JavaScript is disabled in your browser. Please enable JavaScript to view this website.
AB64212

Avidin/Biotin Blocking Kit

5

(1 Review)

|

(46 Publications)

Avidin/biotin blocking kit (ab64212) blocks and minimizes non-specific staining caused by endogenous avidin, biotin and biotin-binding proteins in tissues when used with biotin-based IHC detection.

- Supplied as ready-to-use reagents- no dilution required
- Proven performance: cited in over 45 publications
41 Images
Immunohistochemistry (Formalin/PFA-fixed paraffin-embedded sections) - Avidin/Biotin Blocking Kit (AB64212)
  • IHC-P

Lab

Immunohistochemistry (Formalin/PFA-fixed paraffin-embedded sections) - Avidin/Biotin Blocking Kit (AB64212)

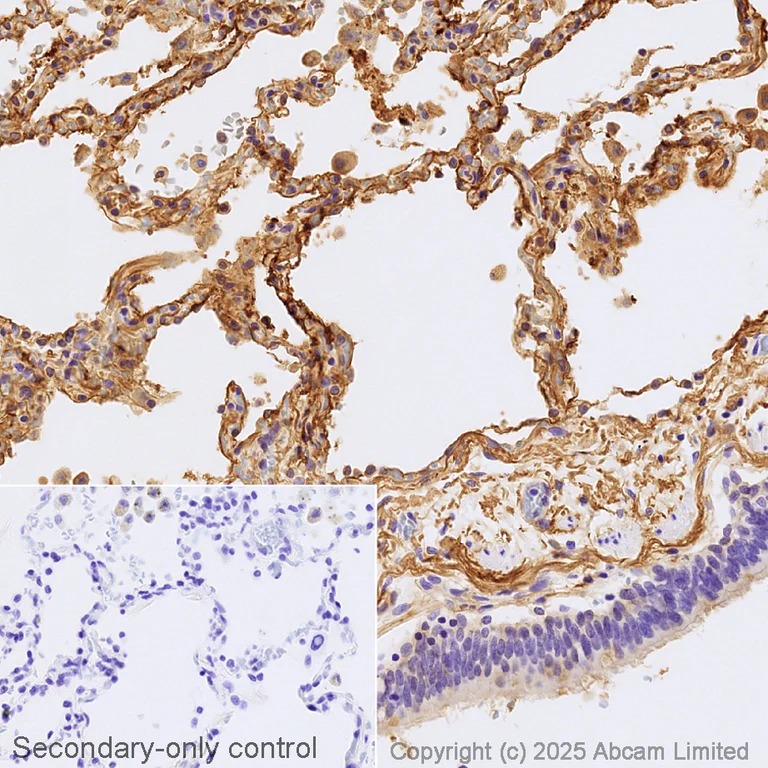
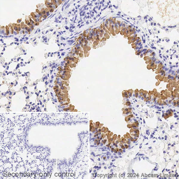
IHC image of CD55 staining in a section of formalin-fixed paraffin-embedded human normal lung*.

Performed on a Leica BONDTM system. The section was pre-treated using heat mediated antigen retrieval with EDTA (pH 9.0, epitope retrieval solution 2) for 20mins, before blocking of endogenous biotin using ab64212. The section was then incubated with ab323679 at 0.5µg/ml, for 15 mins at room temperature and detected using an HRP conjugated ABC system. DAB was used as the chromogen. The section was then counterstained with haematoxylin and mounted with DPX. The inset secondary-only control image is taken from an identical assay without primary antibody.

For other IHC staining systems (automated and non-automated) customers should optimize variable parameters such as antigen retrieval conditions, primary antibody concentration and antibody incubation times.

*Tissue obtained from the Human Research Tissue Bank, supported by the NIHR Cambridge Biomedical Research Centre.

Immunohistochemistry (Formalin/PFA-fixed paraffin-embedded sections) - Avidin/Biotin Blocking Kit (AB64212)
  • IHC-P

Lab

Immunohistochemistry (Formalin/PFA-fixed paraffin-embedded sections) - Avidin/Biotin Blocking Kit (AB64212)

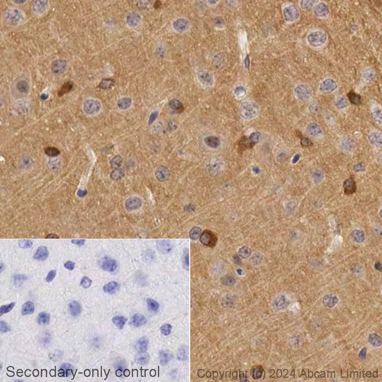
Negative staining of TIMP1 in a section of formalin-fixed paraffin-embedded human normal brain*.

Performed on a Leica BONDTM system. The section was pre-treated using heat mediated antigen retrieval with EDTA buffer (pH 9.0, epitope retrieval solution 2) for 20mins, before blocking of endogenous biotin using ab64212. The section was then incubated with ab317768 at 5 ug/ml, for 15 mins at room temperature and detected using an HRP conjugated ABC system. DAB was used as the chromogen. The section was then counterstained with haematoxylin and mounted with DPX. The inset secondary-only control image is taken from an identical assay without primary antibody.

For other IHC staining systems (automated and non-automated) customers should optimize variable parameters such as antigen retrieval conditions, primary antibody concentration and antibody incubation times.

*Tissue obtained from the Human Research Tissue Bank, supported by the NIHR Cambridge Biomedical Research Centre.

Immunohistochemistry (Formalin/PFA-fixed paraffin-embedded sections) - Avidin/Biotin Blocking Kit (AB64212)
  • IHC-P

Lab

Immunohistochemistry (Formalin/PFA-fixed paraffin-embedded sections) - Avidin/Biotin Blocking Kit (AB64212)

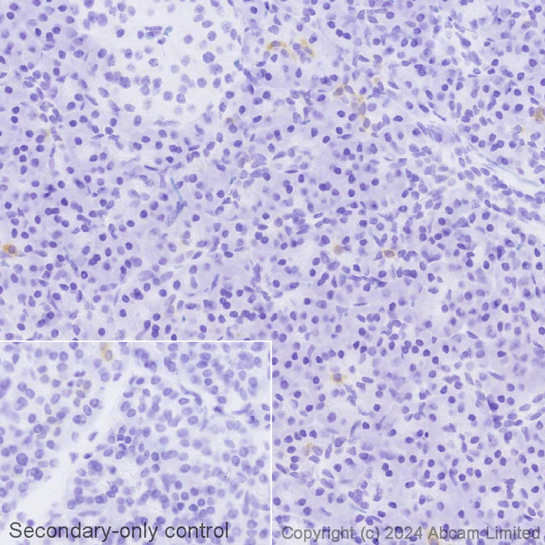
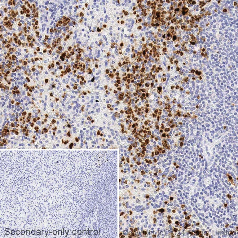
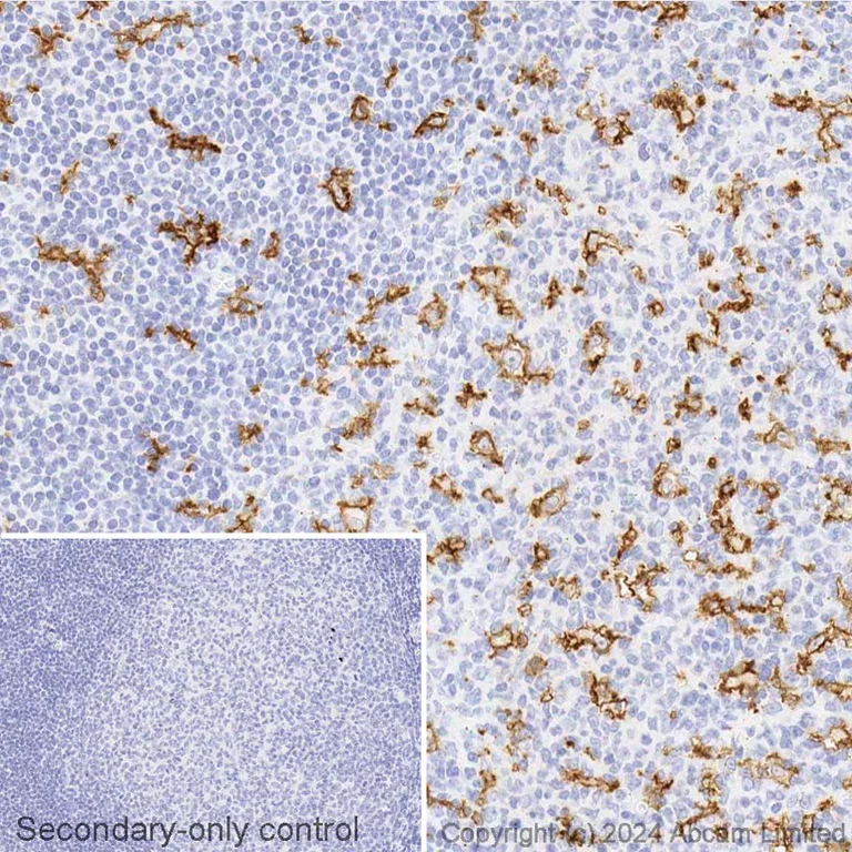
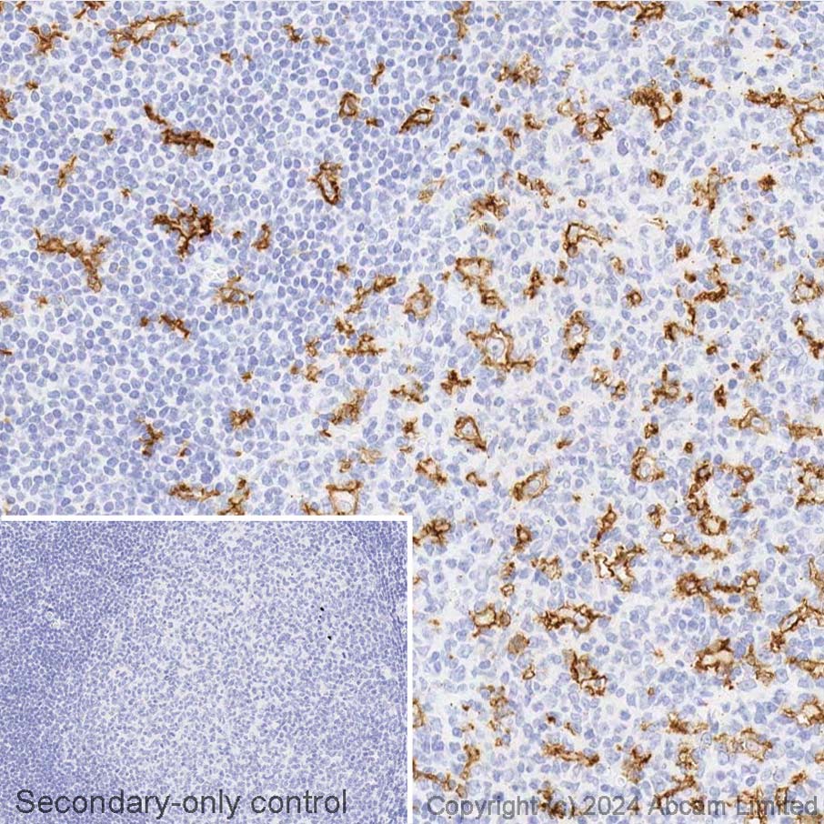
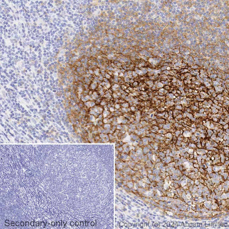
IHC image of CD11c staining in a section of formalin-fixed paraffin-embedded human normal tonsil*.

