JavaScript is disabled in your browser. Please enable JavaScript to view this website.
AB267047

Human CEACAM1 knockout A549 cell line

Be the first to review this product! Submit a review

|

(0 Publication)

CEACAM1 KO cell line available to order. KO validated by Western blot. Free of charge wild type control provided. Knockout achieved by using CRISPR/Cas9, Homozygous: 1 bp insertion in exon 3.

View Alternative Names

Antigen CD66, BGP, BGP-1, BGPI, Biliary glycoprotein, Biliary glycoprotein 1, Biliary glycoprotein adhesion molecule, CD66a, CD66a antigen, CEACAM1, CEAM1_HUMAN, Carcinoembryonic antigen-related cell adhesion molecule 1, Meconium antigen 100, carcinoembryonic antigen-related cell adhesion molecule 1 (biliary glycoprotein)

3 Images
Western blot - Human CEACAM1 knockout A549 cell line (AB267047)
  • WB

Lab

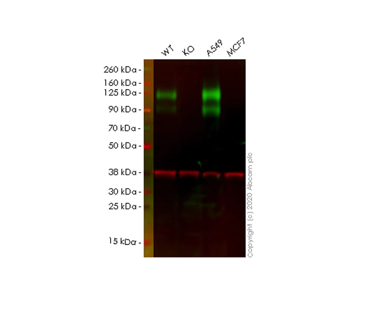
Western blot - Human CEACAM1 knockout A549 cell line (AB267047)

Lanes 1-4 : Merged signal (red and green). Green - ab108397 observed at 100-180 kDa. Red - loading control ab8245 observed at 36 kDa.

ab108397 Anti-CEACAM1 antibody [EPR4049] was shown to specifically react with CEACAM1 in wild-type A549 cells. Loss of signal was observed when knockout cell line ab267047 (knockout cell lysate ab257389) was used. Wild-type and CEACAM1 knockout samples were subjected to SDS-PAGE. ab108397 and Anti-GAPDH antibody [6C5] - Loading Control (ab8245) were incubated overnight at 4°C at 1 in 1000 dilution and 1 in 20000 dilution respectively. Blots were developed with Goat anti-Rabbit IgG H&L (IRDye® 800CW) preadsorbed (ab216773) and Goat anti-Mouse IgG H&L (IRDye® 680RD) preadsorbed (ab216776) secondary antibodies at 1 in 20000 dilution for 1 hour at room temperature before imaging.

All lanes:

Western blot - Anti-CEACAM1 antibody [EPR4049] (<a href='/en-us/products/primary-antibodies/ceacam1-antibody-epr4049-ab108397'>ab108397</a>) at 1/1000 dilution

Lane 1:

Wild-type A549 cell lysate at 20 µg

Lane 2:

CEACAM1 knockout A549 cell lysate at 20 µg

Lane 2:

Western blot - Human CEACAM1 knockout A549 cell line (ab267047)

Lane 3:

A549 cell lysate at 20 µg

Lane 4:

MCF7 cell lysate at 20 µg

Secondary

All lanes:

Western blot - Goat anti-Rabbit IgG H&L (IRDye® 800CW) preadsorbed (<a href='/en-us/products/secondary-antibodies/goat-rabbit-igg-h-l-irdye-800cw-preadsorbed-ab216773'>ab216773</a>) at 1/10000 dilution

Predicted band size: 57 kDa

Observed band size: 100-180 kDa

false

Sanger Sequencing - Human CEACAM1 knockout A549 cell line (AB267047)
  • Sanger seq

Unknown

Sanger Sequencing - Human CEACAM1 knockout A549 cell line (AB267047)

Homozygous : 1 bp insertion in exon3

Cell Culture - Human CEACAM1 knockout A549 cell line (AB267047)
  • Cell Culture

Unknown

Cell Culture - Human CEACAM1 knockout A549 cell line (AB267047)

Representative images of CEACAM1 knockout A549 cells, low and high confluency examples (top left and right respectively) and wild-type A549 cells, low and high confluency (bottom left and right respectively) showing typical adherent, epithelial-like morphology. Images were captured at 10X magnification using an EVOS M5000 microscope.

Key facts

Cell type

A549

Species or organism

Human

Tissue

Lung

Form

Liquid

form

Knockout validation

Sanger Sequencing,Western blot

Mutation description

Knockout achieved by using CRISPR/Cas9, Homozygous: 1 bp insertion in exon 3

Antibiotic resistance

Puromycin 1µg/mL

Disease

Carcinoma

Reactivity data

{ "title": "Reactivity Data", "filters": { "stats": ["", "Reactivity", "Dilution Info", "Notes"] }, "values": { "WB": { "reactivity":"TESTED_AND_REACTS", "dilution-info":"", "notes":"<p></p>" } } }

Product details

Recommended control: Human wild-type A549 cell line (ab255450). Please note a wild-type cell line is not automatically included with a knockout cell line order, if required please add recommended wild-type cell line at no additional cost using the code WILDTYPE-TMTK1.

