JavaScript is disabled in your browser. Please enable JavaScript to view this website.
AB145595

8-Hydroxy-2'-deoxyguanosine, Oxidative stress biomarker

Be the first to review this product! Submit a review

|

(1 Publication)

MW 283.24 Da, Purity >98%. Oxidative stress biomarker. A predominant form of free radical-induced oxidative lesions in nuclear and mitochondrial DNA. Oxidized deoxyguanosine derivative. Biomarker for oxidative stress and carcinogenesis.
2 Images
Functional Studies - 8-Hydroxy-2'-deoxyguanosine, Oxidative stress biomarker (AB145595)
  • FuncS

PubMed

Functional Studies - 8-Hydroxy-2'-deoxyguanosine, Oxidative stress biomarker (AB145595)

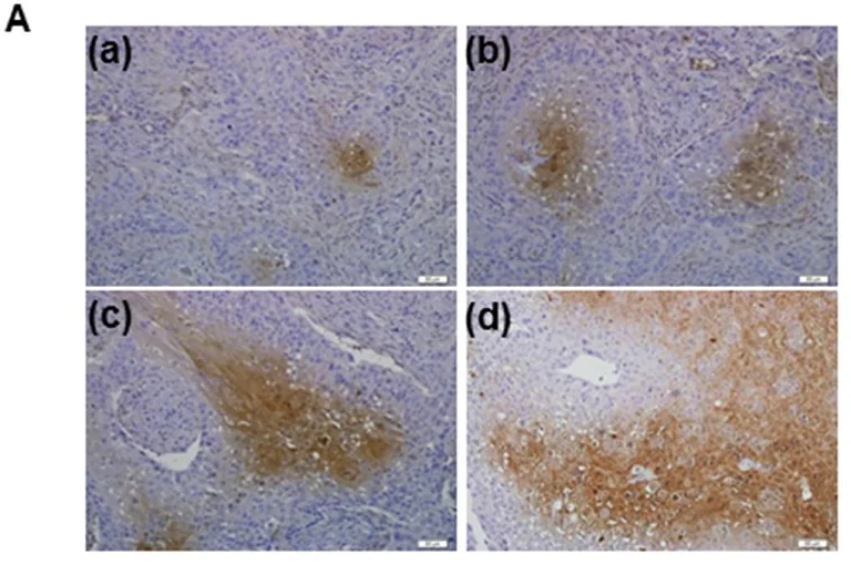
Pimonidazole staining and 8-Hydroxy-2'-deoxyguanosine expression in xenograft tumors.

A, Hypoxia was detected in 2 mm (a), 5 mm (b), 10 mm (c) and 15 mm (d) tumors by pimonidazole staining.

Zhang et al PLoS One. 2014 Aug 27;9(8):e105994. doi: 10.1371/journal.pone.0105994. eCollection 2014. Fig 4. Reproduced under the Creative Commons license http://creativecommons.org/licenses/by/4.0/

Chemical Structure - 8-Hydroxy-2'-deoxyguanosine, Oxidative stress biomarker (AB145595)
  • Chemical Structure

Lab

Chemical Structure - 8-Hydroxy-2'-deoxyguanosine, Oxidative stress biomarker (AB145595)

2D chemical structure image of ab145595, 8-Hydroxy-2'-deoxyguanosine, Oxidative stress biomarker

Key facts

Purity

>98%

Form

Solid

form

Molecular weight

283.24 Da

Molecular formula

C<sub>1</sub><sub>0</sub>H<sub>1</sub><sub>3</sub>N<sub>5</sub>O<sub>5</sub>

PubChem

73318

Nature

Synthetic

Solubility

Soluble in DMSO to 25 mM

Biochemical name

CID 73318

Biological description

Oxidative stress biomarker. A predominant form of free radical-induced oxidative lesions in nuclear and mitochondrial DNA. Oxidized deoxyguanosine derivative. Biomarker for oxidative stress and carcinogenesis.

Canonical smiles

C1C(C(OC1N2C3=C(C(=O)N=C(N3)N)NC2=O)CO)O

Isomeric smiles

C1[C@@H]([C@H](O[C@H]1N2C3=C(C(=O)N=C(N3)N)NC2=O)CO)O

InChi

InChI=1S/C10H13N5O5/c11-9-13-7-6(8(18)14-9)12-10(19)15(7)5-1-3(17)4(2-16)20-5/h3-5,16-17H,1-2H2,(H,12,19)(H3,11,13,14,18)/t3-,4+,5+/m0/s1

InChiKey

HCAJQHYUCKICQH-VPENINKCSA-N

IUPAC Name

2-amino-9-[(2R,4S,5R)-4-hydroxy-5-(hydroxymethyl)oxolan-2-yl]-3,7-dihydropurine-6,8-dione

Product details

This product is manufactured by BioVision, an Abcam company and was previously called 2177 8-Hydroxy-2'-deoxyguanosine. 2177-5 is the same size as the 5 mg size of ab145595.

Properties and storage information

Shipped at conditions
Ambient - Can Ship with Ice
Appropriate short-term storage conditions
-20°C
Appropriate long-term storage conditions
-20°C
Storage information
Store under desiccating conditions|The product can be stored for up to 12 months

Product protocols

Publications (1)

Recent publications for all applications. Explore the full list and refine your search

PloS one 9:e105994 PubMed25162226

2014

Induction of peroxiredoxin 1 by hypoxia regulates heme oxygenase-1 via NF-κB in oral cancer.

Applications

Unspecified application

Species

Unspecified reactive species

Min Zhang,Min Hou,Lihua Ge,Congcong Miao,Jianfei Zhang,Xinying Jing,Ni Shi,Tong Chen,Xiaofei Tang
View all publications

Product promise

We are committed to supporting your work with high-quality reagents, and we're here for you every step of the way. In the unlikely event that one of our products does not perform as expected, you're protected by our Product Promise.
For full details, please see our Terms & Conditions

Please note: All products are 'FOR RESEARCH USE ONLY. NOT FOR USE IN DIAGNOSTIC OR THERAPEUTIC PROCEDURES'.

For licensing inquiries, please contact partnerships@abcam.com