JavaScript is disabled in your browser. Please enable JavaScript to view this website.
AB273381

Human IL13RA2 knockout A375 cell line

Be the first to review this product! Submit a review

|

(0 Publication)

IL13RA2 KO cell line available to order. KO validated by Immunocytochemistry, Next Generation Sequencing, Western blot. Free of charge wild type control available. Knockout achieved by using CRISPR/Cas9, Homozygous: 1 bp deletion in exon 3. To order both knockout and wild-type control cells: select 2 x 1000000Cells/vial. To order only knockout cells: select 1000000Cells/vial.

View Alternative Names

CD213a2, Cancer/testis antigen 19, I13R2_HUMAN, IL-13 receptor subunit alpha-2, IL-13R subunit alpha-2, IL-13R-alpha-2, IL-13RA2, IL13 receptor, IL13BP, IL13R, Interleukin 13 receptor alpha 2 chain, Interleukin-13 receptor subunit alpha-2, Interleukin-13-binding protein

6 Images
Immunocytochemistry/ Immunofluorescence - Human IL13RA2 knockout A375 cell line (AB273381)
  • ICC/IF

Lab

Immunocytochemistry/ Immunofluorescence - Human IL13RA2 knockout A375 cell line (AB273381)

ab260044 staining IL-13 receptor alpha 2 in wild-type A375 cells (top panel) and IL13RA2 knockout A375 cells (bottom panel) (ab273381). The cells were fixed with 100% methanol (5 min) then permeabilized with 0.1% Triton X-100 for 5 minutes and then blocked with 1% BSA/10% normal goat serum/0.3M glycine in 0.1% PBS-Tween for 1h. The cells were then incubated with ab260044 at 1/500 dilution and ab7291 (Mouse monoclonal to alpha Tubulin) at 1/1000 dilution overnight at 4°C followed by a further incubation at room temperature for 1h with a goat secondary antibody to rabbit IgG (Alexa Fluor® 488) (ab150081) at 2 μg/ml (shown in green) and a goat secondary antibody to mouse IgG (Alexa Fluor® 594) (ab150120) at 2 μg/ml (shown in red). Nuclear DNA was labelled in blue with DAPI.
Image was taken with a confocal microscope (Leica-Microsystems TCS SP8).

Western blot - Human IL13RA2 knockout A375 cell line (AB273381)
  • WB

Lab

Western blot - Human IL13RA2 knockout A375 cell line (AB273381)

Lanes 1 - 4 : Merged signal (red and green). Green - ab260044 observed at 49 kDa. Red - loading control ab7291 (Mouse anti-Alpha Tubulin [DM1A]) observed at 55kDa.

ab260044 was shown to react with IL-13 receptor alpha 2 in wild-type A375 cells in western blot with loss of signal observed in IL13RA2 knockout cell line ab273371 (knockout cell lysate ab275532). Wild-type and IL13RA2 knockout A375 cell lysates were subjected to SDS-PAGE. Membranes were blocked in fluorescent western blot (TBS-based) blocking solution before incubation with ab260044 and ab7291 (Mouse anti-Alpha Tubulin [DM1A]) overnight at 4° at a 1 in 1000 dilution and a 1 in 20000 dilution respectively. Blots were incubated with Goat anti-Rabbit IgG H&L (IRDye® 800CW) preabsorbed (ab216773) and Goat anti-Mouse IgG H&L (IRDye® 680RD) preabsorbed (ab216776) secondary antibodies at 1 in 20000 dilution for 1 hour at room temperature before imaging.

All lanes:

Western blot - Anti-IL-13 receptor alpha 2 antibody [EPR22978-163] (<a href='/en-us/products/primary-antibodies/il-13-receptor-alpha-2-antibody-epr22978-163-ab260044'>ab260044</a>) at 1/1000 dilution

Lane 1:

Wild-type A375 cell lysate at 30 µg

Lane 2:

IL13RA2 knockout A375 cell lysate at 30 µg

Lane 2:

Western blot - Human IL13RA2 knockout A375 cell line (ab273381)

Lane 3:

U-87-MG cell lysate at 30 µg

Lane 4:

Daudi cell lysate at 30 µg

Predicted band size: 44 kDa

Observed band size: 49 kDa

false

Next Generation Sequencing - Human IL13RA2 knockout A375 cell line (AB273381)
  • NGS

