JavaScript is disabled in your browser. Please enable JavaScript to view this website.
AB209101

Rabbit specific IHC polymer detection kit HRP/DAB

Be the first to review this product! Submit a review

|

(27 Publications)

Rabbit specific IHC polymer detection kit HRP/DAB (ab209101) is a sensitive immunoenzymatic system for detecting antibodies bound to antigens in IHC.

- Signal amplification is achieved using an indirect polymer detection system and does not use avidin or biotin.
- Cited in over 20 publications
41 Images
Immunohistochemistry (Formalin/PFA-fixed paraffin-embedded sections) - Rabbit specific IHC polymer detection kit HRP/DAB (AB209101)
  • IHC-P

Supplier Data

Immunohistochemistry (Formalin/PFA-fixed paraffin-embedded sections) - Rabbit specific IHC polymer detection kit HRP/DAB (AB209101)

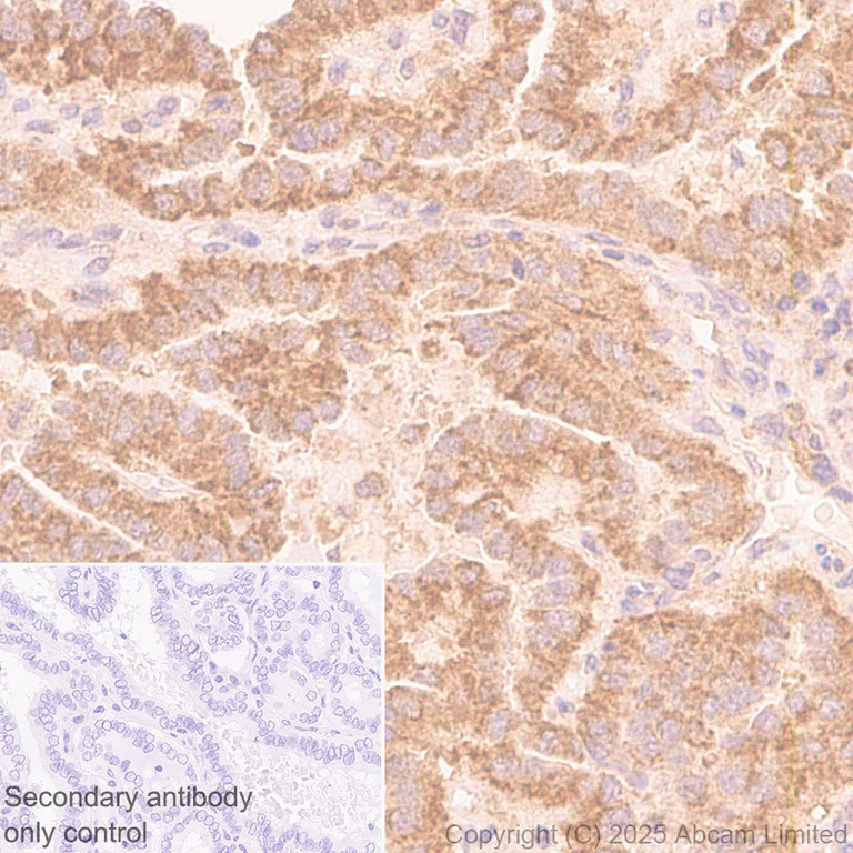
Immunohistochemical analysis of paraffin-embedded Human cervical squamous carcinoma tissue labeling ING4 with ab323509 at 1/50 (10.26 ug/ml) dilution, followed by a ready to use Rabbit specific IHC polymer detection kit HRP/DAB (ab209101).

Positive staining in human cervical squamous carcinoma.
The section was incubated with ab323509 for 30 mins at room temperature.
The immunostaining was performed on a Leica Biosystems BOND® RX instrument

Counterstained with Hematoxylin.

Secondary antibody only control : Secondary antibody is a ready to use Rabbit specific IHC polymer detection kit HRP/DAB (ab209101).

