JavaScript is disabled in your browser. Please enable JavaScript to view this website.
AB93684

Antigen Retrieval Buffer (100X Tris-EDTA Buffer, pH 9.0)

5

(3 Reviews)

|

(87 Publications)

Antigen retrieval buffer (100X Tris-EDTA, pH 9.0) (ab93684) is used in heat-induced antigen retrieval (HIER) to enhance staining on formalin-fixed, paraffin-embedded tissue sections with our primary antibody range during IHC.

- Provided in 100X solution for easy dilution preparation
- Available in different sizes to fit your experimental needs
- Compatible with our Lab essentials staining workflow offering
- Proven performance: cited in over 85 publications
41 Images
Immunohistochemistry (Formalin/PFA-fixed paraffin-embedded sections) - Antigen Retrieval Buffer (100X Tris-EDTA Buffer, pH 9.0) (AB93684)
  • IHC-P

Lab

Immunohistochemistry (Formalin/PFA-fixed paraffin-embedded sections) - Antigen Retrieval Buffer (100X Tris-EDTA Buffer, pH 9.0) (AB93684)

Immunohistochemical analysis of paraffin-embedded Human astrocytoma labelling Pan Trk with ab246551 at 1/500 dilution, followed by a Goat Anti-Rabbit IgG H&L (HRP polymer) ready to use (ab214880). Positive staining on human astrocytoma is observed. Counter stained with hematoxylin. Secondary antibody only control : Used PBS instead of primary antibody, secondary antibody is a Goat Anti-Rabbit IgG H&L (HRP polymer) ready to use. Heat mediated antigen retrieval using ab93684 (Tris/EDTA buffer, pH 9.0).

Immunohistochemistry (Formalin/PFA-fixed paraffin-embedded sections) - Antigen Retrieval Buffer (100X Tris-EDTA Buffer, pH 9.0) (AB93684)
  • IHC-P

Supplier Data

Immunohistochemistry (Formalin/PFA-fixed paraffin-embedded sections) - Antigen Retrieval Buffer (100X Tris-EDTA Buffer, pH 9.0) (AB93684)

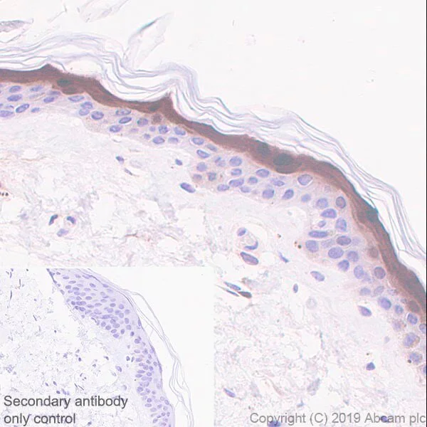
Immunohistochemical analysis of paraffin-embedded human skin tissue labeling FABP5 with ab255276 at 1/4000 dilution, followed by Goat Anti-Rabbit IgG H&L (HRP) ready to use. Positive staining on human skin (PMID : 8092987) is observed. Counter stained with hematoxylin. Secondary antibody only control : Used PBS instead of primary antibody, secondary antibody is Goat Anti-Rabbit IgG H&L (HRP) ready to use. Heat mediated antigen retrieval using ab93684 (Tris/EDTA buffer, pH 9.0).

Immunohistochemistry (Formalin/PFA-fixed paraffin-embedded sections) - Antigen Retrieval Buffer (100X Tris-EDTA Buffer, pH 9.0) (AB93684)
  • IHC-P

Supplier Data

Immunohistochemistry (Formalin/PFA-fixed paraffin-embedded sections) - Antigen Retrieval Buffer (100X Tris-EDTA Buffer, pH 9.0) (AB93684)

Immunohistochemical analysis of paraffin-embedded Human stomach tissue labeling Sodium/Hydrogen Exchanger 1/NHE-1 with ab324337 at 1/50 (10.0 ug/ml) dilution.

Positive staining on human stomach.
The primary antibody was incubated overnight at 4°C (shown in green). Nuclear DNA was labelled with DAPI (shown in blue). The section was then mounted using Fluoromount®.
Image was taken with a confocal microscope (Leica-Microsystems, TCS SP8).

Counterstained with DAPI.

Heat mediated antigen retrieval was performed using ab93684 (Tris/EDTA buffer, pH 9.0)

Immunohistochemistry (Formalin/PFA-fixed paraffin-embedded sections) - Antigen Retrieval Buffer (100X Tris-EDTA Buffer, pH 9.0) (AB93684)
  • IHC-P

Supplier Data

Immunohistochemistry (Formalin/PFA-fixed paraffin-embedded sections) - Antigen Retrieval Buffer (100X Tris-EDTA Buffer, pH 9.0) (AB93684)

Immunohistochemical analysis of paraffin-embedded human cerebrum tissue labeling LC3B with ab307768 at 1/100 dilution (5.0 µg/ml). Cytoplasmic staining on human cerebrum. The section was incubated with ab307768 at 4°C overnight (shown in red). Nuclear DNA was labelled with DAPI (shown in blue). The section was then mounted using Fluoromount®. Image was taken with a confocal microscope (Leica-Microsystems, TCS SP8). Heat mediated antigen retrieval was performed using ab93684 (Tris/EDTA buffer, pH 9.0).

Immunohistochemistry (Formalin/PFA-fixed paraffin-embedded sections) - Antigen Retrieval Buffer (100X Tris-EDTA Buffer, pH 9.0) (AB93684)
  • IHC-P

Supplier Data

Immunohistochemistry (Formalin/PFA-fixed paraffin-embedded sections) - Antigen Retrieval Buffer (100X Tris-EDTA Buffer, pH 9.0) (AB93684)

Immunohistochemical analysis of paraffin-embedded human cerebrum tissue labeling SMARCA2 / BRM with ab307771 at 1/100 dilution (5.0 µg/ml). Nuclear staining on human cerebrum. The section was incubated with ab307768 at 4°C overnight (shown in red). Nuclear DNA was labeled with DAPI (shown in blue). The section was then mounted using Fluoromount®. Image was taken with a confocal microscope (Leica-Microsystems, TCS SP8). Heat mediated antigen retrieval was performed using ab93684 (Tris/EDTA buffer, pH 9.0).

