JavaScript is disabled in your browser. Please enable JavaScript to view this website.
AB139470

SUMOylation Assay Kit

Be the first to review this product! Submit a review

|

(15 Publications)

SUMOylation Assay Kit (ab139470) provides a means of generating SUMOylated proteins in vitro, by covalent linkage of the carboxy-terminal of SUMO-1, -2 or -3 to specific lysine residues on the target protein via isopeptide bonds, using the SUMOylation enzyme cascade.
2 Images
Functional Studies - SUMOylation Assay Kit (AB139470)
  • FuncS

PubMed

Functional Studies - SUMOylation Assay Kit (AB139470)

In vitro SUMOylation assays were performed using Abcam SUMOylation Assay Kit with SUMO1 (left panels) and E.coli purified full length p53 as a substrate.

De La Cruz-Herrera, Carlos F et al., PLoS pathogens: vol. 14,7 e1007176., Fig 8, doi:10.1371/journal.ppat.1007176

Western blot - SUMOylation Assay Kit (AB139470)
  • WB

Supplier Data

Western blot - SUMOylation Assay Kit (AB139470)

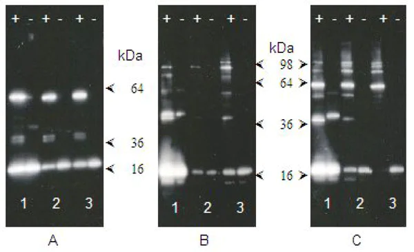
Assays set-up and run as described in “Assay Protocol”. SUMOylated proteins were detected by Western Blotting on SUMOylation assays containing A : RANGAP1, B : p53 and C : SP100 target proteins with 1 : SUMO1, 2 : SUMO2 and 3 : SUMO3 substrates using the appropriate SUMO antibody assays. SUMOylation assays set-up and run as described in “Assay protocol”. Results demonstrate the formation of SUMOylated target proteins of the expected size in all ATP containing reactions. The absence of such conjugates in –ve control reactions demonstrates that their formation is ATP dependent (required for E1 activation) and hence derived from the SUMO cascade.

false

Key facts

Sample types

Purified protein

Assay type

Enzyme activity

Product details

SUMOylation Assay Kit (ab139470) provides a means of generating SUMOylated proteins in vitro, by covalent linkage of the carboxy-terminal of SUMO-1, -2 or -3 to specific lysine residues on the target protein via isopeptide bonds, using the SUMOylation enzyme cascade. A control target protein is provided together with all other necessary components. SUMO specific antibodies are provided for detection of SUMOylated proteins via SDS-PAGE and western blotting. This kit provides sufficient material for 20 x 20 uL reactions.

Suggested uses for the SUMOylation assay kit include:

1) SUMO-modification of specific proteins in vitro. Allow investigation of the effect SUMOylation has on enzyme function, stabilization, protein:protein interactions and, hence, it's role in regulation of cellular processes, such as the p53 tumor repressor and NF-K B pathways.

2) Demonstrate novel proteins are potential targets for SUMOylation under in vitro conditions. Starting point for examining the role SUMOylation of a protein might play in vivo.

3) Generate substrates for deSUMOylating enzymes, such as SENP1 and SENP2.

4) Test proteins for SUMO E3 ligase activity: does it facilitate or enhance SUMOylation of specific target proteins, particularly under conditions/enzyme concentrations that more closely represent those in vivo.

5) Addition of known SUMO E3 ligase to facilitate/enhance target protein SUMOylation, particularly under conditions/enzyme concentrations that more closely represent those in vivo (e.g. RANBP2, shown to be a ligase for SP100 SUMOylation).

6) SUMOylation of proteins in cell lysates or crude fractions/preparations to facilitate investigation of their role/function in complex solutions.

7) Assay SUMOylation of known proteins in specific lysates (confirm with target protein specific antibodies).

8) Use of cell lysate or crude fractions/preparations as source of SUMO E3 ligases to facilitate SUMOylation of purified target proteins in the presence of SUMOylation kit components.

Other Notes
The mechanism for SUMO conjugation is analogous to that of the ubiquitin system, relying upon utilization of E1, E2 and E3 cascade enzymes. SUMO modification of target proteins is involved in nuclear protein targeting, formation of sub-nuclear complexes, regulation of transcriptional activities and control of protein stability.

A short sequence containing the consensus Hydrophobic-K-X-D/E (where Lysine is the modified amino acid, Hydrophobic is a large hydrophobic residue and X is any amino acid residue) is thought to be necessary for the protein SUMOylation to occur.

