JavaScript is disabled in your browser. Please enable JavaScript to view this website.
AB288996

Human TLR3 knockout A549 cell line

Be the first to review this product! Submit a review

|

(0 Publication)

TLR3 KO cell line available to order. KO validated by Next Generation Sequencing, Western blot. Free of charge wild type control available. To order both knockout and wild-type control cells: select 2 x 1000000Cells/vial. To order only knockout cells: select 1000000Cells/vial.

View Alternative Names

CD283, CD283 antigen, IIAE2, TLR3_HUMAN, Toll-like receptor 3

3 Images
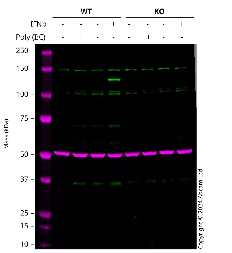
Western blot - Human TLR3 knockout A549 cell line (AB288996)
  • WB

Lab

Western blot - Human TLR3 knockout A549 cell line (AB288996)

Western blot : ab307442 staining at 1/1000 dilution, shown in green; Mouse anti-Alpha Tubulin [DM1A] (ab7291) loading control staining at 1/20000 dilution, shown in magenta. In Western blot, the antibody was shown to bind specifically to TLR3. A band was observed at 135 kDa in wild-type A549 cell lysates with no signal observed at this size in TLR3 knockout cell line ab288996. To generate this image, wild-type and TLR3 knockout A549 cell lysates were analysed. First, samples were run on an SDS-PAGE gel then transferred onto a nitrocellulose membrane. Membranes were blocked in fluorescent western blot (TBS-based) blocking solution before incubation with primary antibodies overnight at 4 °C. Blots were washed four times in TBS-T, incubated with secondary antibodies for 1 h at room temperature, washed again four times then imaged. Secondary antibodies used were Goat anti-Rabbit IgG H&L 800CW and Goat anti-Mouse IgG H&L 680RD at 1/20000 dilution.

All lanes:

Western blot - Anti-TLR3 antibody [EPR27050-89] (<a href='/en-us/products/primary-antibodies/tlr3-antibody-epr27050-89-ab307442'>ab307442</a>) at 1/1000 dilution

Lane 1:

Wild-type A549 control for Poly (I:C) (0 ug/mL, 24 h) cell lysate at 20 µg

Lane 2:

Wild-type A549 Treated Poly (I:C) (1 ug/mL, 24 h) cell lysate at 20 µg

Lane 3:

Wild-type A549 control for IFNb (0 IU/mL, 6 h) cell lysate at 20 µg

Lane 4:

Wild-type A549 Treated IFNb (100 IU/mL, 6 h) cell lysate at 20 µg

Lane 5:

TLR3 knockout A549 control for Poly (I:C) (0 ug/mL, 24 h) cell lysate at 20 µg

Lane 6:

TLR3 knockout A549 Treated Poly (I:C) (1 ug/mL, 24 h) cell lysate at 20 µg

Lane 7:

TLR3 knockout A549 control for IFNb (0 IU/mL, 6 h) cell lysate at 20 µg

Lane 8:

TLR3 knockout A549 Treated IFNb (100 IU/mL, 6 h) cell lysate at 20 µg

Observed band size: 135 kDa

false

Western blot - Human TLR3 knockout A549 cell line (AB288996)
  • WB

Lab

Western blot - Human TLR3 knockout A549 cell line (AB288996)

Western blot : Anti-TLR3 antibody staining at 1/1000 dilution, shown in green; Mouse anti-Alpha Tubulin [DM1A] (ab7291) loading control staining at 1/20000 dilution, shown in magenta. In Western blot, the antibody was shown to bind specifically to TLR3. A band was observed at 135 kDa in wild-type A549 cell lysates with no signal observed at this size in TLR3 knockout cell line ab288996. To generate this image, wild-type and TLR3 knockout A549 cell lysates were analysed. First, samples were run on an SDS-PAGE gel then transferred onto a nitrocellulose membrane. Membranes were blocked in fluorescent western blot (TBS-based) blocking solution before incubation with primary antibodies overnight at 4 °C. Blots were washed four times in TBS-T, incubated with secondary antibodies for 1 h at room temperature, washed again four times then imaged. Secondary antibodies used were Goat anti-Rabbit IgG H&L 800CW and Goat anti-Mouse IgG H&L 680RD at 1/20000 dilution.

