,Jin-Yu Ma,Xiao-Song Gu,Cheng Sun

Nature chemical biology 12:479-81 PubMed27159578

2016

Prdm4 induction by the small molecule butein promotes white adipose tissue browning.

Applications

Unspecified application

Species

Unspecified reactive species

No-Joon Song,Seri Choi,Prashant Rajbhandari,Seo-Hyuk Chang,Suji Kim,Laurent Vergnes,So-Mi Kwon,Jung-Hoon Yoon,Sukchan Lee,Jin-Mo Ku,Jeong-Soo Lee,Karen Reue,Seung-Hoi Koo,Peter Tontonoz,Kye Won Park
View all publications
websiteProtocolBooklet
en

Product promise

We are committed to supporting your work with high-quality reagents, and we're here for you every step of the way. In the unlikely event that one of our products does not perform as expected, you're protected by our Product Promise.
For full details, please see our Terms & Conditions

Please note: All products are 'FOR RESEARCH USE ONLY. NOT FOR USE IN DIAGNOSTIC OR THERAPEUTIC PROCEDURES'.

For licensing inquiries, please contact partnerships@abcam.com