JavaScript is disabled in your browser. Please enable JavaScript to view this website.
AB275532

Human IL13RA2 knockout A375 cell lysate

Be the first to review this product! Submit a review

|

(0 Publication)

IL13RA2 KO cell lysate available now. KO validated by Immunocytochemistry, Next Generation Sequencing, Western blot. Free of charge wild type control included. Knockout achieved by using CRISPR/Cas9, Homozygous: 1 bp deletion in exon 3.

View Alternative Names

CD213a2, Cancer/testis antigen 19, I13R2_HUMAN, IL-13 receptor subunit alpha-2, IL-13R subunit alpha-2, IL-13R-alpha-2, IL-13RA2, IL13 receptor, IL13BP, IL13R, Interleukin 13 receptor alpha 2 chain, Interleukin-13 receptor subunit alpha-2, Interleukin-13-binding protein

3 Images
Western blot - Human IL13RA2 knockout A375 cell lysate (AB275532)
  • WB

Lab

Western blot - Human IL13RA2 knockout A375 cell lysate (AB275532)

Lane 1 : Wild-type A375 cell lysate 30 ug
Lane 2 : IL13RA2 knockout A375 cell lysate 30 ug
Lane 3 : U-87-MG cell lysate 30 ug
Lane 4 : Daudi cell lysate 30 ug
Lanes 1 - 4 : Merged signal (red and green). Green - ab260044 observed at 49 kDa. Red - loading control ab7291 (Mouse anti-Alpha Tubulin [DM1A]) observed at 55kDa.
ab260044 was shown to react with IL-13 receptor alpha 2 in wild-type A375 cells in western blot with loss of signal observed in IL13RA2 knockout cell line ab273371 (knockout cell lysate ab275532). Wild-type and IL13RA2 knockout A375 cell lysates were subjected to SDS-PAGE. Membranes were blocked in fluorescent western blot (TBS-based) blocking solution before incubation with ab260044 and ab7291 (Mouse anti-Alpha Tubulin [DM1A]) overnight at 4°C at a 1 in 1000 dilution and a 1 in 20000 dilution respectively. Blots were incubated with Goat anti-Rabbit IgG H&L (IRDye® 800CW) preabsorbed (ab216773) and Goat anti-Mouse IgG H&L (IRDye® 680RD) preabsorbed (ab216776) secondary antibodies at 1 in 20000 dilution for 1 hour at room temperature before imaging.

All lanes:

Western blot - Anti-IL-13 receptor alpha 2 antibody [EPR22978-163] (<a href='/en-us/products/primary-antibodies/il-13-receptor-alpha-2-antibody-epr22978-163-ab260044'>ab260044</a>) at 1/1000 dilution

Lane 1:

Wild-type A375 cell lysate at 30 µg

Lane 2:

IL13RA2 knockout A375 cell lysate at 30 µg

Lane 2:

Western blot - Human IL13RA2 knockout A375 cell line (<a href='/en-us/products/cell-lines/human-il13ra2-knockout-a375-cell-line-ab273381'>ab273381</a>)

Lane 3:

U-87-MG cell lysate at 30 µg

Lane 4:

Daudi cell lysate at 30 µg

Predicted band size: 44 kDa

Observed band size: 49 kDa

false

Next Generation Sequencing - Human IL13RA2 knockout A375 cell lysate (AB275532)
  • NGS

Supplier Data

Next Generation Sequencing - Human IL13RA2 knockout A375 cell lysate (AB275532)

Homozygous : 1 bp deletion in exon 3

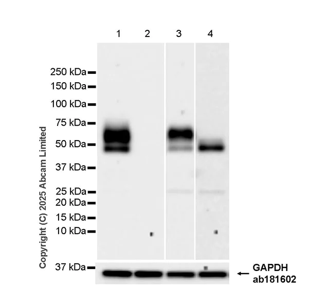
Western blot - Human IL13RA2 knockout A375 cell lysate (AB275532)
  • WB

Supplier Data

Western blot - Human IL13RA2 knockout A375 cell lysate (AB275532)

Blocking and diluting buffer and concentration : 5% NFDM/TBST.

Performed under reducing conditions.

In Western blot, ab324598 was shown to bind specifically to IL-13 receptor alpha 2. Band of interest was observed at 50-60 kDa in wild-type A375 cell lysate (lane 1) with no signal observed at this size in IL13RA2 knockout A375 cell lysate (lane 2) (lane 2, knockout cell line ab273381 / knockout cell lysate ab275532).

