JavaScript is disabled in your browser. Please enable JavaScript to view this website.
AB150677

Mucicarmine Stain Kit (Mucin Stain)

Be the first to review this product! Submit a review

|

(5 Publications)

Mucicarmine (Mucin Stain) is intended for use in the histological visualization of acid mucopolysaccharides in tissue sections.

View Alternative Names

MUC5, MUC5AC, Mucin-5AC, MUC-5AC, Gastric mucin, Major airway glycoprotein, Tracheobronchial mucin, TBM

2 Images
Immunohistochemistry (Formalin/PFA-fixed paraffin-embedded sections) - Mucicarmine Stain Kit (Mucin Stain) (AB150677)
  • IHC-P

Supplier Data

Immunohistochemistry (Formalin/PFA-fixed paraffin-embedded sections) - Mucicarmine Stain Kit (Mucin Stain) (AB150677)

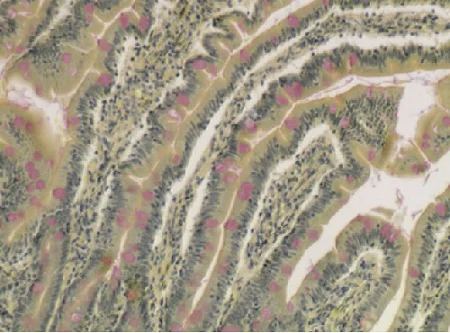
ab150677 Mucicarmine Stain Kit (Mucin Stain) staining formalin-fixed-paraffin embedded human GI tract.

Immunohistochemistry (Formalin/PFA-fixed paraffin-embedded sections) - Mucicarmine Stain Kit (Mucin Stain) (AB150677)
  • IHC-P

Supplier Data

Immunohistochemistry (Formalin/PFA-fixed paraffin-embedded sections) - Mucicarmine Stain Kit (Mucin Stain) (AB150677)

Staining using ab150677 - Mucicarmine Stain Kit.

Key facts

Product details

Mucicarmine (Mucin Stain) is intended for use in the histological visualization of acid mucopolysaccharides in tissue sections. This product is useful in distinguishing mucin negative undifferentiated squamous cell lesions from mucin positive adenocarcinomas. In addition, this product will stain the mucopolysaccharide capsule of Cryptococcus neoformans.

Other products for staining tissue sections

Find more kits and reagents in the special stains guide, or products for antigen retrieval, blocking, signal amplification, visualization, counterstaining, and mounting in the IHC kits and reagents guide.

Staining Interpretation

Mucin Pink/Red
Capsule of Cryptococcus Red
Nuclei Blue to Green
Other Tissue Components Yellow

Control Tissue: Colon, Intestine, Bronchial Epithelial Cells.

What's included?

{ "values": { "100Test": { "sellingSize": "100 Test", "publicAssetCode":"ab150677-100Test", "assetComponentDetails": [ { "size":"1 x 125 mL", "name":"Hematoxylin (Modified Mayer's Solution)", "number":"AB150677-CMP02", "productcode":"" }, { "size":"1 x 125 mL", "name":"Bluing Reagent", "number":"AB150677-CMP01", "productcode":"" }, { "size":"1 x 125 mL", "name":"Tartrazine solution", "number":"AB150677-CMP04", "productcode":"" }, { "size":"1 x 125 mL", "name":"Mucicamine solution", "number":"AB150677-CMP03", "productcode":"" } ] } } }

Properties and storage information

Shipped at conditions
Blue Ice
Appropriate short-term storage conditions
Ambient
Appropriate long-term storage conditions
Multi
Storage information
Please refer to protocols

Supplementary information

This supplementary information is collated from multiple sources and compiled automatically.

Acid mucopolysaccharides commonly called glycosaminoglycans (GAGs) are long unbranched polysaccharides. They have high molecular weight often ranging from hundreds of kilodaltons. These molecules are mainly composed of repeating disaccharide units with one of the sugars usually being an amino sugar like N-acetylglucosamine or N-acetylgalactosamine. Acid mucopolysaccharides express largely in connective tissues across the body such as cartilage bone skin and the extracellular matrix.
Biological function summary

Acid mucopolysaccharides function as key structural components in tissues aiding in resilience and tensile strength. They are also part of proteoglycan complexes where they covalently bind to core proteins. This binding contributes significantly to the physical properties of connective tissues like cartilage where they help to withstand compressive forces. Furthermore acid mucopolysaccharides participate in cellular signaling processes impacting cell growth and repair.

