JavaScript is disabled in your browser. Please enable JavaScript to view this website.
AB223796

Oil Red O (Lipid Stain) Solution

5

(1 Review)

|

(3 Publications)

Oil Red O (Lipid Stain) Solution is intended for use in the histological visualization of fat cells and neutral fat.
3 Images
Histology - Oil Red O (Lipid Stain) Solution (AB223796)
  • Histology

Lab

Histology - Oil Red O (Lipid Stain) Solution (AB223796)

Staining of 3T3-L1 and adipocyte-like cells using Oil Red O (Lipid Stain) Solution.

During adipocyte differentiation, cells accumulate lipid. Oil Red O (Lipid Stain) Solution (ab223796) was used to visualize lipid in 3T3-L1 cells (left) and adipocyte-like cells (right). As expected, lipid accumulates in 3T3-L1 cells after differentiation into adipocyte-like cells.

Histology - Oil Red O (Lipid Stain) Solution (AB223796)
  • Histology

Lab

Histology - Oil Red O (Lipid Stain) Solution (AB223796)

Staining of human skin using Oil Red O (Lipid Stain) Solution.

Oil Red O (Lipid Stain) Solution (ab223796) staining lipid deposits (red) in frozen normal human skin. The dermis is unstained, whereas the hypodermis is stained, demonstrating dye specificity. Hematoxylin (blue) is used as a counterstain.

*Tissue obtained from the Human Research Tissue Bank, supported by the NIHR Cambridge Biomedical Research Centre

Histology - Oil Red O (Lipid Stain) Solution (AB223796)
  • Histology

Supplier Data

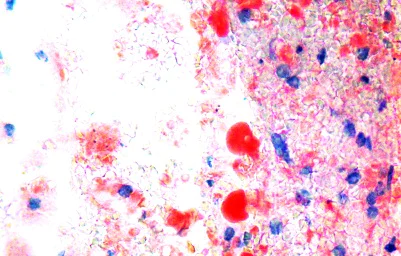
Histology - Oil Red O (Lipid Stain) Solution (AB223796)

Staining of Frozen Breast Tissue using Oil Red O (Lipid Stain) Solution

Key facts

Reactivity data

{ "title": "Reactivity Data", "filters": { "stats": ["", "Reactivity", "Dilution Info", "Notes"] }, "values": { "Histology": { "reactivity":"TESTED_AND_REACTS", "dilution-info":"", "notes":"<p></p>" } } }

Product details

Oil Red O (Lipid Stain) Solution is intended for use in the histological visualization of fat cells and neutral fat. This kit may be used ONLY on frozen tissue sections, fresh smears, or touch preps.

We also sell solid Oil Red O stain ab146295 if you wish to prepare your own solution.

Staining Interpretation

Fat Cells Red
Neutral Fat Red
Nuclei Blue

Control Tissue: Any frozen section containing fat.

What's included?

{ "values": { "100Test": { "sellingSize": "100 Test", "publicAssetCode":"ab223796-100Test", "assetComponentDetails": [ { "size":"1 x 125 mL", "name":"Oil Red O Solution", "number":"AB223796-CMP01", "productcode":"" } ] } } }

Properties and storage information

Shipped at conditions
Ambient - Can Ship with Ice
Appropriate short-term storage conditions
Ambient
Appropriate long-term storage conditions
Ambient
Storage information
Ambient

Product protocols

Publications (3)

Recent publications for all applications. Explore the full list and refine your search

Nutrients 8:102 PubMed26907332

2016

The Fto Gene Regulates the Proliferation and Differentiation of Pre-Adipocytes in Vitro.

Applications

Unspecified application

Species

Unspecified reactive species

Yang Jiao,Jingying Zhang,Lunjie Lu,Jiaying Xu,Liqiang Qin

Neuro-oncology 17:1599-608 PubMed26116612

2015

Fatty acid synthase is a metabolic oncogene targetable in malignant peripheral nerve sheath tumors.

Applications

Unspecified application

Species

Unspecified reactive species

Ami V Patel,Gunnar Johansson,Melissa C Colbert,Biplab Dasgupta,Nancy Ratner

Journal of vascular and interventional radiology : 24:1871-8 PubMed24144538

2013

Percutaneous intraportal application of adipose tissue-derived mesenchymal stem cells using a balloon occlusion catheter in a porcine model of liver fibrosis.

Applications

Unspecified application

Species

Pig

Rony Avritscher,Mohamed E Abdelsalam,Sanaz Javadi,Joe Ensor,Michael J Wallace,Eckhard Alt,David C Madoff,Jody V Vykoukal
View all publications
websiteProtocolBooklet
en

Product promise

We are committed to supporting your work with high-quality reagents, and we're here for you every step of the way. In the unlikely event that one of our products does not perform as expected, you're protected by our Product Promise.
For full details, please see our Terms & Conditions

Please note: All products are 'FOR RESEARCH USE ONLY. NOT FOR USE IN DIAGNOSTIC OR THERAPEUTIC PROCEDURES'.

For licensing inquiries, please contact partnerships@abcam.com