What's included?

{ "values": { "20Test": { "sellingSize": "20 Test", "publicAssetCode":"ab139470-20Test", "assetComponentDetails": [ { "size":"1 x 20 µL", "name":"20X SUMO Activating Enzyme E1", "number":"AB139470-CMP08", "productcode":"" }, { "size":"1 x 20 µL", "name":"20X SUMO1 (Human, Recombinant)", "number":"AB139470-CMP04", "productcode":"" }, { "size":"1 x 20 µL", "name":"20X SUMO2 (Human, Recombinant)", "number":"AB139470-CMP06", "productcode":"" }, { "size":"1 x 40 µL", "name":"10x SUMOylation Buffer", "number":"AB139470-CMP09", "productcode":"" }, { "size":"1 x 20 µL", "name":"20X SUMO3 (Human, Recombinant)", "number":"AB139470-CMP07", "productcode":"" }, { "size":"1 x 25 µL", "name":"SUMO2/3 Rabbit Polyclonal Antibody", "number":"AB139470-CMP05", "productcode":"" }, { "size":"1 x 20 µL", "name":"20x RanGAP1 Fragment (Human, Recombinant)", "number":"AB139470-CMP02", "productcode":"" }, { "size":"1 x 20 µL", "name":"20x Ubc9 (SUMO E2) (Human, Recombinant)", "number":"AB139470-CMP10", "productcode":"" }, { "size":"1 x 25 µL", "name":"SUMO1 Rabbit Polyclonal Antibody", "number":"AB139470-CMP03", "productcode":"" }, { "size":"1 x 25 µL", "name":"20X Mg-ATP Solution", "number":"AB139470-CMP01", "productcode":"" } ] } } }

Properties and storage information

Shipped at conditions
Dry Ice
Appropriate short-term storage conditions
-80°C
Appropriate long-term storage conditions
-80°C
Storage information
-80°C

Supplementary information

This supplementary information is collated from multiple sources and compiled automatically.

Protein sumoylation also known as post-translational modification involves the attachment of small ubiquitin-like modifier (SUMO) proteins to target proteins. SUMO proteins are about 11 kDa in mass. This process alters the target proteins' functions localization and interactions. SUMO proteins express widely in eukaryotic cells influencing cellular processes and regulatory pathways. Sumoylation machinery includes enzymes like E1 E2 and E3 which add SUMO to lysine residues on substrates.
Biological function summary

The sumoylation process acts as a regulatory mechanism within the cell similar to phosphorylation. It participates in various cellular activities such as nuclear transport transcriptional regulation and DNA repair. SUMO proteins collaborate with other components to form protein complexes influencing cellular homeostasis and stress responses. Cells rely on sumoylation to maintain dynamic balance integrating environmental signals to modulate gene expression and protein stability.

Pathways

Protein sumoylation plays substantial roles in critical pathways like the nuclear import and DNA damage response pathways. It regulates proteins such as RanGAP1 and PCNA which are essential in these pathways. The modification allows proteins to interact or avoid interacting with certain partners impacting cellular signaling and repairing activity. Sumoylation also works through crosstalk with other modifications allowing cells to fine-tune responses to various signals.

Sumoylation dysfunction associates with conditions such as cancer and neurodegenerative diseases. Abnormal sumoylation affects proteins like p53 and tau altering their usual roles and contributing to pathological states. For instance in cancer improper modification of p53 can disrupt its function as a tumor suppressor. In neurodegenerative diseases altered tau sumoylation affects its aggregation state linking to disease progression. Understanding sumoylation in these contexts opens potential therapeutic approaches for these conditions.

Product protocols

Target data

Publications (15)

Recent publications for all applications. Explore the full list and refine your search

Mechanisms of ageing and development 209:111759 PubMed36464085

2022

Non-SUMOylated alternative spliced isoforms of alpha-synuclein are more aggregation-prone and toxic.

Applications

Unspecified application

Species

Unspecified reactive species

Kambiz Hassanzadeh,Castrese Morrone,Keivan Akhtari,Ellen Gerhardt,Ludovica Zaccagnini,Tiago Fleming Outeiro,Marco Feligioni

Neuropathology and applied neurobiology 49:e12861 PubMed36331820

2022

Cytoplasmic HDAC4 recovers synaptic function in the 3×Tg mouse model of Alzheimer's disease.