Heat mediated antigen retrieval was performed using ab93684 (Tris/EDTA buffer, pH 9.0)

Immunohistochemistry (Formalin/PFA-fixed paraffin-embedded sections) - Rabbit specific IHC polymer detection kit HRP/DAB (AB209101)
  • IHC-P

Supplier Data

Immunohistochemistry (Formalin/PFA-fixed paraffin-embedded sections) - Rabbit specific IHC polymer detection kit HRP/DAB (AB209101)

Immunohistochemical analysis of paraffin-embedded Human skeletal muscle tissue labeling CD2 with ab314761 at 1/100 (5.2 ug/ml) followed by a ready to use Rabbit specific IHC polymer detection kit HRP/DAB (ab209101). Negative control : no staining on human skeletal muscle. The section was incubated with ab314761 for 30 mins at room temperature. The immunostaining was performed on a Leica Biosystems BOND® RX instrument. Counterstained with Hematoxylin.

Secondary antibody only control : Secondary antibody is a ready to use Rabbit specific IHC polymer detection kit HRP/DAB (ab209101).

Heat mediated antigen retrieval was performed with Tris-EDTA buffer (pH 9.0, Epitope Retrieval Solution2) for 20 mins.

Immunohistochemistry (Formalin/PFA-fixed paraffin-embedded sections) - Rabbit specific IHC polymer detection kit HRP/DAB (AB209101)
  • IHC-P

Supplier Data

Immunohistochemistry (Formalin/PFA-fixed paraffin-embedded sections) - Rabbit specific IHC polymer detection kit HRP/DAB (AB209101)

Immunohistochemical analysis of paraffin-embedded (A) HEK-293T (human embryonic kidney epithelial cell) transfected with a TNFRSF14 expression vector containing a Myc-his tag cell pellet; (B) HEK-293T transfected with an empty vector containing a Myc-his tag cell pellet. tissue labeling TNFRSF14/HVEM with ab314494 at 1/1000 (0.525 ug/ml) followed by a ready to use Rabbit specific IHC polymer detection kit HRP/DAB (ab209101). Positive staining on (A) HEK-293T transfected with a TNFRSF14 expression vector containing a Myc-his tag cell pellet; no staining on (B) HEK-293T transfected with an empty vector containing a Myc-his tag cell pellet. The section was incubated with ab314494 for 30 mins at room temperature. The immunostaining was performed on a Leica Biosystems BOND® RX instrument. Counterstained with Hematoxylin. Secondary antibody only control : Secondary antibody is a ready to use Rabbit specific IHC polymer detection kit HRP/DAB (ab209101). Heat mediated antigen retrieval was performed with Tris-EDTA buffer (pH 9.0, Epitope Retrieval Solution2) for 20 mins.

Immunohistochemistry (Formalin/PFA-fixed paraffin-embedded sections) - Rabbit specific IHC polymer detection kit HRP/DAB (AB209101)
  • IHC-P

Supplier Data

Immunohistochemistry (Formalin/PFA-fixed paraffin-embedded sections) - Rabbit specific IHC polymer detection kit HRP/DAB (AB209101)

Immunohistochemical analysis of paraffin-embedded human spleen tissue labeling CHD5 with ab300437 at 1/2000 dilution (0.237 µg/mL) followed by a ready to use Rabbit specific IHC polymer detection kit HRP/DAB (ab209101). Negative control : No staining on human spleen. The section was incubated with ab300437 at 4°C overnight. Counterstained with Hematoxylin. Secondary antibody only control : Secondary antibody is a ready to use Rabbit specific IHC polymer detection kit HRP/DAB (ab209101). Heat mediated antigen retrieval using ab208572 (Universal HIER antigen retrieval reagent)

Immunohistochemistry (Formalin/PFA-fixed paraffin-embedded sections) - Rabbit specific IHC polymer detection kit HRP/DAB (AB209101)
  • IHC-P

Supplier Data

Immunohistochemistry (Formalin/PFA-fixed paraffin-embedded sections) - Rabbit specific IHC polymer detection kit HRP/DAB (AB209101)

Immunohistochemical analysis of paraffin-embedded Panel A HEK-293T cells transfected with a human BRD4-NUT expression vector containing a his tag. Panel B HEK-293T cells transfected with empty vector containing a his tag tissue labeling NUT with ab315460 at 1/5000 (0.103 ug/ml) dilution, followed by a ready to use Rabbit specific IHC polymer detection kit HRP/DAB (ab209101).