Immunohistochemistry (Formalin/PFA-fixed paraffin-embedded sections) - Antigen Retrieval Buffer (100X Tris-EDTA Buffer, pH 9.0) (AB93684)
  • IHC-P

Lab

Immunohistochemistry (Formalin/PFA-fixed paraffin-embedded sections) - Antigen Retrieval Buffer (100X Tris-EDTA Buffer, pH 9.0) (AB93684)

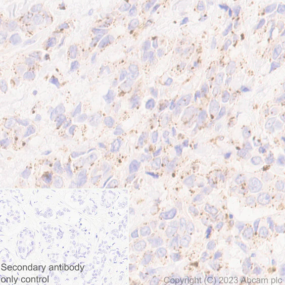
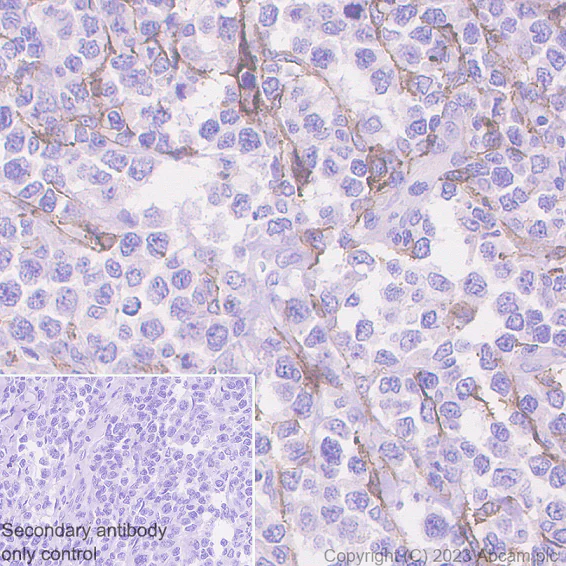
Immunohistochemical analysis of paraffin-embedded Human diffuse large B-cell lymphoma labelling CD10 with ab256494 at 1/500 dilution, followed by a Goat Anti-Rabbit IgG H&L (HRP polymer) ready to use (ab214880). Positive staining on Human diffuse large B-cell lymphoma is observed. Counter stained with hematoxylin. Secondary antibody only control : Used PBS instead of primary antibody, secondary antibody is a Goat Anti-Rabbit IgG H&L (HRP polymer) ready to use. Heat mediated antigen retrieval using ab93684 (Tris/EDTA buffer, pH 9.0).

Immunohistochemistry (Formalin/PFA-fixed paraffin-embedded sections) - Antigen Retrieval Buffer (100X Tris-EDTA Buffer, pH 9.0) (AB93684)
  • IHC-P

Supplier Data

Immunohistochemistry (Formalin/PFA-fixed paraffin-embedded sections) - Antigen Retrieval Buffer (100X Tris-EDTA Buffer, pH 9.0) (AB93684)

Immunohistochemical analysis of paraffin-embedded Human colon tissue labeling PADI2 / PAD2 with ab324331 at 1/100 (5.0 ug/ml) dilution.

Positive staining on human colon.
The primary antibody was incubated overnight at 4°C (shown in green). Nuclear DNA was labelled with DAPI (shown in blue). The section was then mounted using Fluoromount®.
Image was taken with a confocal microscope (Leica-Microsystems, TCS SP8).

Counterstained with DAPI.

Heat mediated antigen retrieval was performed using ab93684 (Tris/EDTA buffer, pH 9.0)

Immunohistochemistry (Formalin/PFA-fixed paraffin-embedded sections) - Antigen Retrieval Buffer (100X Tris-EDTA Buffer, pH 9.0) (AB93684)
  • IHC-P

Lab

Immunohistochemistry (Formalin/PFA-fixed paraffin-embedded sections) - Antigen Retrieval Buffer (100X Tris-EDTA Buffer, pH 9.0) (AB93684)

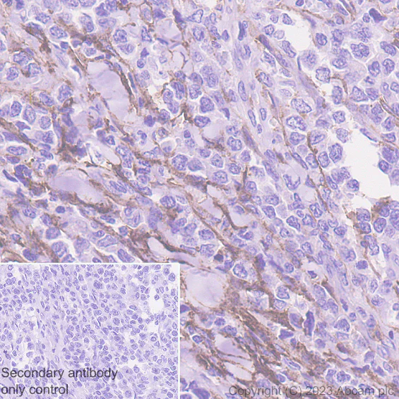
Immunohistochemical analysis of paraffin-embedded Human diffuse large B-cell lymphoma labelling CD10 with ab255609 at 1/1000 dilution, followed by a Goat Anti-Rabbit IgG H&L (HRP polymer) ready to use (ab214880). Positive staining on human diffuse large B-cell lymphoma is observed. Counter stained with hematoxylin. Secondary antibody only control : Used PBS instead of primary antibody, secondary antibody is a Goat Anti-Rabbit IgG H&L (HRP polymer) ready to use. Heat mediated antigen retrieval using ab93684 (Tris/EDTA buffer, pH 9.0).

Immunohistochemistry (Formalin/PFA-fixed paraffin-embedded sections) - Antigen Retrieval Buffer (100X Tris-EDTA Buffer, pH 9.0) (AB93684)
  • IHC-P

Supplier Data

Immunohistochemistry (Formalin/PFA-fixed paraffin-embedded sections) - Antigen Retrieval Buffer (100X Tris-EDTA Buffer, pH 9.0) (AB93684)

Immunohistochemical analysis of paraffin-embedded human cerebral cortex tissue labeling FABP5 with ab255276 at 1/4000 dilution, followed by Goat Anti-Rabbit IgG H&L (HRP) ready to use. Positive staining on human cerebral cortex (PMID : 24114376) is observed. Counter stained with hematoxylin.

Secondary antibody only control : Used PBS instead of primary antibody, secondary antibody is Goat Anti-Rabbit IgG H&L (HRP) ready to use.Heat mediated antigen retrieval using ab93684 (Tris/EDTA buffer, pH 9.0).

