JavaScript is disabled in your browser. Please enable JavaScript to view this website.
AB258285

Human WDR4 knockout HeLa cell lysate

Be the first to review this product! Submit a review

|

(0 Publication)

WDR4 KO cell lysate available now. KO validated by Western blot. Free of charge wild type control included. Knockout achieved by using CRISPR/Cas9, 1 bp insertion in exon5 and 94 bp insertion in exon5.

View Alternative Names

OTTHUMP00000109401, OTTHUMP00000109402, TRM82, WD repeat protein 4, WD repeat protein domain 4 protein isoform 2, WD repeat-containing protein 4, WDR4_HUMAN, tRNA (guanine-N(7)-)-methyltransferase subunit WDR4

3 Images
Western blot - Human WDR4 knockout HeLa cell lysate (AB258285)
  • WB

Unknown

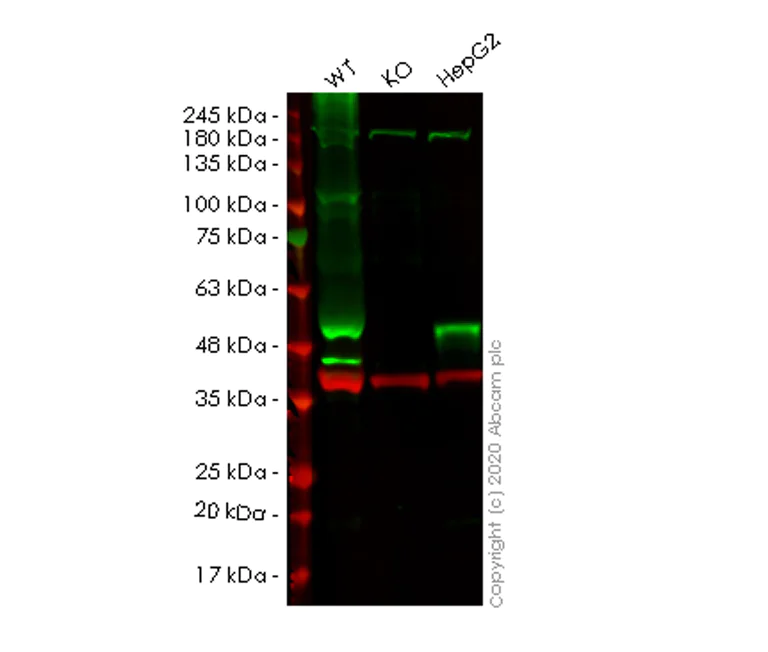
Western blot - Human WDR4 knockout HeLa cell lysate (AB258285)

Lane 1 : Wild-type HeLa cell lysate (20 ug)
Lane 2 : WDR4 knockout HeLa cell lysate (20 ug)
Lane 3 : HepG2 cell lysate (20 ug)

ab169526 was shown to specifically react with WDR4 in wild-type HeLa cells. Loss of signal was observed when knockout cell line ab265109 (knockout cell lysate ab258285) was used. Wild-type and WDR4 knockout samples were subjected to SDS-PAGE. ab169526 and Anti-GAPDH antibody [6C5] - Loading Control (ab8245) were incubated overnight at 4oC at 1 in 1000 dilution and 1 in 20000 dilution respectively. Blots were developed with Goat anti-Rabbit IgG H&L (IRDye® 800CW) preadsorbed (ab216773) and Goat anti-Mouse IgG H&L (IRDye® 680RD) preadsorbed (ab216776) secondary antibodies at 1 in 20000 dilution for 1 hour at room temperature before imaging.

All lanes:

Western blot - Anti-WDR4 antibody [EPR11052] (<a href='/en-us/products/primary-antibodies/wdr4-antibody-epr11052-ab169526'>ab169526</a>) at 1/1000 dilution

Lane 1:

Wild-type HeLa cell lysate at 20 µg

Lane 2:

WDR4 knockout HeLa cell lysate at 20 µg

Lane 2:

Western blot - Human WDR4 knockout HeLa cell line (<a href='/en-us/products/cell-lines/human-wdr4-knockout-hela-cell-line-ab265109'>ab265109</a>)

Lane 3:

HepG2 cell lysate at 20 µg

Secondary

All lanes:

Western blot - Goat anti-Rabbit IgG H&L (IRDye® 800CW) preadsorbed (<a href='/en-us/products/secondary-antibodies/goat-rabbit-igg-h-l-irdye-800cw-preadsorbed-ab216773'>ab216773</a>) at 1/10000 dilution

Predicted band size: 45 kDa

Observed band size: 49 kDa

false

Sanger Sequencing - Human WDR4 knockout HeLa cell lysate (AB258285)
  • Sanger seq

Unknown

Sanger Sequencing - Human WDR4 knockout HeLa cell lysate (AB258285)

Allele-1 : 1 bp insertion in exon5

Sanger Sequencing - Human WDR4 knockout HeLa cell lysate (AB258285)
  • Sanger seq

Unknown

Sanger Sequencing - Human WDR4 knockout HeLa cell lysate (AB258285)

Allele-2 : 94 bp insertion in exon5

Key facts

Cell type

HeLa

Species or organism

Human

Tissue

Cervix

Knockout validation

Sanger Sequencing,Western blot

Mutation description

Knockout achieved by using CRISPR/Cas9, 1 bp insertion in exon5 and 94 bp insertion in exon5.