Performed on a Leica BONDTM system. The section was pre-treated using heat mediated antigen retrieval with EDTA buffer (pH 9.0, epitope retrieval solution 2) for 20mins, before blocking of endogenous biotin using ab64212. The section was then incubated with ab322302 at 5µg/ml, for 15 mins at room temperature and detected using an HRP conjugated ABC system. DAB was used as the chromogen. The section was then counterstained with haematoxylin and mounted with DPX. The inset secondary-only control image is taken from an identical assay without primary antibody.

For other IHC staining systems (automated and non-automated) customers should optimize variable parameters such as antigen retrieval conditions, primary antibody concentration and antibody incubation times.

*Tissue obtained from the Human Research Tissue Bank, supported by the NIHR Cambridge Biomedical Research Centre.

Immunohistochemistry (Formalin/PFA-fixed paraffin-embedded sections) - Avidin/Biotin Blocking Kit (AB64212)
  • IHC-P

Lab

Immunohistochemistry (Formalin/PFA-fixed paraffin-embedded sections) - Avidin/Biotin Blocking Kit (AB64212)

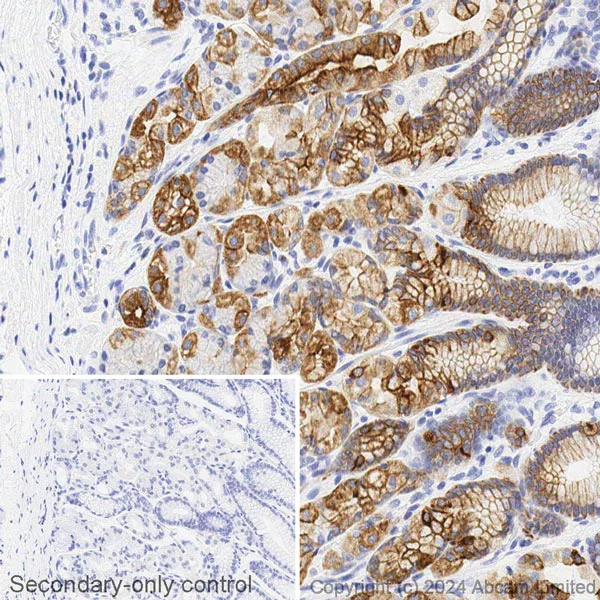
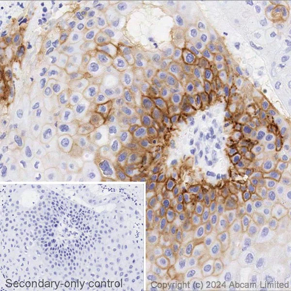
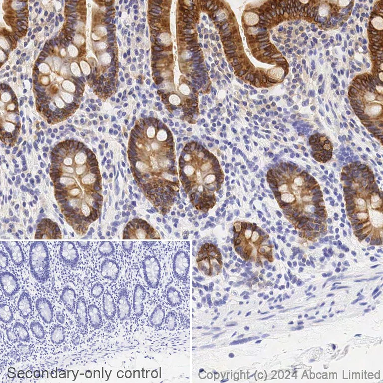
IHC image of Cytokeratin 8 staining in a section of formalin-fixed paraffin-embedded human normal stomach*.

Performed on a Leica BONDTM system. The section was pre-treated using heat mediated antigen retrieval with sodium citrate buffer (pH 6.0, epitope retrieval solution 1) for 20mins, before blocking of endogenous biotin using ab64212. The section was then incubated with ab322309 at 5µg/ml, for 15 mins at room temperature and detected using an HRP conjugated ABC system. DAB was used as the chromogen. The section was then counterstained with haematoxylin and mounted with DPX. The inset secondary-only control image is taken from an identical assay without primary antibody.

For other IHC staining systems (automated and non-automated) customers should optimize variable parameters such as antigen retrieval conditions, primary antibody concentration and antibody incubation times.

*Tissue obtained from the Human Research Tissue Bank, supported by the NIHR Cambridge Biomedical Research Centre.

Immunohistochemistry (Formalin/PFA-fixed paraffin-embedded sections) - Avidin/Biotin Blocking Kit (AB64212)
  • IHC-P

Lab

Immunohistochemistry (Formalin/PFA-fixed paraffin-embedded sections) - Avidin/Biotin Blocking Kit (AB64212)

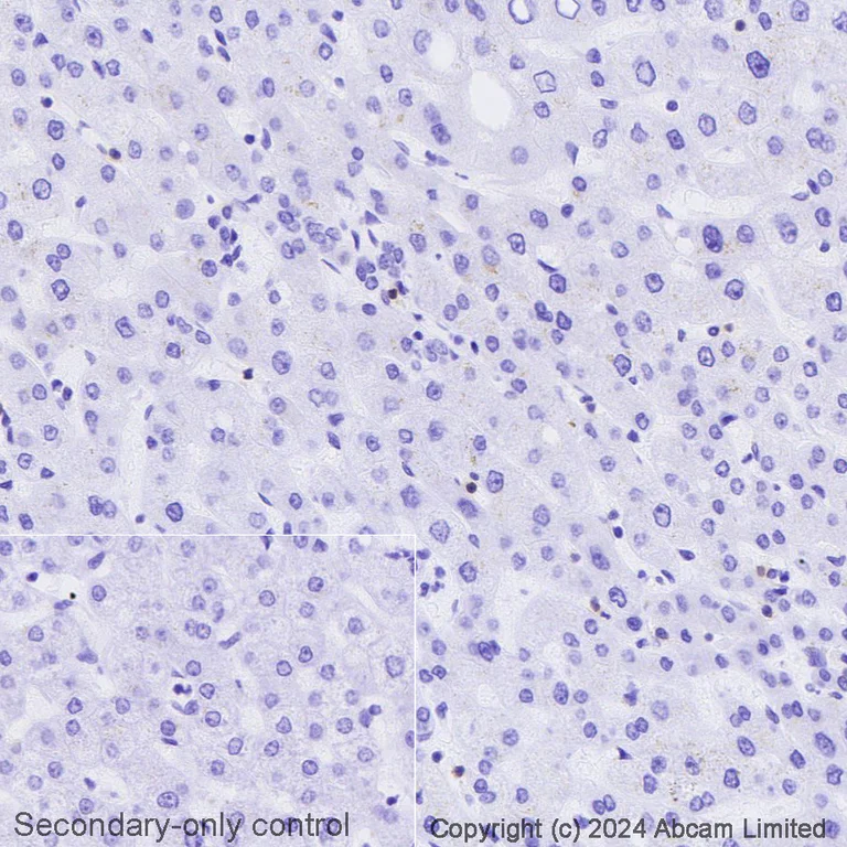
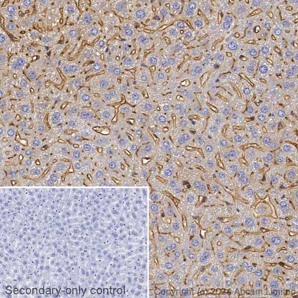
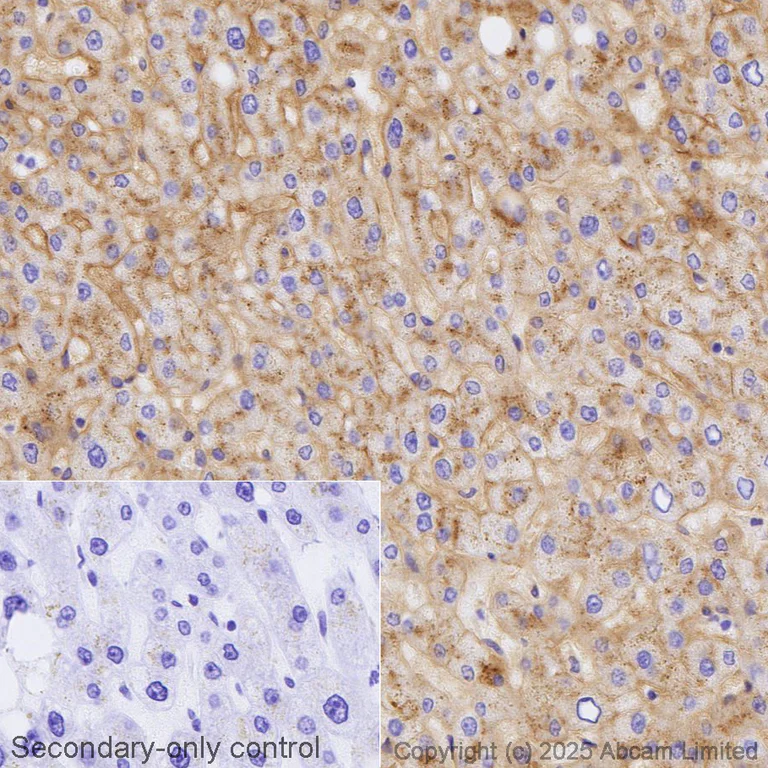
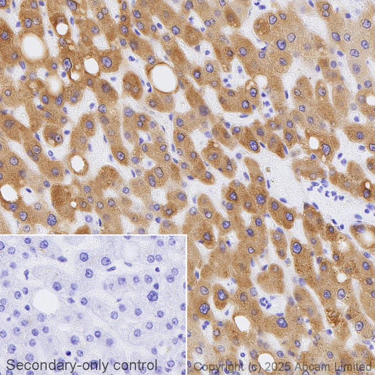
IHC image of APOE staining in a section of formalin-fixed paraffin-embedded human normal liver*.

Performed on a Leica BONDTM system. The section was pre-treated using heat mediated antigen retrieval with EDTA (pH 9.0, epitope retrieval solution 2) for 20mins, before blocking of endogenous biotin using ab64212. The section was then incubated with ab323532 at 10ug/ml, for 15 mins at room temperature and detected using an HRP conjugated ABC system. DAB was used as the chromogen. The section was then counterstained with haematoxylin and mounted with DPX. The inset secondary-only control image is taken from an identical assay without primary antibody.

For other IHC staining systems (automated and non-automated) customers should optimize variable parameters such as antigen retrieval conditions, primary antibody concentration and antibody incubation times.

*Tissue obtained from the Human Research Tissue Bank, supported by the NIHR Cambridge Biomedical Research Centre.

