JavaScript is disabled in your browser. Please enable JavaScript to view this website.
AB265059

Human TLE1 knockout HEK-293T cell line

Be the first to review this product! Submit a review

|

(0 Publication)

TLE1 KO cell line available to order. KO validated by Immunocytochemistry, Western blot. Free of charge wild type control available. Knockout achieved by using CRISPR/Cas9, 13 bp deletion in exon 12 and Insertion of the selection cassette in exon 12. To order both knockout and wild-type control cells: select '2 x 1000000 Cells/vial'. To order only knockout cells: select '1000000 Cells/vial'.

View Alternative Names

E(Sp1) homolog, ESG, ESG1, Enhancer of split groucho 1, Enhancer of split groucho-like protein 1, GRG1, TLE1_HUMAN, Transducin like enhancer of split 1, Transducin like enhancer of split 1 (E(sp1) homolog Drosophila), Transducin like enhancer of split 1 homolog of Drosophila E(sp1), Transducin-like enhancer protein 1

6 Images
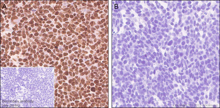
Immunohistochemistry (Formalin/PFA-fixed paraffin-embedded sections) - Human TLE1 knockout HEK-293T cell line (AB265059)
  • IHC-P

Supplier Data

Immunohistochemistry (Formalin/PFA-fixed paraffin-embedded sections) - Human TLE1 knockout HEK-293T cell line (AB265059)

Immunohistochemical analysis of paraffin-embedded fixed (A) Parental HEK293 (Human embryonic kidney epithelial cell) cell pellet (B) TLE1 knockout HEK293 (ab265059) cell pellet, staining TLE 1 with ab183742 at 1/250 dilution for 30 mins at room temperature. LeicaDS9800 (Bond™ Polymer Refine Detection) used as secondary antibody. Counter-stained using hematoxylin. Positive staining on Wild-type HEK293T cell pellet and no staining on TLE1 knockout HEK293 cell pellet.  The immunostaining was performed on a Leica Biosystems BOND® RX instrument. Heat mediated antigen retrieval was performed with Citrate buffer (pH 6.0, Epitope Retrieval Solution 1) for 20 mins.

Immunocytochemistry/ Immunofluorescence - Human TLE1 knockout HEK-293T cell line (AB265059)
  • ICC/IF

Supplier Data

Immunocytochemistry/ Immunofluorescence - Human TLE1 knockout HEK-293T cell line (AB265059)

Immunofluorescence analysis of 4% paraformaldehyde-fixed, 0.1% TritonX-100 permeabilised wildtype HEK293T cells and TLE1 knockout HEK293T cells (ab265059) with ab183742 (green) at 1/50 dilution. Alexa Fluor® 488 Goat Anti-Rabbit IgG H&L (ab150081) was used as a secondary antibody, presabsorbed at 1/1000 dilution. Alexa Fluor® 594 Anti-alpha Tubulin mouse monoclonal antibody (ab195889) used as microtubule marker counterstain (red). Nuclei were counterstained with DAPI (blue). Confocal image showing nuclear staining in wildtype HEK293T cells and showing no staining in TLE1 knockout HEK293T cells. Image was taken with a confocal microscope(Leica-Microsystems, TCS SP8).

Western blot - Human TLE1 knockout HEK-293T cell line (AB265059)
  • WB

Unknown

Western blot - Human TLE1 knockout HEK-293T cell line (AB265059)

Lane 1 : Wild-type HEK293T cell lysate (20 μg)

Lane 2 : TLE1 knockout HEK293T cell lysate (20 μg)

Lane 3 : HepG2 cell lysate (20 μg)

Lanes 1-3 : Merged signal (red and green). Green - ab183742 observed at 83 kDa. Red - loading control, ab8245 observed at 37 kDa.

ab183742 Anti-TLE 1 antibody [EPR9386(2)] was shown to specifically react with TLE 1 in wild-type HEK293T cells. Loss of signal was observed when knockout cell line ab265059 (knockout cell lysate ab257240) was used. Wild-type and TLE 1 knockout samples were subjected to SDS-PAGE. ab183742 and Anti-GAPDH antibody [6C5] - Loading Control (ab8245) were incubated overnight at 4°C at 1 in 1000 dilution and 1 in 20000 dilution respectively. Blots were developed with Goat anti-Rabbit IgG H&L (IRDye® 800CW) preadsorbed (ab216773) and Goat anti-Mouse IgG H&L (IRDye® 680RD) preadsorbed (ab216776) secondary antibodies at 1 in 10000 dilution for 1 hour at room temperature before imaging.

