JavaScript is disabled in your browser. Please enable JavaScript to view this website.
AB258251

Human TRIP10 (Cip4) knockout HEK-293T cell lysate

Be the first to review this product! Submit a review

|

(0 Publication)

TRIP10 KO cell lysate available now. KO validated by Western blot. Free of charge wild type control included. Knockout achieved by using CRISPR/Cas9, 14 bp deletion in exon2.

View Alternative Names

CG11341, CG15015 PA, CIP4_HUMAN, Cdc42 interaction protein 4 long isoform, Cdc42-interacting protein 4, DCIP4, Protein Felic, STOT, Salt tolerant protein, Salt tolerator, TR-interacting protein 10, TRIP-10, Thyroid hormone receptor interactor 10, Thyroid receptor-interacting protein 10, Truncated Cdc42 interaction protein 4, hSTP

3 Images
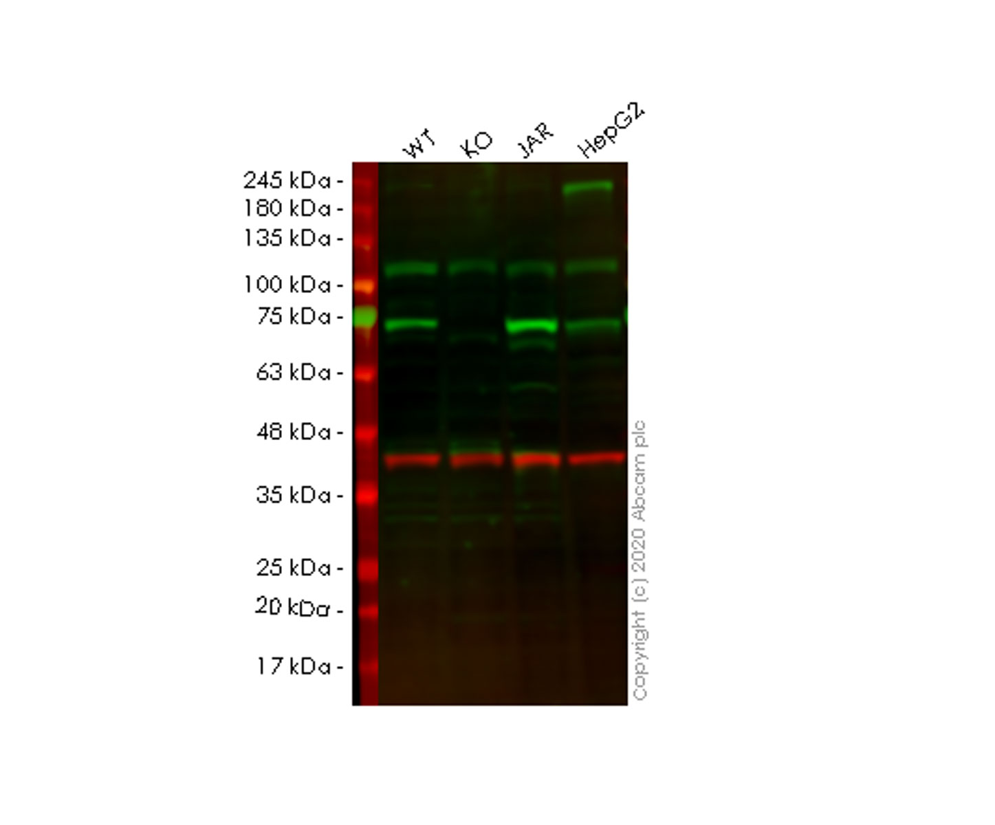
Western blot - Human TRIP10 (Cip4) knockout HEK-293T cell lysate (AB258251)
  • WB

Unknown

Western blot - Human TRIP10 (Cip4) knockout HEK-293T cell lysate (AB258251)

Lane 1 : Wild-type HEK293T cell lysate (20 ug)
Lane 2 : TRIP10 knockout HEK293T cell lysate (20 ug)
Lane 3 : JAR cell lysate (20 ug)
Lane 4 : HepG2 cell lysate (20 ug)

ab108277 was shown to specifically react with Cip4 in wild-type HEK293T cells. Loss of signal was observed when knockout cell line ab266428 (knockout cell lysate ab258251) was used. Wild-type and Cip4 knockout samples were subjected to SDS-PAGE. ab108277 and Anti-GAPDH antibody [6C5] - Loading Control (ab8245) were incubated overnight at 4oC at 1 in 1000 dilution and 1 in 20000 dilution respectively. Blots were developed with Goat anti-Rabbit IgG H&L (IRDye® 800CW) preadsorbed (ab216773) and Goat anti-Mouse IgG H&L (IRDye® 680RD) preadsorbed (ab216776) secondary antibodies at 1 in 20000 dilution for 1 hour at room temperature before imaging.

false

Western blot - Human TRIP10 (Cip4) knockout HEK-293T cell lysate (AB258251)
  • WB

Unknown

Western blot - Human TRIP10 (Cip4) knockout HEK-293T cell lysate (AB258251)

Lane 1 : Wild-type HEK293T cell lysate (20 ug)
Lane 2 : TRIP10 knockout HEK293T cell lysate (20 ug)
Lane 3 : JAR cell lysate (20 ug)
Lane 4 : HepG2 cell lysate (20 ug)

ab108313 was shown to specifically react with Cip4 in wild-type HEK293T cells. Loss of signal was observed when knockout cell line ab266428 (knockout cell lysate ab258251) was used. Wild-type and Cip4 knockout samples were subjected to SDS-PAGE. ab108313 and Anti-GAPDH antibody [6C5] - Loading Control (ab8245) were incubated overnight at 4oC at 1 in 1000 dilution and 1 in 20000 dilution respectively. Blots were developed with Goat anti-Rabbit IgG H&L (IRDye® 800CW) preadsorbed (ab216773) and Goat anti-Mouse IgG H&L (IRDye® 680RD) preadsorbed (ab216776) secondary antibodies at 1 in 20000 dilution for 1 hour at room temperature before imaging.