We will provide viable cells that proliferate on revival.

This product is subject to limited use licenses from The Broad Institute, ERS Genomics Limited and Sigma-Aldrich Co. LLC, and is developed with patented technology. For full details of the licenses and patents please refer to our limited use license and patent pages.

What's included?

{ "values": { "1000000Cellsvial": { "sellingSize": "1000000 Cells/vial", "publicAssetCode":"ab267047-1000000Cells_vial", "assetComponentDetails": [ { "size":"1 x 1000000 Cells/vial", "name":"ab267047 Human CEACAM1 knockout A549 cell line", "number":"AB267047-CMP01", "productcode":"" } ] } } }

Properties and storage information

Gene name
CEACAM1
Gene editing type
Knockout
Gene editing method
CRISPR technology
Knockout validation
Sanger Sequencing, Western blot
Zygosity
Homozygous
Shipped at conditions
Dry Ice
Appropriate short-term storage conditions
-196°C
Appropriate long-term storage conditions
-196°C

Handling procedures

Initial handling guidelines

Upon arrival, the vial should be stored in liquid nitrogen vapor phase and not at -80°C. Storage at -80°C may result in loss of viability.

1. Thaw the vial in 37°C water bath for approximately 1-2 minutes.
2. Transfer the cell suspension (0.8 mL) to a 15 mL/50 mL conical sterile polypropylene centrifuge tube containing 8.4 mL pre-warmed culture medium, wash vial with an additional 0.8 mL culture medium (total volume 10 mL) to collect remaining cells, and centrifuge at 201 x g (rcf) for 5 minutes at room temperature. 10 mL represents minimum recommended dilution. 20 mL represents maximum recommended dilution.
3. Resuspend the cell pellet in 5 mL pre-warmed culture medium and count using a haemocytometer or alternative cell counting method seed all remaining cells into a T25.
4. Incubate the culture at 37°C incubator with 5% CO2. Check the culture one day after revival and continue to check until 80% confluent. Media change can be given if needed.
5. Once confluent passage into an appropriate flask at a density of 2x104 cells/cm2. Seeding density is given as a guide only and should be scaled to align with individual lab schedules. Cultures should be monitored daily.

Subculture guidelines
  • All seeding densities should be based on cell counts gained by established methods.
  • A guide seeding density of 2x104 cells/cm2 is recommended.
  • Cells should be passaged when they have achieved 80-90% confluence.
  • Do not allow the cell density to exceed 7x104 cells/cm2.
Culture medium

F-12K + 10% FBS

Cryopreservation medium

Cell Freezing Medium-DMSO Serum free media, contains 8.7% DMSO in MEM supplemented with methyl cellulose.

Supplementary information

This supplementary information is collated from multiple sources and compiled automatically.

CEACAM1 also known as CD66a is a cell adhesion molecule that plays a critical role in various cellular processes. The protein weighs around 120 kDa and is part of the immunoglobulin superfamily. CEACAM1 is expressed on the surface of various cell types including epithelial cells leukocytes and endothelial cells. The presence of CEACAM1 is important in tissues such as the liver lungs and gastrointestinal tract where it performs essential roles in cell signaling and communication.
Biological function summary

CEACAM1 influences cellular adhesion and immune responses by mediating cell-cell interactions. It forms homophilic dimers at the cell surface and it can participate in heterophilic interactions with other proteins making it part of complex cell signaling networks. These interactions regulate immune cell functions contributing to innate immune responses and cellular homeostasis. CEACAM1 also modulates angiogenesis endothelial cell permeability and apoptosis.

Pathways

CEACAM1 is involved in signaling and regulatory pathways important for immune surveillance and inflammation. It is a part of the TGF-beta signaling pathway affecting cellular proliferation and differentiation. CEACAM1 interacts with proteins such as SHP-1 and SHP-2 which are essential in modulating immune responses. Additionally CEACAM1 influences the MAPK/ERK pathway which plays a role in cell growth and survival.

CEACAM1 is associated with cancer and inflammatory diseases. In colorectal cancer altered expression of CEACAM1 contributes to tumor progression and metastasis. The protein also plays a role in inflammatory bowel disease where it affects the epithelial barrier function and immune cell interaction. Through these conditions CEACAM1 interacts with other proteins like CEA and IL-6 which are pivotal in disease development and progression.

Quality control

STR analysis

CSF1PO, D13S317, D7S820, D5S818, TH01, D16S539, TPOX

Cell culture

Biosafety level

EU: 1 US: 1

Adherent/suspension

Adherent

Gender

Male

Product protocols

Product promise

We are committed to supporting your work with high-quality reagents, and we're here for you every step of the way. In the unlikely event that one of our products does not perform as expected, you're protected by our Product Promise.
For full details, please see our Terms & Conditions

Please note: All products are 'FOR RESEARCH USE ONLY. NOT FOR USE IN DIAGNOSTIC OR THERAPEUTIC PROCEDURES'.

For licensing inquiries, please contact partnerships@abcam.com