Immunohistochemistry (Formalin/PFA-fixed paraffin-embedded sections) - Avidin/Biotin Blocking Kit (AB64212)
  • IHC-P

Lab

Immunohistochemistry (Formalin/PFA-fixed paraffin-embedded sections) - Avidin/Biotin Blocking Kit (AB64212)

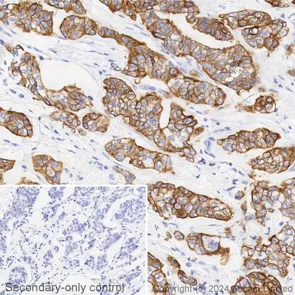
IHC image of Cytokeratin 8 staining in a section of formalin-fixed paraffin-embedded human breast ductal carcinoma.

Performed on a Leica BONDTM system. The section was pre-treated using heat mediated antigen retrieval with sodium citrate buffer (pH 6.0, epitope retrieval solution 1) for 20mins, before blocking of endogenous biotin using ab64212. The section was then incubated with ab322309 at 1µg/ml, for 15 mins at room temperature and detected using an HRP conjugated ABC system. DAB was used as the chromogen. The section was then counterstained with haematoxylin and mounted with DPX. The inset secondary-only control image is taken from an identical assay without primary antibody.

For other IHC staining systems (automated and non-automated) customers should optimize variable parameters such as antigen retrieval conditions, primary antibody concentration and antibody incubation times.

*Tissue obtained from the Human Research Tissue Bank, supported by the NIHR Cambridge Biomedical Research Centre.

Immunohistochemistry (Formalin/PFA-fixed paraffin-embedded sections) - Avidin/Biotin Blocking Kit (AB64212)
  • IHC-P

Lab

Immunohistochemistry (Formalin/PFA-fixed paraffin-embedded sections) - Avidin/Biotin Blocking Kit (AB64212)

IHC image of CYP3A4 staining in a section of formalin-fixed paraffin-embedded human normal liver*.

Performed on a Leica BONDTM system. The section was pre-treated using heat mediated antigen retrieval with EDTA (pH 9.0, epitope retrieval solution 2) for 20mins, before blocking of endogenous biotin using ab64212. The section was then incubated with ab323530 at 0.5ug/ml, for 15 mins at room temperature and detected using an HRP conjugated ABC system. DAB was used as the chromogen. The section was then counterstained with haematoxylin and mounted with DPX. The inset secondary-only control image is taken from an identical assay without primary antibody.

For other IHC staining systems (automated and non-automated) customers should optimize variable parameters such as antigen retrieval conditions, primary antibody concentration and antibody incubation times.

*Tissue obtained from the Human Research Tissue Bank, supported by the NIHR Cambridge Biomedical Research Centre.

Immunohistochemistry (Formalin/PFA-fixed paraffin-embedded sections) - Avidin/Biotin Blocking Kit (AB64212)
  • IHC-P

Lab

Immunohistochemistry (Formalin/PFA-fixed paraffin-embedded sections) - Avidin/Biotin Blocking Kit (AB64212)

IHC image of KRT14 staining in a section of formalin-fixed paraffin-embedded human normal skin*.

Performed on a Leica BONDTM system. The section was pre-treated using heat mediated antigen retrieval with sodium citrate buffer (pH 6.0, epitope retrieval solution 1) for 20mins, before blocking of endogenous biotin using ab64212. The section was then incubated with ab323529 at 0.5ug/ml, for 15 mins at room temperature and detected using an HRP conjugated ABC system. DAB was used as the chromogen. The section was then counterstained with haematoxylin and mounted with DPX. The inset secondary-only control image is taken from an identical assay without primary antibody.

For other IHC staining systems (automated and non-automated) customers should optimize variable parameters such as antigen retrieval conditions, primary antibody concentration and antibody incubation times.

*Tissue obtained from the Human Research Tissue Bank, supported by the NIHR Cambridge Biomedical Research Centre.

Immunohistochemistry (Formalin/PFA-fixed paraffin-embedded sections) - Avidin/Biotin Blocking Kit (AB64212)
  • IHC-P

Lab

Immunohistochemistry (Formalin/PFA-fixed paraffin-embedded sections) - Avidin/Biotin Blocking Kit (AB64212)

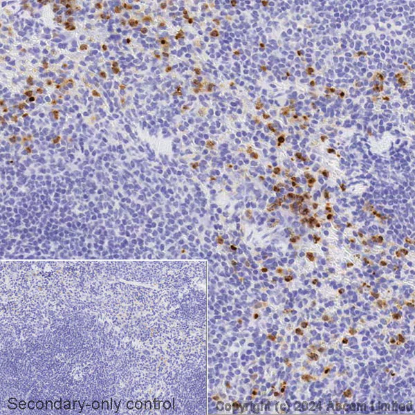
IHC image of TRBC1 staining in a section of formalin-fixed paraffin-embedded human normal tonsil*.

Performed on a Leica BONDTM system. The section was pre-treated using heat mediated antigen retrieval with EDTA (pH 9.0, epitope retrieval solution 2) for 20mins, before blocking of endogenous biotin using ab64212. The section was then incubated with ab323531 at 5ug/ml, for 15 mins at room temperature and detected using an HRP conjugated ABC system. DAB was used as the chromogen. The section was then counterstained with haematoxylin and mounted with DPX. The inset secondary-only control image is taken from an identical assay without primary antibody.

For other IHC staining systems (automated and non-automated) customers should optimize variable parameters such as antigen retrieval conditions, primary antibody concentration and antibody incubation times.

*Tissue obtained from the Human Research Tissue Bank, supported by the NIHR Cambridge Biomedical Research Centre.

Immunohistochemistry (Formalin/PFA-fixed paraffin-embedded sections) - Avidin/Biotin Blocking Kit (AB64212)
  • IHC-P

Lab

Immunohistochemistry (Formalin/PFA-fixed paraffin-embedded sections) - Avidin/Biotin Blocking Kit (AB64212)

IHC image of CD5 staining in a section of formalin-fixed paraffin-embedded human tonsil*.

Performed on a Leica BONDTM system. The section was pre-treated using heat mediated antigen retrieval with EDTA buffer (pH 9.0, epitope retrieval solution 2) for 20mins, before blocking of endogenous biotin using ab64212. The section was then incubated with ab318315 at 5µg/ml, for 15 mins at room temperature and detected using an HRP conjugated ABC system. DAB was used as the chromogen. The section was then counterstained with haematoxylin and mounted with DPX. The inset secondary-only control image is taken from an identical assay without primary antibody.

For other IHC staining systems (automated and non-automated) customers should optimize variable parameters such as antigen retrieval conditions, primary antibody concentration and antibody incubation times.

*Tissue obtained from the Human Research Tissue Bank, supported by the NIHR Cambridge Biomedical Research Centre.

Immunohistochemistry (Formalin/PFA-fixed paraffin-embedded sections) - Avidin/Biotin Blocking Kit (AB64212)
  • IHC-P

Lab

Immunohistochemistry (Formalin/PFA-fixed paraffin-embedded sections) - Avidin/Biotin Blocking Kit (AB64212)

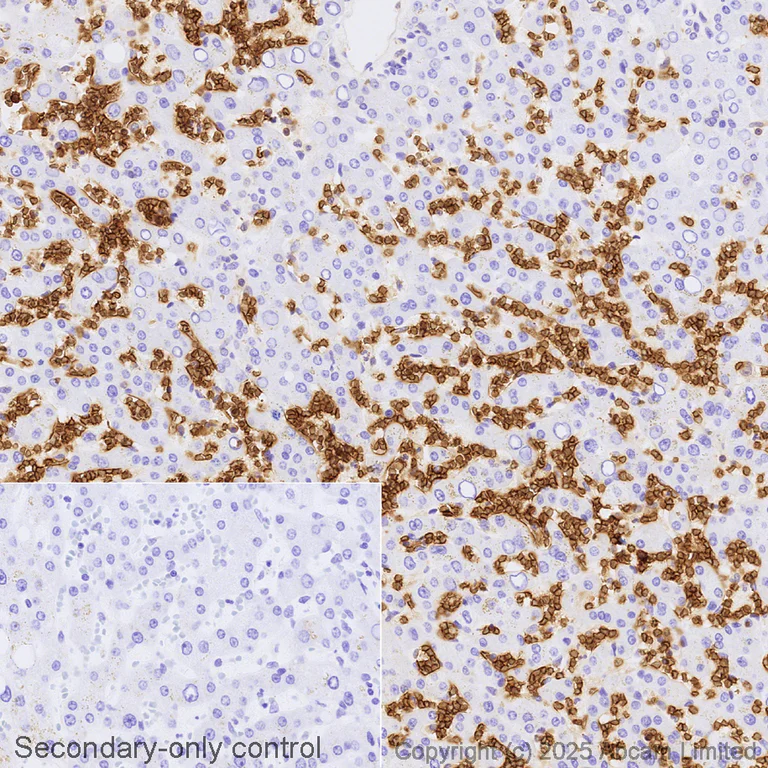
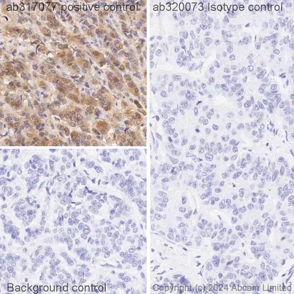
IHC image of formalin-fixed paraffin-embedded human breast cancer sections* tested on a Leica BONDTM.

Sections were pre-treated using heat mediated antigen retrieval with EDTA buffer (pH 9.0, epitope retrieval solution 2) for 20mins, before blocking of endogenous biotin using ab64212. The sections were then incubated with antibody (ab317077, Rabbit monoclonal to ISG15 at 5ug/ml) or isotype control (ab320073, Rabbit IgG, at 5ug/ml) for 15 mins at room temperature. DAB was used as the chromogen. The sections were then counterstained with haematoxylin and mounted with DPX. The background control image is taken from an identical assay without primary antibody or isotype control.

For other IHC staining systems (automated and non-automated) customers should optimize variable parameters such as antigen retrieval conditions, primary antibody concentration and antibody incubation times.

*Tissue obtained from the Human Research Tissue Bank, supported by the NIHR Cambridge Biomedical Research Centre.

