JavaScript is disabled in your browser. Please enable JavaScript to view this website.
AB64260

Rabbit specific HRP/AEC Detection IHC Kit

Be the first to review this product! Submit a review

|

(2 Publications)

Rabbit specific HRP/AEC IHC Detection Kit ab64260 is a complete kit to detect a primary antibody raised in rabbit, using HRP-labeled-streptavidin and a biotinylated anti-rabbit secondary antibody.
1 Images
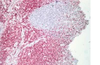
Immunohistochemistry (Formalin/PFA-fixed paraffin-embedded sections) - Rabbit specific HRP/AEC Detection IHC Kit (AB64260)
  • IHC-P

Supplier Data

Immunohistochemistry (Formalin/PFA-fixed paraffin-embedded sections) - Rabbit specific HRP/AEC Detection IHC Kit (AB64260)

Human tonsil stained with anti-CD3 antibody using Anti Rabbit HRP/AEC Detection Kit (ab64260)

Key facts

Reactivity data

{ "title": "Reactivity Data", "filters": { "stats": ["", "Reactivity", "Dilution Info", "Notes"] }, "values": { "IHC-P": { "reactivity":"TESTED_AND_REACTS", "dilution-info":"", "notes":"<p></p>" } } }

Product details

Rabbit specific HRP/AEC IHC Detection Kit ab64260 is a complete kit to detect a primary antibody raised in rabbit, using HRP-labeled-streptavidin and a biotinylated anti-rabbit secondary antibody.

It is supplied with a full protocol and with peroxidase and protein blocking reagents, biotinylated secondary antibody, streptavidin-HRP, and AEC substrate.

In the method:
- a sample is incubated with an unconjugated primary antibody specific to the target antigen
- a biotinylated secondary antibody then binds to the primary antibody
- HRP-labeled streptavidin then binds to the secondary antibody
- the HRP produces a colored substance at the site of primary antibody binding by reacting with AEC.

For alternative AEC streptavidin-biotin IHC detection kits see:
- anti-Mouse / anti-Rabbit HRP-AEC IHC kit ab93705
- Anti-Mouse HRP-AEC IHC Kit ab64258

For high sensitivity AEC HRP micro-polymer IHC detection kits see:
- Anti-Mouse / anti-Rabbit HRP-AEC Micro-polymer IHC Kit ab236467
- Anti-Rabbit HRP-AEC Micro-polymer IHC Kit ab236468

Alternatively, see HRP-DAB IHC detection kits.

Find more kits and reagents for antigen retrieval, blocking, signal amplification, visualization, counterstaining, and mounting in the IHC kits and reagents guide.

What's included?

{ "values": { "15mL": { "sellingSize": "15 mL", "publicAssetCode":"ab64260-15mL", "assetComponentDetails": [ { "size":"1 x 15 mL", "name":"Streptavidin Peroxidase", "number":"AB64260-CMP05", "productcode":"" }, { "size":"1 x 15 mL", "name":"AEC Single Solution", "number":"AB64260-CMP01", "productcode":"" }, { "size":"1 x 15 mL", "name":"Hydrogen Peroxide Block", "number":"AB64260-CMP03", "productcode":"" }, { "size":"1 x 15 mL", "name":"Protein block", "number":"AB64260-CMP04", "productcode":"" }, { "size":"1 x 15 mL", "name":"Biotinylated goat anti-rabbit IgG(H+L)", "number":"AB64260-CMP02", "productcode":"" } ] } } }

Properties and storage information

Shipped at conditions
Blue Ice
Appropriate short-term storage conditions
+4°C
Appropriate long-term storage conditions
+4°C
Storage information
+4°C

Product protocols

Target data

Publications (2)

Recent publications for all applications. Explore the full list and refine your search

Proceedings of SPIE--the International Society for Optical Engineering 12039: PubMed37817877

2022

Integrating image analysis with single cell RNA-seq data to study podocyte-specific changes in diabetic kidney disease.

Applications

Unspecified application

Species

Unspecified reactive species

Darshana Govind,Saber Meamardoost,Rabi Yacoub,Rudiyanto Gunawan,John E Tomaszewski,Pinaki Sarder

PloS one 12:e0181507 PubMed28746417

2017

Immunological and inflammatory mapping of vascularized composite allograft rejection processes in a rat model.

Applications

IHC-P

Species

Rat

Or Friedman,Narin Carmel,Meirav Sela,Ameen Abu Jabal,Amir Inbal,Moshe Ben Hamou,Yakov Krelin,Eyal Gur,Nir Shani
View all publications
websiteProtocolBooklet
en

Product promise

We are committed to supporting your work with high-quality reagents, and we're here for you every step of the way. In the unlikely event that one of our products does not perform as expected, you're protected by our Product Promise.
For full details, please see our Terms & Conditions

Please note: All products are 'FOR RESEARCH USE ONLY. NOT FOR USE IN DIAGNOSTIC OR THERAPEUTIC PROCEDURES'.

For licensing inquiries, please contact partnerships@abcam.com