JavaScript is disabled in your browser. Please enable JavaScript to view this website.
AB245884

Movat Pentachrome Stain Kit (Modified Russell-Movat)

Be the first to review this product! Submit a review

|

(16 Publications)

Movat Pentachrome stain kit (modified Russell-Movat) ab245884 is used to stain for collagen, elastin, muscle, mucin, and fibrin in tissue sections.

- Suitable for formalin-fixed paraffin-embedded sections
2 Images
Immunohistochemistry (Formalin/PFA-fixed paraffin-embedded sections) - Movat Pentachrome Stain Kit (Modified Russell-Movat) (AB245884)
  • IHC-P

Supplier Data

Immunohistochemistry (Formalin/PFA-fixed paraffin-embedded sections) - Movat Pentachrome Stain Kit (Modified Russell-Movat) (AB245884)

ab245884 Movat Pentachrome Stain Kit (Modified Russell-Movat) staining formalin-fixed-paraffin embedded lung tissue.

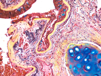
Immunohistochemistry (Formalin/PFA-fixed paraffin-embedded sections) - Movat Pentachrome Stain Kit (Modified Russell-Movat) (AB245884)
  • IHC-P

Supplier Data

Immunohistochemistry (Formalin/PFA-fixed paraffin-embedded sections) - Movat Pentachrome Stain Kit (Modified Russell-Movat) (AB245884)

ab245884 Movat Pentachrome Stain Kit (Modified Russell-Movat) staining formalin-fixed-paraffin embedded human skin tissue.

Key facts

Sample types

Tissue sections

Product details

How the assay works

Movat Pentachrome Stain Kit (Modified Russell-Movat) is particularly useful when studying the heart, blood vessels and various vascular diseases.

Elastic Fibers: Black to Blue/Black
Nuclei: Blue/Black
Collagen: Yellow
Reticular Fibers: Yellow
Mucin: Bright Blue
Fibrin: Bright Red
Muscle: Red

Movat Pentachrome Stain Kit (Modified Russell-Movat) protocol summary

- Entire tissue is initially overstained with a Verhoeff-type working Elastic Stain Solution which contains unoxidized Hematoxylin, an oxidizer (Ferric Chloride) and a mordant (Iodine).
- Excess elastin stain is then removed from tissue using a dilute Ferric Chloride solution that differentiates elastin and nuclei (black) from the rest of the tissue.
- Alcian blue, a copper phthalocyanine dye, is then used to bind acid mucins providing bright blue color.
- A trichrome-type of staining using Biebrich Scarlet/Acid, Phosphotungstic Acid, and a proprietary Yellow Stain Solution, is then employed giving red muscle and yellow collagen.

What's included?

{ "values": { "250mL": { "sellingSize": "250 mL", "publicAssetCode":"ab245884-250mL", "assetComponentDetails": [ { "size":"1 x 125 mL", "name":"Lugol’s Iodine Solution", "number":"AB245884-CMP08" }, { "size":"1 x 125 mL", "name":"Alcian Blue Solution, pH 2.5", "number":"AB245884-CMP06" }, { "size":"1 x 125 mL", "name":"Acetic Acid Solution (1%)", "number":"AB245884-CMP01" }, { "size":"1 x 250 mL", "name":"Ferric Chloride (2%) Differentiating Solution", "number":"AB245884-CMP03" }, { "size":"1 x 125 mL", "name":"Yellow Stain Solution", "number":"AB245884-CMP10" }, { "size":"1 x 250 mL", "name":"Hematoxylin Solution (5%)", "number":"AB245884-CMP07" }, { "size":"1 x 250 mL", "name":"Phosphotungstic Acid Solution (5%)", "number":"AB245884-CMP09" }, { "size":"1 x 125 mL", "name":"Sodium Thiosulfate Solution (5%)", "number":"AB245884-CMP05" }, { "size":"1 x 125 mL", "name":"Ferric Chloride Solution (10%)", "number":"AB245884-CMP04" }, { "size":"1 x 125 mL", "name":"Biebrich Scarlet/Acid Fuchsin Solution", "number":"AB245884-CMP02" } ] }, "60mL": { "sellingSize": "60 mL", "publicAssetCode":"ab245884-60mL", "assetComponentDetails": [ { "size":"1 x 30 mL", "name":"Lugol’s Iodine Solution", "number":"AB245884-CMP08" }, { "size":"1 x 30 mL", "name":"Alcian Blue Solution, pH 2.5", "number":"AB245884-CMP06" }, { "size":"1 x 30 mL", "name":"Acetic Acid Solution (1%)", "number":"AB245884-CMP01" }, { "size":"1 x 30 mL", "name":"Sodium Thiosulfate Solution (5%)", "number":"AB245884-CMP05" }, { "size":"1 x 60 mL", "name":"Ferric Chloride (2%) Differentiating Solution", "number":"AB245884-CMP03" }, { "size":"1 x 30 mL", "name":"Biebrich Scarlet/Acid Fuchsin Solution", "number":"AB245884-CMP02" }, { "size":"1 x 60 mL", "name":"Phosphotungstic Acid Solution (5%)", "number":"AB245884-CMP09" }, { "size":"1 x 30 mL", "name":"Ferric Chloride Solution (10%)", "number":"AB245884-CMP04" }, { "size":"1 x 60 mL", "name":"Hematoxylin Solution (5%)", "number":"AB245884-CMP07" }, { "size":"1 x 30 mL", "name":"Yellow Stain Solution", "number":"AB245884-CMP10" } ] }, "250mL": { "sellingSize": "250 mL", "publicAssetCode":"ab245884-250mL", "assetComponentDetails": [ { "size":"1 x 125 mL", "name":"Lugol’s Iodine Solution", "number":"AB245884-CMP08", "productcode":"" }, { "size":"1 x 125 mL", "name":"Alcian Blue Solution, pH 2.5", "number":"AB245884-CMP06", "productcode":"" }, { "size":"1 x 125 mL", "name":"Biebrich Scarlet/Acid Fuchsin Solution", "number":"AB245884-CMP02", "productcode":"" }, { "size":"1 x 125 mL", "name":"Ferric Chloride Solution (10%)", "number":"AB245884-CMP04", "productcode":"" }, { "size":"1 x 125 mL", "name":"Sodium Thiosulfate Solution (5%)", "number":"AB245884-CMP05", "productcode":"" }, { "size":"1 x 250 mL", "name":"Phosphotungstic Acid Solution (5%)", "number":"AB245884-CMP09", "productcode":"" }, { "size":"1 x 250 mL", "name":"Hematoxylin Solution (5%)", "number":"AB245884-CMP07", "productcode":"" }, { "size":"1 x 125 mL", "name":"Yellow Stain Solution", "number":"AB245884-CMP10", "productcode":"" }, { "size":"1 x 250 mL", "name":"Ferric Chloride (2%) Differentiating Solution", "number":"AB245884-CMP03", "productcode":"" }, { "size":"1 x 125 mL", "name":"Acetic Acid Solution (1%)", "number":"AB245884-CMP01", "productcode":"" } ] } } }