Immunohistochemistry (Formalin/PFA-fixed paraffin-embedded sections) - Avidin/Biotin Blocking Kit (AB64212)
  • IHC-P

Lab

Immunohistochemistry (Formalin/PFA-fixed paraffin-embedded sections) - Avidin/Biotin Blocking Kit (AB64212)

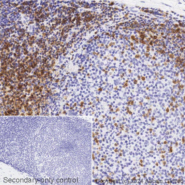
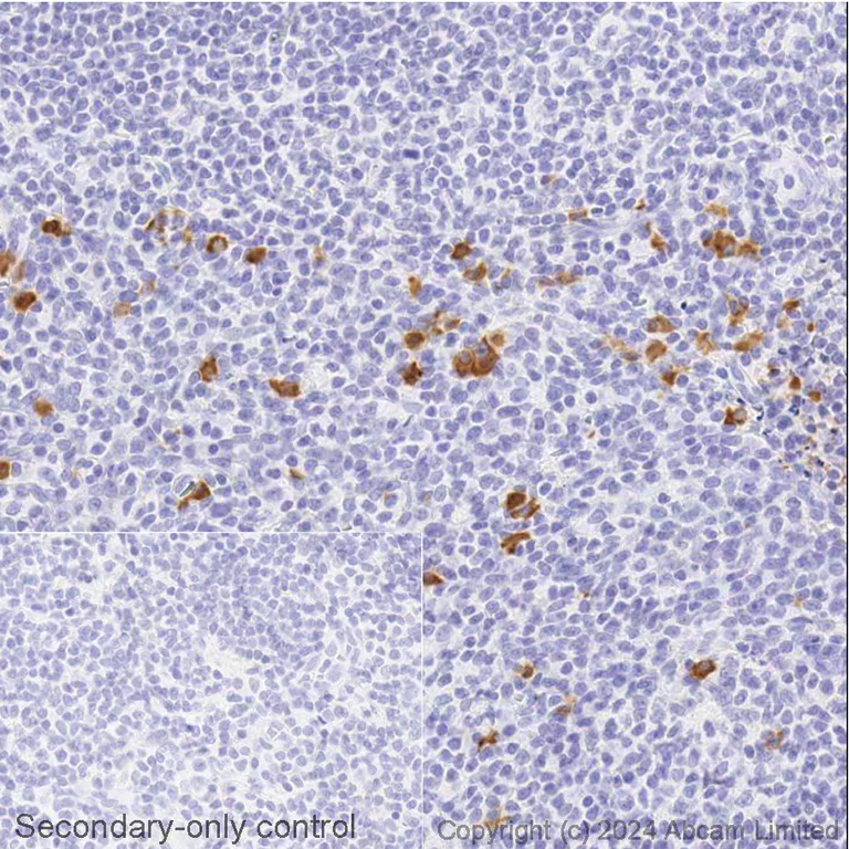
IHC image of CD68 staining in a section of formalin-fixed paraffin-embedded normal human tonsil*.

Performed on a Leica BOND™ system. The section was pre-treated using heat mediated antigen retrieval with EDTA buffer (pH 9.0, epitope retrieval solution 2) for 20mins, before blocking of endogenous biotin using ab64212. The section was then incubated with ab317601 at 0.5µg/ml, for 15 mins at room temperature and detected using an HRP conjugated ABC system. DAB was used as the chromogen. The section was then counterstained with haematoxylin and mounted with DPX. The inset secondary-only control image is taken from an identical assay without primary antibody.

For other IHC staining systems (automated and non-automated) customers should optimize variable parameters such as antigen retrieval conditions, primary antibody concentration and antibody incubation times.

*Tissue obtained from the Human Research Tissue Bank, supported by the NIHR Cambridge Biomedical Research Centre.

Immunohistochemistry (Formalin/PFA-fixed paraffin-embedded sections) - Avidin/Biotin Blocking Kit (AB64212)
  • IHC-P

Lab

Immunohistochemistry (Formalin/PFA-fixed paraffin-embedded sections) - Avidin/Biotin Blocking Kit (AB64212)

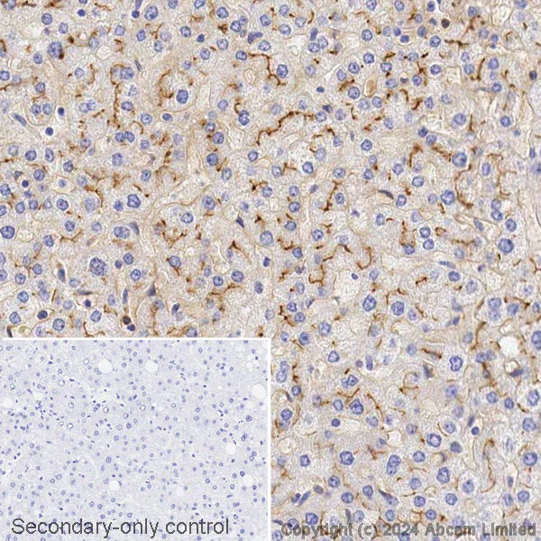
IHC image of DPP4 staining in a section of formalin-fixed paraffin-embedded human normal liver*.

Performed on a Leica BONDTM system. The section was pre-treated using heat mediated antigen retrieval with EDTA buffer (pH 9.0, epitope retrieval solution 2) for 20mins, before blocking of endogenous biotin using ab64212. The section was then incubated with ab318313 at 5µg/ml, for 15 mins at room temperature and detected using an HRP conjugated ABC system. DAB was used as the chromogen. The section was then counterstained with haematoxylin and mounted with DPX. The inset secondary-only control image is taken from an identical assay without primary antibody.

For other IHC staining systems (automated and non-automated) customers should optimize variable parameters such as antigen retrieval conditions, primary antibody concentration and antibody incubation times.

*Tissue obtained from the Human Research Tissue Bank, supported by the NIHR Cambridge Biomedical Research Centre.

Immunocytochemistry/ Immunofluorescence - Avidin/Biotin Blocking Kit (AB64212)
  • ICC/IF

Lab

Immunocytochemistry/ Immunofluorescence - Avidin/Biotin Blocking Kit (AB64212)

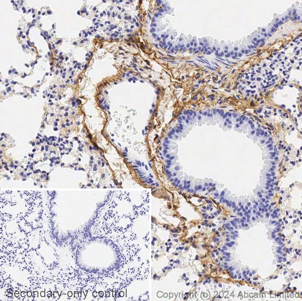
IHC image of SLC7A5/LAT1 staining in a section of formalin-fixed paraffin-embedded human lung squamous carcinoma*.

Performed on a Leica BONDTM system. The section was pre-treated using heat mediated antigen retrieval with EDTA buffer (pH 9.0, epitope retrieval solution 2) for 20mins, before blocking of endogenous biotin using ab64212. The section was then incubated with ab317767 at 5ug/ml, for 15 mins at room temperature and detected using an HRP conjugated ABC system. DAB was used as the chromogen. The section was then counterstained with haematoxylin and mounted with DPX. The inset secondary-only control image is taken from an identical assay without primary antibody.

For other IHC staining systems (automated and non-automated) customers should optimize variable parameters such as antigen retrieval conditions, primary antibody concentration and antibody incubation times.

*Tissue obtained from the Human Research Tissue Bank, supported by the NIHR Cambridge Biomedical Research Centre.

Immunohistochemistry (Formalin/PFA-fixed paraffin-embedded sections) - Avidin/Biotin Blocking Kit (AB64212)
  • IHC-P

Lab

Immunohistochemistry (Formalin/PFA-fixed paraffin-embedded sections) - Avidin/Biotin Blocking Kit (AB64212)

IHC image of TIMP1 staining in a section of formalin-fixed paraffin-embedded human prostate carcinoma*.

Performed on a Leica BONDTM system. The section was pre-treated using heat mediated antigen retrieval with EDTA buffer (pH 9.0, epitope retrieval solution 2) for 20mins, before blocking of endogenous biotin using ab64212. The section was then incubated with ab317768 at 5 ug/ml, for 15 mins at room temperature and detected using an HRP conjugated ABC system. DAB was used as the chromogen. The section was then counterstained with haematoxylin and mounted with DPX. The inset secondary-only control image is taken from an identical assay without primary antibody.

For other IHC staining systems (automated and non-automated) customers should optimize variable parameters such as antigen retrieval conditions, primary antibody concentration and antibody incubation times.

*Tissue obtained from the Human Research Tissue Bank, supported by the NIHR Cambridge Biomedical Research Centre.

Immunohistochemistry (Formalin/PFA-fixed paraffin-embedded sections) - Avidin/Biotin Blocking Kit (AB64212)
  • IHC-P

Lab

Immunohistochemistry (Formalin/PFA-fixed paraffin-embedded sections) - Avidin/Biotin Blocking Kit (AB64212)

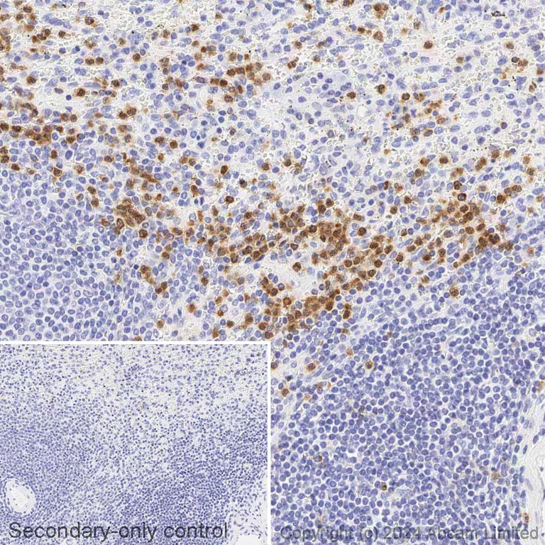
IHC image of Bcl6 staining in a section of formalin-fixed paraffin-embedded normal human tonsil*.

Performed on a Leica BONDTM system. The section was pre-treated using heat mediated antigen retrieval with EDTA buffer (pH 9.0, epitope retrieval solution 2) for 20mins, before blocking of endogenous biotin using ab64212. The section was then incubated with ab317765 at 10 ug/ml, for 15 mins at room temperature and detected using an HRP conjugated ABC system. DAB was used as the chromogen. The section was then counterstained with haematoxylin and mounted with DPX. The inset secondary-only control image is taken from an identical assay without primary antibody.

For other IHC staining systems (automated and non-automated) customers should optimize variable parameters such as antigen retrieval conditions, primary antibody concentration and antibody incubation times.

*Tissue obtained from the Human Research Tissue Bank, supported by the NIHR Cambridge Biomedical Research Centre.

Immunohistochemistry (Formalin/PFA-fixed paraffin-embedded sections) - Avidin/Biotin Blocking Kit (AB64212)
  • IHC-P

Lab

Immunohistochemistry (Formalin/PFA-fixed paraffin-embedded sections) - Avidin/Biotin Blocking Kit (AB64212)

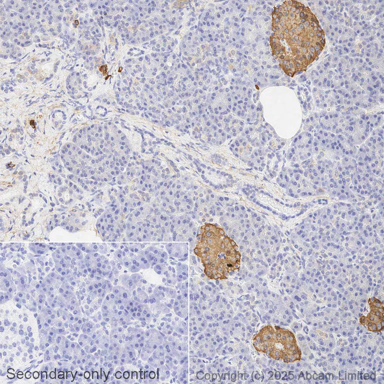
Negative staining of Langerin in a section of formalin-fixed paraffin-embedded human normal pancreas.

Performed on a Leica BONDTM system. The section was pre-treated using heat mediated antigen retrieval with EDTA buffer (pH 9.0, epitope retrieval solution 2) for 20mins, before blocking of endogenous biotin using ab64212. The section was then incubated with ab322985 at 5µg/ml, for 15 mins at room temperature and detected using an HRP conjugated ABC system. DAB was used as the chromogen. The section was then counterstained with haematoxylin and mounted with DPX. The inset secondary-only control image is taken from an identical assay without primary antibody.

