JavaScript is disabled in your browser. Please enable JavaScript to view this website.
AB286260

Human ErbB2 / HER2 knockout MCF7 cell line

Be the first to review this product! Submit a review

|

(0 Publication)

Human ErbB2 / HER2 knockout MCF7 cell line (ab286260) available to order. Recommended control: Human wild-type MCF7 cell line (ab288560).

- ErbB2 / HER2 KO validation: Next Generation Sequencing (NGS), Western blot
- Concentration: 1 million cells/vial

View Alternative Names

C erb B2/neu protein, CD340, CD340 antigen, CerbB2, ERBB2_HUMAN, Erb b2 receptor tyrosine kinase 2, ErbB-2 proto-oncogene, HER 2, HER 2/NEU, Herstatin, Human epidermal growth factor receptor 2, MLN 19, Metastatic lymph node gene 19 protein, NEU, NEU proto oncogene, NGL, Neuro/glioblastoma derived oncogene homolog, Neuroblastoma/glioblastoma derived oncogene homolog, Proto-oncogene Neu, Proto-oncogene c-ErbB-2, Receptor tyrosine-protein kinase erbB-2, TKR1, Tyrosine kinase-type cell surface receptor HER2, V erb b2 avian erythroblastic leukemia viral oncogene homolog 2, V erb b2 avian erythroblastic leukemia viral oncogene homolog 2 (neuro/glioblastoma derived oncogene homolog), V erb b2 avian erythroblastic leukemia viral oncoprotein 2, V erb b2 erythroblastic leukemia viral oncogene homolog 2, neuro/glioblastoma derived oncogene homolog, V erb b2 erythroblastic leukemia viral oncogene homolog 2, neuro/glioblastoma derived oncogene homolog (avian), Verb b2 erythroblastic leukemia viral oncogene homolog 2, neuro/glioblastoma derived oncogene homolog, p185erbB2

4 Images
Western blot - Human ErbB2 / HER2 knockout MCF7 cell line (AB286260)
  • WB

Lab

Western blot - Human ErbB2 / HER2 knockout MCF7 cell line (AB286260)

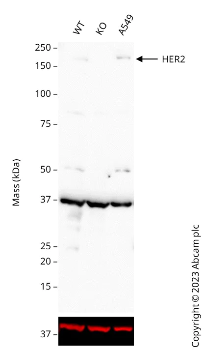
Western blot : Anti-ErbB2 / HER2 antibody [EP1045Y] staining at 1/500 dilution, shown in black; Mouse anti-Alpha Tubulin [DM1A] (ab7291) loading control staining at 1/20000 dilution, shown in red. In Western blot, ab134182 was shown to bind specifically to ErbB2 / HER2. A band was observed at 180 kDa in wild-type MCF7 cell lysates with no signal observed at this size in ERBB2 knockout cell line ab286260 (knockout cell lysate ab300208). To generate this image, wild-type and ERBB2 knockout MCF7 cell lysates were analysed. First, samples were run on an SDS-PAGE gel then transferred onto a nitrocellulose membrane. Membranes were blocked in 3 % milk in TBS-0.1 % Tween® 20 (TBS-T) before incubation with primary antibodies overnight at 4 °C. Blots were washed four times in TBS-T, incubated with secondary antibodies for 1 h at room temperature and washed again four times. Secondary antibodies used were HRP conjugated Goat anti-Rabbit (H+L) and Goat anti-Mouse IgG H&L 680RD at 1/20000 dilution. This blot was developed with an ultra high-sensitivity ECL substrate kit and imaged with 20 minutes exposure time.