Disease

Adenocarcinoma

Reactivity data

{ "title": "Reactivity Data", "filters": { "stats": ["", "Reactivity", "Dilution Info", "Notes"] }, "values": { "WB": { "reactivity":"TESTED_AND_REACTS", "dilution-info":"", "notes":"<p></p>" } } }

Product details

Knockout cell lysate achieved by CRISPR/Cas9.

REACH authorisation
Abcam has not and does not intend to apply for the REACH Authorisation of customers' uses of products that contain European Authorisation list (Annex XIV) substances.
It is the responsibility of our customers to check the necessity of application of REACH Authorisation, and any other relevant authorisations, for their intended uses.

Lysate preparation: Our lysates are made using RIPA buffer to which we add a protease inhibitor cocktail and phosphatase inhibitor cocktail (ratio: 300:100:10). This means that the protein of interest is denatured. If you require a native form of the protein please use the live cell version. Please refer to our lysis protocol for further details on how our lysates are prepared.

User storage instructions: Lyophilizate may be stored at 4°C. After reconstitution, store at -20°C for short-term storage or -80°C for long-term storage.

This product is subject to limited use licenses from The Broad Institute, ERS Genomics Limited and Sigma-Aldrich Co. LLC, and is developed with patented technology. For full details of the licenses and patents please refer to our limited use license and patent pages.

What's included?

{ "values": { "1Kit": { "sellingSize": "1 Kit", "publicAssetCode":"ab258285-1Kit", "assetComponentDetails": [ { "size":"1 x 100 µg", "name":"Human WDR4 knockout HeLa cell lysate", "number":"AB258285-CMP01", "productcode":"" }, { "size":"1 x 100 µg", "name":"Human wild-type HeLa cell lysate", "number":"AB258285-CMP02", "productcode":"" } ] } } }

Properties and storage information

Gene name
WDR4
Gene editing type
Knockout
Gene editing method
CRISPR technology
Knockout validation
Sanger Sequencing, Western blot
Shipped at conditions
Ambient - Can Ship with Ice
Appropriate short-term storage conditions
-20°C
Appropriate long-term storage conditions
-20°C

Supplementary information

This supplementary information is collated from multiple sources and compiled automatically.

The WDR4 protein also known as WD repeat domain 4 functions in the modification of ribonucleic acids. It specifically takes part in the methylation process of N(7)-methylguanine-tRNA (m7G46) where it serves as an important component of the tRNA methyltransferase complex. With an approximate mass of 51 kDa WDR4 shows expression in various tissues throughout the human body contributing to fundamental cellular processes.
Biological function summary

WDR4 plays a role in the maintenance of accurate protein synthesis. It contributes to the stabilization and correct folding of tRNA molecules which are essential for the translation of genetic information from mRNA to proteins. As part of the tRNA methyltransferase complex WDR4 interacts with the METTL1 enzyme highlighting its involvement in precise tRNA modification processes critical for cellular function and proliferation.

Pathways

The function of WDR4 integrates into the broader landscape of the RNA modification pathway. This pathway is tied to the regulation of gene expression and cellular homeostasis. WDR4's activity impacts the efficiency and fidelity of the translation pathway. In this context WDR4 works closely with METTL1 enhancing the stability and functional capacity of tRNA during protein synthesis which is pivotal for the correct transmission of genetic code within cells.

WDR4's malfunction or altered expression associates with several conditions including microcephalic primordial dwarfism where its disruption affects brain development and growth. The protein interacts with METTL1 implicated in the same disorder demonstrating the importance of their coordinated function. Additionally alterations in WDR4 expression might link to certain types of cancers where aberrant tRNA methylation affects tumor growth and progression indicating the potential for WDR4 as a therapeutic target.

Quality control

STR analysis

CSF1PO, D13S317, D7S820, D5S818, TH01, D16S539, TPOX

Cell culture

Biosafety level

EU: 2 US: 2

Adherent/suspension

Adherent

Gender

Female

Product protocols

Product promise

We are committed to supporting your work with high-quality reagents, and we're here for you every step of the way. In the unlikely event that one of our products does not perform as expected, you're protected by our Product Promise.
For full details, please see our Terms & Conditions

Please note: All products are 'FOR RESEARCH USE ONLY. NOT FOR USE IN DIAGNOSTIC OR THERAPEUTIC PROCEDURES'.

For licensing inquiries, please contact partnerships@abcam.com