Positive staining on (A) HEK-293T transfected with a human BRD4-NUT expression vector, no staining on (B) HEK-293T transfected with empty vector. The section was incubated with ab315460 for 30 mins at room temperature.
The immunostaining was performed on a Leica Biosystems BOND® RX instrument

Counterstained with Hematoxylin.

Secondary antibody only control : Secondary antibody is a ready to use Rabbit specific IHC polymer detection kit HRP/DAB (ab209101).

Heat mediated antigen retrieval was performed with Tris-EDTA buffer (pH 9.0, Epitope Retrieval Solution2) for 20 mins

Immunohistochemistry (Formalin/PFA-fixed paraffin-embedded sections) - Rabbit specific IHC polymer detection kit HRP/DAB (AB209101)
  • IHC-P

Supplier Data

Immunohistochemistry (Formalin/PFA-fixed paraffin-embedded sections) - Rabbit specific IHC polymer detection kit HRP/DAB (AB209101)

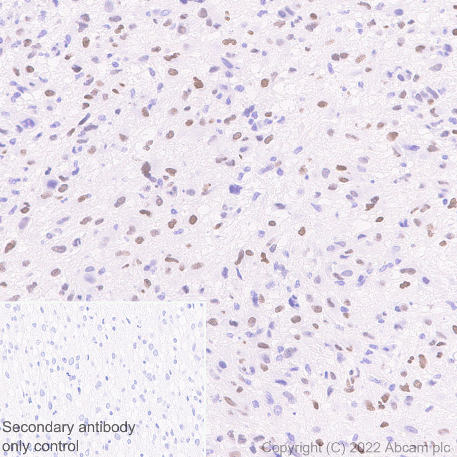
Immunohistochemical analysis of paraffin-embedded Human cerebrum tissue labeling PPAR gamma with ab310323 at 1/200 (2.575 ug/ml) followed by a ready to use Rabbit specific IHC polymer detection kit HRP/DAB (ab209101). Negative control : no staining on human cerebrum. The section was incubated with ab310323 for 30 mins at room temperature.The immunostaining was performed on a Leica Biosystems BOND® RX instrument Counterstained with Hematoxylin. Secondary antibody only control : Secondary antibody is a ready to use Rabbit specific IHC polymer detection kit HRP/DAB (ab209101). Heat mediated antigen retrieval was performed with Tris-EDTA buffer (pH 9.0, Epitope Retrieval Solution2) for 20 mins

Immunohistochemistry - Rabbit specific IHC polymer detection kit HRP/DAB (AB209101)
  • IHC

Supplier Data

Immunohistochemistry - Rabbit specific IHC polymer detection kit HRP/DAB (AB209101)

Immunohistochemical analysis of paraffin-embedded human skeletal muscle tissue labeling MAP1B with ab307286 at 1/1000 (0.496 ug/ml) followed by ready to use Rabbit specific IHC polymer detection kit HRP/DAB (ab209101). Negative control : no staining on human skeletal muscle. The section was incubated with ab307286 for 30 mins at room temperature. The immunostaining was performed on a Leica Biosystems BOND® RX instrument. Counterstained with Hematoxylin. Secondary antibody only control : Secondary antibody is ready to use Rabbit specific IHC polymer detection kit HRP/DAB (ab209101). Heat mediated antigen retrieval was performed with Tris-EDTA buffer (pH 9.0, Epitope Retrieval Solution2) for 20 mins.

Immunohistochemistry (Formalin/PFA-fixed paraffin-embedded sections) - Rabbit specific IHC polymer detection kit HRP/DAB (AB209101)
  • IHC-P

Supplier Data

Immunohistochemistry (Formalin/PFA-fixed paraffin-embedded sections) - Rabbit specific IHC polymer detection kit HRP/DAB (AB209101)

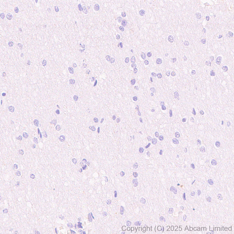
Immunohistochemical analysis of paraffin-embedded Human cerebrum tissue labeling FOXC2 with ab324638 at 1/200 (2.535 ug/ml) dilution, followed by a ready to use Rabbit specific IHC polymer detection kit HRP/DAB (ab209101).

