JavaScript is disabled in your browser. Please enable JavaScript to view this website.
AB210060

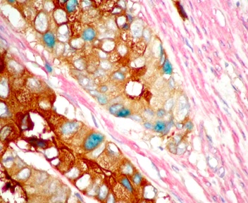
DoubleStain IHC Kit: M&R on human tissue (BCIP & AEC)

Be the first to review this product! Submit a review

|

(0 Publication)

DoubleStain IHC kit: M&R on human tissue (BCIP & AEC)( ab210060) is designed to be used with supplied mouse and rabbit primary antibodies on human tissue or cell samples. Suitable with formalin-fixed, paraffin-embedded (FFPE) or frozen tissue.

- Contains AP-Polymer anti-Rabbit IgG, HRP-Polymer anti-Mouse IgG and two distinct chromogens: BCIP/NBT (Purple) and AEC (Red)
- Designed to prevent non-specific binding of endogenous biotin
- Aqueous Mounting Medium provided
- Available in different sizes to fit your experimental needs

Key facts

Sample types

Tissue

Reactivity data

{ "title": "Reactivity Data", "filters": { "stats": ["", "Reactivity", "Dilution Info", "Notes"] }, "values": { "IHC": { "reactivity":"TESTED_AND_REACTS", "dilution-info":"", "notes":"<p></p>" } } }

Product details

Abcam's DoubleStain IHC Kit: M&R on human tissue (BCIP & AEC) (ab210060) is designed to detect two distinct antigens on human tissue or cell samples using a simplified protocol with user-supplied mouse and rabbit antibodies. This kit has been tested in paraffin embedded tissues. However, this kit can be used to stain frozen specimen and/or freshly prepared monolayer cell smears.

Double staining is a common method used in immunohistochemistry to evaluate two distinct antigens in a single tissue. This kit contains a HRP-Polymer anti-Mouse IgG, an AP-Polymer anti-Rabbit IgG, and two distinct chromogens. The AEC chromogen (red color) is used with HRP Polymer anti-Mouse IgG and the BCIP/NBT chromogen (purple/blue color) is used with AP Polymer anti-Rabbit IgG. DoubleStain IHC Kit: M&R on human tissue (BCIP & AEC) is a non-biotin system that avoids the extra steps involved in blocking non-specific binding due to endogenous biotin.

REACH authorisation
Abcam has not and does not intend to apply for the REACH Authorisation of customers' uses of products that contain European Authorisation list (Annex XIV) substances.
It is the responsibility of our customers to check the necessity of application of REACH Authorisation, and any other relevant authorisations, for their intended uses.

What's included?

{ "values": { "18mL": { "sellingSize": "18 mL", "publicAssetCode":"ab210060-18mL", "assetComponentDetails": [ { "size":"1 x 18 mL", "name":"Aqueous Mounting Medium", "number":"AB210060-CMP07" }, { "size":"1 x 2 mL", "name":"Hydrogen Peroxide (20x)", "number":"AB210060-CMP06" }, { "size":"1 x 18 mL", "name":"Mouse HRP Polymer", "number":"AB210060-CMP05" }, { "size":"1 x 18 mL", "name":"BCIP/NBT Solution", "number":"AB210060-CMP04" }, { "size":"1 x 18 mL", "name":"Rabbit AP polymer", "number":"AB210060-CMP03" }, { "size":"1 x 2 mL", "name":"AEC Substrate Buffer (20X)", "number":"AB210060-CMP02" }, { "size":"1 x 4 mL", "name":"AEC Chromogen (20X)", "number":"AB210060-CMP01" } ] }, "6mL": { "sellingSize": "6 mL", "publicAssetCode":"ab210060-6mL", "assetComponentDetails": [ { "size":"1 x 6 mL", "name":"Aqueous Mounting Medium", "number":"AB210060-CMP07" }, { "size":"1 x 1 mL", "name":"Hydrogen Peroxide (20x)", "number":"AB210060-CMP06" }, { "size":"1 x 6 mL", "name":"Mouse HRP Polymer", "number":"AB210060-CMP05" }, { "size":"1 x 6 mL", "name":"BCIP/NBT Solution", "number":"AB210060-CMP04" }, { "size":"1 x 6 mL", "name":"Rabbit AP polymer", "number":"AB210060-CMP03" }, { "size":"1 x 1 mL", "name":"AEC Substrate Buffer (20X)", "number":"AB210060-CMP02" }, { "size":"1 x 2 mL", "name":"AEC Chromogen (20X)", "number":"AB210060-CMP01" } ] }, "60mL": { "sellingSize": "60 mL", "publicAssetCode":"ab210060-60mL", "assetComponentDetails": [ { "size":"1 x 60 mL", "name":"Aqueous Mounting Medium", "number":"AB210060-CMP07", "productcode":"" }, { "size":"1 x 6 mL", "name":"Hydrogen Peroxide (20x)", "number":"AB210060-CMP06", "productcode":"" }, { "size":"1 x 60 mL", "name":"Mouse HRP Polymer", "number":"AB210060-CMP05", "productcode":"" }, { "size":"1 x 60 mL", "name":"BCIP/NBT Solution", "number":"AB210060-CMP04", "productcode":"" }, { "size":"1 x 60 mL", "name":"Rabbit AP polymer", "number":"AB210060-CMP03", "productcode":"" }, { "size":"1 x 6 mL", "name":"AEC Substrate Buffer (20X)", "number":"AB210060-CMP02", "productcode":"" }, { "size":"1 x 12 mL", "name":"AEC Chromogen (20X)", "number":"AB210060-CMP01", "productcode":"" } ] } } }

Properties and storage information

Shipped at conditions
Blue Ice
Appropriate short-term storage conditions
+4°C
Appropriate long-term storage conditions
+4°C
Storage information
+4°C

Product protocols

Target data

websiteProtocolBooklet
en

Product promise

We are committed to supporting your work with high-quality reagents, and we're here for you every step of the way. In the unlikely event that one of our products does not perform as expected, you're protected by our Product Promise.
For full details, please see our Terms & Conditions

Please note: All products are 'FOR RESEARCH USE ONLY. NOT FOR USE IN DIAGNOSTIC OR THERAPEUTIC PROCEDURES'.

For licensing inquiries, please contact partnerships@abcam.com