JavaScript is disabled in your browser. Please enable JavaScript to view this website.
AB257270

Human FOLR1 (Folate Binding Protein/FBP) knockout HeLa cell lysate

Be the first to review this product! Submit a review

|

(0 Publication)

FOLR1 KO cell lysate available now. KO validated by Western blot. Free of charge wild type control included. Knockout achieved by using CRISPR/Cas9, 4 bp deletion in exon 1 and Insertion of the selection cassette in exon 1.

View Alternative Names

Adult folate-binding protein, FBP, FOLR, FOLR1_HUMAN, FR-alpha, Folate Binding Protein, Folate Receptor 1 Adult, Folate Receptor 1 Precursor, Folate receptor, Folate receptor 1, Folate receptor adult, Folate receptor alpha, KB cells FBP, MOV18, Ovarian cancer associated antigen, Ovarian tumor associated antigen, Ovarian tumor-associated antigen MOv18

5 Images
Western blot - Human FOLR1 (Folate Binding Protein/FBP) knockout HeLa cell lysate (AB257270)
  • WB

Lab

Western blot - Human FOLR1 (Folate Binding Protein/FBP) knockout HeLa cell lysate (AB257270)

Lane 1 : Wild-type HeLa cell lysate (20 μg)

Lane 2 : FOLR1 knockout HeLa cell lysate (20 μg)

Lane 3 : JAR cell lysate (20 μg)

Lane 4 : MDA-MB-231 cell lysate (20 μg)

Lanes 1-4 : Merged signal (red and green). Green - ab221543 observed at 36, 38 kDa. Red - loading control, ab7291 observed at 52 kDa.

ab221543 Anti-Folate Binding Protein/FBP antibody [EPR20277] was shown to specifically react with Folate Binding Protein/FBP in wild-type HeLa cells. Loss of signal was observed when knockout cell line ab264921 (knockout cell lysate ab257270) was used. Wild-type and Folate Binding Protein/FBP knockout samples were subjected to SDS-PAGE. ab221543 and Anti-alpha Tubulin antibody [DM1A] - Loading Control (ab7291) were incubated overnight at 4°C at 1 in 1000 dilution and 1 in 20000 dilution respectively. Blots were developed with Goat anti-Rabbit IgG H&L (IRDye® 800CW) preadsorbed (ab216773) and Goat anti-Mouse IgG H&L (IRDye® 680RD) preadsorbed (ab216776) secondary antibodies at 1 in 10000 dilution for 1 hour at room temperature before imaging.

The molecular weight (36,38kDa) observed were knockout validated and consistent with what has been described in the literature (PMID : 23144806).

All lanes:

Western blot - Anti-Folate Binding Protein/FBP antibody [EPR20277] (<a href='/en-us/products/primary-antibodies/folate-binding-protein-fbp-antibody-epr20277-ab221543'>ab221543</a>) at 1/1000 dilution

Lane 1:

Wild-type HeLa cell lysate at 20 µg

Lane 2:

FOLR1 knockout HeLa cell lysate at 20 µg

Lane 3:

JAR cell lysate at 20 µg

Lane 4:

MDA-MB-231 cell lysate at 20 µg

Predicted band size: 30 kDa

Observed band size: 38 kDa,36 kDa

false

Western blot - Human FOLR1 (Folate Binding Protein/FBP) knockout HeLa cell lysate (AB257270)
  • WB

Unknown

Western blot - Human FOLR1 (Folate Binding Protein/FBP) knockout HeLa cell lysate (AB257270)

Lane 1 : Wild-type HeLa cell lysate (20 μg)

Lane 2 : FOLR1 knockout HeLa cell lysate (20 μg)

Lane 3 : JAR cell lysate (20 μg)

Lane 4 : MDA-MB-231 cell lysate (20 μg)

Lanes 1-4 : Merged signal (red and green). Green - ab67422 observed at 38 kDa. Red - loading control, ab7291 observed at 52 kDa.

ab67422 Anti-Folate Binding Protein/FBP antibody was shown to specifically react with Folate Binding Protein/FBP in wild-type HeLa cells. Loss of signal was observed when knockout cell line ab264921 (knockout cell lysate ab257270) was used. Wild-type and Folate Binding Protein/FBP knockout samples were subjected to SDS-PAGE. ab67422 and Anti-alpha Tubulin antibody [DM1A] - Loading Control (ab7291) were incubated overnight at 4°C at 1 in 500 dilution and 1 in 20000 dilution respectively. Blots were developed with Goat anti-Rabbit IgG H&L (IRDye® 800CW) preadsorbed (ab216773) and Goat anti-Mouse IgG H&L (IRDye® 680RD) preadsorbed (ab216776) secondary antibodies at 1 in 10000 dilution for 1 hour at room temperature before imaging.