Immunohistochemistry (Formalin/PFA-fixed paraffin-embedded sections) - Antigen Retrieval Buffer (100X Tris-EDTA Buffer, pH 9.0) (AB93684)
  • IHC-P

Supplier Data

Immunohistochemistry (Formalin/PFA-fixed paraffin-embedded sections) - Antigen Retrieval Buffer (100X Tris-EDTA Buffer, pH 9.0) (AB93684)

Immunohistochemical analysis of paraffin-embedded human testis tissue labeling SCP3 with ab314313 at 1/100 (5.02 ug/ml) followed by a ready to use Goat Anti-Rabbit IgG H&L (HRP polymer) (ab214880). Positive staining on human testis. The section was incubated with ab314313 at 4°C overnight. Counterstained with Hematoxylin. Secondary antibody only control : Secondary antibody is a ready to use Goat Anti-Rabbit IgG H&L (HRP polymer) (ab214880). Heat mediated antigen retrieval was performed using ab93684 (Tris/EDTA buffer, pH 9.0).

Immunohistochemistry (Formalin/PFA-fixed paraffin-embedded sections) - Antigen Retrieval Buffer (100X Tris-EDTA Buffer, pH 9.0) (AB93684)
  • IHC-P

Supplier Data

Immunohistochemistry (Formalin/PFA-fixed paraffin-embedded sections) - Antigen Retrieval Buffer (100X Tris-EDTA Buffer, pH 9.0) (AB93684)

Immunohistochemical analysis of paraffin-embedded human glioma tissue labeling LC3B with ab307768 at 1/100 dilution (5.0 µg/ml). Cytoplasmic staining on human glioma. The section was incubated with ab307768 at 4°C overnight (shown in red). Nuclear DNA was labelled with DAPI (shown in blue). The section was then mounted using Fluoromount®. Image was taken with a confocal microscope (Leica-Microsystems, TCS SP8). Heat mediated antigen retrieval was performed using ab93684 (Tris/EDTA buffer, pH 9.0).

Immunohistochemistry (Formalin/PFA-fixed paraffin-embedded sections) - Antigen Retrieval Buffer (100X Tris-EDTA Buffer, pH 9.0) (AB93684)
  • IHC-P

Lab

Immunohistochemistry (Formalin/PFA-fixed paraffin-embedded sections) - Antigen Retrieval Buffer (100X Tris-EDTA Buffer, pH 9.0) (AB93684)

Immunohistochemical analysis of paraffin-embedded Human breast carcinoma labelling Niemann Pick C2 with ab218192 at 1/8000 dilution, followed by a Goat Anti-Rabbit IgG H&L (HRP polymer) ready to use (ab214880). Positive staining on Human breast carcinoma is observed. Counter stained with hematoxylin. Secondary antibody only control : Used PBS instead of primary antibody, secondary antibody is a Goat Anti-Rabbit IgG H&L (HRP polymer) ready to use. Heat mediated antigen retrieval using ab93684 (Tris/EDTA buffer, pH 9.0).

Immunohistochemistry (Formalin/PFA-fixed paraffin-embedded sections) - Antigen Retrieval Buffer (100X Tris-EDTA Buffer, pH 9.0) (AB93684)
  • IHC-P

Supplier Data

Immunohistochemistry (Formalin/PFA-fixed paraffin-embedded sections) - Antigen Retrieval Buffer (100X Tris-EDTA Buffer, pH 9.0) (AB93684)

Immunohistochemical analysis of paraffin-embedded Human bone marrow tissue labeling CD42b with ab313595 at 1/50 (10.0 ug/ml). Positive staining on megakaryocytes in human bone marrow.The section was incubated with ab313595 at 4°C overnight (shown in red). Nuclear DNA was labelled with DAPI (shown in blue). The section was then mounted using Fluoromount®.Image was taken with a confocal microscope (Leica-Microsystems, TCS SP8). Heat mediated antigen retrieval was performed using ab93684 (Tris/EDTA buffer, pH 9.0)

Immunohistochemistry (Formalin/PFA-fixed paraffin-embedded sections) - Antigen Retrieval Buffer (100X Tris-EDTA Buffer, pH 9.0) (AB93684)
  • IHC-P

Supplier Data

Immunohistochemistry (Formalin/PFA-fixed paraffin-embedded sections) - Antigen Retrieval Buffer (100X Tris-EDTA Buffer, pH 9.0) (AB93684)
Immunohistochemistry (Formalin/PFA-fixed paraffin-embedded sections) - Antigen Retrieval Buffer (100X Tris-EDTA Buffer, pH 9.0) (AB93684)
  • IHC-P

Supplier Data

Immunohistochemistry (Formalin/PFA-fixed paraffin-embedded sections) - Antigen Retrieval Buffer (100X Tris-EDTA Buffer, pH 9.0) (AB93684)

Immunohistochemical analysis of paraffin-embedded human placenta tissue labeling FABP5 with ab255276 at 1/4000 dilution, followed by Goat Anti-Rabbit IgG H&L (HRP) ready to use. Positive staining on blood vessels of human placenta (PMID : 19625659) is observed. Counter stained with hematoxylin.

Secondary antibody only control : Used PBS instead of primary antibody, secondary antibody is Goat Anti-Rabbit IgG H&L (HRP) ready to use.Heat mediated antigen retrieval using ab93684 (Tris/EDTA buffer, pH 9.0).

Immunohistochemistry (Formalin/PFA-fixed paraffin-embedded sections) - Antigen Retrieval Buffer (100X Tris-EDTA Buffer, pH 9.0) (AB93684)
  • IHC-P

Supplier Data

Immunohistochemistry (Formalin/PFA-fixed paraffin-embedded sections) - Antigen Retrieval Buffer (100X Tris-EDTA Buffer, pH 9.0) (AB93684)

Immunohistochemical analysis of paraffin-embedded Human colon tissue labeling Mannose Receptor with ab313731 at 1/50 (10.0 ug/ml) . Membranous staining on immune cells in human colon. The section was incubated with ab313731 at 4°C overnight (shown in red). Nuclear DNA was labelled with DAPI (shown in blue). The section was then mounted using Fluoromount®.Image was taken with a confocal microscope (Leica-Microsystems, TCS SP8). Heat mediated antigen retrieval was performed using ab93684 (Tris/EDTA buffer, pH 9.0)

Immunohistochemistry (Formalin/PFA-fixed paraffin-embedded sections) - Antigen Retrieval Buffer (100X Tris-EDTA Buffer, pH 9.0) (AB93684)
  • IHC-P

Lab

Immunohistochemistry (Formalin/PFA-fixed paraffin-embedded sections) - Antigen Retrieval Buffer (100X Tris-EDTA Buffer, pH 9.0) (AB93684)
Immunohistochemistry (Formalin/PFA-fixed paraffin-embedded sections) - Antigen Retrieval Buffer (100X Tris-EDTA Buffer, pH 9.0) (AB93684)
  • IHC-P

Lab

Immunohistochemistry (Formalin/PFA-fixed paraffin-embedded sections) - Antigen Retrieval Buffer (100X Tris-EDTA Buffer, pH 9.0) (AB93684)

Immunohistochemical analysis of paraffin-embedded Human breast cancer tissue labeling LOX with ab197061 at 1/50 dilution (magenta).

