JavaScript is disabled in your browser. Please enable JavaScript to view this website.
AB236466

Mouse and Rabbit Specific HRP/DAB IHC Detection Kit - Micro-polymer

4

(1 Review)

|

(111 Publications)

Rabbit/mouse dual, HRP/DAB detection IHC kit is a colorimetric micro-polymer assay kit (ab236466) is used to detect mouse and rabbit primary antibodies in immunohistochemistry (IHC). Ideal for studying tissue rich in endogenous biotin e.g. kidney or brain tissue, as ab236466 is a biotin-free immune-enzymatic antigen detection system.

- Proven performance: cited in over 65 publications
- Smaller detection complex is formed aiding in better tissue penetration
- All reagents are ready-to-use as supplied
- Available in different sizes to fit your experimental needs
5 Images
Immunohistochemistry (Formalin/PFA-fixed paraffin-embedded sections) - Mouse and Rabbit Specific HRP/DAB IHC Detection Kit - Micro-polymer (AB236466)
  • IHC-P

Unknown

Immunohistochemistry (Formalin/PFA-fixed paraffin-embedded sections) - Mouse and Rabbit Specific HRP/DAB IHC Detection Kit - Micro-polymer (AB236466)

Immunohistochemistry (Formalin/PFA-fixed paraffin-embedded sections).

ab209064 at 1 : 2000 staining TMEM119 antibody in mouse cerebrum tissue by immunohistochemistry (FFPE). Immunohistochemical analysis of paraffin-embedded mouse cerebrum tissue labeling TMEM119 with ab209064 at 1/2000 dilution followed by the same HRP micro-polymer goat anti-rabbit secondary antibody used in this kit. Positive staining on glial cells in mouse cerebrum is observed. Perform heat mediated antigen retrieval using ab93684 (Tris/EDTA buffer, pH 9.0) before commencing with IHC staining protocol. Counter stained with hematoxylin.

Immunohistochemistry (Formalin/PFA-fixed paraffin-embedded sections) - Mouse and Rabbit Specific HRP/DAB IHC Detection Kit - Micro-polymer (AB236466)
  • IHC-P

Unknown

Immunohistochemistry (Formalin/PFA-fixed paraffin-embedded sections) - Mouse and Rabbit Specific HRP/DAB IHC Detection Kit - Micro-polymer (AB236466)

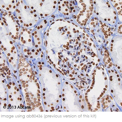
Immunohistochemistry (Formalin/PFA-fixed paraffin-embedded sections).

ab1220 staining human kidney sections by IHC-P using EXPOSE IHC detection kit ab80436 (this kit is identical to ab80436, except that it uses the same HRP polymer secondary antibody used by Abcam's R&D team for antibody validation). Formalin fixed paraffin embedded tissue sections were pre-treated using heat mediated antigen retrieval (using a pressure cooker) with sodium citrate buffer (pH 6) for 30 minutes. The section was incubated with ab1220, 5 μg/ml, for 1 hour at room temperature. DAB was used as the chromogen and the section was counterstained with haematoxylin and mounted with DPX.

Immunohistochemistry (Formalin/PFA-fixed paraffin-embedded sections) - Mouse and Rabbit Specific HRP/DAB IHC Detection Kit - Micro-polymer (AB236466)
  • IHC-P

PubMed

Immunohistochemistry (Formalin/PFA-fixed paraffin-embedded sections) - Mouse and Rabbit Specific HRP/DAB IHC Detection Kit - Micro-polymer (AB236466)

Effect of doxycycline (DOX) treatment on the expression of MMP-2 and MMP-9 in the aorta.Immunohistochemistry staining images and bar graphs representing the expression of (A) MMP-2 and (B) MMP-9 in the aortic roots of CTRL and MFS mice at 12 weeks of age treated with or without DOX.