false

Sanger Sequencing - Human TRIP10 (Cip4) knockout HEK-293T cell lysate (AB258251)
  • Sanger seq

Unknown

Sanger Sequencing - Human TRIP10 (Cip4) knockout HEK-293T cell lysate (AB258251)

Homozygous : 14 bp deletion in exon2

Key facts

Cell type

HEK-293T

Species or organism

Human

Tissue

Kidney

Knockout validation

Sanger Sequencing,Western blot

Mutation description

Knockout achieved by using CRISPR/Cas9, 14 bp deletion in exon2.

Reactivity data

{ "title": "Reactivity Data", "filters": { "stats": ["", "Reactivity", "Dilution Info", "Notes"] }, "values": { "WB": { "reactivity":"TESTED_AND_REACTS", "dilution-info":"", "notes":"<p></p>" } } }

Product details

Knockout cell lysate achieved by CRISPR/Cas9.

REACH authorisation
Abcam has not and does not intend to apply for the REACH Authorisation of customers' uses of products that contain European Authorisation list (Annex XIV) substances.
It is the responsibility of our customers to check the necessity of application of REACH Authorisation, and any other relevant authorisations, for their intended uses.

Lysate preparation: Our lysates are made using RIPA buffer to which we add a protease inhibitor cocktail and phosphatase inhibitor cocktail (ratio: 300:100:10). This means that the protein of interest is denatured. If you require a native form of the protein please use the live cell version. Please refer to our lysis protocol for further details on how our lysates are prepared.

User storage instructions: Lyophilizate may be stored at 4°C. After reconstitution, store at -20°C for short-term storage or -80°C for long-term storage.

This product is subject to limited use licenses from The Broad Institute and ERS Genomics Limited, and is developed with patented technology. For full details of the limited use licenses and relevant patents please refer to our limited use license and patent pages.

What's included?

{ "values": { "1Kit": { "sellingSize": "1 Kit", "publicAssetCode":"ab258251-1Kit", "assetComponentDetails": [ { "size":"1 x 100 µg", "name":"Human TRIP10 knockout HEK293T cell lysate", "number":"AB258251-CMP01", "productcode":"" }, { "size":"1 x 100 µg", "name":"Human wild-type HEK293T cell lysate", "number":"AB258251-CMP02", "productcode":"" } ] } } }

Properties and storage information

Gene name
TRIP10
Gene editing type
Knockout
Gene editing method
CRISPR technology
Knockout validation
Sanger Sequencing, Western blot
Shipped at conditions
Ambient - Can Ship with Ice
Appropriate short-term storage conditions
-20°C
Appropriate long-term storage conditions
-20°C

Supplementary information

This supplementary information is collated from multiple sources and compiled automatically.

Cip4 also known as Cdc42-interacting protein 4 is a member of the F-BAR family and is involved in cellular processes related to actin dynamics. It has a molecular mass of approximately 70 kDa. Cip4 interacts with Cdc42 a small GTPase to facilitate membrane bending and invagination important for endocytosis and membrane trafficking. This protein is expressed in a variety of tissues including the brain heart and liver reflecting its broad functional significance across different cell types.
Biological function summary

Cip4 plays an essential role in linking membranes to the actin cytoskeleton. It is part of a complex with other proteins like Toca-1 and N-WASP which are important for actin polymerization. This function supports cellular morphogenesis and migration by organizing the actin filaments in response to external signals. Cip4 also contributes to the regulation of cell shape and motility aiding in processes such as development and immune responses by modulating membrane-associated actin assembly.

Pathways

Cip4 participates in pathways including the Cdc42 signaling pathway and endocytosis. In the Cdc42 signaling pathway Cip4 works with proteins like N-WASP and dynamin to facilitate membrane remodeling and cytoskeletal rearrangements impacting processes like cell division and signal transduction. Its involvement in endocytosis influences cargo uptake and intracellular transport linking it to dynamin-dependent endocytic pathways critical for nutrient uptake and receptor internalization.

Cip4 is associated with certain cancers and neurological disorders. Its dysregulation can contribute to tumor progression often involving interactions with proteins like Cdc42 and N-WASP that promote changes in cell adhesion and motility. Additionally abnormalities in Cip4 expression or function may lead to disrupted cell signaling in neurological disorders impacting processes essential for brain development and function. Understanding Cip4's role in these contexts provides insights into potential therapeutic targets for treatment.

Quality control

STR analysis

CSF1PO, D13S317, D7S820, D5S818, TH01, D16S539, TPOX

Cell culture

Biosafety level

EU: 2 US: 2

Adherent/suspension

Adherent

Gender

Female

Product protocols

Product promise

We are committed to supporting your work with high-quality reagents, and we're here for you every step of the way. In the unlikely event that one of our products does not perform as expected, you're protected by our Product Promise.
For full details, please see our Terms & Conditions

Please note: All products are 'FOR RESEARCH USE ONLY. NOT FOR USE IN DIAGNOSTIC OR THERAPEUTIC PROCEDURES'.

For licensing inquiries, please contact partnerships@abcam.com