JavaScript is disabled in your browser. Please enable JavaScript to view this website.
AB266954

Human CBR1 knockout A549 cell line

Be the first to review this product! Submit a review

|

(0 Publication)

CBR1 KO cell line available to order. KO validated by Western blot. Free of charge wild type control available. Knockout achieved by using CRISPR/Cas9, Homozygous: 1 bp insertion in exon 1. To order both knockout and wild-type control cells: select 2 x 1000000Cells/vial. To order only knockout cells: select 1000000Cells/vial.

View Alternative Names

15-hydroxyprostaglandin dehydrogenase [NADP+], CBR1_HUMAN, CRN, Carbonyl Reductase 1, Carbonyl reductase [NADPH] 1, NADPH-dependent carbonyl reductase 1, Prostaglandin 9-ketoreductase, Prostaglandin-E(2) 9-reductase, SDR21C1

2 Images
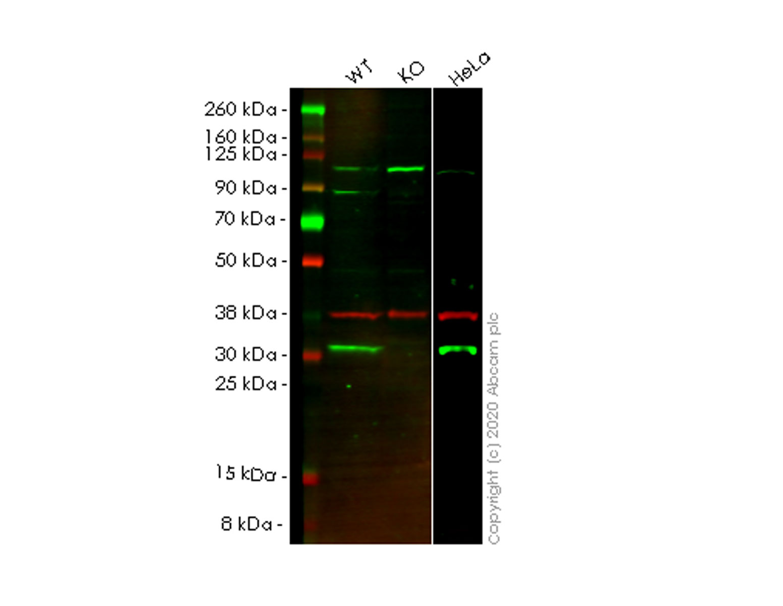
Western blot - Human CBR1 knockout A549 cell line (AB266954)
  • WB

Lab

Western blot - Human CBR1 knockout A549 cell line (AB266954)

Lanes 1-3 : Merged signal (red and green). Green - ab156590 observed at 30 kDa. Red - loading control ab8245 observed at 36 kDa.

ab156590 Anti-CBR1 antibody [EPR9660] was shown to specifically react with CBR1 in wild-type A549 cells. Loss of signal was observed when knockout cell line ab266954 (knockout cell lysate ab257874) was used. Wild-type and CBR1 knockout samples were subjected to SDS-PAGE. ab156590 and Anti-GAPDH antibody [6C5] - Loading Control (ab8245) were incubated overnight at 4°C at 1 in 1000 dilution and 1 in 20000 dilution respectively. Blots were developed with Goat anti-Rabbit IgG H&L (IRDye® 800CW) preadsorbed (ab216773) and Goat anti-Mouse IgG H&L (IRDye® 680RD) preadsorbed (ab216776) secondary antibodies at 1 in 20000 dilution for 1 hour at room temperature before imaging.

All lanes:

Western blot - Anti-CBR1 antibody [EPR9660] (<a href='/en-us/products/primary-antibodies/cbr1-antibody-epr9660-ab156590'>ab156590</a>) at 1/1000 dilution

Lane 1:

Wild-type A549 cell lysate at 20 µg

Lane 2:

CBR1 knockout A549 cell lysate at 20 µg

Lane 2:

Western blot - Human CBR1 knockout A549 cell line (ab266954)

Lane 3:

HeLa cell lysate at 20 µg

Secondary

All lanes:

Western blot - Goat anti-Rabbit IgG H&L (IRDye® 800CW) preadsorbed (<a href='/en-us/products/secondary-antibodies/goat-rabbit-igg-h-l-irdye-800cw-preadsorbed-ab216773'>ab216773</a>) at 1/10000 dilution

Predicted band size: 30 kDa

Observed band size: 30 kDa

false

Sanger Sequencing - Human CBR1 knockout A549 cell line (AB266954)
  • Sanger seq

Unknown

Sanger Sequencing - Human CBR1 knockout A549 cell line (AB266954)

Homozygous : 1 bp insertion in exon1

Key facts

Cell type

A549

Species or organism

Human

Tissue

Lung

Form

Liquid

form

Knockout validation

Sanger Sequencing,Western blot

Mutation description

Knockout achieved by using CRISPR/Cas9, Homozygous: 1 bp insertion in exon 1

Disease

Carcinoma

Reactivity data

{ "title": "Reactivity Data", "filters": { "stats": ["", "Reactivity", "Dilution Info", "Notes"] }, "values": { "WB": { "reactivity":"TESTED_AND_REACTS", "dilution-info":"", "notes":"<p></p>" } } }

Product details

We will provide viable cells that proliferate on revival.

This product is subject to limited use licenses from The Broad Institute, ERS Genomics Limited and Sigma-Aldrich Co. LLC, and is developed with patented technology. For full details of the licenses and patents please refer to our limited use license and patent pages.

What's included?

