JavaScript is disabled in your browser. Please enable JavaScript to view this website.
AB150686

Trichrome Stain Kit (Connective Tissue Stain)

5

(5 Reviews)

|

(205 Publications)

Trichrome Stain Kit ab150686 is a Masson's Trichrome Stain Kit for use in the histological visualization of collagenous connective tissue fibers in tissue sections.

- Ready to use solutions- Cited in >200 publications
- Includes complete reagents for Aniline Blue, Biebrich Scarlet/Acid Fuchsin, and Weigert's Iron Hematoxylin trichrome staining
3 Images
Immunohistochemistry (Formalin/PFA-fixed paraffin-embedded sections) - Trichrome Stain Kit (Connective Tissue Stain) (AB150686)
  • IHC-P

AbReview

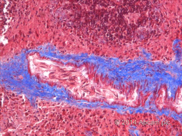
Immunohistochemistry (Formalin/PFA-fixed paraffin-embedded sections) - Trichrome Stain Kit (Connective Tissue Stain) (AB150686)

A paraffin-embedded section of healthy mouse spleen stained with ab150686 - Trichrome Stain Kit (Connective Tissue Stain). The sample was deparaffinized by heating to 60°C for 1 hour and then deparaffinization following a standard protocol. Sections were then fixed with Bouin's solution (included in the kit) for 1 hour at 60°C in humid conditions.

This image is courtesy of an Abreview submitted by Javier Rodriguez

Immunohistochemistry (Formalin/PFA-fixed paraffin-embedded sections) - Trichrome Stain Kit (Connective Tissue Stain) (AB150686)
  • IHC-P

Supplier Data

Immunohistochemistry (Formalin/PFA-fixed paraffin-embedded sections) - Trichrome Stain Kit (Connective Tissue Stain) (AB150686)

ab150686 Trichrome Stain Kit (Connective Tissue Stain) staining formalin-fixed-paraffin embedded human muscle.

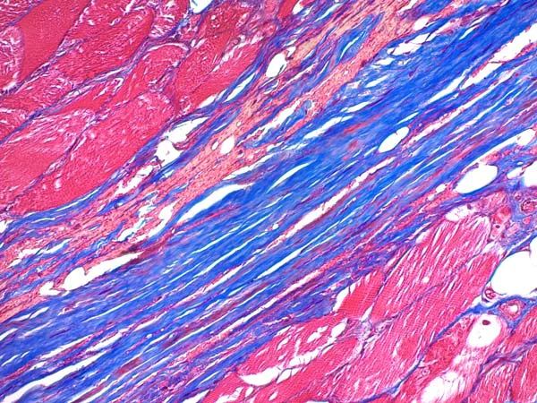
Immunohistochemistry (Formalin/PFA-fixed paraffin-embedded sections) - Trichrome Stain Kit (Connective Tissue Stain) (AB150686)
  • IHC-P

Lab

Immunohistochemistry (Formalin/PFA-fixed paraffin-embedded sections) - Trichrome Stain Kit (Connective Tissue Stain) (AB150686)

ab150686 (Trichrome Stain) staining collagen (blue) and muscle fibre (red) in formalin fixed paraffin embedded normal human placenta. Nuclei are counterstained with Weigert's hematoxylin (blue)

*Tissue obtained from the Human Research Tissue Bank, supported by the NIHR Cambridge Biomedical Research Centre.

Key facts

Product details

Masson's Trichrome Stain Kit ab150686 for histological staining of collagen, collagen fibers, fibrin, muscles, and erythrocytes. Three stains are used in Masson's trichrome staining: Aniline blue, Biebrich scarlet-acid fuschin, and Weigert’s Hematoxylin. Aniline blue is provided in this kit; in some other protocols a green dye is used to stain collagen instead of Aniline blue.

The trichrome staining protocol used in this kit is designed for use on formalin-fixed, paraffin-embedded tissue sections. For frozen sections, it will require optimization by the user.

Masson's Trichrome staining protocol summary

  • Deparaffinize sections if necessary
  • Preheat Bouin's Fluid to 54-64°C
  • Incubate slide in preheated Bouin's Fluid for 60 min and cool for 10 min
  • Rinse in water
  • Incubate slide in Weigert's Iron Hematoxylin for 5 min
  • Rinse in water
  • Incubate slide in Biebrich Scarlet / Acid Fuchsin solution for 15 min
  • Rinse in water
  • Differentiate in phosphomolybdic / phosphotungstic acid solution for 10-15 min
  • Incubate slide in Aniline Blue solution for 5-10 min
  • Rinse in water
  • Incubate slide in acetic acid solution for 3-5 min
  • Dehydrate, clear and mount

Staining Interpretation

Collagen Blue (Aniline Blue)
Muscle Fibers Red (Biebrich scarlet-acid fuschin)
Nuclei Dark Red to Black/Blue (Weigert’s Hematoxylin)

Control Tissue: Lung, Uterus, Small Intestine, Stomach.

