JavaScript is disabled in your browser. Please enable JavaScript to view this website.
AB267282

Human SUFU knockout HEK-293T cell line

Be the first to review this product! Submit a review

|

(0 Publication)

SUFU KO cell line available to order. KO validated by Western blot. Free of charge wild type control available. Knockout achieved by using CRISPR/Cas9, Homozygous: 11 bp deletion in exon 3. To order both knockout and wild-type control cells: select '2 x 1000000 Cells/vial'. To order only knockout cells: select '1000000 Cells/vial'.

View Alternative Names

OTTHUMP00000020374, OTTHUMP00000020377, OTTHUMP00000020379, PRO1280, SU(F)U, SUFU negative regulator of hedgehog signaling, SUFUH, SUFUXL, SUFU_HUMAN, Su(fu), Suppressor of Fused, Suppressor of fused homolog, Suppressor of fused homolog (Drosophila)

4 Images
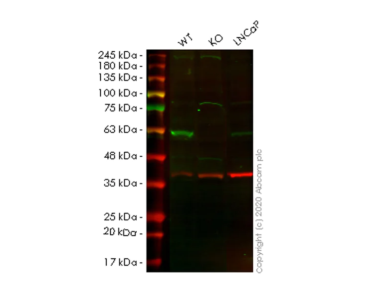
Western blot - Human SUFU knockout HEK-293T cell line (AB267282)
  • WB

Lab

Western blot - Human SUFU knockout HEK-293T cell line (AB267282)

Blocking and diluting buffer and concentration : Intercept® (TBS) Blocking Buffer diluted with an equal volume of 0.1% TBS.

Lanes 1-3 : Merged signal (red and green). Green - ab259975 observed at 53 kDa. Red - loading control ab8245 (Mouse monoclonal [6C5] to GAPDH) observed at 36 kDa.

ab253183 Anti-SUFU antibody [EPR23821-101] was shown to specifically react with SUFU in wild-type HEK293T cells. Loss of signal was observed when knockout cell line ab267282 (knockout cell lysate ab257718) was used. Wild-type and SUFU knockout samples were subjected to SDS-PAGE.

ab253183 and Anti-GAPDH antibody [6C5] - Loading Control (ab8245) were incubated at 4° overnight at 1 in 1000 dilution and 1 in 20000 dilution respectively. Blots were developed with Goat anti-Rabbit IgG H&L (IRDye® 800CW) preadsorbed (ab216773) and Goat anti-Mouse IgG H&L (IRDye® 680RD) preadsorbed (ab216776) secondary antibodies at 1 in 10000 dilution for 1 hour at room temperature before imaging.

All lanes:

Western blot - Anti-SUFU antibody [EPR23821-101] (<a href='/en-us/products/primary-antibodies/sufu-antibody-epr23821-101-ab259975'>ab259975</a>) at 1/1000 dilution

Lane 1:

Wild-type HEK293T (human embryonic kidney epithelial cell), whole cell lysate at 20 µg

Lane 2:

SUFU knockout HEK293T (human embryonic kidney epithelial cell), whole cell lysate at 20 µg

Lane 2:

Western blot - Human SUFU knockout HEK-293T cell line (ab267282)

Lane 3:

LNCaP (human prostate carcinoma epithelial cell), whole cell lysate at 20 µg

Secondary

All lanes:

Goat Anti-Rabbit IgG H&L (IRDye® 800CW) (<a href='/en-us/products/secondary-antibodies/goat-rabbit-igg-h-l-irdye-800cw-preadsorbed-ab216773'>ab216773</a>) and Goat Anti-Mouse IgG H&L (IRDye® 680RD) (<a href='/en-us/products/secondary-antibodies/goat-mouse-igg-h-l-irdye-680rd-preadsorbed-ab216776'>ab216776</a>) at 1/10000 dilution

Predicted band size: 53 kDa

Observed band size: 53 kDa

false

Western blot - Human SUFU knockout HEK-293T cell line (AB267282)
  • WB

Lab

Western blot - Human SUFU knockout HEK-293T cell line (AB267282)

Lanes 1-3 : Merged signal (red and green). Green - ab28083 observed at 58 kDa. Red - loading control ab8245 observed at 36 kDa.

ab28083 Anti-SUFU antibody was shown to specifically react with SUFU in wild-type HEK293T cells. Loss of signal was observed when knockout cell line ab267282 (knockout cell lysate ab257718) was used. Wild-type and SUFU knockout samples were subjected to SDS-PAGE. ab28083 and Anti-GAPDH antibody [6C5] - Loading Control (ab8245) were incubated at room temperature for 2.5 hours at 1 in 1000 dilution and 1 in 20000 dilution respectively. Blots were developed with Goat anti-Rabbit IgG H&L (IRDye® 800CW) preadsorbed (ab216773) and Goat anti-Mouse IgG H&L (IRDye® 680RD) preadsorbed (ab216776) secondary antibodies at 1 in 20000 dilution for 1 hour at room temperature before imaging.