Cytoplasmic staining on human breast cancer.

The primary antibody was incubated overnight at 4°C (shown in magenta). Nuclear DNA was labelled with DAPI (shown in blue). The section was then mounted using Fluoromount®.
Image was taken with a confocal microscope (Leica-Microsystems, TCS SP8).

Heat mediated antigen retrieval was performed using ab93684 (Tris/EDTA buffer, pH 9.0)

Immunohistochemistry (Formalin/PFA-fixed paraffin-embedded sections) - Antigen Retrieval Buffer (100X Tris-EDTA Buffer, pH 9.0) (AB93684)
  • IHC-P

Supplier Data

Immunohistochemistry (Formalin/PFA-fixed paraffin-embedded sections) - Antigen Retrieval Buffer (100X Tris-EDTA Buffer, pH 9.0) (AB93684)

Immunohistochemical analysis of paraffin-embedded Human spleen tissue labeling CD42b with ab313595 at 1/50 (10.0 ug/ml). Positive staining on platelets in human spleen.The section was incubated with ab313595 at 4°C overnight (shown in red). Nuclear DNA was labelled with DAPI (shown in blue). The section was then mounted using Fluoromount®.Image was taken with a confocal microscope (Leica-Microsystems, TCS SP8). Heat mediated antigen retrieval was performed using ab93684 (Tris/EDTA buffer, pH 9.0)

Immunohistochemistry (Formalin/PFA-fixed paraffin-embedded sections) - Antigen Retrieval Buffer (100X Tris-EDTA Buffer, pH 9.0) (AB93684)
  • IHC-P

Lab

Immunohistochemistry (Formalin/PFA-fixed paraffin-embedded sections) - Antigen Retrieval Buffer (100X Tris-EDTA Buffer, pH 9.0) (AB93684)

Immunohistochemical analysis of paraffin-embedded Human colon tissue labeling LOX with ab197061 at 1/50 dilution (magenta).

Cytoplasmic staining on human colon.

The primary antibody was incubated overnight at 4°C (shown in magenta). Nuclear DNA was labelled with DAPI (shown in blue). The section was then mounted using Fluoromount®.
Image was taken with a confocal microscope (Leica-Microsystems, TCS SP8).

Heat mediated antigen retrieval was performed using ab93684 (Tris/EDTA buffer, pH 9.0)

Immunohistochemistry (Formalin/PFA-fixed paraffin-embedded sections) - Antigen Retrieval Buffer (100X Tris-EDTA Buffer, pH 9.0) (AB93684)
  • IHC-P

Supplier Data

Immunohistochemistry (Formalin/PFA-fixed paraffin-embedded sections) - Antigen Retrieval Buffer (100X Tris-EDTA Buffer, pH 9.0) (AB93684)

Immunohistochemical analysis of paraffin-embedded Human liver tissue labeling Sodium/Hydrogen Exchanger 1/NHE-1 with ab324337 at 1/50 (10.0 ug/ml) dilution.

Negative control : no staining on human liver.
The primary antibody was incubated overnight at 4°C (shown in green). Nuclear DNA was labelled with DAPI (shown in blue). The section was then mounted using Fluoromount®.
Image was taken with a confocal microscope (Leica-Microsystems, TCS SP8).

Counterstained with DAPI.

Heat mediated antigen retrieval was performed using ab93684 (Tris/EDTA buffer, pH 9.0)

Immunohistochemistry (Formalin/PFA-fixed paraffin-embedded sections) - Antigen Retrieval Buffer (100X Tris-EDTA Buffer, pH 9.0) (AB93684)
  • IHC-P

Supplier Data

Immunohistochemistry (Formalin/PFA-fixed paraffin-embedded sections) - Antigen Retrieval Buffer (100X Tris-EDTA Buffer, pH 9.0) (AB93684)

Immunohistochemical analysis of paraffin-embedded human cerebrum tissue labeling SMARCA2 / BRM with ab307770 at 1/100 dilution (5.0 µg/ml). Nuclear staining on human cerebrum. The section was incubated with ab307768 at 4°C overnight (shown in green). Nuclear DNA was labeled with DAPI (shown in blue). The section was then mounted using Fluoromount®. Image was taken with a confocal microscope (Leica-Microsystems, TCS SP8). Heat mediated antigen retrieval was performed using ab93684 (Tris/EDTA buffer, pH 9.0).

Immunohistochemistry (Formalin/PFA-fixed paraffin-embedded sections) - Antigen Retrieval Buffer (100X Tris-EDTA Buffer, pH 9.0) (AB93684)
  • IHC-P

Supplier Data

Immunohistochemistry (Formalin/PFA-fixed paraffin-embedded sections) - Antigen Retrieval Buffer (100X Tris-EDTA Buffer, pH 9.0) (AB93684)

Immunohistochemical analysis of paraffin-embedded Human skeletal muscl tissue labeling Wilms Tumor Protein with ab314587 at 1/100 (5.0 ug/ml). Negative control : no staining on human skeletal muscle. The section was incubated with ab314587 at 4°C overnight (shown in red). Nuclear DNA was labelled with DAPI (shown in blue). The section was then mounted using Fluoromount®. Image was taken with a confocal microscope (Leica-Microsystems, TCS SP8). Heat mediated antigen retrieval was performed using ab93684 (Tris/EDTA buffer, pH 9.0).

Immunohistochemistry (Formalin/PFA-fixed paraffin-embedded sections) - Antigen Retrieval Buffer (100X Tris-EDTA Buffer, pH 9.0) (AB93684)
  • IHC-P

Lab

Immunohistochemistry (Formalin/PFA-fixed paraffin-embedded sections) - Antigen Retrieval Buffer (100X Tris-EDTA Buffer, pH 9.0) (AB93684)

Immunohistochemical analysis of paraffin-embedded Human pancreas tissue labeling CD3D with ab198937 at 1/100 (5.0 µg/ml) dilution.