Supplier Data

Next Generation Sequencing - Human IL13RA2 knockout A375 cell line (AB273381)

Homozygous : 1 bp deletion in exon 3

Immunocytochemistry/ Immunofluorescence - Human IL13RA2 knockout A375 cell line (AB273381)
  • ICC/IF

Supplier Data

Immunocytochemistry/ Immunofluorescence - Human IL13RA2 knockout A375 cell line (AB273381)

Immunofluorescent analysis of 4% Paraformaldehyde-fixed, 0.1% TritonX-100 permeabilized IL13RA2 KO A375(IL13RA2 knockout human malignant melanoma epithelial cell), ab273381 cells labelling IL13RA2 with ab324598 at 1/1000 (0.505 ug/ml) dilution, followed by ab150081 Goat Anti-Rabbit IgG H&L (Alexa Fluor® 488) preadsorbed antibody at 1/1000 (2ug/ml) dilution (Green).

Confocal image showing membranous and cytoplasmic staining in wiltype A375 cells (shown in green), showing no staining in IL13RA2 knockout A375 cells. The counterstain was observed in magenta. Nuclear DNA was labelled with DAPI (shown in blue). Image was taken with a confocal microscope (Leica-Microsystems, TCS SP8).

ab7291 Anti-alpha Tubulin mouse monoclonal antibody was used to counterstain tubulin at 1/1000 (1ug/ml) dilution (Magenta). The Nuclear counterstain was DAPI (Blue).

Secondary antibody only control : Secondary antibody is ab150081 Goat Anti-Rabbit IgG H&L (Alexa Fluor® 488) preadsorbed at 1/1000 (2ug/ml) dilution.

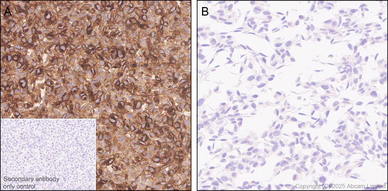
Immunohistochemistry (Formalin/PFA-fixed paraffin-embedded sections) - Human IL13RA2 knockout A375 cell line (AB273381)
  • IHC-P

Supplier Data

Immunohistochemistry (Formalin/PFA-fixed paraffin-embedded sections) - Human IL13RA2 knockout A375 cell line (AB273381)

Immunohistochemical analysis of paraffin-embedded (A) Wild-type A375 (human malignant melanoma epithelial cell) cell pellet (B) IL13RA2 knockout A375 cell pellet tissue labeling IL13RA2 with ab324598 at 1/100 (5.05 ug/ml) dilution, followed by a ready to use LeicaDS9800 (Bond™ Polymer Refine Detection) was used.

Positive staining on (A) Wild-type A375 cell pellet, no staining on (B) IL13RA2 knockout A375 cell pellet. The primary antibody was incubated for 30 mins at room temperature.
The immunostaining was performed on a Leica Biosystems BOND® RX instrument

Counterstained with Hematoxylin.

Secondary antibody only control : Secondary antibody is a ready to use LeicaDS9800 (Bond™ Polymer Refine Detection) was used.

Heat mediated antigen retrieval was performed with Tris-EDTA buffer (pH 9.0, Epitope Retrieval Solution2) for 20 mins

Flow Cytometry - Human IL13RA2 knockout A375 cell line (AB273381)
  • Flow Cyt

Supplier Data

Flow Cytometry - Human IL13RA2 knockout A375 cell line (AB273381)

Flow cytometric analysis of IL13RA2 KO A375 (IL13RA2 knockout human malignant melanoma epithelial cell) (Magenta) / A375 (Green) cells labelling IL13RA2 with ab324598 at 1/50 dilution (1ug) / Green and magenta compared with a Rabbit monoclonal IgG (ab172730) (Black) and Grey isotype control and an unlabelled control (cells without incubation with primary antibody and secondary antibody).

Goat Anti-Rabbit IgG (Alexa Fluor® 488, ab150081) at 1/5000 dilution was used as the secondary antibody.

Gated on viable cells.

