JavaScript is disabled in your browser. Please enable JavaScript to view this website.
AB274983

Human ATP13A2 knockout HEK-293 cell lysate

Be the first to review this product! Submit a review

|

(0 Publication)

ATP13A2 KO cell lysate available now. KO validated by Next Generation Sequencing. Free of charge wild type control included. Knockout achieved by CRISPR/Cas9 X = 1 bp insertion Frameshift: 99%.

View Alternative Names

AT132_HUMAN, ATPase type 13A2, CLN12, FLJ26510, HSA9947, KRPPD, PARK9, Probable cation-transporting ATPase 13A2, Putative ATPase, RP1-37C10.4

3 Images
Next Generation Sequencing - Human ATP13A2 knockout HEK-293 cell lysate (AB274983)
  • NGS

Supplier Data

Next Generation Sequencing - Human ATP13A2 knockout HEK-293 cell lysate (AB274983)

Knockout achieved by CRISPR/Cas9; X = 1 bp insertion; Frameshift : 99%

Western blot - Human ATP13A2 knockout HEK-293 cell lysate (AB274983)
  • WB

Lab

Western blot - Human ATP13A2 knockout HEK-293 cell lysate (AB274983)

Blocking and diluting buffer and concentration : 5% NFDM/TBST.

In Western blot, ab322735 was shown to bind specifically to ATP13A2. Target of interest was observed at 150 kDa in wild-type HEK-293 cell lysates (lane 1) with no signal observed at this size in ATP13A2 knockout cell line (lane 2)(knockout cell line ab274925)(knockout lysate ab274983)

Samples are non-boiled as boiling may cause protein aggregation.

In Western blot, Anti-Histone H3 antibody [EPR16987] - Nuclear Marker and ChIP Grade (ab176842) 1 : 100000 (15Kda).

All lanes:

Western blot - Anti-ATP13A2 antibody [MJF-D29756-28] (ab322735) at 1/1000 dilution

Lane 1:

HEK-293 (human embryonic kidney epithelial cell) whole cell lysate at 50 µg

Lane 2:

Western blot - Human ATP13A2 knockout HEK-293 cell lysate (ab274983) at 50 µg

Secondary

All lanes:

Goat Anti-Rabbit IgG (HRP) with minimal cross-reactivity with human IgG at 1/2000 dilution

Observed band size: 150 kDa,15 kDa

false

Exposure time: 92s

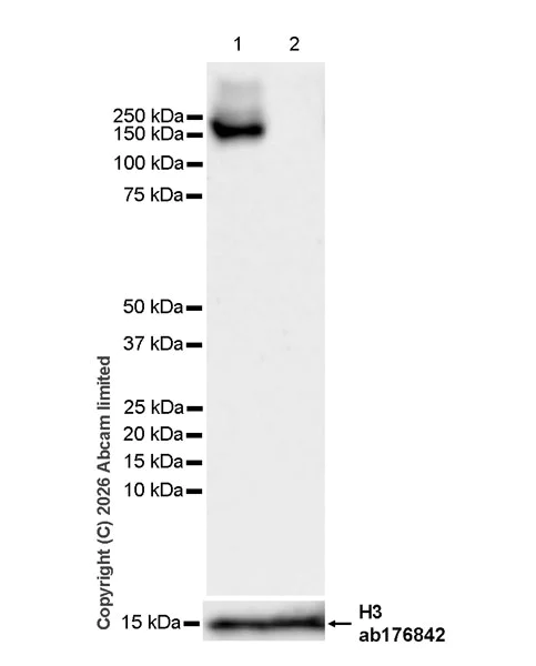
Western blot - Human ATP13A2 knockout HEK-293 cell lysate (AB274983)
  • WB

Lab

Western blot - Human ATP13A2 knockout HEK-293 cell lysate (AB274983)

Blocking and diluting buffer and concentration : 5% NFDM/TBST.

ab322735 was shown to react with ATP13A2 in wild-type HEK-293 cells in Western blot with loss of signal observed in ATP13A2 knockout cell line ab274925. Wild-type HEK-293 and ATP13A2 knockout cell lysates were subjected to SDS-PAGE. Membranes were blocked in 5% milk in TBST for 1 hr before incubation with ab322735 overnight at 4 °C at a 1/1000 dilution. Blots were incubated with secondary antibodies at 0.2 µg/mL before imaging. This data was provided by YCharOS Inc., an open science company with the mission of characterizing commercially available antibody reagents for all human proteins. Abcam and YCharOS are working together to help address the reproducibility crisis by enabling the life science community to better evaluate commercially available antibodies.