The molecular weight observed is consistent with what has been described in the literature (PMID : 30718742).

In Western blot, Anti-GAPDH antibody [EPR16891] - Loading Control (ab181602) staining at 1/200000 dilution.

Exposure time : Lanes 1-2 : 26 seconds, lane 3 : 48 seconds, lane 4 : 180 seconds

All lanes:

Western blot - Anti-IL13RA2 antibody [RM2087] (<a href='/en-us/products/primary-antibodies/il13ra2-antibody-rm2087-ab324598'>ab324598</a>) at 1/1000 dilution

Lane 1:

A375 (human malignant melanoma epithelial cell) whole cell lysate at 20 µg

Lane 2:

Western blot - Human IL13RA2 knockout A375 cell lysate (ab275532) at 20 µg

Lane 3:

A-172 (human brain glioblastoma cell) whole cell lysate at 20 µg

Lane 4:

Human testis tissue lysate at 20 µg

Secondary

All lanes:

Goat Anti-Rabbit IgG (HRP) with minimal cross-reactivity with human IgG at 1/2000 dilution

Observed band size: 50-60 kDa,36 kDa

false

Key facts

Cell type

A-375

Species or organism

Human

Tissue

Skin

Knockout validation

Immunocytochemistry,Next Generation Sequencing,Western blot

Mutation description

Knockout achieved by using CRISPR/Cas9, Homozygous: 1 bp deletion in exon 3

Disease

Melanoma

Reactivity data

{ "title": "Reactivity Data", "filters": { "stats": ["", "Reactivity", "Dilution Info", "Notes"] }, "values": { "WB": { "reactivity":"TESTED_AND_REACTS", "dilution-info":"", "notes":"<p></p>" } } }

Product details

Knockout cell lysate achieved by CRISPR/Cas9.

REACH authorisation
Abcam has not and does not intend to apply for the REACH Authorisation of customers' uses of products that contain European Authorisation list (Annex XIV) substances.
It is the responsibility of our customers to check the necessity of application of REACH Authorisation, and any other relevant authorisations, for their intended uses.

Lysate preparation: Our lysates are made using RIPA buffer to which we add a protease inhibitor cocktail and phosphatase inhibitor cocktail (ratio: 300:100:10). This means that the protein of interest is denatured. If you require a native form of the protein please use the live cell version. Please refer to our lysis protocol for further details on how our lysates are prepared.

User storage instructions: Lyophilizate may be stored at 4°C. After reconstitution, store at -20°C for short-term storage or -80°C for long-term storage.

This product is subject to limited use licenses from The Broad Institute and ERS Genomics Limited, and is developed with patented technology. For full details of the limited use licenses and relevant patents please refer to our limited use license and patent pages.

What's included?

{ "values": { "1Kit": { "sellingSize": "1 Kit", "publicAssetCode":"ab275532-1Kit", "assetComponentDetails": [ { "size":"1 x 100 µg", "name":"Human IL13RA2 knockout A375 cell lysate", "number":"AB275532-CMP02", "productcode":"" }, { "size":"1 x 100 µg", "name":"Human wild-type A375 cell lysate", "number":"AB275532-CMP01", "productcode":"" } ] } } }

Properties and storage information

Gene name
IL13RA2
Gene editing type
Knockout
Gene editing method
CRISPR technology
Knockout validation
Immunocytochemistry, Next Generation Sequencing, Western blot
Zygosity
Homozygous
Shipped at conditions
Ambient - Can Ship with Ice
Appropriate short-term storage conditions
-20°C
Appropriate long-term storage conditions
-20°C

Quality control

STR analysis

CSF1PO, D13S317, D7S820, D5S818, TH01, D16S539, TPOX

Cell culture

Biosafety level

EU: 1 US: 1

Adherent/suspension

Adherent

Gender

Female

Product protocols

Product promise

We are committed to supporting your work with high-quality reagents, and we're here for you every step of the way. In the unlikely event that one of our products does not perform as expected, you're protected by our Product Promise.
For full details, please see our Terms & Conditions

Please note: All products are 'FOR RESEARCH USE ONLY. NOT FOR USE IN DIAGNOSTIC OR THERAPEUTIC PROCEDURES'.

For licensing inquiries, please contact partnerships@abcam.com