Low expression tissue : no staining on human cerebrum. The primary antibody was incubated for 30 mins at room temperature.
The immunostaining was performed on a Leica Biosystems BOND® RX instrument

Counterstained with Hematoxylin.

Secondary antibody only control : Secondary antibody is a ready to use Rabbit specific IHC polymer detection kit HRP/DAB (ab209101).

Heat mediated antigen retrieval was performed with Tris-EDTA buffer (pH 9.0, Epitope Retrieval Solution2) for 20 mins

Immunohistochemistry (Formalin/PFA-fixed paraffin-embedded sections) - Rabbit specific IHC polymer detection kit HRP/DAB (AB209101)
  • IHC-P

Lab

Immunohistochemistry (Formalin/PFA-fixed paraffin-embedded sections) - Rabbit specific IHC polymer detection kit HRP/DAB (AB209101)

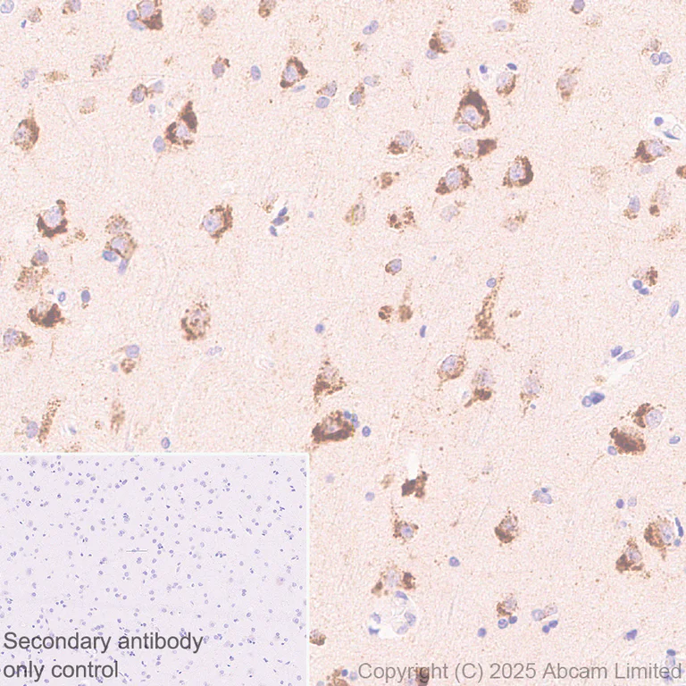
Immunohistochemical analysis of paraffin-embedded Human Parkinson's disease brain tissue labeling ATP13A2 with ab322735 at 1/100 (5.24 µg/ml) dilution, followed by a ready to use Rabbit specific IHC polymer detection kit HRP/DAB (ab209101).

Positive staining on human Parkinson's disease brain. The primary antibody was incubated for 30 mins at room temperature.

The immunostaining was performed on a Leica Biosystems BOND® RX instrument

Counterstained with Hematoxylin.

Secondary antibody only control : Secondary antibody is a ready to use Rabbit specific IHC polymer detection kit HRP/DAB (ab209101).

Heat mediated antigen retrieval was performed with Tris-EDTA buffer (pH 9.0, Epitope Retrieval Solution2) for 20 mins

Immunohistochemistry (Formalin/PFA-fixed paraffin-embedded sections) - Rabbit specific IHC polymer detection kit HRP/DAB (AB209101)
  • IHC-P

Lab

Immunohistochemistry (Formalin/PFA-fixed paraffin-embedded sections) - Rabbit specific IHC polymer detection kit HRP/DAB (AB209101)

Immunohistochemical analysis of paraffin-embedded Human testis tissue labeling TM6SF2 with ab325553 at 1/200 (2.47 µg/ml) dilution, followed by a ready to use Rabbit specific IHC polymer detection kit HRP/DAB (ab209101).