All lanes:

Western blot - Anti-ErbB2 / HER2 antibody [EP1045Y] (<a href='/en-us/products/primary-antibodies/erbb2-her2-antibody-ep1045y-ab134182'>ab134182</a>) at 1/500 dilution

Lane 1:

Wild-type MCF7 cell lysate at 32 µg

Lane 2:

Western blot - Human ERBB2 knockout MCF7 cell lysate (ab300208)

Lane 2:

Western blot - Human ErbB2 / HER2 knockout MCF7 cell line (ab286260)

Lane 2:

ERBB2 knockout MCF7 cell lysate at 32 µg

Lane 3:

A549 cell lysate at 16 µg

Secondary

All lanes:

HRP conjugated Goat anti-Rabbit (H+L) and Goat anti-Mouse IgG H&L 680RD at 1/20000 dilution

Predicted band size: 137 kDa

Observed band size: 180 kDa

false

Western blot - Human ErbB2 / HER2 knockout MCF7 cell line (AB286260)
  • WB

Lab

Western blot - Human ErbB2 / HER2 knockout MCF7 cell line (AB286260)

Anti-ErbB2 / HER2 antibody [CAL27] staining at 1/500 dilution, shown in green; Mouse anti-Alpha Tubulin [DM1A] (ab7291) loading control staining at 1/20000 dilution, shown in red. In Western blot, ab237715 was shown to bind specifically to ErbB2 / HER2. A band was observed at 180 kDa in wild-type MCF7 cell lysates with no signal observed at this size in ERBB2 knockout cell line ab286260 (knockout cell lysate ab300208). To generate this image, wild-type and ERBB2 knockout MCF7 cell lysates were analysed. First, samples were run on an SDS-PAGE gel then transferred onto a nitrocellulose membrane. Membranes were blocked in 3 % milk in TBS-0.1 % Tween® 20 (TBS-T) before incubation with primary antibodies overnight at 4 °C. Blots were washed four times in TBS-T, incubated with secondary antibodies for 1 h at room temperature, washed again four times then imaged. Secondary antibodies used were HRP conjugated Goat anti-Rabbit (H+L) and Goat anti-Mouse IgG H&L 680RD at 1/20000 dilution.

All lanes:

Western blot - Anti-ErbB2 / HER2 antibody [CAL27] (<a href='/en-us/products/primary-antibodies/erbb2-her2-antibody-cal27-ab237715'>ab237715</a>) at 1/500 dilution

Lane 1:

Wild-type MCF7 cell lysate at 32 µg

Lane 2:

Western blot - Human ErbB2 / HER2 knockout MCF7 cell line (ab286260)

Lane 2:

Western blot - Human ERBB2 knockout MCF7 cell lysate (ab300208)

Lane 2:

ERBB2 knockout MCF7 cell lysate at 32 µg

Lane 3:

SK-BR-3 cell lysate at 16 µg

Secondary

All lanes:

HRP conjugated Goat anti-Rabbit (H+L) and Goat anti-Mouse IgG H&L 680RD at 1/20000 dilution

Predicted band size: 137 kDa

Observed band size: 180 kDa

false

Next Generation Sequencing - Human ErbB2 / HER2 knockout MCF7 cell line (AB286260)
  • NGS

Lab

Next Generation Sequencing - Human ErbB2 / HER2 knockout MCF7 cell line (AB286260)

143 bp deletion after the Gln90 of the WT protein.

Next Generation Sequencing - Human ErbB2 / HER2 knockout MCF7 cell line (AB286260)
  • NGS

Lab

Next Generation Sequencing - Human ErbB2 / HER2 knockout MCF7 cell line (AB286260)

143 bp deletion after the Gln90 of the WT protein.

Key facts

Cell type

MCF7

Species or organism

Human

Tissue

Breast

Form

Liquid

form

Knockout validation

Next Generation Sequencing,Western blot

Disease

Adenocarcinoma

Reactivity data

{ "title": "Reactivity Data", "filters": { "stats": ["", "Reactivity", "Dilution Info", "Notes"] }, "values": { "NGS": { "reactivity":"TESTED_AND_REACTS", "dilution-info":"", "notes":"<p></p>" } } }

Have you thought about this alternative?

AB286644

Human ErbB2 / HER2 knockout HCT116 cell line

0
0 Reviews
View product

We’re constantly upgrading our range to offer the highest quality products. We have selected this alternative product for your review because it gives improved performance, is easier and more convenient to use, or is available faster.