For other IHC staining systems (automated and non-automated) customers should optimize variable parameters such as antigen retrieval conditions, primary antibody concentration and antibody incubation times.

*Tissue obtained from the Human Research Tissue Bank, supported by the NIHR Cambridge Biomedical Research Centre.

Immunohistochemistry (Formalin/PFA-fixed paraffin-embedded sections) - Avidin/Biotin Blocking Kit (AB64212)
  • IHC-P

Lab

Immunohistochemistry (Formalin/PFA-fixed paraffin-embedded sections) - Avidin/Biotin Blocking Kit (AB64212)

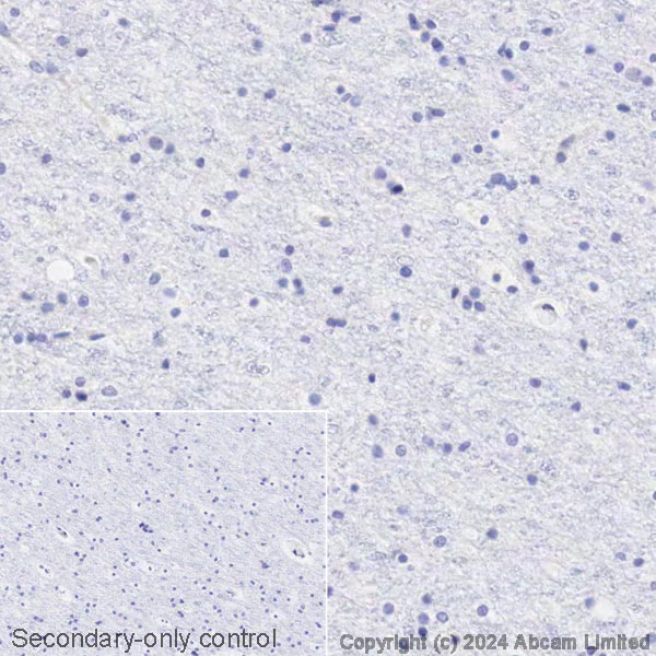
Negative staining of Tau in a section of formalin-fixed paraffin-embedded human normal cerebral cortex* treated with alkaline phosphatase.

Performed on a Leica BONDTM system. The section was pre-treated using heat mediated antigen retrieval with EDTA buffer (pH 9.0, epitope retrieval solution 2) for 20mins, before blocking of endogenous biotin using ab64212. The section was then incubated with ab322984 at 1µg/ml, for 15 mins at room temperature and detected using an HRP conjugated ABC system. DAB was used as the chromogen. The section was then counterstained with haematoxylin and mounted with DPX. The inset secondary-only control image is taken from an identical assay without primary antibody.

For other IHC staining systems (automated and non-automated) customers should optimize variable parameters such as antigen retrieval conditions, primary antibody concentration and antibody incubation times.

*Tissue obtained from the Human Research Tissue Bank, supported by the NIHR Cambridge Biomedical Research Centre.

Immunohistochemistry (Formalin/PFA-fixed paraffin-embedded sections) - Avidin/Biotin Blocking Kit (AB64212)
  • IHC-P

Lab

Immunohistochemistry (Formalin/PFA-fixed paraffin-embedded sections) - Avidin/Biotin Blocking Kit (AB64212)

Negative staining of CD5 in a section of formalin-fixed paraffin-embedded human normal brain*.

Performed on a Leica BONDTM system. The section was pre-treated using heat mediated antigen retrieval with EDTA buffer (pH 9.0, epitope retrieval solution 2) for 20mins, before blocking of endogenous biotin using ab64212. The section was then incubated with ab318315 at 5µg/ml, for 15 mins at room temperature and detected using an HRP conjugated ABC system. DAB was used as the chromogen. The section was then counterstained with haematoxylin and mounted with DPX. The inset secondary-only control image is taken from an identical assay without primary antibody.

For other IHC staining systems (automated and non-automated) customers should optimize variable parameters such as antigen retrieval conditions, primary antibody concentration and antibody incubation times.

*Tissue obtained from the Human Research Tissue Bank, supported by the NIHR Cambridge Biomedical Research Centre.

Immunohistochemistry (Formalin/PFA-fixed paraffin-embedded sections) - Avidin/Biotin Blocking Kit (AB64212)
  • IHC-P

Lab

Immunohistochemistry (Formalin/PFA-fixed paraffin-embedded sections) - Avidin/Biotin Blocking Kit (AB64212)

Negative staining of TRBC1 in a section of formalin-fixed paraffin-embedded human normal liver*.

Performed on a Leica BONDTM system. The section was pre-treated using heat mediated antigen retrieval with EDTA (pH 9.0, epitope retrieval solution 2) for 20mins, before blocking of endogenous biotin using ab64212. The section was then incubated with ab323531 at 5ug/ml, for 15 mins at room temperature and detected using an HRP conjugated ABC system. DAB was used as the chromogen. The section was then counterstained with haematoxylin and mounted with DPX. The inset secondary-only control image is taken from an identical assay without primary antibody.

For other IHC staining systems (automated and non-automated) customers should optimize variable parameters such as antigen retrieval conditions, primary antibody concentration and antibody incubation times.

*Tissue obtained from the Human Research Tissue Bank, supported by the NIHR Cambridge Biomedical Research Centre.

Immunohistochemistry (Formalin/PFA-fixed paraffin-embedded sections) - Avidin/Biotin Blocking Kit (AB64212)
  • IHC-P

Lab

Immunohistochemistry (Formalin/PFA-fixed paraffin-embedded sections) - Avidin/Biotin Blocking Kit (AB64212)

Negative staining of CYP3A4 in a section of formalin-fixed paraffin-embedded human normal cerebellum*.

Performed on a Leica BONDTM system. The section was pre-treated using heat mediated antigen retrieval with EDTA (pH 9.0, epitope retrieval solution 2) for 20mins, before blocking of endogenous biotin using ab64212. The section was then incubated with ab323530 at 0.5ug/ml, for 15 mins at room temperature and detected using an HRP conjugated ABC system. DAB was used as the chromogen. The section was then counterstained with haematoxylin and mounted with DPX. The inset secondary-only control image is taken from an identical assay without primary antibody.

For other IHC staining systems (automated and non-automated) customers should optimize variable parameters such as antigen retrieval conditions, primary antibody concentration and antibody incubation times.

*Tissue obtained from the Human Research Tissue Bank, supported by the NIHR Cambridge Biomedical Research Centre.

Immunohistochemistry (Formalin/PFA-fixed paraffin-embedded sections) - Avidin/Biotin Blocking Kit (AB64212)
  • IHC-P

Lab

Immunohistochemistry (Formalin/PFA-fixed paraffin-embedded sections) - Avidin/Biotin Blocking Kit (AB64212)

Negative staining of IgG2 in a section of formalin-fixed paraffin-embedded human normal cerebral cortex*.

Performed on a Leica BONDTM system. The section was pre-treated using heat mediated antigen retrieval with EDTA (pH 9.0, epitope retrieval solution 2) for 20mins, before blocking of endogenous biotin using ab64212. The section was then incubated with ab322913 at 0.1µg/ml, for 15 mins at room temperature and detected using an HRP conjugated ABC system. DAB was used as the chromogen. The section was then counterstained with haematoxylin and mounted with DPX. The inset secondary-only control image is taken from an identical assay without primary antibody.

For other IHC staining systems (automated and non-automated) customers should optimize variable parameters such as antigen retrieval conditions, primary antibody concentration and antibody incubation times.

*Tissue obtained from the Human Research Tissue Bank, supported by the NIHR Cambridge Biomedical Research Centre.

Immunohistochemistry (Formalin/PFA-fixed paraffin-embedded sections) - Avidin/Biotin Blocking Kit (AB64212)
  • IHC-P

Lab

Immunohistochemistry (Formalin/PFA-fixed paraffin-embedded sections) - Avidin/Biotin Blocking Kit (AB64212)

IHC image of RFP staining in a section of formalin-fixed paraffin-embedded HEK293T cells transfected with a Red fluorescent protein expression vector containing a his tag.

Performed on a Leica BONDTM system. The section was pre-treated using heat mediated antigen retrieval with EDTA buffer (pH 9.0, epitope retrieval solution 2) for 20mins, before blocking of endogenous biotin using ab64212. The section was then incubated with ab323934 at 1μg/ml, for 15 mins at room temperature and detected using an HRP conjugated ABC system. DAB was used as the chromogen. The section was then counterstained with haematoxylin and mounted with DPX. The inset secondary-only control image is taken from an identical assay without primary antibody.

For other IHC staining systems (automated and non-automated) customers should optimize variable parameters such as antigen retrieval conditions, primary antibody concentration and antibody incubation times.

Immunohistochemistry (Formalin/PFA-fixed paraffin-embedded sections) - Avidin/Biotin Blocking Kit (AB64212)
  • IHC-P

Lab

Immunohistochemistry (Formalin/PFA-fixed paraffin-embedded sections) - Avidin/Biotin Blocking Kit (AB64212)

Negative staining of Cytokeratin 8 in a section of formalin-fixed paraffin-embedded human normal cerebral cortex*.

Performed on a Leica BONDTM system. The section was pre-treated using heat mediated antigen retrieval with sodium citrate buffer (pH 6.0, epitope retrieval solution 1) for 20mins, before blocking of endogenous biotin using ab64212. The section was then incubated with ab322309 at 1µg/ml, for 15 mins at room temperature and detected using an HRP conjugated ABC system. DAB was used as the chromogen. The section was then counterstained with haematoxylin and mounted with DPX. The inset secondary-only control image is taken from an identical assay without primary antibody.

For other IHC staining systems (automated and non-automated) customers should optimize variable parameters such as antigen retrieval conditions, primary antibody concentration and antibody incubation times.

*Tissue obtained from the Human Research Tissue Bank, supported by the NIHR Cambridge Biomedical Research Centre.

Immunohistochemistry (Formalin/PFA-fixed paraffin-embedded sections) - Avidin/Biotin Blocking Kit (AB64212)
  • IHC-P

Lab

Immunohistochemistry (Formalin/PFA-fixed paraffin-embedded sections) - Avidin/Biotin Blocking Kit (AB64212)

Negative staining of INS in a section of formalin-fixed paraffin-embedded human normal cerebral cortex*.

Performed on a Leica BONDTM system. The section was pre-treated using heat mediated antigen retrieval with sodium citrate buffer (pH 6.0, epitope retrieval solution 1) for 20mins, before blocking of endogenous biotin using ab64212. The section was then incubated with ab323678 at 0.1µg/ml, for 15 mins at room temperature and detected using an HRP conjugated ABC system. DAB was used as the chromogen. The section was then counterstained with haematoxylin and mounted with DPX. The inset secondary-only control image is taken from an identical assay without primary antibody.

