JavaScript is disabled in your browser. Please enable JavaScript to view this website.
AB236468

Rabbit specific HRP/AEC IHC Detection Kit - Micro-polymer

Be the first to review this product! Submit a review

|

(7 Publications)

Rabbit specific HRP/AEC IHC Detection Kit - Micro-polymer (ab236468) is used to detect rabbit primary antibodies in immunohistochemistry (IHC). Ideal for studying tissue rich in endogenous biotin e.g. kidney or brain tissue, as ab236468 is a biotin-free immune-enzymatic antigen detection system.

- Smaller detection complex is formed aiding in better tissue penetration
- All reagents are ready-to-use as supplied.
1 Images
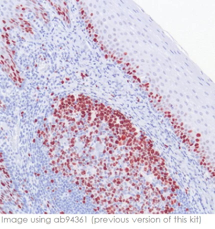
Immunohistochemistry (Formalin/PFA-fixed paraffin-embedded sections) - Rabbit specific HRP/AEC IHC Detection Kit - Micro-polymer (AB236468)
  • IHC-P

Unknown

Immunohistochemistry (Formalin/PFA-fixed paraffin-embedded sections) - Rabbit specific HRP/AEC IHC Detection Kit - Micro-polymer (AB236468)

Immunohistochemistry (Formalin/PFA-fixed paraffin-embedded sections).

Immunohistochemical analysis of Human Tonsil tissue labeling Ki-67 using the ab94361 anti-EXPOSE Rabbit specific HRP-AEC detection IHC kit (this kit is identical to ab94361, except that it uses the HRP micro-polymer secondary antibody used by Abcam's R&D team for antibody validation in IHC).

Key facts

Detection method

Colorimetric

Assay type

Micro-Polymer

Reactivity data

{ "title": "Reactivity Data", "filters": { "stats": ["", "Reactivity", "Dilution Info", "Notes"] }, "values": { "IHC-P": { "reactivity":"TESTED_AND_REACTS", "dilution-info":"", "notes":"<p></p>" } } }

Product details

This IHC detection kit is used to detect rabbit primary antibodies in immunohistochemistry (IHC). It uses an HRP micro-polymer secondary antibody for highly sensitive detection.

HRP micro-polymer methods are more sensitive than the traditional streptavidin-biotin method, and they do not require a blocking step for endogenous biotin.

The kit includes ready-to-use hydrogen peroxide blocking reagent, protein blocking reagent, HRP micro-polymer conjugated goat anti-rabbit secondary antibody, and AEC chromogen.

For alternative kits, see Anti-Mouse / anti-Rabbit HRP-AEC Micro-polymer IHC Kit ab236467, and HRP-DAB micro-polymer IHC kits.

Find more kits and reagents for antigen retrieval, blocking, signal amplification, visualization, counterstaining, and mounting in the IHC kits and reagents guide.

REACH authorisation
Abcam has not and does not intend to apply for the REACH Authorisation of customers' uses of products that contain European Authorisation list (Annex XIV) substances.
It is the responsibility of our customers to check the necessity of application of REACH Authorisation, and any other relevant authorisations, for their intended uses.

What's included?

{ "values": { "15mL": { "sellingSize": "15 mL", "publicAssetCode":"ab236468-15mL", "assetComponentDetails": [ { "size":"1 x 15 mL", "name":"Goat anti-rabbit HRP Conjugate", "number":"AB236468-CMP02", "productcode":"" }, { "size":"1 x 15 mL", "name":"AEC Single Solution", "number":"AB236468-CMP01", "productcode":"" }, { "size":"1 x 15 mL", "name":"Protein block", "number":"AB236468-CMP04", "productcode":"" }, { "size":"1 x 15 mL", "name":"Hydrogen Peroxide Block", "number":"AB236468-CMP03", "productcode":"" } ] } } }

Properties and storage information

Shipped at conditions
Blue Ice
Appropriate short-term storage conditions
+4°C
Appropriate long-term storage conditions
+4°C
Storage information
+4°C

Product protocols

Target data

Publications (7)

Recent publications for all applications. Explore the full list and refine your search

Scientific reports 15:18786 PubMed40442309

2025

A virus based vaccine combined with IL12 gene therapy eradicates aggressive melanoma.

Applications

Unspecified application

Species

Unspecified reactive species

Nuša Brišar,Katja Šuster,Simona Kranjc Brezar,Andrej Cör

ACS nano 19:2944-2960 PubMed39772506

2025

Microemulsion-Inspired Polysaccharide Nanoparticles for an Advanced Targeted Thrombolytic Treatment.

Applications

Unspecified application

Species

Unspecified reactive species

Thibault de La Taille,Pierre Sarfati,Rachida Aid,Louise Fournier,Graciela Pavon-Djavid,Frédéric Chaubet,Cédric Chauvierre

Science translational medicine 14:eabq7019 PubMed36417489

2022

Tumor-intrinsic NLRP3-HSP70-TLR4 axis drives premetastatic niche development and hyperprogression during anti-PD-1 immunotherapy.

Applications

Unspecified application

Species

Unspecified reactive species

Balamayooran Theivanthiran,Nagendra Yarla,Tarek Haykal,Y-Van Nguyen,Linda Cao,Michelle Ferreira,Alisha Holtzhausen,Rami Al-Rohil,April K S Salama,Georgia M Beasley,Michael P Plebanek,Nicholas C DeVito,Brent A Hanks

International journal of molecular sciences 23: PubMed36233310

2022

A Short Promoter Region Containing Conserved Regulatory Motifs Is Required for Steroidogenic Acute Regulatory Protein () Gene Expression in the Mouse Testis.

Applications

Unspecified application

Species

Unspecified reactive species

Marie France Bouchard,Julia Picard,Jacques J Tremblay,Robert S Viger

Frontiers in immunology 13:974912 PubMed36131926

2022

Tumor cell-based vaccine contributes to local tumor irradiation by eliciting a tumor model-dependent systemic immune response.

Applications

Unspecified application

Species

Unspecified reactive species

Tinkara Remic,Gregor Sersa,Kristina Levpuscek,Ursa Lampreht Tratar,Katja Ursic Valentinuzzi,Andrej Cör,Urska Kamensek

Vaccines 8: PubMed32204304

2020

Intratumoral Gene Electrotransfer of Plasmid DNA Encoding shRNA against Melanoma Cell Adhesion Molecule Radiosensitizes Tumors by Antivascular Effects and Activation of an Immune Response.

Applications

Unspecified application

Species

Unspecified reactive species

Simona Kranjc Brezar,Valter Mrak,Masa Bosnjak,Monika Savarin,Gregor Sersa,Maja Cemazar

Vaccines 8: PubMed32121641

2020

Development of Tumor Cell-Based Vaccine with IL-12 Gene Electrotransfer as Adjuvant.

Applications

Unspecified application

Species

Unspecified reactive species

Tinkara Remic,Gregor Sersa,Katja Ursic,Maja Cemazar,Urska Kamensek
View all publications
websiteProtocolBooklet
en

Product promise

We are committed to supporting your work with high-quality reagents, and we're here for you every step of the way. In the unlikely event that one of our products does not perform as expected, you're protected by our Product Promise.
For full details, please see our Terms & Conditions

Please note: All products are 'FOR RESEARCH USE ONLY. NOT FOR USE IN DIAGNOSTIC OR THERAPEUTIC PROCEDURES'.

For licensing inquiries, please contact partnerships@abcam.com