All lanes:

Western blot - Anti-ATP13A2 antibody [MJF-D29756-28] (ab322735) at 1/1000 dilution

Lane 1:

HEK-293 (human embryonic kidney epithelial cell) whole cell lysate at 20 µg

Lane 2:

Western blot - Human ATP13A2 knockout HEK-293 cell lysate (ab274983) at 20 µg

Secondary

All lanes:

Western blot - Goat Anti-Rabbit IgG H&L (HRP) (<a href='/en-us/products/secondary-antibodies/goat-rabbit-igg-h-l-hrp-ab97051'>ab97051</a>) at 1/20000 dilution

Observed band size: 150 kDa

false

Exposure time: 180s

Key facts

Cell type

HEK-293

Species or organism

Human

Tissue

Kidney

Knockout validation

Next Generation Sequencing

Mutation description

Knockout achieved by CRISPR/Cas9 X = 1 bp insertion Frameshift: 99%

Product details

Knockout cell lysate achieved by CRISPR/Cas9.

REACH authorisation
Abcam has not and does not intend to apply for the REACH Authorisation of customers' uses of products that contain European Authorisation list (Annex XIV) substances.
It is the responsibility of our customers to check the necessity of application of REACH Authorisation, and any other relevant authorisations, for their intended uses.

Lysate preparation: Our lysates are made using RIPA buffer to which we add a protease inhibitor cocktail and phosphatase inhibitor cocktail (ratio: 300:100:10). This means that the protein of interest is denatured. If you require a native form of the protein please use the live cell version. Please refer to our lysis protocol for further details on how our lysates are prepared.

User storage instructions: Lyophilizate may be stored at 4°C. After reconstitution, store at -20°C for short-term storage or -80°C for long-term storage.

This product is subject to limited use licenses from The Broad Institute, ERS Genomics Limited and Sigma-Aldrich Co. LLC, and is developed with patented technology. For full details of the licenses and patents please refer to our limited use license and patent pages.

What's included?

{ "values": { "1Kit": { "sellingSize": "1 Kit", "publicAssetCode":"ab274983-1Kit", "assetComponentDetails": [ { "size":"1 x 100 µg", "name":"Human ATP13A2 knockout HEK-293 cell lysate", "number":"AB274983-CMP02", "productcode":"" }, { "size":"1 x 100 µg", "name":"Human wild-type HEK-293 cell lysate", "number":"AB274983-CMP01", "productcode":"" } ] } } }

Properties and storage information

Gene name
ATP13A2
Gene editing type
Knockout
Gene editing method
CRISPR technology
Knockout validation
Next Generation Sequencing
Shipped at conditions
Ambient - Can Ship with Ice
Appropriate short-term storage conditions
-20°C
Appropriate long-term storage conditions
-20°C

Supplementary information

This supplementary information is collated from multiple sources and compiled automatically.

ATP13A2 also known as PARK9 is a lysosomal P5-type ATPase with a molecular mass of approximately 163 kDa. It functions primarily as a cation transporter involved in the transport of divalent metal ions such as manganese and zinc across lysosomal membranes. The ATP13A2 protein is expressed in various tissues with high levels noted in the brain particularly within the neurons of the substantia nigra. The presence of ATP13A2 is also confirmed in kidney tissues and immune cells indicating a wide tissue distribution.
Biological function summary

ATP13A2 plays a significant role in maintaining metal ion homeostasis inside cells. It is an essential component of the complex regulatory system that ensures proper lysosomal function. The protein impacts autophagy by influencing lysosomal biogenesis and integrity. Furthermore its function in metal ion transport and detoxification suggests a protective role for neurons against metal-induced oxidative stress.

Pathways

ATP13A2 is an important participant in the lysosomal degradation pathway and the autophagy-lysosome pathway. It interacts with proteins such as alpha-synuclein known for its role in neurodegenerative diseases and cellular stress responses. In the context of metal ion homeostasis ATP13A2 operates alongside other transporters and enzymes to maintain cellular ion balance and prevent toxicity.

ATP13A2 mutations associate strongly with neurodegenerative conditions like Parkinson's disease (PD) and Kufor-Rakeb syndrome a rare juvenile-onset parkinsonism. Disruption in ATP13A2 activity leads to cellular dysfunction and neurodegeneration due to impaired lysosomal degradation and metal ion imbalance. It is connected to PARK7 (DJ-1) another protein linked to the pathogenesis of PD suggesting shared pathways or compensatory mechanisms between these proteins in neuronal survival and pathology.

Quality control

STR analysis

CSF1PO, D13S317, D7S820, D5S818, TH01, D16S539, TPOX

Cell culture

Biosafety level

EU: 2 US: 2

Adherent/suspension

Adherent

Gender

Female

Product protocols

Product promise

We are committed to supporting your work with high-quality reagents, and we're here for you every step of the way. In the unlikely event that one of our products does not perform as expected, you're protected by our Product Promise.
For full details, please see our Terms & Conditions

Please note: All products are 'FOR RESEARCH USE ONLY. NOT FOR USE IN DIAGNOSTIC OR THERAPEUTIC PROCEDURES'.

For licensing inquiries, please contact partnerships@abcam.com