JavaScript is disabled in your browser. Please enable JavaScript to view this website.
AB287239

Human BRD3 knockout HCT116 cell line

Be the first to review this product! Submit a review

|

(0 Publication)

BRD3 KO cell line available to order. KO validated by Next Generation Sequencing. Free of charge wild type control available. To order both knockout and wild-type control cells: select '2 x 1000000 Cells/vial'. To order only knockout cells: select '1000000 Cells/vial'.

View Alternative Names

BRD3_HUMAN, Bromodomain containing 3, Bromodomain-containing protein 3, KIAA0043, ORFX, Open reading frame X, RING3 like gene, RING3-like protein, RING3L

2 Images
Western blot - Human BRD3 knockout HCT116 cell line (AB287239)
  • WB

Lab

Western blot - Human BRD3 knockout HCT116 cell line (AB287239)

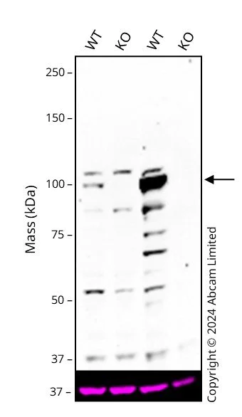
Western blot : Anti-BRD3 antibody [EPR23743-226] (ab300106) staining at 1/500 dilution, shown in green; Mouse anti-GAPDH antibody [6C5] (ab8245) loading control staining at 1/20000 dilution, shown in magenta. In Western blot, ab300106 was shown to bind specifically to BRD3.

A band was observed at 90-100 kDa in wild-type HCT 116 cell lysates with no signal observed at this size in BRD3 knockout cell line.

To generate this image, wild-type and BRD3 knockout HCT 116 cell lysates were analysed. First, samples were run on an SDS-PAGE gel then transferred onto a nitrocellulose membrane. Membranes were blocked in 3 % milk in TBS-0.1 % Tween® 20 (TBS-T) before incubation with primary antibodies overnight at 4 °C. Blots were washed four times in TBS-T, incubated with secondary antibodies for 1 h at room temperature, washed again four times then imaged.

Secondary antibodies used were HRP conjugated Goat anti-Rabbit (H+L) and Goat anti-Mouse IgG H&L 680RD at 1/20000 dilution.

All lanes:

Western blot - Anti-BRD3 antibody [EPR23743-226] (<a href='/en-us/products/primary-antibodies/brd3-antibody-epr23743-226-ab300106'>ab300106</a>) at 1/500 dilution

Lane 1:

Wild-type HCT 116 cell lysate at 20 µg

Lane 2:

BRD3 knockout HCT 116 cell lysate at 20 µg

Lane 2:

Western blot - Human BRD3 knockout HCT116 cell line (ab287239)

Lane 3:

Wild-type HEK-293T ab255553 cell lysate at 20 µg

Lane 4:

BRD3 knockout HEK-293T ab260529 cell lysate at 20 µg

Secondary

Lanes 1 - 4:

HRP conjugated Goat anti-Rabbit (H+L) at 1/20000 dilution

Lanes 1 - 4:

Goat anti-Mouse IgG H&L 680RD at 1/20000 dilution

Observed band size: 90-100 kDa

false

Next Generation Sequencing - Human BRD3 knockout HCT116 cell line (AB287239)
  • NGS

Lab

Next Generation Sequencing - Human BRD3 knockout HCT116 cell line (AB287239)

121 bp deletion (allele 1) and 43 bp deletion (allele 2) in exon 1, CCDS6980.1

Key facts

Cell type

HCT116

Species or organism

Human

Tissue

Colon

Form

Liquid

form

Knockout validation

Next Generation Sequencing

Disease

Carcinoma

Reactivity data

{ "title": "Reactivity Data", "filters": { "stats": ["", "Reactivity", "Dilution Info", "Notes"] }, "values": { "NGS": { "reactivity":"TESTED_AND_REACTS", "dilution-info":"", "notes":"<p></p>" }, "WB": { "reactivity":"TESTED_AND_REACTS", "dilution-info":"", "notes":"<p></p>" } } }

Product details

Recommended control: Human wild-type HCT116 cell line (ab288559). Please note a wild-type cell line is not automatically included with a knockout cell line order, if required please add recommended wild-type cell line at no additional cost using the code WILDTYPE-TMTK1.

We will provide viable cells that proliferate on revival.

This product is subject to limited use licenses from The Broad Institute and ERS Genomics Limited, and is developed with patented technology. For full details of the limited use licenses and relevant patents please refer to our limited use license and patent pages.

Properties and storage information

Gene name
BRD3
Gene editing type
Knockout
Gene editing method
CRISPR technology
Knockout validation
Next Generation Sequencing
Shipped at conditions
Dry Ice
Appropriate short-term storage conditions
-196°C
Appropriate long-term storage conditions
-196°C

Handling procedures

Initial handling guidelines

Upon arrival, the vial should be stored in liquid nitrogen vapor phase and not at -80°C. Storage at -80°C may result in loss of viability.

1. Thaw the vial in 37°C water bath for approximately 1-2 minutes.
2. Transfer the cell suspension (0.8 mL) to a 15 mL/50 mL conical sterile polypropylene centrifuge tube containing 8.4 mL pre-warmed culture medium, wash vial with an additional 0.8 mL culture medium (total volume 10 mL) to collect remaining cells, and centrifuge at 201 x g (rcf) for 5 minutes at room temperature. 10 mL represents minimum recommended dilution. 20 mL represents maximum recommended dilution.
3. Resuspend the cell pellet in 5 mL pre-warmed culture medium and count using a haemocytometer or alternative cell counting method seed all remaining cells into a T25.
4. Incubate the culture at 37°C incubator with 5% CO2. Check the culture one day after revival and continue to check until 80% confluent. Media change can be given if needed.
5. Once confluent passage into an appropriate flask at a density of 2x104 cells/cm2. Seeding density is given as a guide only and should be scaled to align with individual lab schedules. Cultures should be monitored daily.

Subculture guidelines
  • All seeding densities should be based on cell counts gained by established methods.
  • A guide seeding density of 2x104 cells/cm2 is recommended.
  • Cells should be passaged when they have achieved 80-90% confluence.
Culture medium

McCoY5a + 10% FBS

Cryopreservation medium

Cell Freezing Medium-DMSO Serum free media, contains 8.7% DMSO in MEM supplemented with methyl cellulose.

Quality control

STR analysis

CSF1PO, D13S317, D7S820, D5S818, TH01, D16S539, TPOX

Cell culture

Biosafety level

EU: 1 US: 1

Adherent/suspension

Adherent

Gender

Male

Product protocols

Product promise

We are committed to supporting your work with high-quality reagents, and we're here for you every step of the way. In the unlikely event that one of our products does not perform as expected, you're protected by our Product Promise.
For full details, please see our Terms & Conditions

Please note: All products are 'FOR RESEARCH USE ONLY. NOT FOR USE IN DIAGNOSTIC OR THERAPEUTIC PROCEDURES'.

For licensing inquiries, please contact partnerships@abcam.com