Negative control : no staining on human pancreas.

The primary antibody was incubated overnight at 4µC (shown in magenta). Nuclear DNA was labelled with DAPI (shown in blue). The section was then mounted using Fluoromount®.

Image was taken with a confocal microscope (Leica-Microsystems, TCS SP8).

Counterstained with DAPI.

Heat mediated antigen retrieval was performed using ab93684 (Tris/EDTA buffer, pH 9.0)

Immunohistochemistry (Formalin/PFA-fixed paraffin-embedded sections) - Antigen Retrieval Buffer (100X Tris-EDTA Buffer, pH 9.0) (AB93684)
  • IHC-P

Supplier Data

Immunohistochemistry (Formalin/PFA-fixed paraffin-embedded sections) - Antigen Retrieval Buffer (100X Tris-EDTA Buffer, pH 9.0) (AB93684)

Immunohistochemical analysis of paraffin-embedded Human skeletal muscl tissue labeling CD42b with ab313595 at 1/50 (10.0 ug/ml). Negative control : no staining on human skeletal muscle.The section was incubated with ab313595 at 4°C overnight (shown in red). Nuclear DNA was labelled with DAPI (shown in blue). The section was then mounted using Fluoromount®.Image was taken with a confocal microscope (Leica-Microsystems, TCS SP8). Heat mediated antigen retrieval was performed using ab93684 (Tris/EDTA buffer, pH 9.0)

Immunohistochemistry (Formalin/PFA-fixed paraffin-embedded sections) - Antigen Retrieval Buffer (100X Tris-EDTA Buffer, pH 9.0) (AB93684)
  • IHC-P

Supplier Data

Immunohistochemistry (Formalin/PFA-fixed paraffin-embedded sections) - Antigen Retrieval Buffer (100X Tris-EDTA Buffer, pH 9.0) (AB93684)

Immunohistochemical analysis of paraffin-embedded Human skeletal muscle tissue labeling CD15 with ab313399 at 1/100 (5.0 ug/ml). Negative control : no staining on human skeletal muscle. The section was incubated with ab313399 at 4°C overnight (shown in green). Nuclear DNA was labeled with DAPI (shown in blue). The section was then mounted using Fluoromount®. The image was taken with a confocal microscope (Leica-Microsystems, TCS SP8). Heat mediated antigen retrieval was performed using ab93684 (Tris/EDTA buffer, pH 9.0).

Immunohistochemistry (Formalin/PFA-fixed paraffin-embedded sections) - Antigen Retrieval Buffer (100X Tris-EDTA Buffer, pH 9.0) (AB93684)
  • IHC-P

Supplier Data

Immunohistochemistry (Formalin/PFA-fixed paraffin-embedded sections) - Antigen Retrieval Buffer (100X Tris-EDTA Buffer, pH 9.0) (AB93684)

Immunohistochemical analysis of paraffin-embedded human stomach tissue labeling LC3B with ab307768 at 1/100 dilution (5.0 µg/ml). Negative control : no staining on human stomach. The section was incubated with ab307768 at 4°C overnight (shown in red). Nuclear DNA was labelled with DAPI (shown in blue). The section was then mounted using Fluoromount®. Image was taken with a confocal microscope (Leica-Microsystems, TCS SP8). Heat mediated antigen retrieval was performed using ab93684 (Tris/EDTA buffer, pH 9.0).

Immunohistochemistry (Formalin/PFA-fixed paraffin-embedded sections) - Antigen Retrieval Buffer (100X Tris-EDTA Buffer, pH 9.0) (AB93684)
  • IHC-P

Supplier Data

Immunohistochemistry (Formalin/PFA-fixed paraffin-embedded sections) - Antigen Retrieval Buffer (100X Tris-EDTA Buffer, pH 9.0) (AB93684)

Immunohistochemical analysis of paraffin-embedded Human skeletal muscle tissue labeling Mannose Receptor with ab313731 at 1/50 (10.0 ug/ml) . Negative control : no staining on human skeletal muscle. The section was incubated with ab313731 at 4°C overnight (shown in red). Nuclear DNA was labelled with DAPI (shown in blue). The section was then mounted using Fluoromount®.Image was taken with a confocal microscope (Leica-Microsystems, TCS SP8). Heat mediated antigen retrieval was performed using ab93684 (Tris/EDTA buffer, pH 9.0)

Immunohistochemistry (Formalin/PFA-fixed paraffin-embedded sections) - Antigen Retrieval Buffer (100X Tris-EDTA Buffer, pH 9.0) (AB93684)
  • IHC-P

Supplier Data

Immunohistochemistry (Formalin/PFA-fixed paraffin-embedded sections) - Antigen Retrieval Buffer (100X Tris-EDTA Buffer, pH 9.0) (AB93684)

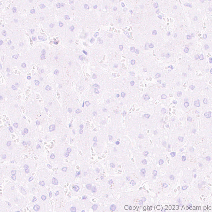
Immunohistochemical analysis of paraffin-embedded human liver tissue labeling SCP3 with ab314313 at 1/100 (5.02 ug/ml) followed by a ready to use Goat Anti-Rabbit IgG H&L (HRP polymer) (ab214880). Negative control : no staining on human liver. The section was incubated with ab314313 at 4°C overnight. Counterstained with Hematoxylin. Secondary antibody only control : Secondary antibody is a ready to use Goat Anti-Rabbit IgG H&L (HRP polymer) (ab214880). Heat mediated antigen retrieval was performed using ab93684 (Tris/EDTA buffer, pH 9.0).

Immunohistochemistry (Formalin/PFA-fixed paraffin-embedded sections) - Antigen Retrieval Buffer (100X Tris-EDTA Buffer, pH 9.0) (AB93684)
  • IHC-P

Supplier Data

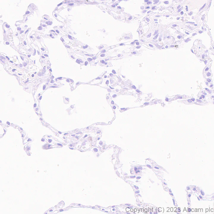
Immunohistochemistry (Formalin/PFA-fixed paraffin-embedded sections) - Antigen Retrieval Buffer (100X Tris-EDTA Buffer, pH 9.0) (AB93684)

Immunohistochemical analysis of paraffin-embedded human lung tissue labeling SCP3 with ab314313 at 1/100 (5.02 ug/ml) followed by a ready to use Goat Anti-Rabbit IgG H&L (HRP polymer) (ab214880). Negative control : no staining on human lung. The section was incubated with ab314313 at 4°C overnight. Counterstained with Hematoxylin. Secondary antibody only control : Secondary antibody is a ready to use Goat Anti-Rabbit IgG H&L (HRP polymer) (ab214880). Heat mediated antigen retrieval was performed using ab93684 (Tris/EDTA buffer, pH 9.0).