All lanes:

Western blot - Anti-TLE 1 antibody [EPR9386(2)] (<a href='/en-us/products/primary-antibodies/tle-1-antibody-epr93862-ab183742'>ab183742</a>) at 1/1000 dilution

Lane 1:

Wild-type HEK293T cell lysate at 20 µg

Lane 2:

Western blot - Human TLE1 knockout HEK-293T cell line (ab265059) at 20 µg

Lane 2:

TLE1 knockout HEK293T cell lysate at 20 µg

Lane 3:

HepG2 cell lysate at 20 µg

Predicted band size: 83 kDa

Observed band size: 83 kDa

false

Cell Culture - Human TLE1 knockout HEK-293T cell line (AB265059)
  • Cell Culture

Unknown

Cell Culture - Human TLE1 knockout HEK-293T cell line (AB265059)

Representative images of TLE1 knockout HEK293T cells, low and high confluency examples (top left and right respectively) and wild-type HEK293T cells, low and high confluency (bottom left and right respectively) showing typical adherent, epithelial-like morphology. Images were captured at 10X magnification using a EVOS XL Core microscope.

Sanger Sequencing - Human TLE1 knockout HEK-293T cell line (AB265059)
  • Sanger seq

Unknown

Sanger Sequencing - Human TLE1 knockout HEK-293T cell line (AB265059)

Allele-1 : 13 bp deletion in exon 12.

Sanger Sequencing - Human TLE1 knockout HEK-293T cell line (AB265059)
  • Sanger seq

Unknown

Sanger Sequencing - Human TLE1 knockout HEK-293T cell line (AB265059)

Allele-2 : Insertion of the selection cassette in exon 12.

Key facts

Cell type

HEK-293T

Species or organism

Human

Tissue

Kidney

Form

Liquid

form

Knockout validation

Immunocytochemistry,Sanger Sequencing,Western blot

Mutation description

Knockout achieved by using CRISPR/Cas9, 13 bp deletion in exon 12 and Insertion of the selection cassette in exon 12

Reactivity data

{ "title": "Reactivity Data", "filters": { "stats": ["", "Reactivity", "Dilution Info", "Notes"] }, "values": { "WB": { "reactivity":"TESTED_AND_REACTS", "dilution-info":"", "notes":"<p></p>" }, "ICC/IF": { "reactivity":"TESTED_AND_REACTS", "dilution-info":"1/50", "notes":"<p></p>" }, "IHC-P": { "reactivity":"TESTED_AND_REACTS", "dilution-info":"1/250", "notes":"<p></p> Perform heat-mediated antigen retrieval with citrate buffer pH 6 before commencing with IHC staining protocol." } } }

Product details

We will provide viable cells that proliferate on revival.

This product is subject to limited use licenses from The Broad Institute, ERS Genomics Limited and Sigma-Aldrich Co. LLC, and is developed with patented technology. For full details of the licenses and patents please refer to our limited use license and patent pages.

What's included?

{ "values": { "2x1000000Cellsvial": { "sellingSize": "2 x 1000000 Cells/vial", "publicAssetCode":"ab265059-2x1000000Cells_vial", "assetComponentDetails": [ { "size":"1 x 1000000 Cells/vial", "name":"ab255449 Human wild-type HEK-293T cell line", "number":"AB265059-CMP02" }, { "size":"1 x 1000000 Cells/vial", "name":"ab265059 Human TLE1 knockout HEK-293T cell line", "number":"AB265059-CMP01" } ] }, "2x1000000Cellsvial": { "sellingSize": "2 x 1000000 Cells/vial", "publicAssetCode":"ab265059-2x1000000Cells_vial", "assetComponentDetails": [ { "size":"1 x 1000000 Cells/vial", "name":"ab265059 Human TLE1 knockout HEK-293T cell line", "number":"AB265059-CMP01" }, { "size":"1 x 1000000 Cells/vial", "name":"ab255449 Human wild-type HEK-293T cell line", "number":"AB265059-CMP02" } ] }, "1000000Cellsvial": { "sellingSize": "1000000 Cells/vial", "publicAssetCode":"ab265059-1000000Cells_vial", "assetComponentDetails": [ { "size":"1 x 1000000 Cells/vial", "name":"ab265059 Human TLE1 knockout HEK-293T cell line", "number":"AB265059-CMP01" } ] }, "1000000Cellsvial": { "sellingSize": "1000000 Cells/vial", "publicAssetCode":"ab265059-1000000Cells_vial", "assetComponentDetails": [ { "size":"1 x 1000000 Cells/vial", "name":"ab265059 Human TLE1 knockout HEK-293T cell line", "number":"AB265059-CMP01", "productcode":"" } ] } } }

