JavaScript is disabled in your browser. Please enable JavaScript to view this website.
AB261804

Human LOXL2 knockout HeLa cell line

Be the first to review this product! Submit a review

|

(0 Publication)

LOXL2 KO cell line available to order. KO validated by Western blot. Free of charge wild type control provided. Knockout achieved by using CRISPR/Cas9, 1 bp insertion in exon 4.

View Alternative Names

LOR 2, LOXL2_HUMAN, Lysyl oxidase homolog 2, Lysyl oxidase like 2, Lysyl oxidase related 2, Lysyl oxidase-like protein 2, Lysyl oxidase-related protein 2, Lysyl oxidase-related protein WS9-14, WS9 14

5 Images
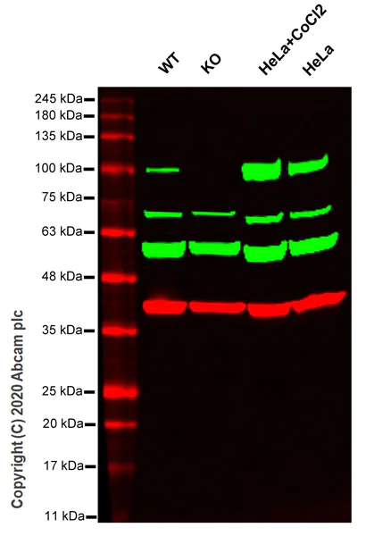
Western blot - Human LOXL2 knockout HeLa cell line (AB261804)
  • WB

Lab

Western blot - Human LOXL2 knockout HeLa cell line (AB261804)

Lanes 1-4 : Merged signal (red and green). Green - ab179810 observed at 105 kDa. Red - loading control ab8245 observed at 37 kDa.

ab179810 Anti-LOXL2 antibody [EPR12733] - C-terminal was shown to specifically react with LOXL2 in wild-type HeLa cells. Loss of signal was observed when knockout cell line ab261804 (knockout cell lysate ab257168) was used. Wild-type and LOXL2 knockout samples were subjected to SDS-PAGE. ab179810 and Anti-GAPDH antibody [6C5] - Loading Control (ab8245) were incubated overnight at 4° at 1 in 500 dilution and 1 in 20000 dilution respectively. Blots were developed with Goat anti-Rabbit IgG H&L (IRDye®800CW) preadsorbed (ab216773) and Goat anti-Mouse IgG H&L (IRDye®680RD) preadsorbed (ab216776) secondary antibodies at 1 in 10000 dilution for 1 hour at room temperature before imaging.

All lanes:

Western blot - Anti-LOXL2 antibody [EPR12733] - C-terminal (<a href='/en-us/products/primary-antibodies/loxl2-antibody-epr12733-c-terminal-ab179810'>ab179810</a>) at 1/500 dilution

Lane 1:

Wild-type HeLa cell lysate at 20 µg

Lane 2:

LOXL2 knockout HeLa cell lysate at 20 µg

Lane 2:

Western blot - Human LOXL2 knockout HeLa cell line (ab261804)

Lane 3:

HeLa treated with 0.5nM CoCl2 for 6 hours whole cell lysate at 20 µg

Lane 4:

Untreated HeLa cell lysate at 20 µg

Predicted band size: 87 kDa

Observed band size: 105 kDa

false

Sanger Sequencing - Human LOXL2 knockout HeLa cell line (AB261804)
  • Sanger seq

Unknown

Sanger Sequencing - Human LOXL2 knockout HeLa cell line (AB261804)

Allele-1 : 1 bp insertion in exon 4.