Related and recommended products
See below other connective tissue stains to highlight and identify different types of connective tissue in tissue samples with different dyes:

  • Picro Sirius Red Stain Kit (Connective Tissue Stain) ab150681
  • Phosphotungstic Acid Hematoxylin (PTAH) Stain Kit (Connective Tissue Stain) ab150683
  • Reticulum Stain Kit (Connective Tissue Stain) ab150684

How other researchers use Masson's Trichrome Staining

Based on a brief survey of publications using Trichrome Stain Kit ab150686, Masson's Trichrome staining is most often used to stain for fibrosis and collagen levels in liver, heart, and lung. It is also often used with pancreas, bladder, kidney, skin, adipose tissue, and vascular tissue.

What's included?

{ "values": { "100Test": { "sellingSize": "100 Test", "publicAssetCode":"ab150686-100Test", "assetComponentDetails": [ { "size":"1 x 125 mL", "name":"Bouin's Fluid", "number":"AB150686-CMP06", "productcode":"" }, { "size":"1 x 125 mL", "name":"Biebrich Scarlet/Acid Fuchsin Solution", "number":"AB150686-CMP05", "productcode":"" }, { "size":"1 x 125 mL", "name":"Acetic Acid Solution (1%)", "number":"AB150686-CMP02", "productcode":"" }, { "size":"1 x 125 mL", "name":"Phosphomolybdic/Phosphotungstic acid solution", "number":"AB150686-CMP07", "productcode":"" }, { "size":"1 x 125 mL", "name":"Aniline Blue Solution", "number":"AB150686-CMP03", "productcode":"" }, { "size":"1 x 125 mL", "name":"Weigert's Iron, Hematoxylin (B)", "number":"AB150686-CMP04", "productcode":"" }, { "size":"1 x 125 mL", "name":"Weigert's Iron, Hematoxylin (A)", "number":"AB150686-CMP01", "productcode":"" } ] } } }

Properties and storage information

Shipped at conditions
Ambient - Can Ship with Ice
Appropriate short-term storage conditions
Ambient
Appropriate long-term storage conditions
Ambient
Storage information
Ambient

Supplementary information

This supplementary information is collated from multiple sources and compiled automatically.

Collagenous connective tissue fibers often referred to simply as collagen fibers are essential structural components in various tissues including skin bone tendons and ligaments. These fibers with a molecular mass that can vary depending on the type of collagen provide tensile strength and support to tissues and organs. They are synthesized by fibroblasts and expressed abundantly in extracellular matrix environments. Collagenous fibers are identifiable using Masson's trichrome staining which helps differentiate these fibers in histological studies.
Biological function summary

Collagenous fibers contribute to the mechanical framework of connective tissues enabling them to resist stretching and deformation. They are part of larger complexes that include elastin and proteoglycans working together to maintain tissue integrity and function. These fibers interact with other cellular components through specific receptors like integrins which mediate signals for cellular processes including differentiation adhesion and migration.

Pathways

Collagenous connective tissue fibers play roles in wound healing and tissue remodeling. They participate in pathways involving matrix metalloproteinases (MMPs) which regulate the degradation of extracellular matrix components. The collagen synthesis and cross-linking process often links with proteins such as fibronectin and laminin which influence cell behavior and tissue repair mechanisms.

Defective or insufficient collagenous connective tissue fibers can lead to conditions like Ehlers-Danlos syndrome and osteogenesis imperfecta. Both disorders reflect abnormalities in collagen synthesis or structure resulting in increased tissue fragility and elasticity issues. Mutations in collagen-related genes often underlie these pathologies highlighting the importance of these fibers in maintaining structural and functional integrity of various tissues.

Product protocols

Publications (205)

Recent publications for all applications. Explore the full list and refine your search

American heart journal plus : cardiology research and practice 27:100279 PubMed38511100

2024

Impact of adipose-derived stem cells on aortic tensile strength in a model of abdominal aortic aneurysm.

Applications

Unspecified application

Species

Unspecified reactive species

Keshav Kooragayala,Johanna Lou,Vaishali Krishnadoss,Brian Zilberman,Nicholas Deleo,Olga Ostrovsky,Ping Zhang,Iman Noshadi,Spencer Brown,Jeffrey P Carpenter

iScience 27:108632 PubMed38188524

2024

Voluntary wheel running improves molecular and functional deficits in a murine model of facioscapulohumeral muscular dystrophy.

