JavaScript is disabled in your browser. Please enable JavaScript to view this website.
AB236473

Reticulum Stain Kit (Modified Gomori's)

Be the first to review this product! Submit a review

|

(4 Publications)

The Reticulum Stain Kit (Modified Gomori's) is intended for use in histological demonstration of reticular fibers.
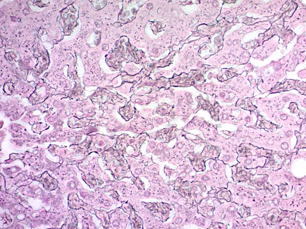
1 Images
Immunohistochemistry (Formalin/PFA-fixed paraffin-embedded sections) - Reticulum Stain Kit (Modified Gomori's) (AB236473)
  • IHC-P

Supplier Data

Immunohistochemistry (Formalin/PFA-fixed paraffin-embedded sections) - Reticulum Stain Kit (Modified Gomori's) (AB236473)

ab236473 Reticulum Stain Kit (Modified Gomori's) staining formalin-fixed-paraffin embedded human liver.

Key facts

Sample types

Tissue sections

Product details

The Reticulum Stain Kit (Modified Gomori's) is intended for use in histological demonstration of reticular fibers. The main function of reticular fibers is to provide support. They are normally found throughout the body, particularly in liver, lymph node, spleen and kidney. Ammoniacal silver stains are the most commonly used methods for demonstration of reticular fibers.

Staining Interpretation

Reticulum Grey/Black
Nuclei Pink/Red

Control Tissue: Liver, Kidney, Lymph Node, Spleen

What's included?

{ "values": { "100Test": { "sellingSize": "100 Test", "publicAssetCode":"ab236473-100Test", "assetComponentDetails": [ { "size":"1 x 125 mL", "name":"Nuclear Fast Red Solution", "number":"AB236473-CMP04", "productcode":"" }, { "size":"1 x 125 mL", "name":"Formalin Solution (20%)", "number":"AB236473-CMP02", "productcode":"" }, { "size":"1 x 15 mL", "name":"Sulfuric Acid Solution (1N)", "number":"AB236473-CMP10", "productcode":"" }, { "size":"1 x 125 mL", "name":"Potassium Metabisulfite Solution (3%)", "number":"AB236473-CMP05", "productcode":"" }, { "size":"1 x 15 mL", "name":"Potassium Hydroxide Solution (10%)", "number":"AB236473-CMP08", "productcode":"" }, { "size":"1 x 125 mL", "name":"Gold Chloride Solution (0.2%)", "number":"AB236473-CMP03", "productcode":"" }, { "size":"1 x 65 mL", "name":"Silver Nitrate Solution (10%)", "number":"AB236473-CMP06", "productcode":"" }, { "size":"1 x 125 mL", "name":"Sodium Thiosulfate Solution (5%)", "number":"AB236473-CMP07", "productcode":"" }, { "size":"1 x 250 mL", "name":"Potassium Permanganate Solution", "number":"AB236473-CMP09", "productcode":"" }, { "size":"1 x 125 mL", "name":"Ferric Ammonium Sulfate Solution (3%)", "number":"AB236473-CMP01", "productcode":"" } ] } } }

Properties and storage information

Shipped at conditions
Blue Ice
Appropriate short-term storage conditions
+4°C
Appropriate long-term storage conditions
Multi
Storage information
Please refer to protocols

Supplementary information

This supplementary information is collated from multiple sources and compiled automatically.

Reticular fibers also known as reticulin fibers serve as a supportive scaffolding in connective tissues. They primarily consist of type III collagen a protein with a molecular mass that varies but is generally around 300 kDa. These fibers form intricate networks that are abundantly expressed in the extracellular matrix of several organs including the liver lymph nodes and bone marrow. Their unique structure permits a certain degree of flexibility and elasticity offering support to the surrounding cellular components.
Biological function summary

The structural framework provided by reticular fibers supports cellular organization in connective tissue environments. These fibers often associate with other extracellular matrix components such as glycoproteins and proteoglycans to form a complex that enhances the maintenance and resilience of connective tissue. They play an important role in filtering bodily fluids due to presence in lymphoid tissues like the spleen and lymph nodes where they aid in trapping particulates and pathogens.