Immunohistochemistry (Formalin/PFA-fixed paraffin-embedded sections) - Mouse and Rabbit Specific HRP/DAB IHC Detection Kit - Micro-polymer (AB236466)
  • IHC-P

PubMed

Immunohistochemistry (Formalin/PFA-fixed paraffin-embedded sections) - Mouse and Rabbit Specific HRP/DAB IHC Detection Kit - Micro-polymer (AB236466)

Effect of doxycycline (DOX) treatment on the expression of MMP-2 and MMP-9 in the skin. (A) The upper panel shows representative MMP-2 staining of skin from CTRL and MFS mice at 12 months of age with or without DOX, and the lower panel shows bar graphs representing the expression of MMP-2 in the skin of CTRL and MFS mice at 12 weeks of age with or without DOX. (B) The upper panel shows representative MMP-9 staining of skin from CTRL and MFS mice at 12 months of age with or without DOX treatment. The lower panel shows bar graphs representing the expression of MMP-9 in the skin of CTRL and MFS mice at 12 weeks of age treated with or without DOX.

Immunohistochemistry (Formalin/PFA-fixed paraffin-embedded sections) - Mouse and Rabbit Specific HRP/DAB IHC Detection Kit - Micro-polymer (AB236466)
  • IHC-P

Unknown

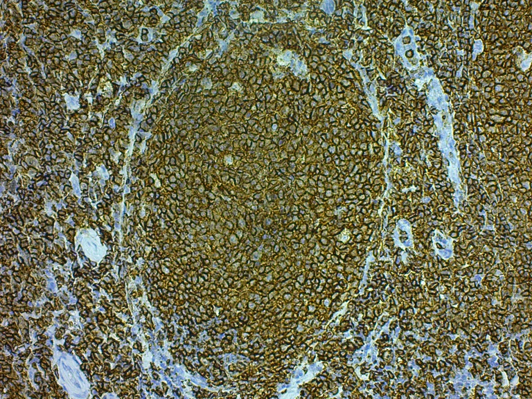
Immunohistochemistry (Formalin/PFA-fixed paraffin-embedded sections) - Mouse and Rabbit Specific HRP/DAB IHC Detection Kit - Micro-polymer (AB236466)

ab236466 Mouse and Rabbit Specific HRP-DAB Detection IHC Kit on Human Tonsil staining CD20

Key facts

Detection method

Colorimetric

Assay type

Micro-Polymer

Reactivity data

{ "title": "Reactivity Data", "filters": { "stats": ["", "Reactivity", "Dilution Info", "Notes"] }, "values": { "IHC-P": { "reactivity":"TESTED_AND_REACTS", "dilution-info":"", "notes":"<p></p>" } } }

Product details

This IHC kit is used to detect mouse and rabbit primary antibodies in immunohistochemistry (IHC). It uses an HRP micro-polymer secondary antibody for highly sensitive detection.

HRP micro-polymer methods are more sensitive than the traditional streptavidin-biotin method, and they do not require a blocking step for endogenous biotin.

The kit includes ready-to-use hydrogen peroxide blocking reagent, protein blocking reagent, HRP micro-polymer conjugated goat anti-rabbit secondary antibody, and DAB chromogen/substrate. It includes an unconjugated rabbit anti-mouse antibody, which is used together with the HRP polymer anti-rabbit antibody to detect mouse primary antibodies.

The previous version of this kit, the EXPOSE Mouse and Rabbit Specific HRP/DAB Detection IHC Kit, was used by researchers to stain over 150,000 slides since 2012 (based on volumes of reagent sold).

Other IHC detection products

For alternative kits, see anti-Rabbit HRP-DAB Micro-polymer IHC Kit ab236469, and HRP-AEC micro-polymer IHC kits.

For staining mouse tissues with mouse antibodies, use mouse-on-mouse polymer kit ab127055.

Find more kits and reagents for antigen retrieval, blocking, signal amplification, visualization, counterstaining, and mounting in the IHC kits and reagents guide.

What's included?