Immunohistochemistry (Formalin/PFA-fixed paraffin-embedded sections) - Antigen Retrieval Buffer (100X Tris-EDTA Buffer, pH 9.0) (AB93684)
  • IHC-P

Supplier Data

Immunohistochemistry (Formalin/PFA-fixed paraffin-embedded sections) - Antigen Retrieval Buffer (100X Tris-EDTA Buffer, pH 9.0) (AB93684)

Immunohistochemical analysis of paraffin-embedded Human liver tissue labeling PADI2 / PAD2 with ab324331 at 1/100 (5.0 ug/ml) dilution.

Negative control : no staining on human liver.
The primary antibody was incubated overnight at 4°C (shown in green). Nuclear DNA was labelled with DAPI (shown in blue). The section was then mounted using Fluoromount®.
Image was taken with a confocal microscope (Leica-Microsystems, TCS SP8).

Counterstained with DAPI.

Heat mediated antigen retrieval was performed using ab93684 (Tris/EDTA buffer, pH 9.0)

Immunohistochemistry (Formalin/PFA-fixed paraffin-embedded sections) - Antigen Retrieval Buffer (100X Tris-EDTA Buffer, pH 9.0) (AB93684)
  • IHC-P

Lab

Immunohistochemistry (Formalin/PFA-fixed paraffin-embedded sections) - Antigen Retrieval Buffer (100X Tris-EDTA Buffer, pH 9.0) (AB93684)

Immunohistochemical analysis of paraffin-embedded human corpus striatum labeling Dopamine Receptor D1 with ab256555 at 1/500 dilution (2.174 µg/ml). The section was incubated with ab256555 at 4℃ overnight followed by a ready to use Goat Anti-Rat IgG H&L (HRP polymer) secondary antibody (ab214882). Positive staining in human corpus striatum was observed. Counterstained with Hematoxylin. Heat mediated antigen retrieval using ab93684 (Tris/EDTA buffer, pH 9.0)

Immunohistochemistry (Formalin/PFA-fixed paraffin-embedded sections) - Antigen Retrieval Buffer (100X Tris-EDTA Buffer, pH 9.0) (AB93684)
  • IHC-P

Supplier Data

Immunohistochemistry (Formalin/PFA-fixed paraffin-embedded sections) - Antigen Retrieval Buffer (100X Tris-EDTA Buffer, pH 9.0) (AB93684)

Immunohistochemical analysis of paraffin-embedded Human ovarian cancer tissue labeling Wilms Tumor Protein with ab314587 at 1/100 (5.0 ug/ml). Nuclear staining on human ovarian cancer. The section was incubated with ab314587 at 4°C overnight (shown in red). Nuclear DNA was labelled with DAPI (shown in blue). The section was then mounted using Fluoromount®. Image was taken with a confocal microscope (Leica-Microsystems, TCS SP8). Heat mediated antigen retrieval was performed using ab93684 (Tris/EDTA buffer, pH 9.0).

Immunohistochemistry (Formalin/PFA-fixed paraffin-embedded sections) - Antigen Retrieval Buffer (100X Tris-EDTA Buffer, pH 9.0) (AB93684)
  • IHC-P

Supplier Data

Immunohistochemistry (Formalin/PFA-fixed paraffin-embedded sections) - Antigen Retrieval Buffer (100X Tris-EDTA Buffer, pH 9.0) (AB93684)

Immunofluorescence staining of CD8 alpha in a section of formalin-fixed paraffin-embedded Human tonsil. The section was pre-treated using heat mediated antigen retrieval using ab93684 (Tris/EDTA buffer, pH 9.0). Non-specific protein-protein interactions were blocked in TBS containing 0.025% (v/v) Triton X-100, 0.3M (w/v) glycine and 1% (w/v) BSA for 1h at room temperature. The section was incubated overnight at +4°C in TBS containing 0.025% (v/v) Triton X-100 and 1% (w/v) BSA with ab300091 at 1/50 dilution (shown in green). Nuclear DNA was labeled with DAPI (shown in blue). The section was then mounted using Fluoromount®. Image was taken with a confocal microscope (Leica-Microsystems, TCS SP8).

Immunohistochemistry (Formalin/PFA-fixed paraffin-embedded sections) - Antigen Retrieval Buffer (100X Tris-EDTA Buffer, pH 9.0) (AB93684)
  • IHC-P

Supplier Data

Immunohistochemistry (Formalin/PFA-fixed paraffin-embedded sections) - Antigen Retrieval Buffer (100X Tris-EDTA Buffer, pH 9.0) (AB93684)

Immunohistochemical analysis of paraffin-embedded Human liver tissue labeling Mannose Receptor with ab313731 at 1/50 (10.0 ug/ml) . Membranous staining on stormal cells in human liver. The section was incubated with ab313731 at 4°C overnight (shown in red). Nuclear DNA was labelled with DAPI (shown in blue). The section was then mounted using Fluoromount®.Image was taken with a confocal microscope (Leica-Microsystems, TCS SP8). Heat mediated antigen retrieval was performed using ab93684 (Tris/EDTA buffer, pH 9.0)

Immunohistochemistry (Formalin/PFA-fixed paraffin-embedded sections) - Antigen Retrieval Buffer (100X Tris-EDTA Buffer, pH 9.0) (AB93684)
  • IHC-P

Lab

Immunohistochemistry (Formalin/PFA-fixed paraffin-embedded sections) - Antigen Retrieval Buffer (100X Tris-EDTA Buffer, pH 9.0) (AB93684)

Immunohistochemical analysis of paraffin-embedded human breast cancer labeling Estrogen Receptor alpha with ab205851 at 1/50 (10 ug/ml) dilution.

Nuclear staining on human breast cancer. The primary antibody was incubated overnight at 4°C (shown in magenta). Nuclear DNA was labelled with DAPI (shown in blue). The section was then mounted using Fluoromount®. Heat mediated antigen retrieval was performed using ab93684 (Tris/EDTA buffer, pH 9.0). Image was taken with a confocal microscope (Leica-Microsystems, TCS SP8).

