JavaScript is disabled in your browser. Please enable JavaScript to view this website.
AB265821

Human MGEA5 (OGA) knockout HeLa cell line

Be the first to review this product! Submit a review

|

(0 Publication)

OGA KO cell line available to order. KO validated by Western blot. Free of charge wild type control available. Knockout achieved by using CRISPR/Cas9, Homozygous: 2 bp insertion in exon 1. To order both knockout and wild-type control cells: select '2 x 1000000 Cells/vial'. To order only knockout cells: select '1000000 Cells/vial'.
2 Images
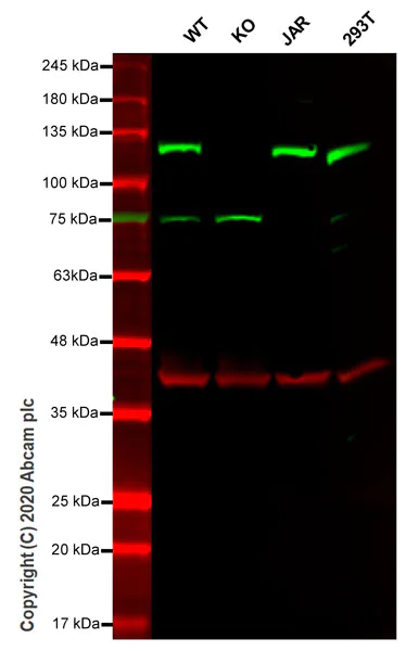
Western blot - Human MGEA5 (OGA) knockout HeLa cell line (AB265821)
  • WB

Lab

Western blot - Human MGEA5 (OGA) knockout HeLa cell line (AB265821)

Lanes 1-4 : Merged signal (red and green). Green - ab124807 observed at 130 kDa. Red - loading control ab8245 observed at 37 kDa.

ab124807 Anti-MGEA5/OGA antibody [EPR7154(B)] was shown to specifically react with MGEA5/OGA in wild-type HeLa cells. Loss of signal was observed when knockout cell line ab265821 (knockout cell lysate ab257263) was used. Wild-type and MGEA5/OGA knockout samples were subjected to SDS-PAGE. ab124807 and Anti-GAPDH antibody [6C5] - Loading Control (ab8245) were incubated overnight at 4° at 1 in 1000 dilution and 1 in 20000 dilution respectively. Blots were developed with Goat anti-Rabbit IgG H&L (IRDye® 800CW) preadsorbed (ab216773) and Goat anti-Mouse IgG H&L (IRDye® 680RD) preadsorbed (ab216776) secondary antibodies at 1 in 10000 dilution for 1 hour at room temperature before imaging.

All lanes:

Western blot - Anti-MGEA5/OGA antibody [EPR7154(B)] (<a href='/en-us/products/primary-antibodies/mgea5-oga-antibody-epr7154b-ab124807'>ab124807</a>) at 1/1000 dilution

Lane 1:

Wild-type HeLa cell lysate at 20 µg

Lane 2:

MGEA5 knockout HeLa cell lysate at 20 µg

Lane 2:

Western blot - Human MGEA5 (OGA) knockout HeLa cell line (ab265821)

Lane 3:

JAR cell lysate at 20 µg

Lane 4:

HEK-293T cell lysate at 20 µg

Predicted band size: 102 kDa

Observed band size: 130 kDa

false

Sanger Sequencing - Human MGEA5 (OGA) knockout HeLa cell line (AB265821)
  • Sanger seq

Unknown

Sanger Sequencing - Human MGEA5 (OGA) knockout HeLa cell line (AB265821)

Homozygous : 2 bp insertion in exon 1.

Key facts

Cell type

HeLa

Species or organism

Human

Tissue

Cervix

Form

Liquid

form

Knockout validation

Sanger Sequencing,Western blot

Mutation description

Knockout achieved by using CRISPR/Cas9, Homozygous: 2 bp insertion in exon 1

Antibiotic resistance

Puromycin 1µg/mL

Disease

Adenocarcinoma

Reactivity data

{ "title": "Reactivity Data", "filters": { "stats": ["", "Reactivity", "Dilution Info", "Notes"] }, "values": { "WB": { "reactivity":"TESTED_AND_REACTS", "dilution-info":"", "notes":"<p></p>" } } }

Product details

We will provide viable cells that proliferate on revival.

This product is subject to limited use licenses from The Broad Institute, ERS Genomics Limited and Sigma-Aldrich Co. LLC, and is developed with patented technology. For full details of the licenses and patents please refer to our limited use license and patent pages.

What's included?