For other IHC staining systems (automated and non-automated) customers should optimize variable parameters such as antigen retrieval conditions, primary antibody concentration and antibody incubation times.

*Tissue obtained from the Human Research Tissue Bank, supported by the NIHR Cambridge Biomedical Research Centre.

Immunohistochemistry (Formalin/PFA-fixed paraffin-embedded sections) - Avidin/Biotin Blocking Kit (AB64212)
  • IHC-P

Lab

Immunohistochemistry (Formalin/PFA-fixed paraffin-embedded sections) - Avidin/Biotin Blocking Kit (AB64212)

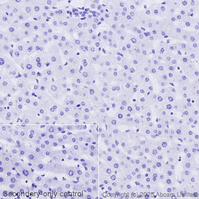
Negative staining of DPP4 in a section of formalin-fixed paraffin-embedded human normal brain*.

Performed on a Leica BONDTM system. The section was pre-treated using heat mediated antigen retrieval with EDTA buffer (pH 9.0, epitope retrieval solution 2) for 20mins, before blocking of endogenous biotin using ab64212. The section was then incubated with ab318313 at 5µg/ml, for 15 mins at room temperature and detected using an HRP conjugated ABC system. DAB was used as the chromogen. The section was then counterstained with haematoxylin and mounted with DPX. The inset secondary-only control image is taken from an identical assay without primary antibody.

For other IHC staining systems (automated and non-automated) customers should optimize variable parameters such as antigen retrieval conditions, primary antibody concentration and antibody incubation times.

*Tissue obtained from the Human Research Tissue Bank, supported by the NIHR Cambridge Biomedical Research Centre.

Immunohistochemistry (Formalin/PFA-fixed paraffin-embedded sections) - Avidin/Biotin Blocking Kit (AB64212)
  • IHC-P

Lab

Immunohistochemistry (Formalin/PFA-fixed paraffin-embedded sections) - Avidin/Biotin Blocking Kit (AB64212)

Negative staining of IFNG in a section of formalin-fixed paraffin-embedded human normal skeletal muscle*.

Performed on a Leica BONDTM system. The section was pre-treated using heat mediated antigen retrieval with EDTA (pH 9.0, epitope retrieval solution 2) for 20mins, before blocking of endogenous biotin using ab64212. The section was then incubated with ab322914 at 5µg/ml, for 15 mins at room temperature and detected using an HRP conjugated ABC system. DAB was used as the chromogen. The section was then counterstained with haematoxylin and mounted with DPX. The inset secondary-only control image is taken from an identical assay without primary antibody.

For other IHC staining systems (automated and non-automated) customers should optimize variable parameters such as antigen retrieval conditions, primary antibody concentration and antibody incubation times.

*Tissue obtained from the Human Research Tissue Bank, supported by the NIHR Cambridge Biomedical Research Centre.

Immunohistochemistry (Formalin/PFA-fixed paraffin-embedded sections) - Avidin/Biotin Blocking Kit (AB64212)
  • IHC-P

Lab

Immunohistochemistry (Formalin/PFA-fixed paraffin-embedded sections) - Avidin/Biotin Blocking Kit (AB64212)

Negative staining of CD21 in a section of formalin-fixed paraffin-embedded human normal cerebral cortex*.

Performed on a Leica BONDTM system. The section was pre-treated using heat mediated antigen retrieval with sodium citrate buffer (pH 6.0, epitope retrieval solution 1) for 20mins, before blocking of endogenous biotin using ab64212. The section was then incubated with ab322303 at 5µg/ml, for 15 mins at room temperature and detected using an HRP conjugated ABC system. DAB was used as the chromogen. The section was then counterstained with haematoxylin and mounted with DPX. The inset secondary-only control image is taken from an identical assay without primary antibody.

For other IHC staining systems (automated and non-automated) customers should optimize variable parameters such as antigen retrieval conditions, primary antibody concentration and antibody incubation times.

*Tissue obtained from the Human Research Tissue Bank, supported by the NIHR Cambridge Biomedical Research Centre.

Immunohistochemistry (Formalin/PFA-fixed paraffin-embedded sections) - Avidin/Biotin Blocking Kit (AB64212)
  • IHC-P

Lab

Immunohistochemistry (Formalin/PFA-fixed paraffin-embedded sections) - Avidin/Biotin Blocking Kit (AB64212)

Negative staining of CD11b in a section of formalin-fixed paraffin-embedded human normal skeletal muscle*.

Performed on a Leica BONDTM system. The section was pre-treated using heat mediated antigen retrieval with EDTA buffer (pH 9.0, epitope retrieval solution 2) for 20mins, before blocking of endogenous biotin using ab64212. The section was then incubated with ab322298 at 5µg/ml, for 15 mins at room temperature and detected using an HRP conjugated ABC system. DAB was used as the chromogen. The section was then counterstained with haematoxylin and mounted with DPX. The inset secondary-only control image is taken from an identical assay without primary antibody.

For other IHC staining systems (automated and non-automated) customers should optimize variable parameters such as antigen retrieval conditions, primary antibody concentration and antibody incubation times.

*Tissue obtained from the Human Research Tissue Bank, supported by the NIHR Cambridge Biomedical Research Centre.

Immunohistochemistry (Formalin/PFA-fixed paraffin-embedded sections) - Avidin/Biotin Blocking Kit (AB64212)
  • IHC-P

Lab

Immunohistochemistry (Formalin/PFA-fixed paraffin-embedded sections) - Avidin/Biotin Blocking Kit (AB64212)

Negative staining of APOE in a section of formalin-fixed paraffin-embedded human normal tonsil*.

Performed on a Leica BONDTM system. The section was pre-treated using heat mediated antigen retrieval with EDTA (pH 9.0, epitope retrieval solution 2) for 20mins, before blocking of endogenous biotin using ab64212. The section was then incubated with ab323532 at 10ug/ml, for 15 mins at room temperature and detected using an HRP conjugated ABC system. DAB was used as the chromogen. The section was then counterstained with haematoxylin and mounted with DPX. The inset secondary-only control image is taken from an identical assay without primary antibody.

For other IHC staining systems (automated and non-automated) customers should optimize variable parameters such as antigen retrieval conditions, primary antibody concentration and antibody incubation times.

*Tissue obtained from the Human Research Tissue Bank, supported by the NIHR Cambridge Biomedical Research Centre.

Immunohistochemistry (Formalin/PFA-fixed paraffin-embedded sections) - Avidin/Biotin Blocking Kit (AB64212)
  • IHC-P

Lab

Immunohistochemistry (Formalin/PFA-fixed paraffin-embedded sections) - Avidin/Biotin Blocking Kit (AB64212)

Negative staining of KRT14 in a section of formalin-fixed paraffin-embedded human normal liver*.

Performed on a Leica BONDTM system. The section was pre-treated using heat mediated antigen retrieval with sodium citrate buffer (pH 6.0, epitope retrieval solution 1) for 20mins, before blocking of endogenous biotin using ab64212. The section was then incubated with ab323529 at 0.5ug/ml, for 15 mins at room temperature and detected using an HRP conjugated ABC system. DAB was used as the chromogen. The section was then counterstained with haematoxylin and mounted with DPX. The inset secondary-only control image is taken from an identical assay without primary antibody.

For other IHC staining systems (automated and non-automated) customers should optimize variable parameters such as antigen retrieval conditions, primary antibody concentration and antibody incubation times.

*Tissue obtained from the Human Research Tissue Bank, supported by the NIHR Cambridge Biomedical Research Centre.

Immunohistochemistry (Formalin/PFA-fixed paraffin-embedded sections) - Avidin/Biotin Blocking Kit (AB64212)
  • IHC-P

Lab

Immunohistochemistry (Formalin/PFA-fixed paraffin-embedded sections) - Avidin/Biotin Blocking Kit (AB64212)

Negative staining of RFP in a section of formalin-fixed paraffin-embedded HEK293T cells transfected with an empty vector containing a his tag.

Performed on a Leica BONDTM system. The section was pre-treated using heat mediated antigen retrieval with EDTA buffer (pH 9.0, epitope retrieval solution 2) for 20mins, before blocking of endogenous biotin using ab64212. The section was then incubated with ab323934 at 1μg/ml, for 15 mins at room temperature and detected using an HRP conjugated ABC system. DAB was used as the chromogen. The section was then counterstained with haematoxylin and mounted with DPX. The inset secondary-only control image is taken from an identical assay without primary antibody.

For other IHC staining systems (automated and non-automated) customers should optimize variable parameters such as antigen retrieval conditions, primary antibody concentration and antibody incubation times.

Immunohistochemistry (Formalin/PFA-fixed paraffin-embedded sections) - Avidin/Biotin Blocking Kit (AB64212)
  • IHC-P

Lab

Immunohistochemistry (Formalin/PFA-fixed paraffin-embedded sections) - Avidin/Biotin Blocking Kit (AB64212)

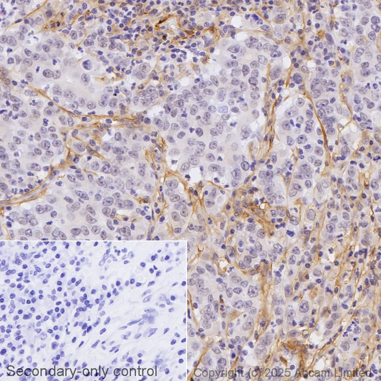
IHC image of THY1 staining in a section of formalin-fixed paraffin-embedded human colon carcinoma*.

Performed on a Leica BONDTM system. The section was pre-treated using heat mediated antigen retrieval with EDTA (pH 9.0, epitope retrieval solution 2) for 20mins, before blocking of endogenous biotin using ab64212. The section was then incubated with ab323685 at 10µg/ml, for 15 mins at room temperature and detected using an HRP conjugated ABC system. DAB was used as the chromogen. The section was then counterstained with haematoxylin and mounted with DPX. The inset secondary-only control image is taken from an identical assay without primary antibody.

For other IHC staining systems (automated and non-automated) customers should optimize variable parameters such as antigen retrieval conditions, primary antibody concentration and antibody incubation times.

*Tissue obtained from the Human Research Tissue Bank, supported by the NIHR Cambridge Biomedical Research Centre.

Immunohistochemistry (Formalin/PFA-fixed paraffin-embedded sections) - Avidin/Biotin Blocking Kit (AB64212)
  • IHC-P

Lab

Immunohistochemistry (Formalin/PFA-fixed paraffin-embedded sections) - Avidin/Biotin Blocking Kit (AB64212)

Low expression staining of SLC2A1 in a section of formalin-fixed paraffin-embedded human normal pancreas*.

Performed on a Leica BONDTM system. The section was pre-treated using heat mediated antigen retrieval with sodium citrate buffer (pH 6.0, epitope retrieval solution 1) for 20mins, before blocking of endogenous biotin using ab64212. The section was then incubated with ab323677 at 5µg/ml, for 15 mins at room temperature and detected using an HRP conjugated ABC system. DAB was used as the chromogen. The section was then counterstained with haematoxylin and mounted with DPX. The inset secondary-only control image is taken from an identical assay without primary antibody.