All lanes:

Anti-TLR3 antibody at 1/1000 dilution

Lane 1:

Wild-type A549 control for Poly (I:C) (0 ug/mL, 24 h) cell lysate at 20 µg

Lane 2:

Wild-type A549 Treated Poly (I:C) (1 ug/mL, 24 h) cell lysate at 20 µg

Lane 3:

Wild-type A549 control for IFNb (0 IU/mL, 6 h) cell lysate at 20 µg

Lane 4:

Wild-type A549 Treated IFNb (100 IU/mL, 6 h) cell lysate at 20 µg

Lane 5:

TLR3 knockout A549 control for Poly (I:C) (0 ug/mL, 24 h) cell lysate at 20 µg

Lane 6:

TLR3 knockout A549 Treated Poly (I:C) (1 ug/mL, 24 h) cell lysate at 20 µg

Lane 7:

TLR3 knockout A549 control for IFNb (0 IU/mL, 6 h) cell lysate at 20 µg

Lane 8:

TLR3 knockout A549 Treated IFNb (100 IU/mL, 6 h) cell lysate at 20 µg

false

Next Generation Sequencing - Human TLR3 knockout A549 cell line (AB288996)
  • NGS

Supplier Data

Next Generation Sequencing - Human TLR3 knockout A549 cell line (AB288996)

202 bp deletion after the 436th AA of the WT protein

Key facts

Cell type

A549

Species or organism

Human

Tissue

Lung

Form

Liquid

form

Knockout validation

Next Generation Sequencing,Western blot

Disease

Carcinoma

Reactivity data

{ "title": "Reactivity Data", "filters": { "stats": ["", "Reactivity", "Dilution Info", "Notes"] }, "values": { "WB": { "reactivity":"TESTED_AND_REACTS", "dilution-info":"", "notes":"<p></p>" }, "NGS": { "reactivity":"TESTED_AND_REACTS", "dilution-info":"", "notes":"<p></p>" } } }

Product details

Although we aim to provide customers with a homozygous clone, feasibility will be dependent on the biology of the protein. Should only heterozygous edits be achieved, you will be notified of the outcome and be asked to confirm whether the cell line is acceptable. All clones will be accompanied with DNA sequencing data, and the mutation description.

Recommended control: Human wild-type A549 cell line (ab288558). Please note a wild-type cell line is not automatically included with a knockout cell line order, if required please add recommended wild-type cell line at no additional cost using the code WILDTYPE-TMTK1.

Cryopreservation cell medium: Cell Freezing Medium-DMSO Serum free media, contains 8.7% DMSO in MEM supplemented with methyl cellulose.

Culture medium: DMEM:Hams F12 + 5% FBS

Initial handling guidelines: Upon arrival, the vial should be stored in liquid nitrogen vapor phase and not at -80°C. Storage at -80°C may result in loss of viability.
1. Thaw the vial in 37°C water bath for approximately 1-2 minutes.
2. Transfer the cell suspension (0.8 mL) to a 15 mL/50 mL conical sterile polypropylene centrifuge tube containing 8.4 mL pre-warmed culture medium, wash vial with an additional 0.8 mL culture medium (total volume 10 mL) to collect remaining cells, and centrifuge at 201 x g (rcf) for 5 minutes at room temperature. 10 mL represents minimum recommended dilution. 20 mL represents maximum recommended dilution.
3. Resuspend the cell pellet in 5 mL pre-warmed culture medium and count using a haemocytometer or alternative cell counting method. Based on cell count, seed cells in an appropriate cell culture flask at a density of 2x103-1x104 cells/cm2. Seeding density is given as a guide only and should be scaled to align with individual lab schedules.
4. Incubate the culture at 37°C incubator with 5% CO2. Cultures should be monitored daily.

