JavaScript is disabled in your browser. Please enable JavaScript to view this website.
AB94163

SPHK1 overexpression 293T lysate (whole cell)

Be the first to review this product! Submit a review

|

(0 Publication)

SPHK1 overexpression 293T lysate (whole cell) suitable for WB. View our extensive range of validated lysates from normal and diseased human, mouse and rat tissue.

View Alternative Names

SK 1, SPHK, SPHK1_HUMAN, SPK, SPK 1, Sphingosine kinase 1

2 Images
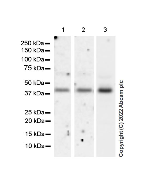
Western blot - SPHK1 overexpression 293T lysate (whole cell) (AB94163)
  • WB

Unknown

Western blot - SPHK1 overexpression 293T lysate (whole cell) (AB94163)

false

SDS-PAGE - SPHK1 overexpression 293T lysate (whole cell) (AB94163)
  • SDS-PAGE

Unknown

SDS-PAGE - SPHK1 overexpression 293T lysate (whole cell) (AB94163)

ab94163 at 15µg/lane on an SDS-PAGE gel.

Key facts

Species or organism

Human

Form

Liquid

form

Reactivity data

{ "title": "Reactivity Data", "filters": { "stats": ["", "Reactivity", "Dilution Info", "Notes"] }, "values": { "WB": { "reactivity":"TESTED_AND_REACTS", "dilution-info":"", "notes":"<p></p>" } } }

Product details

ab94163 is a 293T cell transfected lysate in which Human SPHK1 has been transiently over-expressed using a pCMV-SPHK1 plasmid. The lysate is provided in 1X Sample Buffer.

Properties and storage information

Shipped at conditions
Dry Ice
Appropriate short-term storage conditions
-20°C
Appropriate long-term storage conditions
-20°C
Aliquoting information
Upon delivery aliquot
Storage information
Avoid freeze / thaw cycle

Supplementary information

This supplementary information is collated from multiple sources and compiled automatically.

SPHK1 also known as sphingosine kinase 1 is an enzyme that catalyzes the phosphorylation of sphingosine to produce sphingosine-1-phosphate (S1P). This target has a molecular mass of approximately 47 kDa. SPHK1 is expressed in various tissues including the brain spleen heart and lungs. Its activity plays a role in cell signaling processes that are essential for cellular responses to external stimuli.
Biological function summary

Within the cell SPHK1 participates in regulating cell survival proliferation and inflammation. It is part of the sphingolipid metabolic pathway which is not a traditional protein complex but more of a metabolic sequence. SPHK1 converts sphingosine a lipid signaling molecule into S1P which acts as a ligand for G-protein-coupled receptors. Through this conversion SPHK1 influences diverse cellular functions.

Pathways

This protein actively participates in the sphingolipid signaling pathway and the apoptosis pathway. In sphingolipid signaling S1P acts alongside ceramide and other sphingolipids to modulate cell response. SPHK1's interplay with the ceramide-sphingosine-S1P rheostat can determine cell fate by tipping the balance towards survival or apoptosis. In the apoptosis pathway SPHK1 serves as a regulator of cell death with its function connected to proteins such as Bcl-2 and Bax which are primary apoptosis regulators.

Abnormal expression of SPHK1 has links to cancer and cardiovascular diseases. In cancer overexpression of SPHK1 contributes to enhanced survival and proliferation of tumor cells with a noted interaction with the protein EGFR which is often upregulated in tumors. In cardiovascular diseases dysregulated SPHK1-S1P signaling can impact vascular integrity and inflammation influencing the progression of atherosclerosis with involvement of other inflammatory proteins like NF-kB.

Cell culture

Product protocols

Product promise

We are committed to supporting your work with high-quality reagents, and we're here for you every step of the way. In the unlikely event that one of our products does not perform as expected, you're protected by our Product Promise.
For full details, please see our Terms & Conditions

Please note: All products are 'FOR RESEARCH USE ONLY. NOT FOR USE IN DIAGNOSTIC OR THERAPEUTIC PROCEDURES'.

For licensing inquiries, please contact partnerships@abcam.com