{ "values": { "15mL": { "sellingSize": "15 mL", "publicAssetCode":"ab236466-15mL", "assetComponentDetails": [ { "size":"1 x 15 mL", "name":"Protein block", "number":"AB236466-CMP06" }, { "size":"1 x 15 mL", "name":"Goat anti-rabbit HRP Conjugate", "number":"AB236466-CMP03" }, { "size":"1 x 15 mL", "name":"Mouse Specifying Reagent (Complement)", "number":"AB236466-CMP05" }, { "size":"1 x 15 mL", "name":"DAB substrate", "number":"AB236466-CMP02" }, { "size":"1 x 15 mL", "name":"Hydrogen Peroxide Block", "number":"AB236466-CMP04" }, { "size":"1 x 0.5 mL", "name":"50x DAB Chromogen", "number":"AB236466-CMP01" } ] }, "125mL": { "sellingSize": "125 mL", "publicAssetCode":"ab236466-125mL", "assetComponentDetails": [ { "size":"1 x 125 mL", "name":"Goat anti-rabbit HRP Conjugate", "number":"AB236466-CMP03" }, { "size":"1 x 125 mL", "name":"Mouse Specifying Reagent (Complement)", "number":"AB236466-CMP05" }, { "size":"1 x 125 mL", "name":"DAB substrate", "number":"AB236466-CMP02" }, { "size":"1 x 4 mL", "name":"50x DAB Chromogen", "number":"AB236466-CMP01" }, { "size":"1 x 125 mL", "name":"Hydrogen Peroxide Block", "number":"AB236466-CMP04" }, { "size":"1 x 125 mL", "name":"Protein block", "number":"AB236466-CMP06" } ] }, "60mL": { "sellingSize": "60 mL", "publicAssetCode":"ab236466-60mL", "assetComponentDetails": [ { "size":"1 x 2 mL", "name":"50x DAB Chromogen", "number":"AB236466-CMP01", "productcode":"" }, { "size":"1 x 60 mL", "name":"Goat anti-rabbit HRP Conjugate", "number":"AB236466-CMP03", "productcode":"" }, { "size":"1 x 60 mL", "name":"DAB substrate", "number":"AB236466-CMP02", "productcode":"" }, { "size":"1 x 60 mL", "name":"Hydrogen Peroxide Block", "number":"AB236466-CMP04", "productcode":"" }, { "size":"1 x 60 mL", "name":"Protein block", "number":"AB236466-CMP06", "productcode":"" }, { "size":"1 x 60 mL", "name":"Mouse Specifying Reagent (Complement)", "number":"AB236466-CMP05", "productcode":"" } ] } } }

Properties and storage information

Shipped at conditions
Blue Ice
Appropriate short-term storage conditions
+4°C
Appropriate long-term storage conditions
+4°C
Storage information
+4°C

Product protocols

Target data

Publications (111)

Recent publications for all applications. Explore the full list and refine your search

Journal of inflammation research 18:7599-7610 PubMed40524970

2025

Turmeric and Aqueous Extracts Reduced Inflammation in Macrophage Activation Syndrome (MAS) Mouse Model.

Applications

Unspecified application

Species

Unspecified reactive species

Mariam M Al-Omari,Manar M Al-Yousef,Khaled M Al-Qaoud,Nesreen M Bataineh

Cell biology and toxicology 41:92 PubMed40447880

2025

cIAP2-mediated IGF2BP2 ubiquitination and degradation regulate cardiomyocyte apoptosis via stabilizing mA-modified BAX mRNA in myocardial infarction.

Applications

Unspecified application

Species

Unspecified reactive species

Cong Wang,Jijia Liu,Xuyang Hou,Qing Guan,Huiling Zhou,Yong Luo,Wancun Jin,Fan Bai,Lijun Liu,Jian Wang,Li Xie,Feng Li,Haidan Liu

Molecules (Basel, Switzerland) 30: PubMed40363705

2025

Drug Repurposing to Inhibit Oncostatin M in Crohn's Disease.

Applications

Unspecified application

Species

Unspecified reactive species

Faranak Bahramimehr,Axel Guthart,Stefanie Kurz,Yuanping Hai,Mona Dawood,Rümeysa Yücer,Nasim Shahhamzehei,Ralf Weiskirchen,Wilfried Roth,Wolfgang Stremmel,Gerhard Bringmann,Thomas Efferth

European journal of trauma and emergency surgery : official publication of the European Trauma Society 51:196 PubMed40327135

2025

Urapidil as a neuroprotective agent: targeting hypoxia, inflammation, and oxidative stress in traumatic brain injury.