{ "values": { "2x1000000Cellsvial": { "sellingSize": "2 x 1000000 Cells/vial", "publicAssetCode":"ab266954-2x1000000Cells_vial", "assetComponentDetails": [ { "size":"1 x 1000000 Cells/vial", "name":"ab266954 Human CBR1 knockout A549 cell line", "number":"AB266954-CMP01" }, { "size":"1 x 1000000 Cells/vial", "name":"ab255450 Human wild-type A549 cell line", "number":"AB266954-CMP02" } ] }, "2x1000000Cellsvial": { "sellingSize": "2 x 1000000 Cells/vial", "publicAssetCode":"ab266954-2x1000000Cells_vial", "assetComponentDetails": [ { "size":"1 x 1000000 Cells/vial", "name":"ab255450 Human wild-type A549 cell line", "number":"AB266954-CMP02" }, { "size":"1 x 1000000 Cells/vial", "name":"ab266954 Human CBR1 knockout A549 cell line", "number":"AB266954-CMP01" } ] }, "1000000Cellsvial": { "sellingSize": "1000000 Cells/vial", "publicAssetCode":"ab266954-1000000Cells_vial", "assetComponentDetails": [ { "size":"1 x 1000000 Cells/vial", "name":"ab266954 Human CBR1 knockout A549 cell line", "number":"AB266954-CMP01" } ] }, "1000000Cellsvial": { "sellingSize": "1000000 Cells/vial", "publicAssetCode":"ab266954-1000000Cells_vial", "assetComponentDetails": [ { "size":"1 x 1000000 Cells/vial", "name":"ab266954 Human CBR1 knockout A549 cell line", "number":"AB266954-CMP01", "productcode":"" } ] } } }

Properties and storage information

Gene name
CBR1
Gene editing type
Knockout
Gene editing method
CRISPR technology
Knockout validation
Sanger Sequencing, Western blot
Zygosity
Homozygous
Shipped at conditions
Dry Ice
Appropriate short-term storage conditions
-196°C
Appropriate long-term storage conditions
-196°C

Handling procedures

Initial handling guidelines

Upon arrival, the vial should be stored in liquid nitrogen vapor phase and not at -80°C. Storage at -80°C may result in loss of viability.

1. Thaw the vial in 37°C water bath for approximately 1-2 minutes.
2. Transfer the cell suspension (0.8 mL) to a 15 mL/50 mL conical sterile polypropylene centrifuge tube containing 8.4 mL pre-warmed culture medium, wash vial with an additional 0.8 mL culture medium (total volume 10 mL) to collect remaining cells, and centrifuge at 201 x g (rcf) for 5 minutes at room temperature. 10 mL represents minimum recommended dilution. 20 mL represents maximum recommended dilution.
3. Resuspend the cell pellet in 5 mL pre-warmed culture medium and count using a haemocytometer or alternative cell counting method seed all remaining cells into a T25.
4. Incubate the culture at 37°C incubator with 5% CO2. Check the culture one day after revival and continue to check until 80% confluent. Media change can be given if needed.
5. Once confluent passage into an appropriate flask at a density of 2x104 cells/cm2. Seeding density is given as a guide only and should be scaled to align with individual lab schedules. Cultures should be monitored daily.

Subculture guidelines
  • All seeding densities should be based on cell counts gained by established methods.
  • A guide seeding density of 2x104 cells/cm2 is recommended.
  • Cells should be passaged when they have achieved 80-90% confluence.
  • Do not allow the cell density to exceed 7x104 cells/cm2.
Culture medium

F-12K + 10% FBS

Cryopreservation medium

Cell Freezing Medium-DMSO Serum free media, contains 8.7% DMSO in MEM supplemented with methyl cellulose.

Supplementary information

This supplementary information is collated from multiple sources and compiled automatically.

Cbr1 also known as carbonyl reductase 1 is an important enzyme in the reduction of carbonyl compounds to their alcohol forms. It weighs around 30 kDa and exhibits a wide expression across various tissues but is notably present in the liver and heart. The enzyme acts as a monomer and follows an NADPH-dependent mechanism for its action playing an important role in the detoxification of xenobiotics and the metabolism of endogenous compounds.
Biological function summary

Carbonyl reductase 1 functions in the metabolism of prostaglandins steroids and aromatic aldehydes. Cbr1 is not known to form part of a larger protein complex but acts independently to execute its enzymatic roles. It exhibits broad substrate specificity allowing it to reduce a variety of carbonyl groups which influences several physiological processes such as lipid metabolism and hormone synthesis.

Pathways

The enzyme plays an important role in the prostaglandin metabolic pathway where it reduces prostaglandin E2. Additionally Cbr1 interacts within the retinol metabolism pathway. In these pathways it functions alongside proteins such as aldo-keto reductases and aldose reductase sharing substrate specificity which impacts cellular responses and metabolic regulation.

Cbr1 influences the development of drug resistance in cancer therapy particularly in anthracycline-treated cancers due to its role in drug metabolism. It also associates with cardiovascular conditions where its metabolic activity might affect oxidative stress levels. Connections with other proteins such as superoxide dismutases link Cbr1 to oxidative stress response pathways impacting disease progression and therapy outcomes.

Quality control

STR analysis

CSF1PO, D13S317, D7S820, D5S818, TH01, D16S539, TPOX

Cell culture

Biosafety level

EU: 1 US: 1

Adherent/suspension

Adherent

Gender

Male

Product protocols

Product promise

We are committed to supporting your work with high-quality reagents, and we're here for you every step of the way. In the unlikely event that one of our products does not perform as expected, you're protected by our Product Promise.
For full details, please see our Terms & Conditions

Please note: All products are 'FOR RESEARCH USE ONLY. NOT FOR USE IN DIAGNOSTIC OR THERAPEUTIC PROCEDURES'.

For licensing inquiries, please contact partnerships@abcam.com