Applications

Unspecified application

Species

Unspecified reactive species

Claudia Colussi,Giuseppe Aceto,Cristian Ripoli,Alessia Bertozzi,Domenica Donatella Li Puma,Elena Paccosi,Marcello D'Ascenzo,Claudio Grassi

Nucleic acids research 50:5672-5687 PubMed35640614

2022

RNF4 controls the extent of replication fork reversal to preserve genome stability.

Applications

Unspecified application

Species

Unspecified reactive species

Linli Ding,Yi Luo,Tian Tian,Xu Chen,Yulan Yang,Min Bu,Jinhua Han,Bing Yang,Haiyan Yan,Ting Liu,Mengjie Wu,Guofei Zhang,Yipeng Xu,Shaoxing Zhu,Michael S Y Huen,Genxiang Mao,Jun Huang

Frontiers in microbiology 13:801284 PubMed35572621

2022

SUMOylation Is Essential for Dengue Virus Replication and Transmission in the Mosquito .

Applications

Unspecified application

Species

Unspecified reactive species

Shih-Che Weng,Shin-Hong Shiao

Science advances 8:eabl8675 PubMed35394836

2022

Reductive site-selective atypical ,-type/N2-C2 cleavage allows C-terminal protein amidation.

Applications

Unspecified application

Species

Unspecified reactive species

Tim A Mollner,Andrew M Giltrap,Yibo Zeng,Yana Demyanenko,Charles Buchanan,Daniel Oehlrich,Andrew J Baldwin,Daniel C Anthony,Shabaz Mohammed,Benjamin G Davis

PLoS pathogens 18:e1010235 PubMed35007297

2022

Epstein-Barr Virus BGLF2 commandeers RISC to interfere with cellular miRNA function.

Applications

Unspecified application

Species

Unspecified reactive species

Ashley M Campbell,Carlos F De La Cruz-Herrera,Edyta Marcon,Jack Greenblatt,Lori Frappier

Proceedings of the National Academy of Sciences of the United States of America 118: PubMed33723063

2021

ATM controls the extent of DNA end resection by eliciting sequential posttranslational modifications of CtIP.

Applications

Unspecified application

Species

Unspecified reactive species

Jinhua Han,Li Wan,Guixing Jiang,Liping Cao,Feiyu Xia,Tian Tian,Xiaomei Zhu,Mingjie Wu,Michael S Y Huen,Yi Wang,Ting Liu,Jun Huang

PLoS genetics 17:e1009378 PubMed33600493

2021

RanBP2/Nup358 enhances miRNA activity by sumoylating Argonautes.

Applications

Unspecified application

Species

Unspecified reactive species

Qingtang Shen,Yifan E Wang,Mathew Truong,Kohila Mahadevan,Jingze J Wu,Hui Zhang,Jiawei Li,Harrison W Smith,Craig A Smibert,Alexander F Palazzo

Science advances 6:eaba7822 PubMed32832608

2020

TIP60 K430 SUMOylation attenuates its interaction with DNA-PKcs in S-phase cells: Facilitating homologous recombination and emerging target for cancer therapy.

Applications

Unspecified application

Species

Unspecified reactive species

Shan-Shan Gao,Hua Guan,Shuang Yan,Sai Hu,Man Song,Zong-Pei Guo,Da-Fei Xie,Yike Liu,Xiaodan Liu,Shimeng Zhang,Ping-Kun Zhou

Autophagy 17:553-577 PubMed32097085

2020

HIV-1 Nef counteracts autophagy restriction by enhancing the association between BECN1 and its inhibitor BCL2 in a PRKN-dependent manner.

Applications

Unspecified application

Species

Unspecified reactive species

Sergio Castro-Gonzalez,Yuhang Shi,Marta Colomer-Lluch,Ying Song,Kaitlyn Mowery,Sharilyn Almodovar,Anju Bansal,Frank Kirchhoff,Konstantin Sparrer,Chengyu Liang,Ruth Serra-Moreno
View all publications
websiteProtocolBooklet
en

Product promise

We are committed to supporting your work with high-quality reagents, and we're here for you every step of the way. In the unlikely event that one of our products does not perform as expected, you're protected by our Product Promise.
For full details, please see our Terms & Conditions

Please note: All products are 'FOR RESEARCH USE ONLY. NOT FOR USE IN DIAGNOSTIC OR THERAPEUTIC PROCEDURES'.

For licensing inquiries, please contact partnerships@abcam.com