All lanes:

Western blot - Anti-Folate Binding Protein/FBP antibody (<a href='/en-us/products/primary-antibodies/folate-binding-protein-fbp-antibody-ab67422'>ab67422</a>) at 1/500 dilution

Lane 1:

Wild-type HeLa cell lysate at 20 µg

Lane 2:

FOLR1 knockout HeLa cell lysate at 20 µg

Lane 2:

Western blot - Human FOLR1 (Folate Binding Protein/FBP) knockout HeLa cell line (<a href='/en-us/products/cell-lines/human-folr1-folate-binding-protein-fbp-knockout-hela-cell-line-ab264921'>ab264921</a>)

Lane 3:

JAR cell lysate at 20 µg

Lane 4:

MDA-MB-231 cell lysate at 20 µg

Predicted band size: 30 kDa

Observed band size: 38 kDa

false

Sanger Sequencing - Human FOLR1 (Folate Binding Protein/FBP) knockout HeLa cell lysate (AB257270)
  • Sanger seq

Unknown

Sanger Sequencing - Human FOLR1 (Folate Binding Protein/FBP) knockout HeLa cell lysate (AB257270)

Allele-1 : 4 bp deletion in exon 1

Sanger Sequencing - Human FOLR1 (Folate Binding Protein/FBP) knockout HeLa cell lysate (AB257270)
  • Sanger seq

Unknown

Sanger Sequencing - Human FOLR1 (Folate Binding Protein/FBP) knockout HeLa cell lysate (AB257270)

Allele-2 : Insertion of the selection cassette in exon 1

Western blot - Human FOLR1 (Folate Binding Protein/FBP) knockout HeLa cell lysate (AB257270)
  • WB

Supplier Data

Western blot - Human FOLR1 (Folate Binding Protein/FBP) knockout HeLa cell lysate (AB257270)

Blocking and diluting buffer and concentration : 5% NFDM/TBST.

Negative control : K-562 (PMID : 15899836).

Lysates/proteins at 20 ug per lane.

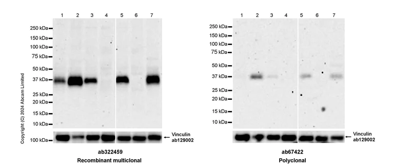
In Western blot, ab322459 was shown to bind specifically to FOLR1. A band was observed at 37 kDa in wild-type HeLa cell lysates with whereas no signal observed at this size in FOLR1 knockout cell line ab264921(knockout cell lysate ab257270).

In Western blot, Anti-Vinculin antibody [EPR8185] (ab129002) staining at 1/10000 dilution.

All lanes:

Western blot - Anti-Folate Binding Protein/FBP antibody [RM1246] (<a href='/en-us/products/primary-antibodies/folate-binding-protein-fbp-antibody-rm1246-ab322459'>ab322459</a>) at 1/1000 dilution

Lane 1:

SK-OV-3 (human ovarian cancer epithelial cell) whole cell lysate at 20 µg

Lane 2:

JAR (human placenta choriocarcinoma epithelial cell) whole cell lysate at 20 µg

Lane 3:

T-47D (human ductal breast epithelial tumor epithelial cell) whole cell lysate at 20 µg

Lane 4:

K-562 (human chronic myelogenous leukemia lymphoblast) whole cell lysate at 20 µg

Lane 5:

Wild-type HeLa (human cervical adenocarcinoma epithelial cell) whole cell lysate at 20 µg

Lane 6:

Western blot - Human FOLR1 (Folate Binding Protein/FBP) knockout HeLa cell lysate (ab257270) at 20 µg

Lane 7:

Human ovary cancer tissue lysate at 20 µg

Secondary

All lanes:

Western blot - Goat Anti-Rabbit IgG H&L (HRP) (<a href='/en-us/products/secondary-antibodies/goat-rabbit-igg-h-l-hrp-ab97051'>ab97051</a>) at 1/100000 dilution

Observed band size: 37 kDa,124 kDa

false

Exposure time: 180s

Key facts

Cell type

HeLa

Species or organism

Human

Tissue

Cervix

Knockout validation

Sanger Sequencing,Western blot

Mutation description

Knockout achieved by using CRISPR/Cas9, 4 bp deletion in exon 1 and Insertion of the selection cassette in exon 1.