Applications

Unspecified application

Species

Unspecified reactive species

Adam J Bittel,Daniel C Bittel,Heather Gordish-Dressman,Yi-Wen Chen

Cells 12: PubMed38132116

2023

Daphnetin Alleviates Bleomycin-Induced Pulmonary Fibrosis through Inhibition of Epithelial-to-Mesenchymal Transition and IL-17A.

Applications

Unspecified application

Species

Unspecified reactive species

Soo-Jin Park,Hyung Won Ryu,Ji-Hyeong Kim,Hwa-Jeong Hahn,Hyun-Jae Jang,Sung-Kyun Ko,Sei-Ryang Oh,Hyun-Jun Lee

Bioactive materials 33:100-113 PubMed38024231

2023

Advancing neural regeneration via adaptable hydrogels: Enriched with Mg and silk fibroin to facilitate endogenous cell infiltration and macrophage polarization.

Applications

Unspecified application

Species

Unspecified reactive species

Yisheng Gao,Yingyu Wang,Jianye Zhang,Miao Zhang,Chaolun Dai,Yang Zhang,Luzhong Zhang,Liming Bian,Yumin Yang,Kunyu Zhang,Yahong Zhao

Journal of applied biomedicine 21:208-217 PubMed38112460

2023

Shenhuang plaster enhances intestinal anastomotic healing in rabbits through activation of the TGF-β and Hippo/YAP signaling pathways.

Applications

Unspecified application

Species

Unspecified reactive species

Fengchun Xiao,Chenchen Zhu,Xing Wei,Guiping Chen,Xiaohong Xu

International journal of molecular sciences 24: PubMed37958797

2023

NLRP3 Inflammasome Activates Endothelial-to-Mesenchymal Transition via Focal Adhesion Kinase Pathway in Bleomycin-Induced Pulmonary Fibrosis.

Applications

Unspecified application

Species

Unspecified reactive species

Wei-Chih Chen,Wen-Kuang Yu,Vincent Yi-Fong Su,Han-Shui Hsu,Kuang-Yao Yang

Communications biology 6:1049 PubMed37848538

2023

The neonatal southern white rhinoceros ovary contains oogonia in germ cell nests.

Applications

Unspecified application

Species

Unspecified reactive species

Ruth Appeltant,Robert Hermes,Susanne Holtze,Silvia Clotilde Modina,Cesare Galli,Briet D Bjarkadottir,Babatomisin V Adeniran,Xi Wei,Aleona Swegen,Thomas Bernd Hildebrandt,Suzannah A Williams

Nature communications 14:6531 PubMed37848446

2023

Endogenous renal adiponectin drives gluconeogenesis through enhancing pyruvate and fatty acid utilization.

Applications

Unspecified application

Species

Unspecified reactive species

Toshiharu Onodera,May-Yun Wang,Joseph M Rutkowski,Stanislaw Deja,Shiuhwei Chen,Michael S Balzer,Dae-Seok Kim,Xuenan Sun,Yu A An,Bianca C Field,Charlotte Lee,Ei-Ichi Matsuo,Monika Mizerska,Ina Sanjana,Naoto Fujiwara,Christine M Kusminski,Ruth Gordillo,Laurent Gautron,Denise K Marciano,Ming Chang Hu,Shawn C Burgess,Katalin Susztak,Orson W Moe,Philipp E Scherer

Biology 12: PubMed37887038

2023

Klotho Null Mutation Indirectly Leads to Age-Related Lacrimal Gland Degeneration in Mutant Mice.

Applications

Unspecified application

Species

Unspecified reactive species

Chun-Yen Wu,Da-Fong Song,Tsung-Han Lu,Zhi-Jia Chen,Su-Min Tsai,Ya-Jing Liu,Han-Hsin Chang,David Pei-Cheng Lin

International journal of molecular sciences 24: PubMed37686443

2023

Renal Endocannabinoid Dysregulation in Obesity-Induced Chronic Kidney Disease in Humans.

Applications

Unspecified application

Species

Unspecified reactive species

Anna Permyakova,Ariel Rothner,Sarah Knapp,Alina Nemirovski,Danny Ben-Zvi,Joseph Tam
View all publications
websiteProtocolBooklet
en

Product promise

We are committed to supporting your work with high-quality reagents, and we're here for you every step of the way. In the unlikely event that one of our products does not perform as expected, you're protected by our Product Promise.
For full details, please see our Terms & Conditions

Please note: All products are 'FOR RESEARCH USE ONLY. NOT FOR USE IN DIAGNOSTIC OR THERAPEUTIC PROCEDURES'.

For licensing inquiries, please contact partnerships@abcam.com