Key facts

Cell type

A-375

Species or organism

Human

Tissue

Skin

Form

Liquid

form

Knockout validation

Immunocytochemistry,Next Generation Sequencing,Western blot

Mutation description

Knockout achieved by using CRISPR/Cas9, Homozygous: 1 bp deletion in exon 3

Disease

Melanoma

Reactivity data

{ "title": "Reactivity Data", "filters": { "stats": ["", "Reactivity", "Dilution Info", "Notes"] }, "values": { "ICC": { "reactivity":"TESTED_AND_REACTS", "dilution-info":"", "notes":"<p></p>" }, "WB": { "reactivity":"TESTED_AND_REACTS", "dilution-info":"", "notes":"<p></p>" } } }

Product details

We will provide viable cells that proliferate on revival.

This product is subject to limited use licenses from The Broad Institute and ERS Genomics Limited, and is developed with patented technology. For full details of the limited use licenses and relevant patents please refer to our limited use license and patent pages.

What's included?

{ "values": { "2x1000000Cellsvial": { "sellingSize": "2 x 1000000 Cells/vial", "publicAssetCode":"ab273381-2x1000000Cells_vial", "assetComponentDetails": [ { "size":"1 x 1000000 Cells/vial", "name":"ab273381 Human IL13RA2 knockout A375 cell line", "number":"AB273381-CMP01" }, { "size":"1 x 1000000 Cells/vial", "name":"ab275461 Human wild-type A375 cell line", "number":"AB273381-CMP02" } ] }, "1000000Cellsvial": { "sellingSize": "1000000 Cells/vial", "publicAssetCode":"ab273381-1000000Cells_vial", "assetComponentDetails": [ { "size":"1 x 1000000 Cells/vial", "name":"ab273381 Human IL13RA2 knockout A375 cell line", "number":"AB273381-CMP01", "productcode":"" } ] } } }

Properties and storage information

Gene name
IL13RA2
Gene editing type
Knockout
Gene editing method
CRISPR technology
Knockout validation
Immunocytochemistry, Next Generation Sequencing, Western blot
Zygosity
Homozygous
Shipped at conditions
Dry Ice
Appropriate short-term storage conditions
-196°C
Appropriate long-term storage conditions
-196°C

Handling procedures

Initial handling guidelines

Upon arrival, the vial should be stored in liquid nitrogen vapor phase and not at -80°C. Storage at -80°C may result in loss of viability.

1. Thaw the vial in 37°C water bath for approximately 1-2 minutes.
2. Transfer the cell suspension (0.8 mL) to a 15 mL/50 mL conical sterile polypropylene centrifuge tube containing 8.4 mL pre-warmed culture medium, wash vial with an additional 0.8 mL culture medium (total volume 10 mL) to collect remaining cells, and centrifuge at 201 x g (rcf) for 5 minutes at room temperature. 10 mL represents minimum recommended dilution. 20 mL represents maximum recommended dilution.
3. Resuspend the cell pellet in 5 mL pre-warmed culture medium and count using a haemocytometer or alternative cell counting method seed all remaining cells into a T25.
4. Incubate the culture at 37°C incubator with 5% CO2. Check the culture one day after revival and continue to check until 80% confluent. Media change can be given if needed.
5. Once confluent passage into an appropriate flask at a density of 2x104 cells/cm2. Seeding density is given as a guide only and should be scaled to align with individual lab schedules. Cultures should be monitored daily.

Subculture guidelines
  • All seeding densities should be based on cell counts gained by established methods.
  • A guide seeding density of 2x104 cells/cm2 is recommended.
  • Cells should be passaged when they have achieved 80-90% confluence.
Culture medium

DMEM (High Glucose) + 10% FBS

Cryopreservation medium

Cell Freezing Medium-DMSO Serum free media, contains 8.7% DMSO in MEM supplemented with methyl cellulose.

Quality control

STR analysis

CSF1PO, D13S317, D7S820, D5S818, TH01, D16S539, TPOX

Cell culture

Biosafety level

EU: 1 US: 1

Adherent/suspension

Adherent

Gender

Female

Product protocols

Product promise

We are committed to supporting your work with high-quality reagents, and we're here for you every step of the way. In the unlikely event that one of our products does not perform as expected, you're protected by our Product Promise.
For full details, please see our Terms & Conditions

Please note: All products are 'FOR RESEARCH USE ONLY. NOT FOR USE IN DIAGNOSTIC OR THERAPEUTIC PROCEDURES'.

For licensing inquiries, please contact partnerships@abcam.com