Disease

Adenocarcinoma

Reactivity data

{ "title": "Reactivity Data", "filters": { "stats": ["", "Reactivity", "Dilution Info", "Notes"] }, "values": { "WB": { "reactivity":"TESTED_AND_REACTS", "dilution-info":"", "notes":"<p></p>" } } }

Product details

Knockout cell lysate achieved by CRISPR/Cas9.

REACH authorisation
Abcam has not and does not intend to apply for the REACH Authorisation of customers' uses of products that contain European Authorisation list (Annex XIV) substances.
It is the responsibility of our customers to check the necessity of application of REACH Authorisation, and any other relevant authorisations, for their intended uses.

Lysate preparation: Our lysates are made using RIPA buffer to which we add a protease inhibitor cocktail and phosphatase inhibitor cocktail (ratio: 300:100:10). This means that the protein of interest is denatured. If you require a native form of the protein please use the live cell version. Please refer to our lysis protocol for further details on how our lysates are prepared.

User storage instructions: Lyophilizate may be stored at 4°C. After reconstitution, store at -20°C for short-term storage or -80°C for long-term storage.

This product is subject to limited use licenses from The Broad Institute, ERS Genomics Limited and Sigma-Aldrich Co. LLC, and is developed with patented technology. For full details of the licenses and patents please refer to our limited use license and patent pages.

What's included?

{ "values": { "1Kit": { "sellingSize": "1 Kit", "publicAssetCode":"ab257270-1Kit", "assetComponentDetails": [ { "size":"1 x 100 µg", "name":"Human FOLR1 knockout HeLa cell lysate", "number":"AB257270-CMP02", "productcode":"" }, { "size":"1 x 100 µg", "name":"Human wild-type HeLa cell lysate", "number":"AB257270-CMP01", "productcode":"" } ] } } }

Properties and storage information

Gene name
FOLR1
Gene editing type
Knockout
Gene editing method
CRISPR technology
Knockout validation
Sanger Sequencing, Western blot
Shipped at conditions
Ambient - Can Ship with Ice
Appropriate short-term storage conditions
-20°C
Appropriate long-term storage conditions
-20°C

Supplementary information

This supplementary information is collated from multiple sources and compiled automatically.

Folate Binding Protein (FBP) also known as FolR1 protein or FOLR-1 is a significant protein with a mass of about 32-38 kDa. It binds folate with high affinity and facilitates its transport into the cell. FBP can be found in various tissues with notable expression in the placenta kidney and certain epithelial tissues. The protein mediates folate uptake by capturing folates in the extracellular matrix and channeling them through receptor-mediated endocytosis.
Biological function summary

FBP plays a critical role in cellular growth and replication by ensuring sufficient folate supply. It belongs to a family of receptors not forming part of a larger protein complex. FBP's primary function is delivering folate an important B vitamin which acts as a one-carbon donor in DNA synthesis and repair. Optimal folate transport by FBP supports cellular functions particularly in rapidly dividing cells.

Pathways

FBP significantly contributes to the folate-mediated one-carbon metabolic pathway critical for nucleotide biosynthesis. This pathway interconnects with the homocysteine remethylation cycle. FBP associates with other enzymes such as dihydrofolate reductase (DHFR) and methylenetetrahydrofolate reductase (MTHFR) which also play key roles in these pathways. These interactions ensure efficient folate metabolism and maintenance of normal cellular functions.

FBP's relation to cancer and neural tube defects is well documented. Overexpression of FBP has been observed in various cancers including ovarian and breast cancer which indicates its potential role in tumor progression. In neural tube defects altered folate transport due to variations in FBP expression impacts neural development. FBP connects to other markers like HER2 in cancer which may form part of a therapeutic target strategy.

Quality control

STR analysis

CSF1PO, D13S317, D7S820, D5S818, TH01, D16S539, TPOX

Cell culture

Biosafety level

EU: 2 US: 2

Adherent/suspension

Adherent

Gender

Female

Product protocols

Product promise

We are committed to supporting your work with high-quality reagents, and we're here for you every step of the way. In the unlikely event that one of our products does not perform as expected, you're protected by our Product Promise.
For full details, please see our Terms & Conditions

Please note: All products are 'FOR RESEARCH USE ONLY. NOT FOR USE IN DIAGNOSTIC OR THERAPEUTIC PROCEDURES'.

For licensing inquiries, please contact partnerships@abcam.com