JavaScript is disabled in your browser. Please enable JavaScript to view this website.
AB257718

Human SUFU knockout HEK-293T cell lysate

Be the first to review this product! Submit a review

|

(0 Publication)

SUFU KO cell lysate available now. KO validated by Western blot. Free of charge wild type control included. Knockout achieved by using CRISPR/Cas9, 11 bp deletion in exon3.

View Alternative Names

OTTHUMP00000020374, OTTHUMP00000020377, OTTHUMP00000020379, PRO1280, SU(F)U, SUFU negative regulator of hedgehog signaling, SUFUH, SUFUXL, SUFU_HUMAN, Su(fu), Suppressor of Fused, Suppressor of fused homolog, Suppressor of fused homolog (Drosophila)

3 Images
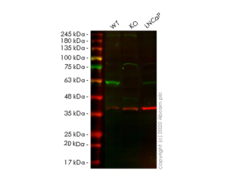
Western blot - Human SUFU knockout HEK-293T cell lysate (AB257718)
  • WB

Lab

Western blot - Human SUFU knockout HEK-293T cell lysate (AB257718)

Blocking and diluting buffer and concentration : Intercept® (TBS) Blocking Buffer diluted with an equal volume of 0.1% TBS.

Lane 1 : Wild-type HEK293T cell lysate (20 ug)
Lane 2 : SUFU knockout HEK293T cell lysate (20 ug)
Lane 3 : LNCaP cell lysate (20 ug)

Lanes 1-3 : Merged signal (red and green). Green - ab259975 observed at 53 kDa. Red - loading control ab8245 (Mouse monoclonal [6C5] to GAPDH) observed at 36 kDa.

ab253183 Anti-SUFU antibody [EPR23821-101] was shown to specifically react with SUFU in wild-type HEK293T cells. Loss of signal was observed when knockout cell line ab267282 (knockout cell lysate ab257718) was used. Wild-type and SUFU knockout samples were subjected to SDS-PAGE.

ab253183 and Anti-GAPDH antibody [6C5] - Loading Control (ab8245) were incubated at 4° overnight at 1 in 1000 dilution and 1 in 20000 dilution respectively. Blots were developed with Goat anti-Rabbit IgG H&L (IRDye® 800CW) preadsorbed (ab216773) and Goat anti-Mouse IgG H&L (IRDye® 680RD) preadsorbed (ab216776) secondary antibodies at 1 in 10000 dilution for 1 hour at room temperature before imaging.

All lanes:

Western blot - Anti-SUFU antibody [EPR23821-101] (<a href='/en-us/products/primary-antibodies/sufu-antibody-epr23821-101-ab259975'>ab259975</a>) at 1/1000 dilution

Lane 1:

Wild-type HEK293T (human embryonic kidney epithelial cell), whole cell lysate at 20 µg

Lane 2:

SUFU knockout HEK293T (human embryonic kidney epithelial cell), whole cell lysate at 20 µg

Lane 3:

LNCaP (human prostate carcinoma epithelial cell), whole cell lysate at 20 µg

Secondary

All lanes:

Goat Anti-Rabbit IgG H&L (IRDye® 800CW) (<a href='/en-us/products/secondary-antibodies/goat-rabbit-igg-h-l-irdye-800cw-preadsorbed-ab216773'>ab216773</a>) and Goat Anti-Mouse IgG H&L (IRDye® 680RD) (<a href='/en-us/products/secondary-antibodies/goat-mouse-igg-h-l-irdye-680rd-preadsorbed-ab216776'>ab216776</a>) at 1/10000 dilution

Predicted band size: 53 kDa

Observed band size: 53 kDa

false

Western blot - Human SUFU knockout HEK-293T cell lysate (AB257718)
  • WB

Lab

Western blot - Human SUFU knockout HEK-293T cell lysate (AB257718)

Lane 1 : Wild-type HEK293T cell lysate (20 ug)
Lane 2 : SUFU knockout HEK293T cell lysate (20 ug)
Lane 3 : LNCaP cell lysate (20 ug)

ab28083 was shown to specifically react with SUFU in wild-type HEK293T cells. Loss of signal was observed when knockout cell line ab267282 (knockout cell lysate ab257718) was used. Wild-type and SUFU knockout samples were subjected to SDS-PAGE. ab28083 and Anti-GAPDH antibody [6C5] - Loading Control (ab8245) were incubated at room temperature for 2.5 hours at 1 in 1000 dilution and 1 in 20000 dilution respectively. Blots were developed with Goat anti-Rabbit IgG H&L (IRDye® 800CW) preadsorbed (ab216773) and Goat anti-Mouse IgG H&L (IRDye® 680RD) preadsorbed (ab216776) secondary antibodies at 1 in 20000 dilution for 1 hour at room temperature before imaging.