Properties and storage information

Shipped at conditions
Ambient - Can Ship with Ice
Appropriate short-term storage conditions
Ambient
Appropriate long-term storage conditions
Ambient
Storage information
Ambient

Supplementary information

This supplementary information is collated from multiple sources and compiled automatically.

Movat Pentachrome Staining also known as Movat's stain is a distinctive histological staining technique designed to visualize various tissue components in a single tissue section. Mechanically Movat Pentachrome Staining highlights elements such as collagen elastin muscle and mucin. This comprehensive staining technique employs dyes that bind to specific macromolecules within the tissues allowing clear differentiation. Many laboratories use it to analyze connective tissue structure in biological samples. The stain enables clear visualization of tissue architecture particularly useful in vascular and connective tissue studies.
Biological function summary

Movat Pentachrome Staining offers insights into the complex structure of tissue samples by identifying different components within the extracellular matrix. By staining collagen and elastin with distinct colors the stain aids in analyzing structural integrity and tissue remodeling. It is not specific to a protein complex but provides an overall assessment of tissue architecture and pathology. Researchers often apply it to understand the composition and changes in tissue components in various biological contexts.

Pathways

Interactions within connective tissue matrices can be better understood using Movat Pentachrome in studies of structural remodeling. It allows exploration of pathways such as the extracellular matrix (ECM) organization and integrin signaling pathways. The ability to differentiate collagen from elastin facilitates the study of proteins like collagenases and elastases which play roles in ECM degradation and remodeling. Such pathways are essential in processes like wound healing and tissue development where changes in connective tissue structure are critical.

Movat Pentachrome Staining plays a role in diagnosing cardiovascular and connective tissue diseases. It helps characterize vascular pathologies such as atherosclerosis by clearly displaying arterial wall components. Additionally the stain assists in examining diseases like fibrosis where excess collagen deposition is a concern. Through its ability to visualize tissue components it connects to proteins like matrix metalloproteinases which are involved in the progression of these diseases by influencing extracellular matrix turnover and tissue integrity.

Product protocols

Target data

Publications (16)

Recent publications for all applications. Explore the full list and refine your search

The Journal of clinical investigation 135: PubMed40519164

2025

Hemodynamic forces prevent myxomatous valve disease in mice through KLF2/4 signaling.

Applications

Unspecified application

Species

Unspecified reactive species

Jesse A Pace,Lauren M Goddard,Courtney C Hong,Liqing Wang,Jisheng Yang,Mei Chen,Yitian Xu,Martin H Dominguez,Siqi Gao,Xiaowen Chen,Patricia Mericko-Ishizuka,Can Tan,Tsutomu Kume,Wenbao Yu,Kai Tan,Wayne W Hancock,Giovanni Ferrari,Mark L Kahn

Molecular and cellular biochemistry 480:5181-5195 PubMed40411734

2025

Radial artery intima-media thickening is a sensitive marker of atherosclerosis and coronary artery stenosis, a lesson from a 6-year study of a spontaneous monkey model.