Applications

Unspecified application

Species

Unspecified reactive species

Ahmet Bindal,Pınar Karabacak,Halil Asci,Ilter Ilhan,Muhammet Yusuf Tepebasi,Mehmet Abdulkadir Sevuk,Orhan Imeci,Ozlem Ozmen,Burak Yildirim

Experimental hematology & oncology 14:64 PubMed40317079

2025

IL-6-mediated tumorigenicity and antioxidant state in squamous cell carcinoma cells are driven by CD109 via stabilization of IL-6 receptor-alpha and activation of STAT3/NRF2 pathway.

Applications

Unspecified application

Species

Unspecified reactive species

Amani Hassan,Tenzin Kungyal,Shufeng Zhou,Meryem Blati,Kenneth Finnson,Nick Bertos,Nahid Golabi,Nader Sadeghi,Sampath Loganathan,Anie Philip

Nature communications 16:3906 PubMed40295482

2025

Non-human primate seasonal transcriptome atlas reveals seasonal changes in physiology and diseases.

Applications

Unspecified application

Species

Unspecified reactive species

Junfeng Chen,Kousuke Okimura,Liang Ren,Yusuke Nakane,Tomoya Nakayama,Yang Chen,Kai Fukawa,Soutarou Sugiyama,Takayoshi Natsume,Naoko Suda-Hashimoto,Mayumi Morimoto,Takako Miyabe-Nishiwaki,Takao Oishi,Yuma Katada,Manhui Zhang,Kohei Kobayashi,Shoko Matsumoto,Taiki Yamaguchi,Ying-Jey Guh,Issey Takahashi,Taeko Nishiwaki-Ohkawa,Daiki X Sato,Yoshiharu Murata,Kenta Sumiyama,Atsushi J Nagano,Hiroo Imai,Takashi Yoshimura

Scientific reports 15:13355 PubMed40247075

2025

Upper airway microcirculation remodeling in obstructive sleep apnea is not driven by endothelial activation.

Applications

Unspecified application

Species

Unspecified reactive species

Kristine Fahl,Thais Mauad,Jôse M de Brito,Natalia S X Costa,Danielle A S Dantas,Heraldo Possolo de Souza,Roney O Sampaio,Luiz U Sennes,Michel B Cahali

Cell communication and signaling : CCS 23:137 PubMed40087780

2025

Combination therapy with Chicoric acid and PD-1/PD-L1 blockade improves the immunotherapy response in patient-derived ovarian cancer xenograft model.

Applications

Unspecified application

Species

Unspecified reactive species

Hongwei Lan,Jingjuan Zhu,Helei Hou,Chuantao Zhang,Xingfa Huo,Yuming Zhang,Fangfang Yang,Na Zhou,Xiaochun Zhang

International journal of stem cells 18:286-300 PubMed40082065

2025

Extracellular Vesicles from Induced Mesenchymal Stem Cells Inhibit Acute Kidney Injury to Chronic Kidney Disease Transition.

Applications

Unspecified application

Species

Unspecified reactive species

Hongduk Kim,Sungok Hong,Soo Kim,Tae Min Kim

Biomolecules 15: PubMed40001474

2025

Chikungunya Particle and RNA Induce Mechanical and Heat Hypersensitivities in a TRPV1-Dependent Manner.

Applications

Unspecified application

Species

Unspecified reactive species

Liziane C M da Silva,Andressa C Dos Santos Maia,Nágila C F de Sousa,Catielen P Pavi,Beatriz P Savi,Seigo Nagashima,Samara Damasceno,Ayda H Schneider,Lucas Z Mascarin,João F S Rodrigues,Cinara R A V Monteiro,Izabella T Silva,Gislaine Fongaro,Valério Monteiro-Neto,Maria R Q Bomfim,Thiago M Cunha,João de Sousa Valente,João B Calixto,Lúcia de Noronha,Susan D Brain,Elizabeth S Fernandes
View all publications
websiteProtocolBooklet
en

Product promise

We are committed to supporting your work with high-quality reagents, and we're here for you every step of the way. In the unlikely event that one of our products does not perform as expected, you're protected by our Product Promise.
For full details, please see our Terms & Conditions

Please note: All products are 'FOR RESEARCH USE ONLY. NOT FOR USE IN DIAGNOSTIC OR THERAPEUTIC PROCEDURES'.

For licensing inquiries, please contact partnerships@abcam.com