Low expression tissue : no staining on human testis (PMID : 24531328). The primary antibody was incubated for 30 mins at room temperature.

The immunostaining was performed on a Leica Biosystems BOND® RX instrument

Counterstained with Hematoxylin.

Secondary antibody only control : Secondary antibody is a ready to use Rabbit specific IHC polymer detection kit HRP/DAB (ab209101).

Heat mediated antigen retrieval was performed with Tris-EDTA buffer (pH 9.0, Epitope Retrieval Solution2) for 20 mins

Immunohistochemistry (Formalin/PFA-fixed paraffin-embedded sections) - Rabbit specific IHC polymer detection kit HRP/DAB (AB209101)
  • IHC-P

Supplier Data

Immunohistochemistry (Formalin/PFA-fixed paraffin-embedded sections) - Rabbit specific IHC polymer detection kit HRP/DAB (AB209101)

Immunohistochemical analysis of paraffin-embedded Human cerebrum tissue labeling Tau (phospho T212 + S214) with ab324015 at 1/1000 (0.515 ug/ml) dilution, followed by a ready to use Rabbit specific IHC polymer detection kit HRP/DAB (ab209101).

Low expression tissue : No staining on human cerebrum.
The primary antibody was incubated for 30 mins at room temperature.
The immunostaining was performed on a Leica Biosystems BOND® RX instrument

Counterstained with Hematoxylin.

Secondary antibody only control : Secondary antibody is a ready to use Rabbit specific IHC polymer detection kit HRP/DAB (ab209101).

Heat mediated antigen retrieval was performed with Tris-EDTA buffer (pH 9.0, Epitope Retrieval Solution2) for 20 mins

Immunohistochemistry (Formalin/PFA-fixed paraffin-embedded sections) - Rabbit specific IHC polymer detection kit HRP/DAB (AB209101)
  • IHC-P

Supplier Data

Immunohistochemistry (Formalin/PFA-fixed paraffin-embedded sections) - Rabbit specific IHC polymer detection kit HRP/DAB (AB209101)

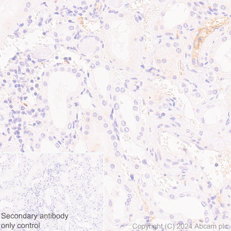
Immunohistochemical analysis of paraffin-embedded Human kidney tissue labeling Butyrylcholinesterase with ab317016 at 1/500 (1.014 ug/ml) dilution, followed by a ready to use Rabbit specific IHC polymer detection kit HRP/DAB (ab209101).

Low expression tissue : weak staining on human kidney. The section was incubated with ab317016 for 30 mins at room temperature.
The immunostaining was performed on a Leica Biosystems BOND® RX instrument

Counterstained with Hematoxylin.

Secondary antibody only control : Secondary antibody is a ready to use Rabbit specific IHC polymer detection kit HRP/DAB (ab209101).

Heat mediated antigen retrieval was performed with Tris-EDTA buffer (pH 9.0, Epitope Retrieval Solution2) for 20 mins

Immunohistochemistry (Formalin/PFA-fixed paraffin-embedded sections) - Rabbit specific IHC polymer detection kit HRP/DAB (AB209101)
  • IHC-P

Lab

Immunohistochemistry (Formalin/PFA-fixed paraffin-embedded sections) - Rabbit specific IHC polymer detection kit HRP/DAB (AB209101)