All lanes:

Western blot - Anti-SUFU antibody (<a href='/en-us/products/primary-antibodies/sufu-antibody-ab28083'>ab28083</a>) at 1/1000 dilution

Lane 1:

Wild-type HEK293T cell lysate at 20 µg

Lane 2:

SUFU knockout HEK293T cell lysate at 20 µg

Lane 2:

Western blot - Human SUFU knockout HEK-293T cell line (ab267282)

Lane 3:

LNCaP cell lysate at 20 µg

Secondary

All lanes:

Western blot - Goat anti-Rabbit IgG H&L (IRDye® 800CW) preadsorbed (<a href='/en-us/products/secondary-antibodies/goat-rabbit-igg-h-l-irdye-800cw-preadsorbed-ab216773'>ab216773</a>) at 1/10000 dilution

Predicted band size: 53 kDa

Observed band size: 58 kDa

false

Sanger Sequencing - Human SUFU knockout HEK-293T cell line (AB267282)
  • Sanger seq

Unknown

Sanger Sequencing - Human SUFU knockout HEK-293T cell line (AB267282)

Homozygous : 11 bp deletion in exon3

Immunocytochemistry/ Immunofluorescence - Human SUFU knockout HEK-293T cell line (AB267282)
  • ICC/IF

Lab

Immunocytochemistry/ Immunofluorescence - Human SUFU knockout HEK-293T cell line (AB267282)

Immunofluorescent analysis of 100% methanol-fixed, 0.1% TritonX-100 permeabilized Wildtype HEK-293T (human embryonic kidney epithelial cell), ab255449 and SUFU KO HEK-293T (SUFU knockout HEK-293T), ab267282 cells labelling SUFU with ab325424 at 1/200 (2.445 ug/ml) dilution, followed by ab150081 Goat Anti-Rabbit IgG H&L (Alexa Fluor® 488) preadsorbed antibody at 1/1000 dilution (Green).

Confocal image showing mainly cytoplasmic staining in wildtype HEK-293T cells (shown in green), showing no staining in SUFU knockout HEK-293T cells. The counterstain was observed in magenta. Nuclear DNA was labelled with DAPI (shown in blue). Image was taken with a confocal microscope (Leica-Microsystems, TCS SP8).

ab7291 Anti-alpha Tubulin mouse monoclonal antibody was used to counterstain tubulin at 1/1000 dilution, followed by ab150120 Goat Anti-Mouse IgG H&L (Alexa Fluor® 594) at 1/1000 dilution (Magenta).

Key facts

Cell type

HEK-293T

Species or organism

Human

Tissue

Kidney

Form

Liquid

form

Knockout validation

Sanger Sequencing,Western blot

Mutation description

Knockout achieved by using CRISPR/Cas9, Homozygous: 11 bp deletion in exon 3

Reactivity data

{ "title": "Reactivity Data", "filters": { "stats": ["", "Reactivity", "Dilution Info", "Notes"] }, "values": { "WB": { "reactivity":"TESTED_AND_REACTS", "dilution-info":"", "notes":"<p></p>" } } }

Product details

We will provide viable cells that proliferate on revival.

This product is subject to limited use licenses from The Broad Institute and ERS Genomics Limited, and is developed with patented technology. For full details of the limited use licenses and relevant patents please refer to our limited use license and patent pages.

What's included?