Pathways

These complex polysaccharides play important roles within the extracellular matrix organization and glycosaminoglycan degradation pathways. Their interactions with proteins such as collagen and elastin support tissue structure and flexibility. Furthermore enzymes like hyaluronidase and chondroitinase regulate their breakdown impacting tissue remodeling and cellular communication.

Abnormalities in acid mucopolysaccharides metabolism or storage can lead to mucopolysaccharidoses a group of lysosomal storage disorders. For example Hurler syndrome arises due to the accumulation of dermatan sulfate and heparan sulfate. The disease involves deficient activity of the enzyme alpha-L-iduronidase causing significant connective tissue malfunction. Such disorders may also connect with abnormal signaling through proteins like fibroblast growth factors influencing various developmental and degenerative conditions.

Product protocols

Target data

Gel-forming glycoprotein of gastric and respiratory tract epithelia that protects the mucosa from infection and chemical damage by binding to inhaled microorganisms and particles that are subsequently removed by the mucociliary system (PubMed : 14535999, PubMed : 14718370). Interacts with H.pylori in the gastric epithelium, Barrett's esophagus as well as in gastric metaplasia of the duodenum (GMD) (PubMed : 14535999).
See full target information MUC5AC

Additional targets

MUC2,MUC1,MUC16,MUC5B

Publications (5)

Recent publications for all applications. Explore the full list and refine your search

Journal of translational medicine 21:843 PubMed37996891

2023

Talniflumate abrogates mucin immune suppressive barrier improving efficacy of gemcitabine and nab-paclitaxel treatment in pancreatic cancer.

Applications

Unspecified application

Species

Unspecified reactive species

Antonio Agostini,Ilaria Guerriero,Geny Piro,Giuseppe Quero,Luca Roberto,Annachiara Esposito,Alessia Caggiano,Lorenzo Priori,Giulia Scaglione,Francesco De Sanctis,Antonella Sistigu,Martina Musella,Alberto Larghi,Gianenrico Rizzatti,Donatella Lucchetti,Sergio Alfieri,Alessandro Sgambato,Emilio Bria,Laura Bizzozero,Sabrina Arena,Stefano Ugel,Vincenzo Corbo,Giampaolo Tortora,Carmine Carbone

Gut microbiome (Cambridge, England) 3: PubMed36891249

2022

Impact of gut permeability on the breast microbiome using a non-human primate model.

Applications

Unspecified application

Species

Unspecified reactive species

Alaa Bawaneh,Carol A Shively,Janet Austin Tooze,Katherine Loree Cook

Asian journal of andrology 24:525-532 PubMed35042311

2022

Immunohistochemical analysis of PD-L1 and tumor-infiltrating immune cells expression in the tumor microenvironment of primary signet ring cell carcinoma of the prostate.

Applications

Unspecified application

Species

Unspecified reactive species

Qi-Liang Teng,Xin-Rui Yang,Shuang Wen,Zhi-Hong Dai,Hong-Long Wang,Tian-Qing Liu,Liang Wang,Bo Fan,Zhi-Yu Liu

PloS one 13:e0191524 PubMed29346438

2018

Colonization of the cervicovaginal space with Gardnerella vaginalis leads to local inflammation and cervical remodeling in pregnant mice.

Applications

Unspecified application

Species

Unspecified reactive species

Luz-Jeannette Sierra,Amy G Brown,Guillermo O Barilá,Lauren Anton,Carrie E Barnum,Snehal S Shetye,Louis J Soslowsky,Michal A Elovitz

Cancer cell international 17:106 PubMed29200966

2017

Microencapsulation of low-passage poorly-differentiated human mucoepidermoid carcinoma cells by alginate microcapsules: in vitro profiling of angiogenesis-related molecules.

Applications

Unspecified application

Species

Unspecified reactive species

Sen Yang,Li-Juan Guo
View all publications
websiteProtocolBooklet
en

Product promise

We are committed to supporting your work with high-quality reagents, and we're here for you every step of the way. In the unlikely event that one of our products does not perform as expected, you're protected by our Product Promise.
For full details, please see our Terms & Conditions

Please note: All products are 'FOR RESEARCH USE ONLY. NOT FOR USE IN DIAGNOSTIC OR THERAPEUTIC PROCEDURES'.

For licensing inquiries, please contact partnerships@abcam.com