Product details

Although we aim to provide customers with a homozygous clone, feasibility will be dependent on the biology of the protein. Should only heterozygous edits be achieved, you will be notified of the outcome and be asked to confirm whether the cell line is acceptable. All clones will be accompanied with DNA sequencing data, and the mutation description.

ab286260 KO Description: 143 bp deletion after amino acid Gln90 of the WT ErbB2 / HER2 protein.

Recommended control
Human wild-type MCF7 cell line (ab288560). WT MCF7 cells display epithelial morphology.

Please note a wild-type cell line is not automatically included with a knockout cell line order, if required please add recommended wild-type cell line at no additional cost using the code WILDTYPE-TMTK1.

We will provide viable cells that proliferate on revival.

This product is subject to limited use licenses from The Broad Institute and ERS Genomics Limited, and is developed with patented technology. For full details of the limited use licenses and relevant patents please refer to our limited use license and patent pages.

Properties and storage information

Gene name
ERBB2
Gene editing type
Knockout
Gene editing method
CRISPR technology
Knockout validation
Next Generation Sequencing, Western blot
Shipped at conditions
Dry Ice
Appropriate short-term storage conditions
-196°C
Appropriate long-term storage conditions
-196°C

Handling procedures

Subculture guidelines
  • Slow to trypsinise.
  • All seeding densities should be based on cell counts gained by established methods.
  • A guide seeding density of 5-7x104 cells/cm2 is recommended.
  • Cells should be passaged when they have achieved 80-90% confluence.
Culture medium

MEM + 10% FBS + 0.01 mg/ml bovine insulin

Cryopreservation medium

Cell Freezing Medium-DMSO Serum free media, contains 8.7% DMSO in MEM supplemented with methyl cellulose.

Supplementary information

This supplementary information is collated from multiple sources and compiled automatically.

The ErbB2 also known as HER2 or HER2 protein is a transmembrane receptor protein with a molecular weight of about 185 kDa. It serves as part of the epidermal growth factor receptor (EGFR) family of receptor tyrosine kinases. The ErbB2 protein is expressed mainly in epithelial tissues including those of the breast and the gastrointestinal tract. It lacks a known ligand-binding domain which sets it apart from other members of its family. Due to its structure ErbB2 dimerizes with other members of the EGFR family to exert its effects in cellular signaling.
Biological function summary

The role of ErbB2 extends beyond a singular function. It becomes an active component when forming heterodimers with other EGFR family members such as ErbB3 to initiate various downstream signaling cascades. The dimerization activates intracellular pathways leading to cell proliferation survival differentiation and migration. Within cells ErbB2 influences processes critical for normal development and tissue homeostasis contributing significantly to signal transduction networks.

Pathways

ErbB2 plays a pivotal role in pathways such as the PI3K/Akt and MAPK/ERK pathways. These pathways are important in mediating cellular responses to growth signals. The PI3K/Akt pathway activated by HER2 signaling regulates cell growth and survival while the MAPK/ERK pathway contributes to cell differentiation and proliferation. ErbB2's interaction with proteins like ErbB3 is fundamental in these pathways increasing the amplitude and diversity of downstream signals.

ErbB2 is significantly associated with breast cancer and gastric cancer. The overexpression or gene amplification of HER2 is observed in approximately 20% of breast cancer cases correlating with aggressive tumor growth and poor prognosis. ErbB2-related signaling contributes to oncogenic processes by promoting excessive cell proliferation. Targeting ErbB2 in these cancers is common using therapies such as monoclonal antibodies like trastuzumab. In the context of gastric cancer the role of ErbB2 mirrors its function in breast cancer and targeting HER2 holds therapeutic potential.

Cell culture

Biosafety level

EU: 1 US: 1

Adherent/suspension

Adherent

Gender

Female

Product protocols

For this product, it's our understanding that no specific protocols are required. You can visit:

Product promise

We are committed to supporting your work with high-quality reagents, and we're here for you every step of the way. In the unlikely event that one of our products does not perform as expected, you're protected by our Product Promise.
For full details, please see our Terms & Conditions

Please note: All products are 'FOR RESEARCH USE ONLY. NOT FOR USE IN DIAGNOSTIC OR THERAPEUTIC PROCEDURES'.

For licensing inquiries, please contact partnerships@abcam.com