{ "values": { "2x1000000Cellsvial": { "sellingSize": "2 x 1000000 Cells/vial", "publicAssetCode":"ab267282-2x1000000Cells_vial", "assetComponentDetails": [ { "size":"1 x 1000000 Cells/vial", "name":"ab255449 Human wild-type HEK-293T cell line", "number":"AB267282-CMP02" }, { "size":"1 x 1000000 Cells/vial", "name":"ab267282 Human SUFU knockout HEK-293T cell line", "number":"AB267282-CMP01" } ] }, "1000000Cellsvial": { "sellingSize": "1000000 Cells/vial", "publicAssetCode":"ab267282-1000000Cells_vial", "assetComponentDetails": [ { "size":"1 x 1000000 Cells/vial", "name":"ab267282 Human SUFU knockout HEK-293T cell line", "number":"AB267282-CMP01", "productcode":"" } ] } } }

Properties and storage information

Gene name
SUFU
Gene editing type
Knockout
Gene editing method
CRISPR technology
Knockout validation
Sanger Sequencing, Western blot
Zygosity
Homozygous
Shipped at conditions
Dry Ice
Appropriate short-term storage conditions
-196°C
Appropriate long-term storage conditions
-196°C

Handling procedures

Initial handling guidelines

Upon arrival, the vial should be stored in liquid nitrogen vapor phase and not at -80°C. Storage at -80°C may result in loss of viability.

1. Thaw the vial in 37°C water bath for approximately 1-2 minutes.
2. Transfer the cell suspension (0.8 mL) to a 15 mL/50 mL conical sterile polypropylene centrifuge tube containing 8.4 mL pre-warmed culture medium, wash vial with an additional 0.8 mL culture medium (total volume 10 mL) to collect remaining cells, and centrifuge at 201 x g (rcf) for 5 minutes at room temperature. 10 mL represents minimum recommended dilution. 20 mL represents maximum recommended dilution.
3. Resuspend the cell pellet in 5 mL pre-warmed culture medium and count using a haemocytometer or alternative cell counting method seed all remaining cells into a T25.
4. Incubate the culture at 37°C incubator with 5% CO2. Check the culture one day after revival and continue to check until 80% confluent. Media change can be given if needed.
5. Once confluent passage into an appropriate flask at a density of 2x104 cells/cm2. Seeding density is given as a guide only and should be scaled to align with individual lab schedules. Cultures should be monitored daily.

Subculture guidelines
  • All seeding densities should be based on cell counts gained by established methods.
  • A guide seeding density of 2x104 cells/cm2 is recommended.
  • Cells should be passaged when they have achieved 80-90% confluence.
Culture medium

DMEM (High Glucose) + 10% FBS

Cryopreservation medium

Cell Freezing Medium-DMSO Serum free media, contains 8.7% DMSO in MEM supplemented with methyl cellulose.

Supplementary information

This supplementary information is collated from multiple sources and compiled automatically.

SUFU also known as Suppressor of Fused is a regulatory protein with a mass of approximately 54 kDa. This protein serves as a significant component within the Hedgehog signaling pathway. SUFU is widely expressed in various tissues including brain heart and skeletal muscle. It acts as a negative regulator binding to and inhibiting the activity of other key proteins in the signaling cascade.
Biological function summary

SUFU modulates the activity of the transcription factors Gli1 Gli2 and Gli3 keeping them in the cytoplasm in their inactive form. It can form part of large protein complexes playing an important role in ensuring that signal transduction is tightly regulated. SUFU's function helps control the expression of target genes that are important for development and cellular differentiation. This regulation is essential during embryonic development and tissue maintenance in adults.

Pathways

SUFU has an important role in the Hedgehog signaling pathway and interacts with components like Smoothened (SMO) and Patched (PTCH). This pathway controls processes like cell growth and differentiation. By regulating the activity of Gli proteins SUFU influences how signals are transmitted within the pathway. SUFU can also interact with other proteins such as KIF7 further defining its place within the pathway's network.

SUFU can contribute to the development of basal cell carcinoma and medulloblastoma when its function is disrupted. In cases where mutations affect SUFU regulation the Hedgehog pathway becomes aberrantly activated. This can lead to uncontrolled cell proliferation. SUFU's relationship with Gli proteins is significant in these conditions because of its role in modulating their activity directly impacting the onset and progression of these cancers.

Quality control

STR analysis

CSF1PO, D13S317, D7S820, D5S818, TH01, D16S539, TPOX

Cell culture

Biosafety level

EU: 2 US: 2

Adherent/suspension

Adherent

Gender

Female

Product protocols

Product promise

We are committed to supporting your work with high-quality reagents, and we're here for you every step of the way. In the unlikely event that one of our products does not perform as expected, you're protected by our Product Promise.
For full details, please see our Terms & Conditions

Please note: All products are 'FOR RESEARCH USE ONLY. NOT FOR USE IN DIAGNOSTIC OR THERAPEUTIC PROCEDURES'.

For licensing inquiries, please contact partnerships@abcam.com