For other IHC staining systems (automated and non-automated) customers should optimize variable parameters such as antigen retrieval conditions, primary antibody concentration and antibody incubation times.

*Tissue obtained from the Human Research Tissue Bank, supported by the NIHR Cambridge Biomedical Research Centre.

Immunohistochemistry (Formalin/PFA-fixed paraffin-embedded sections) - Avidin/Biotin Blocking Kit (AB64212)
  • IHC-P

Lab

Immunohistochemistry (Formalin/PFA-fixed paraffin-embedded sections) - Avidin/Biotin Blocking Kit (AB64212)

IHC image of SLC2A1 staining in a section of formalin-fixed paraffin-embedded human normal liver*.

Performed on a Leica BONDTM system. The section was pre-treated using heat mediated antigen retrieval with sodium citrate buffer (pH 6.0, epitope retrieval solution 1) for 20mins, before blocking of endogenous biotin using ab64212. The section was then incubated with ab323677 at 5µg/ml, for 15 mins at room temperature and detected using an HRP conjugated ABC system. DAB was used as the chromogen. The section was then counterstained with haematoxylin and mounted with DPX. The inset secondary-only control image is taken from an identical assay without primary antibody.

For other IHC staining systems (automated and non-automated) customers should optimize variable parameters such as antigen retrieval conditions, primary antibody concentration and antibody incubation times.

*Tissue obtained from the Human Research Tissue Bank, supported by the NIHR Cambridge Biomedical Research Centre.

Immunohistochemistry (Formalin/PFA-fixed paraffin-embedded sections) - Avidin/Biotin Blocking Kit (AB64212)
  • IHC-P

Lab

Immunohistochemistry (Formalin/PFA-fixed paraffin-embedded sections) - Avidin/Biotin Blocking Kit (AB64212)

IHC image of INS staining in a section of formalin-fixed paraffin-embedded human normal pancreas*.

Performed on a Leica BONDTM system. The section was pre-treated using heat mediated antigen retrieval with sodium citrate buffer (pH 6.0, epitope retrieval solution 1) for 20mins, before blocking of endogenous biotin using ab64212. The section was then incubated with ab323678 at 0.1µg/ml, for 15 mins at room temperature and detected using an HRP conjugated ABC system. DAB was used as the chromogen. The section was then counterstained with haematoxylin and mounted with DPX. The inset secondary-only control image is taken from an identical assay without primary antibody.

For other IHC staining systems (automated and non-automated) customers should optimize variable parameters such as antigen retrieval conditions, primary antibody concentration and antibody incubation times.

*Tissue obtained from the Human Research Tissue Bank, supported by the NIHR Cambridge Biomedical Research Centre.

Immunohistochemistry (Formalin/PFA-fixed paraffin-embedded sections) - Avidin/Biotin Blocking Kit (AB64212)
  • IHC-P

Lab

Immunohistochemistry (Formalin/PFA-fixed paraffin-embedded sections) - Avidin/Biotin Blocking Kit (AB64212)

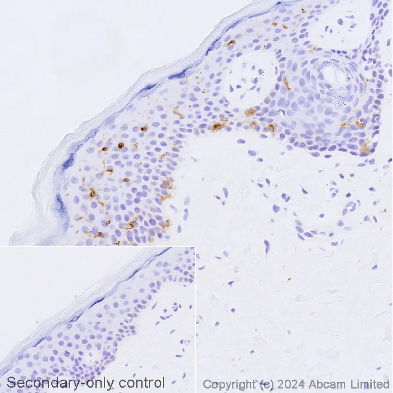
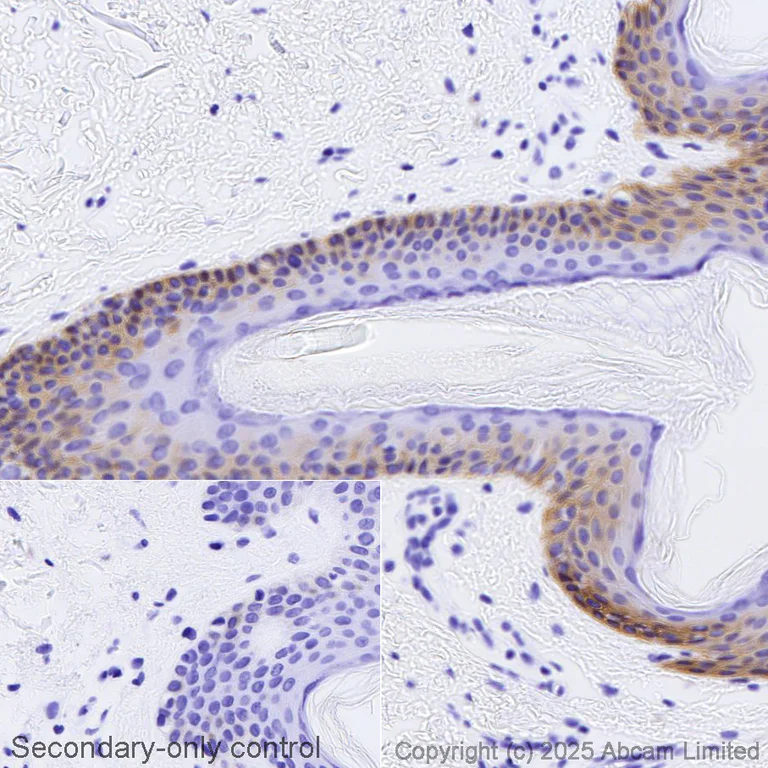
IHC image of Langerin staining in a section of formalin-fixed paraffin-embedded human normal skin*.

Performed on a Leica BONDTM system. The section was pre-treated using heat mediated antigen retrieval with EDTA buffer (pH 9.0, epitope retrieval solution 2) for 20mins, before blocking of endogenous biotin using ab64212. The section was then incubated with ab322985 at 5µg/ml, for 15 mins at room temperature and detected using an HRP conjugated ABC system. DAB was used as the chromogen. The section was then counterstained with haematoxylin and mounted with DPX. The inset secondary-only control image is taken from an identical assay without primary antibody.

For other IHC staining systems (automated and non-automated) customers should optimize variable parameters such as antigen retrieval conditions, primary antibody concentration and antibody incubation times.

*Tissue obtained from the Human Research Tissue Bank, supported by the NIHR Cambridge Biomedical Research Centre.

Immunohistochemistry (Formalin/PFA-fixed paraffin-embedded sections) - Avidin/Biotin Blocking Kit (AB64212)
  • IHC-P

Lab

Immunohistochemistry (Formalin/PFA-fixed paraffin-embedded sections) - Avidin/Biotin Blocking Kit (AB64212)

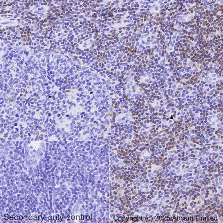
IHC image of IgG2 staining in a section of formalin-fixed paraffin-embedded human normal tonsil*.

Performed on a Leica BONDTM system. The section was pre-treated using heat mediated antigen retrieval with EDTA (pH 9.0, epitope retrieval solution 2) for 20mins, before blocking of endogenous biotin using ab64212. The section was then incubated with ab322913 at 0.1µg/ml, for 15 mins at room temperature and detected using an HRP conjugated ABC system. DAB was used as the chromogen. The section was then counterstained with haematoxylin and mounted with DPX. The inset secondary-only control image is taken from an identical assay without primary antibody.

For other IHC staining systems (automated and non-automated) customers should optimize variable parameters such as antigen retrieval conditions, primary antibody concentration and antibody incubation times.

*Tissue obtained from the Human Research Tissue Bank, supported by the NIHR Cambridge Biomedical Research Centre.

Immunohistochemistry (Formalin/PFA-fixed paraffin-embedded sections) - Avidin/Biotin Blocking Kit (AB64212)
  • IHC-P

Lab

Immunohistochemistry (Formalin/PFA-fixed paraffin-embedded sections) - Avidin/Biotin Blocking Kit (AB64212)

IHC image of IFNG staining in a section of formalin-fixed paraffin-embedded human normal tonsil*.

Performed on a Leica BONDTM system. The section was pre-treated using heat mediated antigen retrieval with EDTA (pH 9.0, epitope retrieval solution 2) for 20mins, before blocking of endogenous biotin using ab64212. The section was then incubated with ab322914 at 5µg/ml, for 15 mins at room temperature and detected using an HRP conjugated ABC system. DAB was used as the chromogen. The section was then counterstained with haematoxylin and mounted with DPX. The inset secondary-only control image is taken from an identical assay without primary antibody.

For other IHC staining systems (automated and non-automated) customers should optimize variable parameters such as antigen retrieval conditions, primary antibody concentration and antibody incubation times.

*Tissue obtained from the Human Research Tissue Bank, supported by the NIHR Cambridge Biomedical Research Centre.

Immunohistochemistry (Formalin/PFA-fixed paraffin-embedded sections) - Avidin/Biotin Blocking Kit (AB64212)
  • IHC-P

Lab

Immunohistochemistry (Formalin/PFA-fixed paraffin-embedded sections) - Avidin/Biotin Blocking Kit (AB64212)

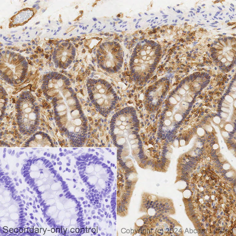
IHC image of HLA A staining in a section of formalin-fixed paraffin-embedded human normal small intestine*.

Performed on a Leica BONDTM system. The section was pre-treated using heat mediated antigen retrieval with EDTA buffer (pH 9.0, epitope retrieval solution 2) for 20mins, before blocking of endogenous biotin using ab64212. The section was then incubated with ab322986 at 5µg/ml, for 15 mins at room temperature and detected using an HRP conjugated ABC system. DAB was used as the chromogen. The section was then counterstained with haematoxylin and mounted with DPX. The inset secondary-only control image is taken from an identical assay without primary antibody.

For other IHC staining systems (automated and non-automated) customers should optimize variable parameters such as antigen retrieval conditions, primary antibody concentration and antibody incubation times.

*Tissue obtained from the Human Research Tissue Bank, supported by the NIHR Cambridge Biomedical Research Centre.

Immunohistochemistry (Formalin/PFA-fixed paraffin-embedded sections) - Avidin/Biotin Blocking Kit (AB64212)
  • IHC-P

Lab

Immunohistochemistry (Formalin/PFA-fixed paraffin-embedded sections) - Avidin/Biotin Blocking Kit (AB64212)

IHC image of Tau staining in a section of formalin-fixed paraffin-embedded human normal cerebral cortex*.

Performed on a Leica BONDTM system. The section was pre-treated using heat mediated antigen retrieval with EDTA buffer (pH 9.0, epitope retrieval solution 2) for 20mins, before blocking of endogenous biotin using ab64212. The section was then incubated with ab322984 at 1µg/ml, for 15 mins at room temperature and detected using an HRP conjugated ABC system. DAB was used as the chromogen. The section was then counterstained with haematoxylin and mounted with DPX. The inset secondary-only control image is taken from an identical assay without primary antibody.