Applications

Unspecified application

Species

Unspecified reactive species

Jue Wang,Wen Zheng,Haibao Shang,Lin Pan,Ye Yuan,Wenli Chen,Chunguang Guo,Shihan Li,Xueting Sun,Jing Guo,Xiuqin Zhang

iScience 27:110985 PubMed39391739

2024

Optimized intravital three-photon imaging of intact mouse tibia links plasma cell motility to functional states.

Applications

Unspecified application

Species

Unspecified reactive species

Asylkhan Rakhymzhan,Alexander F Fiedler,Robert Günther,Scott R Domingue,Laura Wooldridge,Ruth Leben,Yu Cao,Anne Bias,Jay Roodselaar,Ralf Köhler,Carolin Ulbricht,Judith Heidelin,Volker Andresen,Ingeborg Beckers,Astrid Haibel,Georg Duda,Anja E Hauser,Raluca A Niesner

Frontiers in bioengineering and biotechnology 12:1440181 PubMed39234270

2024

Electrospun bioresorbable polymer membranes for coronary artery stents.

Applications

Unspecified application

Species

Unspecified reactive species

Maria A Rezvova,Evgeny A Ovcharenko,Kirill Yu Klyshnikov,Tatiana V Glushkova,Alexander E Kostyunin,Daria K Shishkova,Vera G Matveeva,Elena A Velikanova,Amin R Shabaev,Yulia A Kudryavtseva

Science advances 10:eadi6286 PubMed39167642

2024

Cellular stiffness sensing through talin 1 in tissue mechanical homeostasis.

Applications

Unspecified application

Species

Unspecified reactive species

Manasa Chanduri,Abhishek Kumar,Dar Weiss,Nir Emuna,Igor Barsukov,Miusi Shi,Keiichiro Tanaka,Xinzhe Wang,Amit Datye,Jean Kanyo,Florine Collin,TuKiet Lam,Udo D Schwarz,Suxia Bai,Timothy Nottoli,Benjamin T Goult,Jay D Humphrey,Martin A Schwartz

Nature biomedical engineering 8:1285-1307 PubMed39085645

2024

Prevention and treatment of peri-implant fibrosis by functionally inhibiting skeletal cells expressing the leptin receptor.

Applications

Unspecified application

Species

Unspecified reactive species

Vincentius Jeremy Suhardi,Anastasia Oktarina,Mohammed Hammad,Yingzhen Niu,Qingdian Li,Andrew Thomson,Juan Lopez,Jason McCormick,Ugur M Ayturk,Matthew B Greenblatt,Lionel B Ivashkiv,Mathias P G Bostrom,Xu Yang

Nature 632:357-365 PubMed38987585

2024

A maternal brain hormone that builds bone.

Applications

Unspecified application

Species

Unspecified reactive species

Muriel E Babey,William C Krause,Kun Chen,Candice B Herber,Zsofia Torok,Joni Nikkanen,Ruben Rodriguez,Xiao Zhang,Fernanda Castro-Navarro,Yuting Wang,Erika E Wheeler,Saul Villeda,J Kent Leach,Nancy E Lane,Erica L Scheller,Charles K F Chan,Thomas H Ambrosi,Holly A Ingraham

PloS one 19:e0296264 PubMed38206912

2024

The intricate cellular ecosystem of human peripheral veins as revealed by single-cell transcriptomic analysis.

Applications

Unspecified application

Species

Unspecified reactive species

Miguel G Rojas,Zachary M Zigmond,Simone Pereira-Simon,Nieves Santos Falcon,Maya Suresh Kumar,Filipe F Stoyell-Conti,Christina Kosanovic,Anthony J Griswold,Alghidak Salama,Xiaofeng Yang,Marwan Tabbara,Roberto I Vazquez-Padron,Laisel Martinez

HSS journal : the musculoskeletal journal of Hospital for Special Surgery 19:402-406 PubMed37937093

2023

We Challenged the Kellgren and Lawrence Radiographic Scoring Method and Came Up With Some Interesting Epidemiology for Osteoarthritis of the Hip.

Applications

Unspecified application

Species

Unspecified reactive species

Nancy E Lane

JCI insight 8: PubMed37561588

2023

Vascular smooth muscle-specific YAP/TAZ deletion triggers aneurysm development in mouse aorta.

Applications

Unspecified application

Species

Unspecified reactive species

Marycarmen Arévalo Martínez,Olivia Ritsvall,Joakim Armstrong Bastrup,Selvi Celik,Gabriel Jakobsson,Fatima Daoud,Christopher Winqvist,Anders Aspberg,Catarina Rippe,Lars Maegdefessel,Alexandru Schiopu,Thomas A Jepps,Johan Holmberg,Karl Swärd,Sebastian Albinsson
View all publications
websiteProtocolBooklet
en

Product promise

We are committed to supporting your work with high-quality reagents, and we're here for you every step of the way. In the unlikely event that one of our products does not perform as expected, you're protected by our Product Promise.
For full details, please see our Terms & Conditions

Please note: All products are 'FOR RESEARCH USE ONLY. NOT FOR USE IN DIAGNOSTIC OR THERAPEUTIC PROCEDURES'.

For licensing inquiries, please contact partnerships@abcam.com