Sanger Sequencing - Human LOXL2 knockout HeLa cell line (AB261804)
  • Sanger seq

Unknown

Sanger Sequencing - Human LOXL2 knockout HeLa cell line (AB261804)
Sanger Sequencing - Human LOXL2 knockout HeLa cell line (AB261804)
  • Sanger seq

Unknown

Sanger Sequencing - Human LOXL2 knockout HeLa cell line (AB261804)
Sanger Sequencing - Human LOXL2 knockout HeLa cell line (AB261804)
  • Sanger seq

Unknown

Sanger Sequencing - Human LOXL2 knockout HeLa cell line (AB261804)

Key facts

Cell type

HeLa

Species or organism

Human

Tissue

Cervix

Form

Liquid

form

Knockout validation

Sanger Sequencing,Western blot

Mutation description

Knockout achieved by using CRISPR/Cas9, 1 bp insertion in exon 4

Antibiotic resistance

Puromycin 1µg/mL

Disease

Adenocarcinoma

Reactivity data

{ "title": "Reactivity Data", "filters": { "stats": ["", "Reactivity", "Dilution Info", "Notes"] }, "values": { "WB": { "reactivity":"TESTED_AND_REACTS", "dilution-info":"", "notes":"<p></p>" } } }

Product details

Recommended control: Human wild-type HeLa cell line (ab255928). Please note a wild-type cell line is not automatically included with a knockout cell line order, if required please add recommended wild-type cell line at no additional cost using the code WILDTYPE-TMTK1.

We will provide viable cells that proliferate on revival.

This product is subject to limited use licenses from The Broad Institute, ERS Genomics Limited and Sigma-Aldrich Co. LLC, and is developed with patented technology. For full details of the licenses and patents please refer to our limited use license and patent pages.

What's included?

{ "values": { "1000000Cellsvial": { "sellingSize": "1000000 Cells/vial", "publicAssetCode":"ab261804-1000000Cells_vial", "assetComponentDetails": [ { "size":"1 x 1000000 Cells/vial", "name":"ab261804 Human LOXL2 knockout HeLa cell line", "number":"AB261804-CMP01", "productcode":"" } ] } } }

Properties and storage information

Gene name
LOXL2
Gene editing type
Knockout
Gene editing method
CRISPR technology
Knockout validation
Sanger Sequencing, Western blot
Shipped at conditions
Dry Ice
Appropriate short-term storage conditions
-196°C
Appropriate long-term storage conditions
-196°C

Handling procedures

Initial handling guidelines

Upon arrival, the vial should be stored in liquid nitrogen vapor phase and not at -80°C. Storage at -80°C may result in loss of viability.

1. Thaw the vial in 37°C water bath for approximately 1-2 minutes.
2. Transfer the cell suspension (0.8 mL) to a 15 mL/50 mL conical sterile polypropylene centrifuge tube containing 8.4 mL pre-warmed culture medium, wash vial with an additional 0.8 mL culture medium (total volume 10 mL) to collect remaining cells, and centrifuge at 201 x g (rcf) for 5 minutes at room temperature. 10 mL represents minimum recommended dilution. 20 mL represents maximum recommended dilution.
3. Resuspend the cell pellet in 5 mL pre-warmed culture medium and count using a haemocytometer or alternative cell counting method seed all remaining cells into a T25.
4. Incubate the culture at 37°C incubator with 5% CO2. Check the culture one day after revival and continue to check until 80% confluent. Media change can be given if needed.
5. Once confluent passage into an appropriate flask at a density of 2x104 cells/cm2. Seeding density is given as a guide only and should be scaled to align with individual lab schedules. Cultures should be monitored daily.

Subculture guidelines
  • All seeding densities should be based on cell counts gained by established methods.
  • A guide seeding density of 2x104 cells/cm2 is recommended.
  • Cells should be passaged when they have achieved 80-90% confluence.
Culture medium

DMEM (High Glucose) + 10% FBS

Cryopreservation medium

Cell Freezing Medium-DMSO Serum free media, contains 8.7% DMSO in MEM supplemented with methyl cellulose.

Quality control

STR analysis

CSF1PO, D13S317, D7S820, D5S818, TH01, D16S539, TPOX

Cell culture

Biosafety level

EU: 2 US: 2

Adherent/suspension

Adherent

Gender

Female

Product protocols

Product promise

We are committed to supporting your work with high-quality reagents, and we're here for you every step of the way. In the unlikely event that one of our products does not perform as expected, you're protected by our Product Promise.
For full details, please see our Terms & Conditions

Please note: All products are 'FOR RESEARCH USE ONLY. NOT FOR USE IN DIAGNOSTIC OR THERAPEUTIC PROCEDURES'.

For licensing inquiries, please contact partnerships@abcam.com