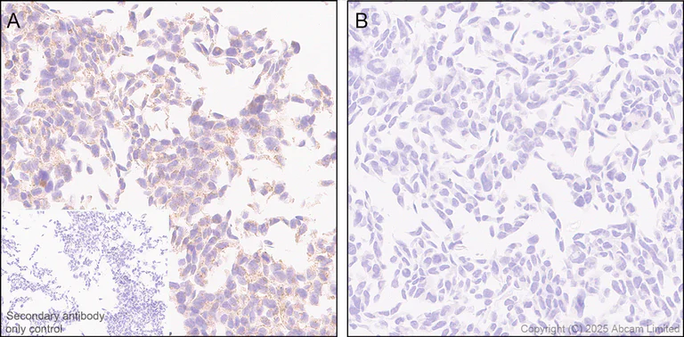
Immunohistochemistry analysis of paraffin-embedded Human colon cancer tissue sections labelling B MyB (phospho T487) with ab76009 at 1/8000 dilution. The section was incubated with ab76009 for 30 mins at room temperature. Rabbit specific IHC polymer detection kit HRP/DAB (ab209101) was used as the secondary antibody. Sections were counterstained with Hematoxylin. Heat mediated antigen retrieval with Tris-EDTA buffer (pH 9.0, epitope retrieval solution 2) for 20 mins. Nuclear staining on Human colon cancer tissue without alkaline phosphatase treatment (Image A); No signal was detected when tissues were treated with alkaline phosphatase (Image B). The immunostaining was performed on a Leica Biosystems BOND® RX instrument.

Immunohistochemistry (Formalin/PFA-fixed paraffin-embedded sections) - Rabbit specific IHC polymer detection kit HRP/DAB (AB209101)
  • IHC-P

Supplier Data

Immunohistochemistry (Formalin/PFA-fixed paraffin-embedded sections) - Rabbit specific IHC polymer detection kit HRP/DAB (AB209101)

Immunohistochemical analysis of paraffin-embedded Human kidney tissue labeling TIGIT with ab324237 at 1/100 (5.12 ug/ml) dilution, followed by a ready to use Rabbit specific IHC polymer detection kit HRP/DAB (ab209101).

Negative control : no staining on human kidney. The primary antibody was incubated for 30 mins at room temperature.
The immunostaining was performed on a Leica Biosystems BOND® RX instrument

Counterstained with Hematoxylin.

Secondary antibody only control : Secondary antibody is a ready to use Rabbit specific IHC polymer detection kit HRP/DAB (ab209101).

Heat mediated antigen retrieval was performed with Tris-EDTA buffer (pH 9.0, Epitope Retrieval Solution2) for 20 mins

Immunohistochemistry (Formalin/PFA-fixed paraffin-embedded sections) - Rabbit specific IHC polymer detection kit HRP/DAB (AB209101)
  • IHC-P

Supplier Data

Immunohistochemistry (Formalin/PFA-fixed paraffin-embedded sections) - Rabbit specific IHC polymer detection kit HRP/DAB (AB209101)

Immunohistochemical analysis of paraffin-embedded human cerebrum tissue labeling GFAP (phospho S13) with ab303560 at 1/500 dilution (1.016 µg/mL), followed by a ready to use Rabbit specific IHC polymer detection kit HRP/DAB (ab209101). Positive staining was observed on astrocyte in human cerebrum without alkaline phosphatase treatment (image A, PMID : 22528834). No signal was detected when tissues were treated with alkaline phosphatase (image B). The section was incubated with ab303560 for 30 mins at room temperature. The immunostaining was performed on a Leica Biosystems BOND® RX instrument. Counterstained with Hematoxylin. Secondary antibody only control : Secondary antibody is ready to use Rabbit specific IHC polymer detection kit HRP/DAB (ab209101) at Ready to use dilution. Heat mediated antigen retrieval with Tris-EDTA buffer (pH 9.0, epitope retrieval solution 2) for 20 mins was used.

Immunohistochemistry (Formalin/PFA-fixed paraffin-embedded sections) - Rabbit specific IHC polymer detection kit HRP/DAB (AB209101)
  • IHC-P

Supplier Data

Immunohistochemistry (Formalin/PFA-fixed paraffin-embedded sections) - Rabbit specific IHC polymer detection kit HRP/DAB (AB209101)