For other IHC staining systems (automated and non-automated) customers should optimize variable parameters such as antigen retrieval conditions, primary antibody concentration and antibody incubation times.

*Tissue obtained from the Human Research Tissue Bank, supported by the NIHR Cambridge Biomedical Research Centre.

Key facts

Reactivity data

{ "title": "Reactivity Data", "filters": { "stats": ["", "Reactivity", "Dilution Info", "Notes"] }, "values": { "IHC-P": { "reactivity":"TESTED_AND_REACTS", "dilution-info":"", "notes":"<p></p>" }, "ICC/IF": { "reactivity":"TESTED_AND_REACTS", "dilution-info":"", "notes":"<p></p>" }, "IHC-Fr": { "reactivity":"TESTED_AND_REACTS", "dilution-info":"", "notes":"<p></p>" } } }

Product details

Avidin Biotin Blocking Kit ab64212 blocks signal from endogenous avidin, biotin and biotin-binding proteins in tissues when used with biotin-based IHC detection (eg. with ABC IHC detection kits).

When using the kit, firstly an excess of avidin is added to the sample to bind endogenous biotin, that avidin is then blocked with an excess of biotin. Excess biotin and avidin is washed away.

The kit is often used with cells and tissues containing high levels of biotin. This can be indicated by blocking sections with hydrogen peroxide, and then incubating sections with streptavidin-HRP and then DAB; brown DAB staining indicates endogenous biotin. Kidney, liver, spleen especially contain high levels of biotin.

This kit was previously called Endogenous Avidin/Biotin Blocking Kit.

IHC protocol suitable for use with Avidin Biotin Blocking Kit ab64212:
For frozen sections, skip steps 1 and 2.

1. Deparaffinize and rehydrate formalin-fixed paraffin-embedded tissue section.

2. Use appropriate antigen retrieval buffer or enzyme (primary antibody dependent) to treat sections. Wash 3 times in buffer.

3. Add enough hydrogen peroxide blocking solution to cover the sections. Incubate for 10 minutes. Wash 2 times in buffer. If necessary, block for endogenous biotin by incubating with avidin block for 15 mins, washing twice, incubating with biotin block for 15 mins, and washing twice.

4. Apply protein block (or normal serum from same species as secondary antibody) and incubate for 5 minutes at room temperature to block nonspecific background staining. Wash once in buffer.

5. Apply primary antibody in antibody diluent and incubate.

6. Wash 4 times in buffer. Incubate slide with biotinylated secondary antibody (or HRP polymer secondary antibody and skip step 7). Wash 4 times in buffer.

7. Apply streptavidin-HRP and incubate for 10 minutes at room temperature.

8. Rinse 4 times in buffer. Place slide in DAB substrate or AEC Substrate and incubate until desired color is achieved (1-10 mins). Rinse 4 times in buffer.

9. Add enough drops of hematoxylin to cover the section. Incubate for 1 minute.

10. Rinse 7-8 times in tap water. Add mounting medium to cover the section.

Find complete IHC kits, and reagents for antigen retrieval, blocking, signal amplification, visualization, counterstaining, and mounting in the IHC kits and reagents guide.

What's included?

{ "values": { "15mL": { "sellingSize": "15 mL", "publicAssetCode":"ab64212-15mL", "assetComponentDetails": [ { "size":"1 x 15 mL", "name":"Avidin Block", "number":"AB64212-CMP01", "productcode":"" }, { "size":"1 x 15 mL", "name":"Biotin Block", "number":"AB64212-CMP02", "productcode":"" } ] } } }

Properties and storage information

Shipped at conditions
Blue Ice
Appropriate short-term storage conditions
+4°C
Appropriate long-term storage conditions
+4°C
Storage information
+4°C

Product protocols

Target data

Publications (46)

Recent publications for all applications. Explore the full list and refine your search

Theranostics 15:1094-1109 PubMed39776805

2025

A specific and adaptable approach to track CD206 macrophages by molecular MRI and fluorescence imaging.

Applications

Unspecified application

Species

Unspecified reactive species

Cuihua Wang,Negin Jalali Motlagh,Gregory R Wojtkiewicz,Hongzhi Yang,Hyung-Hwan Kim,John W Chen

Nature 635:708-718 PubMed39567784

2024

A spatial human thymus cell atlas mapped to a continuous tissue axis.

Applications

Unspecified application

Species

Unspecified reactive species

Nadav Yayon,Veronika R Kedlian,Lena Boehme,Chenqu Suo,Brianna T Wachter,Rebecca T Beuschel,Oren Amsalem,Krzysztof Polanski,Simon Koplev,Elizabeth Tuck,Emma Dann,Jolien Van Hulle,Shani Perera,Tom Putteman,Alexander V Predeus,Monika Dabrowska,Laura Richardson,Catherine Tudor,Alexandra Y Kreins,Justin Engelbert,Emily Stephenson,Vitalii Kleshchevnikov,Fabrizio De Rita,David Crossland,Marita Bosticardo,Francesca Pala,Elena Prigmore,Nana-Jane Chipampe,Martin Prete,Lijiang Fei,Ken To,Roger A Barker,Xiaoling He,Filip Van Nieuwerburgh,Omer Ali Bayraktar,Minal Patel,E Graham Davies,Muzlifah A Haniffa,Virginie Uhlmann,Luigi D Notarangelo,Ronald N Germain,Andrea J Radtke,John C Marioni,Tom Taghon,Sarah A Teichmann

Nature communications 15:8024 PubMed39271711

2024

Therapeutic efficacy of intracerebral hematopoietic stem cell gene therapy in an Alzheimer's disease mouse model.

Applications

Unspecified application

Species

Unspecified reactive species

Rita Milazzo,Annita Montepeloso,Rajesh Kumar,Francesca Ferro,Eleonora Cavalca,Pietro Rigoni,Paolo Cabras,Yuri Ciervo,Sabyasachi Das,Alessia Capotondo,Danilo Pellin,Marco Peviani,Alessandra Biffi

Genes 15: PubMed39202445

2024

Carboxypeptidase Inhibitor LXN Expression in Endometrial Tissue Is Menstrual Cycle Phase-Dependent and Is Upregulated in Endometriotic Lesions.

Applications

Unspecified application

Species

Unspecified reactive species

Meruert Sarsenova,Artjom Stepanjuk,Merli Saare,Sergo Kasvandik,Pille Soplepmann,Iveta Mikeltadze,Martin Götte,Andres Salumets,Maire Peters

Translational andrology and urology 13:1164-1172 PubMed39100846

2024

Evaluation of transurethral GreenLight laser-selective vaporization for refractory overactive bladder in women.

Applications

Unspecified application

Species

Unspecified reactive species

Kun Du,Xiaoliang Sun,Fan Yang,Zhijian Qiu,Lianjun Li,Yong Zhao,Haiyang Zhang

Frontiers in pharmacology 15:1404938 PubMed38818378

2024

Cross-species variability in lobular geometry and cytochrome P450 hepatic zonation: insights into CYP1A2, CYP2D6, CYP2E1 and CYP3A4.

Applications

Unspecified application

Species

Unspecified reactive species

Mohamed Albadry,Jonas Küttner,Jan Grzegorzewski,Olaf Dirsch,Eva Kindler,Robert Klopfleisch,Vaclav Liska,Vladimira Moulisova,Sandra Nickel,Richard Palek,Jachym Rosendorf,Sylvia Saalfeld,Utz Settmacher,Hans-Michael Tautenhahn,Matthias König,Uta Dahmen

Cancer cell 42:444-463.e10 PubMed38428410

2024

Multi-omic profiling of follicular lymphoma reveals changes in tissue architecture and enhanced stromal remodeling in high-risk patients.

Applications

Unspecified application

Species

Unspecified reactive species

Andrea J Radtke,Ekaterina Postovalova,Arina Varlamova,Alexander Bagaev,Maria Sorokina,Olga Kudryashova,Mark Meerson,Margarita Polyakova,Ilia Galkin,Viktor Svekolkin,Sergey Isaev,Daniil Wiebe,Anna Sharun,Alexander Sarachakov,Grigory Perelman,Yaroslav Lozinsky,Ziv Yaniv,Bradley C Lowekamp,Emily Speranza,Li Yao,Stefania Pittaluga,Arthur L Shaffer,Danny Jonigk,James D Phelan,Theresa Davies-Hill,Da Wei Huang,Pavel Ovcharov,Krystle Nomie,Ekaterina Nuzhdina,Nikita Kotlov,Ravshan Ataullakhanov,Nathan Fowler,Michael Kelly,Jagan Muppidi,Jeremy L Davis,Jonathan M Hernandez,Wyndham H Wilson,Elaine S Jaffe,Louis M Staudt,Mark Roschewski,Ronald N Germain

Scientific reports 14:2061 PubMed38267530

2024

Dose-dependent reduction of somatic expansions but not Htt aggregates by di-valent siRNA-mediated silencing of MSH3 in HdhQ111 mice.

Applications

Unspecified application

Species

Unspecified reactive species

Rachelle Driscoll,Lucas Hampton,Neeta A Abraham,J Douglas Larigan,Nadine F Joseph,Juan C Hernandez-Vega,Sarah Geisler,Fu-Chia Yang,Matthew Deninger,David T Tran,Natasha Khatri,Bruno M D C Godinho,Garth A Kinberger,Daniel R Montagna,Warren D Hirst,Catherine L Guardado,Kelly E Glajch,H Moore Arnold,Corrie L Gallant-Behm,Andreas Weihofen

Scientific reports 13:19183 PubMed37932336

2023

Low oral dose of 4-methylumbelliferone reduces glial scar but is insufficient to induce functional recovery after spinal cord injury.

Applications

Unspecified application

Species

Unspecified reactive species

Kateřina Štepánková,Milada Chudíčková,Zuzana Šimková,Noelia Martinez-Varea,Šárka Kubinová,Lucia Machová Urdzíková,Pavla Jendelová,Jessica C F Kwok

Frontiers in medicine 10:1191205 PubMed37706027

2023

Laser microdissection, proteomics, and multiplex immunohistochemistry: a bumpy ride into the study of paraffin-embedded fetal and pediatric lung tissues.

Applications

Unspecified application

Species

Unspecified reactive species

Luis M Cardoso Dos Santos,Yannick Avila,Domitille Schvartz,Anne-Laure Rougemont,Marie-Luce Bochaton-Piallat,Isabelle Ruchonnet-Metrailler
View all publications
websiteProtocolBooklet
en

Product promise

We are committed to supporting your work with high-quality reagents, and we're here for you every step of the way. In the unlikely event that one of our products does not perform as expected, you're protected by our Product Promise.
For full details, please see our Terms & Conditions

Please note: All products are 'FOR RESEARCH USE ONLY. NOT FOR USE IN DIAGNOSTIC OR THERAPEUTIC PROCEDURES'.

For licensing inquiries, please contact partnerships@abcam.com