JavaScript is disabled in your browser. Please enable JavaScript to view this website.
AB64258

Mouse Specific HRP/AEC Detection IHC kit

Be the first to review this product! Submit a review

|

(0 Publication)

Mouse specific HRP/AEC IHC Detection Kit ab64258 is a complete kit to detect a primary antibody raised in mouse, using HRP-labeled-streptavidin and a biotinylated anti-mouse secondary antibody.
1 Images
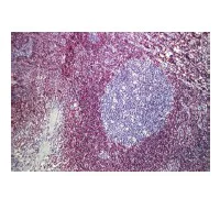
Immunohistochemistry (Formalin/PFA-fixed paraffin-embedded sections) - Mouse Specific HRP/AEC Detection IHC kit (AB64258)
  • IHC-P

Supplier Data

Immunohistochemistry (Formalin/PFA-fixed paraffin-embedded sections) - Mouse Specific HRP/AEC Detection IHC kit (AB64258)

Immunohistochemical analysis of Bcl-2 expression in Human tonsil, using ab64258 Detection Kit.

Key facts

Reactivity data

{ "title": "Reactivity Data", "filters": { "stats": ["", "Reactivity", "Dilution Info", "Notes"] }, "values": { "IHC-P": { "reactivity":"TESTED_AND_REACTS", "dilution-info":"", "notes":"<p></p>" } } }

Product details

Mouse specific HRP/AEC IHC Detection Kit ab64258 is a complete kit to detect a primary antibody raised in mouse, using HRP-labeled-streptavidin and a biotinylated anti-mouse secondary antibody.

It is supplied with a full protocol and with peroxidase and protein blocking reagents, biotinylated secondary antibody, streptavidin-HRP, and AEC substrate.

In the method:
- a sample is incubated with an unconjugated primary antibody specific to the target antigen
- a biotinylated secondary antibody then binds to the primary antibody
- HRP-labeled streptavidin then binds to the secondary antibody
- the HRP produces a colored substance at the site of primary antibody binding by reacting with AEC.

For alternative AEC streptavidin-biotin IHC detection kits see:
- anti-Mouse / anti-Rabbit HRP-AEC IHC kit ab93705
- Anti-Rabbit HRP-AEC IHC Kit ab64260

For high sensitivity AEC HRP micro-polymer IHC detection kits see:
- Anti-Mouse / anti-Rabbit HRP-AEC Micro-polymer IHC Kit ab236467
- Anti-Rabbit HRP-AEC Micro-polymer IHC Kit ab236468

Alternatively, see HRP-DAB IHC detection kits.

Find more kits and reagents for antigen retrieval, blocking, signal amplification, visualization, counterstaining, and mounting in the IHC kits and reagents guide.

REACH authorisation
Abcam has not and does not intend to apply for the REACH Authorisation of customers' uses of products that contain European Authorisation list (Annex XIV) substances.
It is the responsibility of our customers to check the necessity of application of REACH Authorisation, and any other relevant authorisations, for their intended uses.

What's included?

{ "values": { "15mL": { "sellingSize": "15 mL", "publicAssetCode":"ab64258-15mL", "assetComponentDetails": [ { "size":"1 x 15 mL", "name":"Streptavidin Peroxidase", "number":"AB64258-CMP05", "productcode":"" }, { "size":"1 x 15 mL", "name":"AEC Single Solution", "number":"AB64258-CMP01", "productcode":"" }, { "size":"1 x 15 mL", "name":"Biotinylated goat anti-mouse IgG(H+L) (ab64255)", "number":"AB64258-CMP02", "productcode":"" }, { "size":"1 x 15 mL", "name":"Hydrogen Peroxide Block", "number":"AB64258-CMP03", "productcode":"" }, { "size":"1 x 15 mL", "name":"Protein block", "number":"AB64258-CMP04", "productcode":"" } ] } } }

Properties and storage information

Shipped at conditions
Blue Ice
Appropriate short-term storage conditions
+4°C
Appropriate long-term storage conditions
+4°C
Storage information
+4°C

Product protocols

Target data

websiteProtocolBooklet
en

Product promise

We are committed to supporting your work with high-quality reagents, and we're here for you every step of the way. In the unlikely event that one of our products does not perform as expected, you're protected by our Product Promise.
For full details, please see our Terms & Conditions

Please note: All products are 'FOR RESEARCH USE ONLY. NOT FOR USE IN DIAGNOSTIC OR THERAPEUTIC PROCEDURES'.

For licensing inquiries, please contact partnerships@abcam.com