Immunohistochemistry (Formalin/PFA-fixed paraffin-embedded sections) - Antigen Retrieval Buffer (100X Tris-EDTA Buffer, pH 9.0) (AB93684)
  • IHC-P

Supplier Data

Immunohistochemistry (Formalin/PFA-fixed paraffin-embedded sections) - Antigen Retrieval Buffer (100X Tris-EDTA Buffer, pH 9.0) (AB93684)

Immunohistochemical analysis of paraffin-embedded Human colon cancer tissue labeling Met (c-Met) - C-terminal with ab314588 at 1/100 (5.0 ug/ml). Positive staining on human colon cancer. The section was incubated with ab314588 at 4°C overnight (shown in green). Nuclear DNA was labelled with DAPI (shown in blue). The section was then mounted using Fluoromount®. Image was taken with a confocal microscope (Leica-Microsystems, TCS SP8). Heat mediated antigen retrieval was performed using ab93684 (Tris/EDTA buffer, pH 9.0).

Immunohistochemistry (Formalin/PFA-fixed paraffin-embedded sections) - Antigen Retrieval Buffer (100X Tris-EDTA Buffer, pH 9.0) (AB93684)
  • IHC-P

Supplier Data

Immunohistochemistry (Formalin/PFA-fixed paraffin-embedded sections) - Antigen Retrieval Buffer (100X Tris-EDTA Buffer, pH 9.0) (AB93684)

Immunohistochemical analysis of paraffin-embedded Human colon tissue labeling Met (c-Met) - C-terminal with ab314588 at 1/100 (5.0 ug/ml). Positive staining on human colon. The section was incubated with ab314588 at 4°C overnight (shown in green). Nuclear DNA was labelled with DAPI (shown in blue). The section was then mounted using Fluoromount®. Image was taken with a confocal microscope (Leica-Microsystems, TCS SP8). Heat mediated antigen retrieval was performed using ab93684 (Tris/EDTA buffer, pH 9.0).

Immunohistochemistry (Formalin/PFA-fixed paraffin-embedded sections) - Antigen Retrieval Buffer (100X Tris-EDTA Buffer, pH 9.0) (AB93684)
  • IHC-P

Supplier Data

Immunohistochemistry (Formalin/PFA-fixed paraffin-embedded sections) - Antigen Retrieval Buffer (100X Tris-EDTA Buffer, pH 9.0) (AB93684)

Immunohistochemical analysis of paraffin-embedded Human placenta tissue labeling EBI3 with ab314592 at 1/50 (10.0 ug/ml). Cytoplasmic staining on human placental trophoblasts. The section was incubated with ab314592 at 4°C overnight (shown in red). Nuclear DNA was labelled with DAPI (shown in blue). The section was then mounted using Fluoromount®. Image was taken with a confocal microscope (Leica-Microsystems, TCS SP8). Heat mediated antigen retrieval was performed using ab93684 (Tris/EDTA buffer, pH 9.0).

Immunohistochemistry (Formalin/PFA-fixed paraffin-embedded sections) - Antigen Retrieval Buffer (100X Tris-EDTA Buffer, pH 9.0) (AB93684)
  • IHC-P

Supplier Data

Immunohistochemistry (Formalin/PFA-fixed paraffin-embedded sections) - Antigen Retrieval Buffer (100X Tris-EDTA Buffer, pH 9.0) (AB93684)

Immunohistochemical analysis of paraffin-embedded Human skeletal muscl tissue labeling EBI3 with ab314592 at 1/50 (10.0 ug/ml). Negative control : no staining on human skeletal muscle. The section was incubated with ab314592 at 4°C overnight (shown in red). Nuclear DNA was labelled with DAPI (shown in blue). The section was then mounted using Fluoromount®. Image was taken with a confocal microscope (Leica-Microsystems, TCS SP8). Heat mediated antigen retrieval was performed using ab93684 (Tris/EDTA buffer, pH 9.0).

Immunohistochemistry (Formalin/PFA-fixed paraffin-embedded sections) - Antigen Retrieval Buffer (100X Tris-EDTA Buffer, pH 9.0) (AB93684)
  • IHC-P

Supplier Data

Immunohistochemistry (Formalin/PFA-fixed paraffin-embedded sections) - Antigen Retrieval Buffer (100X Tris-EDTA Buffer, pH 9.0) (AB93684)

Immunohistochemical analysis of paraffin-embedded Human colon tissue labeling PTPN12 with ab323838 at 1/50 (10.0 ug/ml) dilution.

Positive staining on human colon.
The primary antibody was incubated overnight at 4°C (shown in green). Nuclear DNA was labelled with DAPI (shown in blue). The section was then mounted using Fluoromount®.
Image was taken with a confocal microscope (Leica-Microsystems, TCS SP8).

Counterstained with DAPI.

Heat mediated antigen retrieval was performed using ab93684 (Tris/EDTA buffer, pH 9.0)

Key facts

Applications

IHC-P

applications

Form

Liquid

form

Storage buffer

pH: 8.7 - 9.1 Constituents: 5% Tris, 5% Tetrasodium ethylene diamine tetraacetate, 1.5% 2-butoxyethanol

storage-buffer

Reactivity data

{ "title": "Reactivity Data", "filters": { "stats": ["", "Reactivity", "Dilution Info", "Notes"] }, "values": { "IHC-P": { "reactivity":"TESTED_AND_REACTS", "dilution-info":"", "notes":"<p></p>" } } }

Product details

Antigen Retrieval Buffer (100X Tris-EDTA Buffer, pH 9.0) enables target retrieval in formalin-fixed, paraffin-embedded tissue sections in one step. It is optimal for use with primary antibodies that require Tris-EDTA buffer (pH 9.0) pretreatment.

This product contains detergent for emulsification of the paraffin.

1X Dilution: The 100X stock solution should be diluted 100-fold with distilled water before use.

Protocol:

  1. Place paraffin-embedded slides in 1x Antigen Retrieval Buffer; cover with a vented plastic wrap, place in microwave and set high power to boil and then set low power to keep it boiling for 10 min. Let the sections cool in the microwave for at least 20min.
  2. Wash sections with hot tap water for 1 minute.
  3. Wash sections in buffer for 2x3 minutes.
  4. Continue with IHC protocol

Other kits and reagents for IHC

Other antigen retrieval buffers include: Citrate buffer pH 6.0 ab93678, EDTA buffer pH 8.0 ab93680, Tris buffer pH 10.0 ab93682, or see the full list of antigen retrieval buffers and enzymes.