Properties and storage information

Gene name
TLE1
Gene editing type
Knockout
Gene editing method
CRISPR technology
Knockout validation
Immunocytochemistry, Sanger Sequencing, Western blot
Shipped at conditions
Dry Ice
Appropriate short-term storage conditions
-196°C
Appropriate long-term storage conditions
-196°C

Handling procedures

Initial handling guidelines

Upon arrival, the vial should be stored in liquid nitrogen vapor phase and not at -80°C. Storage at -80°C may result in loss of viability.

1. Thaw the vial in 37°C water bath for approximately 1-2 minutes.
2. Transfer the cell suspension (0.8 mL) to a 15 mL/50 mL conical sterile polypropylene centrifuge tube containing 8.4 mL pre-warmed culture medium, wash vial with an additional 0.8 mL culture medium (total volume 10 mL) to collect remaining cells, and centrifuge at 201 x g (rcf) for 5 minutes at room temperature. 10 mL represents minimum recommended dilution. 20 mL represents maximum recommended dilution.
3. Resuspend the cell pellet in 5 mL pre-warmed culture medium and count using a haemocytometer or alternative cell counting method seed all remaining cells into a T25.
4. Incubate the culture at 37°C incubator with 5% CO2. Check the culture one day after revival and continue to check until 80% confluent. Media change can be given if needed.
5. Once confluent passage into an appropriate flask at a density of 2x104 cells/cm2. Seeding density is given as a guide only and should be scaled to align with individual lab schedules. Cultures should be monitored daily.

Subculture guidelines
  • All seeding densities should be based on cell counts gained by established methods.
  • A guide seeding density of 2x104 cells/cm2 is recommended.
  • Cells should be passaged when they have achieved 80-90% confluence.
Culture medium

DMEM (High Glucose) + 10% FBS

Cryopreservation medium

Cell Freezing Medium-DMSO Serum free media, contains 8.7% DMSO in MEM supplemented with methyl cellulose.

Supplementary information

This supplementary information is collated from multiple sources and compiled automatically.

Transducin-Like Enhancer of Split 1 also known as TLE1 is a transcriptional corepressor well-known for its involvement in Notch and Wnt signaling pathways. TLE1 has a molecular mass of approximately 77 kDa. This protein is expressed in various tissues including the brain heart and lung highlighting its involvement in multiple biological systems. Researchers recognize its importance in modulating gene expression through interactions with different transcription factors.
Biological function summary

The TLE1 protein plays a role in embryonic development by regulating the transcription of genes critical for cell differentiation. TLE1 forms part of a complex with other proteins to exert its corepressive function effectively. Through these interactions TLE1 is involved in differentiation processes in cells such as MCF-7 a breast cancer cell line influencing cellular behavior and function.

Pathways

TLE1 influences the Notch and Wnt signaling pathways essential for cell fate determination and proliferation. Its interaction with key proteins like β-catenin and Notch receptor proteins connects it to these pathways modulating the transcription of target genes. TLE1's role in these pathways is important for maintaining balanced cellular processes and preventing abnormal cell growth.

TLE1 is linked to various forms of cancer including synovial sarcoma and breast cancer. Its overexpression has been observed in these cancers often in conjunction with other proteins like BCL2 supporting cell survival and resisting apoptosis. TLE1's involvement in these diseases makes it a target for therapeutic strategies aimed at modulating its activity to inhibit tumor progression.

Quality control

STR analysis

CSF1PO, D13S317, D7S820, D5S818, TH01, D16S539, TPOX

Cell culture

Biosafety level

EU: 2 US: 2

Adherent/suspension

Adherent

Gender

Female

Product protocols

Product promise

We are committed to supporting your work with high-quality reagents, and we're here for you every step of the way. In the unlikely event that one of our products does not perform as expected, you're protected by our Product Promise.
For full details, please see our Terms & Conditions

Please note: All products are 'FOR RESEARCH USE ONLY. NOT FOR USE IN DIAGNOSTIC OR THERAPEUTIC PROCEDURES'.

For licensing inquiries, please contact partnerships@abcam.com