Pathways

Type III collagen in reticular fibers functions within the complex processes of tissue organization and repair. Specifically they are part of the extracellular matrix pathway which includes interactions with other collagens and matrix metalloproteinases. Another related pathway is the wound healing pathway where type III collagen collaborates with fibronectin and type I collagen to facilitate tissue repair and regeneration.

Alterations in reticular fiber networks associate with certain conditions such as liver fibrosis and Ehlers-Danlos syndrome. In liver fibrosis excessive reticular fiber deposition occurs leading to tissue stiffness due to increased type III collagen production. In Ehlers-Danlos syndrome mutations in the genes coding for collagen can disrupt reticular fiber function affecting tissue elasticity and strength. In both conditions changes in other collagens like type I collagen are often observed which further complicate the tissue integrity and contribute to disease pathology.

Product protocols

Publications (4)

Recent publications for all applications. Explore the full list and refine your search

Basic research in cardiology 119:957-971 PubMed39404904

2024

Oxidative stress initiates hemodynamic change in CKD-induced heart disease.

Applications

Unspecified application

Species

Unspecified reactive species

Payel Sen,Jules Hamers,Theresa Sittig,Bachuki Shashikadze,Laura d'Ambrosio,Jan B Stöckl,Susanne Bierschenk,Hengliang Zhang,Chiara d'Alessio,Lotte M Zandbergen,Valerie Pauly,Sebastian Clauss,Eckhard Wolf,Andreas Dendorfer,Thomas Fröhlich,Daphne Merkus

Cell death discovery 10:319 PubMed38992027

2024

Dexmedetomidine and argon in combination against ferroptosis through tackling TXNIP-mediated oxidative stress in DCD porcine livers.

Applications

Unspecified application

Species

Unspecified reactive species

Qian Chen,Jiashi Sun,Xiangfeng Liu,Zhigang Qin,Jieyu Li,Jianbo Ma,Zhengwei Xue,Yirong Li,Ziheng Yang,Qizhe Sun,Lingzhi Wu,Enqiang Chang,Hailin Zhao,Yiwen Zhang,Jianteng Gu,Daqing Ma

Toxicology reports 9:1099-1113 PubMed36518375

2022

Safety evaluation of dried L-tryptophan fermentation product in Sprague-Dawley rats.

Applications

Unspecified application

Species

Unspecified reactive species

Soo Min Ko,Ji-Eun Park,Sang-Ho Kim,Myeong Kyu Park,Ja Kyung Seol,In Kyung Heo,Yong-Uk Shin,So-Young Kim,Yang Hee Kim,Woo-Chan Son

Journal of cutaneous pathology 48:24-33 PubMed33410541

2021

Oral focal mucinosis: A multi-institutional study and literature review.

Applications

Unspecified application

Species

Unspecified reactive species

John Lennon Silva Cunha,Amanda Almeida Leite,Thamiris de Castro Abrantes,Lorena Passoni Vervloet,Thayná Melo de Lima Morais,Gerson de Oliveira Paiva Neto,Tatiana Nayara Libório Kimura,Sônia Maria Soares Ferreira,Ricardo Luiz Cavalcanti de Albuquerque-Júnior,Aline Corrêa Abrahão,Mario José Romañach,Bruno Augusto Benevenuto de Andrade,Oslei Paes de Almeida,Ciro Dantas Soares
View all publications
websiteProtocolBooklet
en

Product promise

We are committed to supporting your work with high-quality reagents, and we're here for you every step of the way. In the unlikely event that one of our products does not perform as expected, you're protected by our Product Promise.
For full details, please see our Terms & Conditions

Please note: All products are 'FOR RESEARCH USE ONLY. NOT FOR USE IN DIAGNOSTIC OR THERAPEUTIC PROCEDURES'.

For licensing inquiries, please contact partnerships@abcam.com