JavaScript is disabled in your browser. Please enable JavaScript to view this website.
AB265966

Human JAG2 (Jagged 2) knockout HeLa cell line

Be the first to review this product! Submit a review

|

(0 Publication)

JAG2 KO cell line available to order. KO validated by. Free of charge wild type control provided. Knockout achieved by using CRISPR/Cas9, 20 bp deletion in exon 12 and 40 bp deletion in exon 12 and 4 bp deletion in exon 12.

View Alternative Names

D12Ggc2e, HJ 2, Jagged 2 precursor, Jagged2, Protein jagged 2, SER2, Syndactylism

4 Images
Sanger Sequencing - Human JAG2 (Jagged 2) knockout HeLa cell line (AB265966)
  • Sanger seq

Unknown

Sanger Sequencing - Human JAG2 (Jagged 2) knockout HeLa cell line (AB265966)

Allele-3 : 4 bp deletion in exon 12.

Sanger Sequencing - Human JAG2 (Jagged 2) knockout HeLa cell line (AB265966)
  • Sanger seq

Unknown

Sanger Sequencing - Human JAG2 (Jagged 2) knockout HeLa cell line (AB265966)

Allele-2 : 20 bp deletion in exon 12.

Sanger Sequencing - Human JAG2 (Jagged 2) knockout HeLa cell line (AB265966)
  • Sanger seq

Unknown

Sanger Sequencing - Human JAG2 (Jagged 2) knockout HeLa cell line (AB265966)

Allele-1 : 40 bp deletion in exon 12.

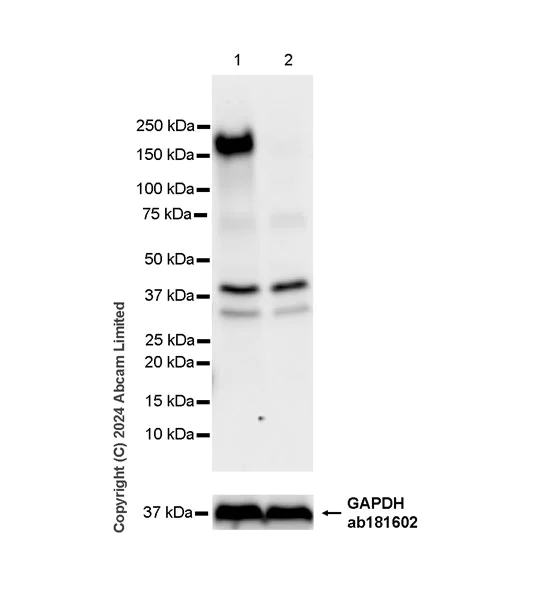
Western blot - Human JAG2 (Jagged 2) knockout HeLa cell line (AB265966)
  • WB

Supplier Data

Western blot - Human JAG2 (Jagged 2) knockout HeLa cell line (AB265966)

Blocking and diluting buffer and concentration : 5% NFDM/TBST.

In Western blot, ab322107 was shown to bind specifically to JAG2. Target of interest was observed at 180 kDa in wild-type Hela cell lysates (lane 1) with no signal observed at this size in JAR2 knockout cell line (lane 2) (lane 2, knockout cell line ab265966.

To minimize protein degradation, cells were lysed immediately after harvest and then applied to a gel and transfer membrane for Western blotting as soon as possible.

The identity of the bands between 30 kDa and 40 kDa are unknown.

In Western blot, Anti-GAPDH antibody [EPR16891] - Loading Control (ab181602) staining at 1/200000 dilution.

All lanes:

Western blot - Anti-Jagged 2/JAG2 antibody [EPR29026-90] (<a href='/en-us/products/primary-antibodies/jagged-2-jag2-antibody-epr29026-90-ab322107'>ab322107</a>) at 1/1000 dilution

Lane 1:

HeLa (human cervical adenocarcinoma epithelial cell) whole cell lysate at 60 µg

Lane 2:

Western blot - Human JAG2 (Jagged 2) knockout HeLa cell line (ab265966) at 60 µg

Secondary

All lanes:

Western blot - Goat Anti-Rabbit IgG H&L (HRP) (<a href='/en-us/products/secondary-antibodies/goat-rabbit-igg-h-l-hrp-ab97051'>ab97051</a>) at 1/20000 dilution

Observed band size: 180 kDa,36 kDa

false

Exposure time: 26s

Key facts

Cell type

HeLa

Species or organism

Human

Tissue

Cervix

Form

Liquid

form

Knockout validation

Sanger Sequencing

Mutation description

Knockout achieved by using CRISPR/Cas9, 20 bp deletion in exon 12 and 40 bp deletion in exon 12 and 4 bp deletion in exon 12

Antibiotic resistance

Puromycin 1µg/mL

Disease

Adenocarcinoma

Product details

Recommended control: Human wild-type HeLa cell line (ab255928). Please note a wild-type cell line is not automatically included with a knockout cell line order, if required please add recommended wild-type cell line at no additional cost using the code WILDTYPE-TMTK1.