All lanes:

Western blot - Anti-SUFU antibody (<a href='/en-us/products/primary-antibodies/sufu-antibody-ab28083'>ab28083</a>) at 1/1000 dilution

Lane 1:

Wild-type HEK293T cell lysate at 20 µg

Lane 2:

SUFU knockout HEK293T cell lysate at 20 µg

Lane 2:

Western blot - Human SUFU knockout HEK-293T cell line (<a href='/en-us/products/cell-lines/human-sufu-knockout-hek-293t-cell-line-ab267282'>ab267282</a>)

Lane 3:

LNCaP cell lysate at 20 µg

Secondary

All lanes:

Western blot - Goat anti-Rabbit IgG H&L (IRDye® 800CW) preadsorbed (<a href='/en-us/products/secondary-antibodies/goat-rabbit-igg-h-l-irdye-800cw-preadsorbed-ab216773'>ab216773</a>) at 1/10000 dilution

Predicted band size: 53 kDa

Observed band size: 58 kDa

false

Sanger Sequencing - Human SUFU knockout HEK-293T cell lysate (AB257718)
  • Sanger seq

Unknown

Sanger Sequencing - Human SUFU knockout HEK-293T cell lysate (AB257718)

Homozygous : 11 bp deletion in exon3

Key facts

Cell type

HEK-293T

Species or organism

Human

Tissue

Kidney

Knockout validation

Sanger Sequencing,Western blot

Mutation description

Knockout achieved by using CRISPR/Cas9, 11 bp deletion in exon3.

Reactivity data

{ "title": "Reactivity Data", "filters": { "stats": ["", "Reactivity", "Dilution Info", "Notes"] }, "values": { "WB": { "reactivity":"TESTED_AND_REACTS", "dilution-info":"", "notes":"<p></p>" } } }

Product details

Knockout cell lysate achieved by CRISPR/Cas9.

REACH authorisation
Abcam has not and does not intend to apply for the REACH Authorisation of customers' uses of products that contain European Authorisation list (Annex XIV) substances.
It is the responsibility of our customers to check the necessity of application of REACH Authorisation, and any other relevant authorisations, for their intended uses.

Lysate preparation: Our lysates are made using RIPA buffer to which we add a protease inhibitor cocktail and phosphatase inhibitor cocktail (ratio: 300:100:10). This means that the protein of interest is denatured. If you require a native form of the protein please use the live cell version. Please refer to our lysis protocol for further details on how our lysates are prepared.

User storage instructions: Lyophilizate may be stored at 4°C. After reconstitution, store at -20°C for short-term storage or -80°C for long-term storage.

This product is subject to limited use licenses from The Broad Institute and ERS Genomics Limited, and is developed with patented technology. For full details of the limited use licenses and relevant patents please refer to our limited use license and patent pages.

What's included?

{ "values": { "1Kit": { "sellingSize": "1 Kit", "publicAssetCode":"ab257718-1Kit", "assetComponentDetails": [ { "size":"1 x 100 µg", "name":"Human SUFU knockout HEK293T cell lysate", "number":"AB257718-CMP01", "productcode":"" }, { "size":"1 x 100 µg", "name":"Human wild-type HEK293T cell lysate", "number":"AB257718-CMP02", "productcode":"" } ] } } }

Properties and storage information

Gene name
SUFU
Gene editing type
Knockout
Gene editing method
CRISPR technology
Knockout validation
Sanger Sequencing, Western blot
Shipped at conditions
Ambient - Can Ship with Ice
Appropriate short-term storage conditions
-20°C
Appropriate long-term storage conditions
-20°C

Supplementary information

This supplementary information is collated from multiple sources and compiled automatically.

SUFU also known as Suppressor of Fused is a regulatory protein with a mass of approximately 54 kDa. This protein serves as a significant component within the Hedgehog signaling pathway. SUFU is widely expressed in various tissues including brain heart and skeletal muscle. It acts as a negative regulator binding to and inhibiting the activity of other key proteins in the signaling cascade.
Biological function summary

SUFU modulates the activity of the transcription factors Gli1 Gli2 and Gli3 keeping them in the cytoplasm in their inactive form. It can form part of large protein complexes playing an important role in ensuring that signal transduction is tightly regulated. SUFU's function helps control the expression of target genes that are important for development and cellular differentiation. This regulation is essential during embryonic development and tissue maintenance in adults.

Pathways

SUFU has an important role in the Hedgehog signaling pathway and interacts with components like Smoothened (SMO) and Patched (PTCH). This pathway controls processes like cell growth and differentiation. By regulating the activity of Gli proteins SUFU influences how signals are transmitted within the pathway. SUFU can also interact with other proteins such as KIF7 further defining its place within the pathway's network.

SUFU can contribute to the development of basal cell carcinoma and medulloblastoma when its function is disrupted. In cases where mutations affect SUFU regulation the Hedgehog pathway becomes aberrantly activated. This can lead to uncontrolled cell proliferation. SUFU's relationship with Gli proteins is significant in these conditions because of its role in modulating their activity directly impacting the onset and progression of these cancers.

Quality control

STR analysis

CSF1PO, D13S317, D7S820, D5S818, TH01, D16S539, TPOX

Cell culture

Biosafety level

EU: 2 US: 2

Adherent/suspension

Adherent

Gender

Female

Product protocols

Product promise

We are committed to supporting your work with high-quality reagents, and we're here for you every step of the way. In the unlikely event that one of our products does not perform as expected, you're protected by our Product Promise.
For full details, please see our Terms & Conditions

Please note: All products are 'FOR RESEARCH USE ONLY. NOT FOR USE IN DIAGNOSTIC OR THERAPEUTIC PROCEDURES'.

For licensing inquiries, please contact partnerships@abcam.com