Subculture guidelines:
• All seeding densities should be based on cell counts gained by established methods.
• A guide seeding density of 6x104 cells/cm2 is recommended.
• A partial media change 24 hours prior to subculture may be helpful to encourage growth, if required.
• Cells should be passaged when they have achieved 80-90% confluence.
• Do not allow the cell density to exceed 7x104 cells/cm2.

We will provide viable cells that proliferate on revival.

This product is subject to limited use licenses from The Broad Institute and ERS Genomics Limited, and is developed with patented technology. For full details of the limited use licenses and relevant patents please refer to our limited use license and patent pages.

Properties and storage information

Gene name
TLR3
Gene editing type
Knockout
Gene editing method
CRISPR technology
Knockout validation
Next Generation Sequencing, Western blot
Shipped at conditions
Dry Ice
Appropriate short-term storage conditions
-196°C
Appropriate long-term storage conditions
-196°C

Handling procedures

Subculture guidelines
  • All seeding densities should be based on cell counts gained by established methods.
  • A guide seeding density of 2x104 cells/cm2 is recommended.
  • Cells should be passaged when they have achieved 80-90% confluence.
  • Do not allow the cell density to exceed 7x104 cells/cm2.
Culture medium

F-12K + 10% FBS

Cryopreservation medium

Cell Freezing Medium-DMSO Serum free media, contains 8.7% DMSO in MEM supplemented with methyl cellulose.

Supplementary information

This supplementary information is collated from multiple sources and compiled automatically.

TLR3 also known as Toll-like receptor 3 is a protein that plays an important role in immune response mechanisms. With a molecular mass of around 104 kDa TLR3 is part of the Toll-like receptor family and expresses mostly in immune cells including dendritic cells and macrophages. It locates mainly on the endosomal membrane where it recognizes double-stranded RNA (dsRNA) which is often a sign of viral infection. TLR3 initiates signaling cascades that lead to the activation of important immune transcription factors.
Biological function summary

TLR3 acts as a sensor for viral and endogenous dsRNA. This receptor forms part of the innate immune system serving as a first line of defense against microbial infections. Upon encountering its ligand TLR3 undergoes conformational changes which allow interaction with the adaptor protein TRIF (TIR-domain-containing adapter-inducing interferon-β). This interaction triggers a downstream signaling cascade that leads to the production of type I interferons and pro-inflammatory cytokines which are essential for mounting an effective antiviral response.

Pathways

TLR3 engages in important signaling cascades like the NF-kB and IRF3 pathways. These pathways are activated by the TRIF-dependent pathway which is unique among the Toll-like receptors. TLR3 influences the expression of genes involved in the inflammatory response and apoptosis. The interactions of TLR3 with other proteins such as MyD88 and IRAK1 are indirect as TLR3 does not depend on the usual MyD88-dependent pathway. This specificity makes TLR3 a critical component in pathogen recognition and response strategies within the immune system.

TLR3 has connections with several conditions primarily viral infections and autoimmune disorders like systemic lupus erythematosus (SLE). Mutations or dysregulation of TLR3 may lead to altered immune responses contributing to the pathogenesis of these diseases. TLR3's association with proteins like TRIF and IRF3 is significant in understanding its role in these conditions. Ongoing research investigates TLR3's potential as a therapeutic target to modulate immune responses in disease states.

Quality control

STR analysis

CSF1PO, D13S317, D7S820, D5S818, TH01, D16S539, TPOX

Cell culture

Biosafety level

EU: 1 US: 1

Adherent/suspension

Adherent

Gender

Male

Product protocols

Product promise

We are committed to supporting your work with high-quality reagents, and we're here for you every step of the way. In the unlikely event that one of our products does not perform as expected, you're protected by our Product Promise.
For full details, please see our Terms & Conditions

Please note: All products are 'FOR RESEARCH USE ONLY. NOT FOR USE IN DIAGNOSTIC OR THERAPEUTIC PROCEDURES'.

For licensing inquiries, please contact partnerships@abcam.com