We will provide viable cells that proliferate on revival.

This product is subject to limited use licenses from The Broad Institute and ERS Genomics Limited, and is developed with patented technology. For full details of the limited use licenses and relevant patents please refer to our limited use license and patent pages.

What's included?

{ "values": { "1000000Cellsvial": { "sellingSize": "1000000 Cells/vial", "publicAssetCode":"ab265966-1000000Cells_vial", "assetComponentDetails": [ { "size":"1 x 1000000 Cells/vial", "name":"ab265966 Human JAG2 (Jagged 2) knockout HeLa cell line", "number":"AB265966-CMP01", "productcode":"" } ] } } }

Properties and storage information

Gene name
JAG2
Gene editing type
Knockout
Gene editing method
CRISPR technology
Knockout validation
Sanger Sequencing
Shipped at conditions
Dry Ice
Appropriate short-term storage conditions
-196°C
Appropriate long-term storage conditions
-196°C

Handling procedures

Initial handling guidelines

Upon arrival, the vial should be stored in liquid nitrogen vapor phase and not at -80°C. Storage at -80°C may result in loss of viability.

1. Thaw the vial in 37°C water bath for approximately 1-2 minutes.
2. Transfer the cell suspension (0.8 mL) to a 15 mL/50 mL conical sterile polypropylene centrifuge tube containing 8.4 mL pre-warmed culture medium, wash vial with an additional 0.8 mL culture medium (total volume 10 mL) to collect remaining cells, and centrifuge at 201 x g (rcf) for 5 minutes at room temperature. 10 mL represents minimum recommended dilution. 20 mL represents maximum recommended dilution.
3. Resuspend the cell pellet in 5 mL pre-warmed culture medium and count using a haemocytometer or alternative cell counting method seed all remaining cells into a T25.
4. Incubate the culture at 37°C incubator with 5% CO2. Check the culture one day after revival and continue to check until 80% confluent. Media change can be given if needed.
5. Once confluent passage into an appropriate flask at a density of 2x104 cells/cm2. Seeding density is given as a guide only and should be scaled to align with individual lab schedules. Cultures should be monitored daily.

Subculture guidelines
  • All seeding densities should be based on cell counts gained by established methods.
  • A guide seeding density of 2x104 cells/cm2 is recommended.
  • Cells should be passaged when they have achieved 80-90% confluence.
Culture medium

DMEM (High Glucose) + 10% FBS

Cryopreservation medium

Cell Freezing Medium-DMSO Serum free media, contains 8.7% DMSO in MEM supplemented with methyl cellulose.

Supplementary information

This supplementary information is collated from multiple sources and compiled automatically.

Jagged 2 (JAG2) also known as JAGGED 2 is a membrane-bound ligand that weighs about 135 kDa. It interacts with the Notch family receptors to initiate signaling events that regulate cell fate decisions. JAG2 expresses in various tissues with high levels in neural hematopoietic and muscular systems. Its mechanical function involves binding to the Notch receptor on adjacent cells facilitating proteolytic cleavage and activation of the receptor's intracellular domain which then translocates to the nucleus to influence gene expression.
Biological function summary

The JAG2 protein plays a significant role in development and differentiation processes. It acts as a ligand in the Notch signaling pathway which includes other ligands like Jagged 1 (JAG1) and Delta-like proteins. In this complex JAG2 modulates neurogenesis myogenesis and angiogenesis. By affecting these processes JAG2 contributes to tissue homeostasis and the regulation of stem cells.

Pathways

The Notch signaling pathway involving JAG2 plays an important role in cell-cell communication. JAG2 activity in this pathway impact pathways like T-cell development and bone remodeling. It interacts with proteins like Notch1 and RBP-Jκ forming a pivotal part of the regulatory circuit that manages cell differentiation and proliferation.

Researchers link JAG2 to various conditions notably cancer and skeletal disorders. Dysregulation of JAG2 in the Notch pathway can contribute to oncogenesis with increased JAG2 expression observed in certain breast cancers. Additionally interactions between JAG2 and the Notch receptors influence bone diseases as alterations in signaling affect bone density and structure. Understanding the role of JAG2 and related proteins in these pathways allows potential therapeutic targeting in these conditions.

Quality control

STR analysis

CSF1PO, D13S317, D7S820, D5S818, TH01, D16S539, TPOX

Cell culture

Biosafety level

EU: 2 US: 2

Adherent/suspension

Adherent

Gender

Female

Product protocols

Product promise

We are committed to supporting your work with high-quality reagents, and we're here for you every step of the way. In the unlikely event that one of our products does not perform as expected, you're protected by our Product Promise.
For full details, please see our Terms & Conditions

Please note: All products are 'FOR RESEARCH USE ONLY. NOT FOR USE IN DIAGNOSTIC OR THERAPEUTIC PROCEDURES'.

For licensing inquiries, please contact partnerships@abcam.com