{ "values": { "2x1000000Cellsvial": { "sellingSize": "2 x 1000000 Cells/vial", "publicAssetCode":"ab265821-2x1000000Cells_vial", "assetComponentDetails": [ { "size":"1 x 1000000 Cells/vial", "name":"ab255928 Human wild-type HeLa cell line", "number":"AB265821-CMP02" }, { "size":"1 x 1000000 Cells/vial", "name":"ab265821 Human MGEA5 (OGA) knockout HeLa cell line", "number":"AB265821-CMP01" } ] }, "1000000Cellsvial": { "sellingSize": "1000000 Cells/vial", "publicAssetCode":"ab265821-1000000Cells_vial", "assetComponentDetails": [ { "size":"1 x 1000000 Cells/vial", "name":"ab265821 Human MGEA5 (OGA) knockout HeLa cell line", "number":"AB265821-CMP01", "productcode":"" } ] } } }

Properties and storage information

Gene name
OGA
Gene editing type
Knockout
Gene editing method
CRISPR technology
Knockout validation
Sanger Sequencing, Western blot
Zygosity
Homozygous
Shipped at conditions
Dry Ice
Appropriate short-term storage conditions
-196°C
Appropriate long-term storage conditions
-196°C

Handling procedures

Initial handling guidelines

Upon arrival, the vial should be stored in liquid nitrogen vapor phase and not at -80°C. Storage at -80°C may result in loss of viability.

1. Thaw the vial in 37°C water bath for approximately 1-2 minutes.
2. Transfer the cell suspension (0.8 mL) to a 15 mL/50 mL conical sterile polypropylene centrifuge tube containing 8.4 mL pre-warmed culture medium, wash vial with an additional 0.8 mL culture medium (total volume 10 mL) to collect remaining cells, and centrifuge at 201 x g (rcf) for 5 minutes at room temperature. 10 mL represents minimum recommended dilution. 20 mL represents maximum recommended dilution.
3. Resuspend the cell pellet in 5 mL pre-warmed culture medium and count using a haemocytometer or alternative cell counting method seed all remaining cells into a T25.
4. Incubate the culture at 37°C incubator with 5% CO2. Check the culture one day after revival and continue to check until 80% confluent. Media change can be given if needed.
5. Once confluent passage into an appropriate flask at a density of 2x104 cells/cm2. Seeding density is given as a guide only and should be scaled to align with individual lab schedules. Cultures should be monitored daily.

Subculture guidelines
  • All seeding densities should be based on cell counts gained by established methods.
  • A guide seeding density of 2x104 cells/cm2 is recommended.
  • Cells should be passaged when they have achieved 80-90% confluence.
Culture medium

DMEM (High Glucose) + 10% FBS

Cryopreservation medium

Cell Freezing Medium-DMSO Serum free media, contains 8.7% DMSO in MEM supplemented with methyl cellulose.

Supplementary information

This supplementary information is collated from multiple sources and compiled automatically.

MGEA5 also referred to as OGA or O-GlcNAcase serves an important mechanical role in cellular metabolism. This enzyme with a molecular mass of around 103 kDa is primarily involved in the removal of O-GlcNAc modifications from serine/threonine residues on nuclear and cytoplasmic proteins. It is expressed in various tissues but exhibits predominant activity in the brain liver and pancreas. Alternative names like "OGA stains" or "OGA b" may also be encountered in literature or research contexts.
Biological function summary

MGEA5 acts as an important modulator of protein function and regulation by cycling O-GlcNAc modifications thereby influencing processes like transcription signal transduction and apoptosis. While not part of a well-defined complex it frequently interacts with other proteins involved in glucose metabolism and the cellular stress response. Its activity works in concert with OGT (O-GlcNAc transferase) which adds O-GlcNAc maintaining a balance important for cellular function.

Pathways

MGEA5 involvement centers largely around glucose homeostasis and the insulin signaling pathway. It modulates the function of proteins like insulin receptor substrate (IRS) and other key regulators in this pathway affecting metabolic regulation and energy homeostasis. It shows a direct relationship with OGT as they reciprocate in action effects highlighting their collaborative role in cellular pathways that affect cellular signaling and survival.

MGEA5 has been implicated in neurodegenerative diseases and diabetes. In Alzheimer's disease altered O-GlcNAc cycling affects tau protein homeostasis which is significant in disease pathogenesis. Likewise in diabetes MGEA5 influences insulin resistance by regulating O-GlcNAc levels on insulin signaling molecules. Dysregulation of these processes may also involve proteins such as beta-amyloid further linking MGEA5 to these pathological states.

Quality control

STR analysis

CSF1PO, D13S317, D7S820, D5S818, TH01, D16S539, TPOX

Cell culture

Biosafety level

EU: 2 US: 2

Adherent/suspension

Adherent

Gender

Female

Product protocols

Product promise

We are committed to supporting your work with high-quality reagents, and we're here for you every step of the way. In the unlikely event that one of our products does not perform as expected, you're protected by our Product Promise.
For full details, please see our Terms & Conditions

Please note: All products are 'FOR RESEARCH USE ONLY. NOT FOR USE IN DIAGNOSTIC OR THERAPEUTIC PROCEDURES'.

For licensing inquiries, please contact partnerships@abcam.com