Find more kits and reagents for antigen retrieval, blocking, signal amplification, visualization, counterstaining, and mounting in the IHC kits and reagents guide.

Properties and storage information

Shipped at conditions
Ambient - Can Ship with Ice
Appropriate short-term storage conditions
Ambient
Appropriate long-term storage conditions
Ambient

Product protocols

Target data

Publications (87)

Recent publications for all applications. Explore the full list and refine your search

Communications biology 8:995 PubMed40610728

2025

Endometrial stromal Menin supports endometrial receptivity by maintaining homeostasis of WNT signaling pathway through H3K4me3 during WOI.

Applications

Unspecified application

Species

Unspecified reactive species

Xin Xu,Yichen Han,Keer Jin,Weina Xu,Huanyu Zhang,Yana Ma,Xiangjuan Li,Haibin Wang,Mengying Liu,Xiaona Lin

Science advances 11:eadt8697 PubMed40498841

2025

Caspase-1-dependent pyroptosis converts αSMA CAFs into collagen-III iCAFs to fuel chemoresistant cancer stem cells.

Applications

Unspecified application

Species

Unspecified reactive species

Hongbo Gao,Stephen Q R Wong,Ethan Subel,Yung Hsing Huang,Yu-Cheng Lee,Kazukuni Hayashi,Mark Ellie Alonzo,Mustafa Karabicici,Xen Ping Hoi,Armine Kasabyan,Qianxing Mo,Zachary Melchiode,Ziad El-Zaatari,Steven Shen,Raj Satkunasivam,Fotis Nikolos,Keith Syson Chan

Cell death discovery 11:273 PubMed40494873

2025

CYPD limits HR mammary carcinogenesis in mice.

Applications

Unspecified application

Species

Unspecified reactive species

Aitziber Buqué,Manuel Beltrán-Visiedo,Ai Sato,Claudia Galassi,Giulia Petroni,Lorenzo Galluzzi

Cell reports methods 5:101047 PubMed40359937

2025

Harmonizing TUNEL with multiplexed iterative immunofluorescence enriches spatial contextualization of cell death.

Applications

Unspecified application

Species

Unspecified reactive species

Marc S Sherman,Thomas McMahon-Skates,Lindsey S Gaston,Sonya W Katzen,Joseph A Majzoub,Wolfram Goessling

Naunyn-Schmiedeberg's archives of pharmacology : PubMed40317318

2025

Assessment of protective effect of the losartan against cisplatin-induced nephrotoxicity in mice.

Applications

Unspecified application

Species

Unspecified reactive species

Selçuk Teke,Gülsen Bayrak,Erdem Ak,Ali Can Korkmaz,Şakir Necat Yilmaz,Ali Delibaş

Immunity 58:1269-1288.e12 PubMed40311613

2025

Monocytes can efficiently replace all brain macrophages and fetal liver monocytes can generate bona fide SALL1 microglia.

Applications

Unspecified application

Species

Unspecified reactive species

Jonathan Bastos,Carleigh O'Brien,Mónica Vara-Pérez,Myrthe Mampay,Lynn van Olst,Liam Barry-Carroll,Daliya Kancheva,Sophia Leduc,Ayla Line Lievens,Leen Ali,Vladislav Vlasov,Laura Meysman,Hadis Shakeri,Ria Roelandt,Hannah Van Hove,Karen De Vlaminck,Isabelle Scheyltjens,Fazeela Yaqoob,Sonia I Lombroso,Maria Breugelmans,Gilles Faron,Diego Gomez-Nicola,David Gate,F Chris Bennett,Kiavash Movahedi

Cell communication and signaling : CCS 23:146 PubMed40114200

2025

Induction of LY6E regulates interleukin-1β production, potentially contributing to the immunopathogenesis of systemic lupus erythematosus.

Applications

Unspecified application

Species

Unspecified reactive species

Jenn-Haung Lai,De-Wei Wu,Chuan-Yueh Huang,Li-Feng Hung,Chien-Hsiang Wu,Shuk-Man Ka,Ann Chen,Jing-Long Huang,Ling-Jun Ho

Nature medicine 31:1604-1616 PubMed40050704

2025

Microglial mechanisms drive amyloid-β clearance in immunized patients with Alzheimer's disease.

Applications

Unspecified application

Species

Unspecified reactive species

Lynn van Olst,Brooke Simonton,Alex J Edwards,Anne V Forsyth,Jake Boles,Pouya Jamshidi,Thomas Watson,Nate Shepard,Talia Krainc,Benney Mr Argue,Ziyang Zhang,Joshua Kuruvilla,Lily Camp,Mengwei Li,Hang Xu,Jeanette L Norman,Joshua Cahan,Robert Vassar,Jinmiao Chen,Rudolph J Castellani,James Ar Nicoll,Delphine Boche,David Gate

Iranian journal of pathology 19:415-521 PubMed40034933

2025

Histopathological Evaluation of PYGO2 Expression in Esophageal Squamous Cell Carcinoma.

Applications

Unspecified application

Species

Unspecified reactive species

Sima Ardalan Khales,Habibeh Rahmani Kalat,Sedigheh Soleymani,Amir Hossein Jafarian,Mohammad Mahdi Forghanifard

NPJ precision oncology 8:278 PubMed39627379

2024

Assessing CD36 and CD47 expression levels in solid tumor indications to stratify patients for VT1021 treatment.

Applications

Unspecified application

Species

Unspecified reactive species

Suming Wang,Victor Zota,Melanie Y Vincent,Donna Clossey,Jian Jenny Chen,Michael Cieslewicz,Randolph S Watnick,James Mahoney,Jing Watnick
View all publications

Product promise

We are committed to supporting your work with high-quality reagents, and we're here for you every step of the way. In the unlikely event that one of our products does not perform as expected, you're protected by our Product Promise.
For full details, please see our Terms & Conditions

Please note: All products are 'FOR RESEARCH USE ONLY. NOT FOR USE IN DIAGNOSTIC OR THERAPEUTIC PROCEDURES'.

For licensing inquiries, please contact partnerships@abcam.com