JavaScript is disabled in your browser. Please enable JavaScript to view this website.
AB133414

Optiblot SDS-PAGE Sample Preparation Kit

Be the first to review this product! Submit a review

|

(0 Publication)

The Optiblot SDS-PAGE Sample Preparation Kit (ab133414) provides a means to quickly concentrate protein samples, and separate them from buffers that interfere with electrophoresis.
1 Images
Western blot - Optiblot SDS-PAGE Sample Preparation Kit (AB133414)
  • WB

Supplier Data

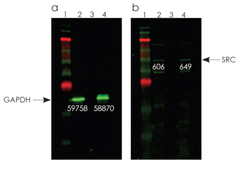
Western blot - Optiblot SDS-PAGE Sample Preparation Kit (AB133414)

Resin concentration is compatible with Western blot detection. Western blots were created with samples of A431 cell extract (panels a and b, lane 2), diluted cell extract (lane 3) and the diluted extract concentrated using the Optiblot SDS-PAGE Sample Preparation Kit protocol (lane 4). The blots were detected using the Optiblot Fluorescent Western Blot Kit (ab133410). No bands were detectable in the diluted cell extract when stained for either GAPDH (panel a, lane 3) or SRC (panel b, lane 3). However, after resin concentration, bands are easily visualized for both proteins (lanes 4). Band intensities are indicated.

false

Key facts

Reactivity data

{ "title": "Reactivity Data", "filters": { "stats": ["", "Reactivity", "Dilution Info", "Notes"] }, "values": { "Purification": { "reactivity":"TESTED_AND_REACTS", "dilution-info":"", "notes":"<p></p>" } } }

Product details

The Optiblot SDS-PAGE Sample Preparation Kit (ab133414) provides a means to quickly concentrate protein samples, and separate them from buffers that interfere with electrophoresis.

The fast, efficient protocol generates samples ready to load on a gel in less than ten minutes, much more quickly than can be achieved with alternate methods such as dialysis, or acetone or TCA precipitation. Additionally, the Optiblot SDS-PAGE Sample Preparation protocol is easily scaled up, allowing multiple samples to be prepared in parallel.

What's included?

{ "values": { "25Test": { "sellingSize": "25 Test", "publicAssetCode":"ab133414-25Test", "assetComponentDetails": [ { "size":"1 x 1 mL", "name":"Extraction loading buffer", "number":"AB133414-CMP01" }, { "size":"25 x 1 Unit", "name":"Protein filters", "number":"AB133414-CMP02" }, { "size":"2 x 500 mL", "name":"Resin", "number":"AB133414-CMP03" } ] }, "10Test": { "sellingSize": "10 Test", "publicAssetCode":"ab133414-10Test", "assetComponentDetails": [ { "size":"1 x 1 mL", "name":"Extraction loading buffer", "number":"AB133414-CMP01", "productcode":"" }, { "size":"10 x 1 Unit", "name":"Protein filters", "number":"AB133414-CMP02", "productcode":"" }, { "size":"1 x 500 mL", "name":"Resin", "number":"AB133414-CMP03", "productcode":"" } ] } } }

Properties and storage information

Shipped at conditions
Blue Ice
Appropriate short-term storage conditions
+4°C
Appropriate long-term storage conditions
+4°C
Storage information
+4°C

Product protocols

Target data

websiteProtocolBooklet
en

Product promise

We are committed to supporting your work with high-quality reagents, and we're here for you every step of the way. In the unlikely event that one of our products does not perform as expected, you're protected by our Product Promise.
For full details, please see our Terms & Conditions

Please note: All products are 'FOR RESEARCH USE ONLY. NOT FOR USE IN DIAGNOSTIC OR THERAPEUTIC PROCEDURES'.

For licensing inquiries, please contact partnerships@abcam.com