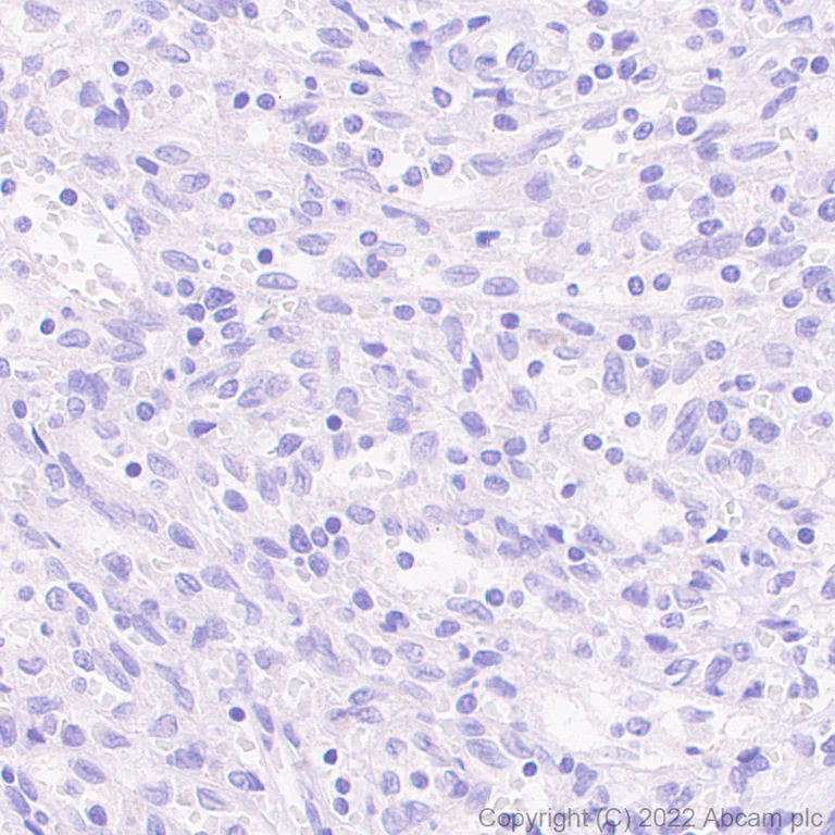
Immunohistochemical analysis of paraffin-embedded Human skeletal muscle tissue labeling ING4 with ab323509 at 1/50 (10.26 ug/ml) dilution, followed by a ready to use Rabbit specific IHC polymer detection kit HRP/DAB (ab209101).

Low expression : No staining in human skeletal muscle.
The section was incubated with ab323509 for 30 mins at room temperature.
The immunostaining was performed on a Leica Biosystems BOND® RX instrument

Counterstained with Hematoxylin.

Secondary antibody only control : Secondary antibody is a ready to use Rabbit specific IHC polymer detection kit HRP/DAB (ab209101).

Heat mediated antigen retrieval was performed using ab93684 (Tris/EDTA buffer, pH 9.0)

Immunohistochemistry (Formalin/PFA-fixed paraffin-embedded sections) - Rabbit specific IHC polymer detection kit HRP/DAB (AB209101)
  • IHC-P

Supplier Data

Immunohistochemistry (Formalin/PFA-fixed paraffin-embedded sections) - Rabbit specific IHC polymer detection kit HRP/DAB (AB209101)

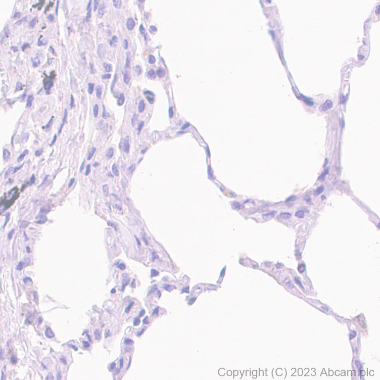
Immunohistochemical analysis of paraffin-embedded human lung tissue labeling CFHR4 with ab314305 at 1/500 (1.038 ug/ml) followed by a ready to use Rabbit specific IHC polymer detection kit HRP/DAB (ab209101). Low expression tissue : No staining on human lung. The section was incubated with ab314305 for 30 mins at room temperature. The immunostaining was performed on a Leica Biosystems BOND® RX instrument. Counterstained with Hematoxylin. Secondary antibody only control : Secondary antibody is a ready to use Rabbit specific IHC polymer detection kit HRP/DAB (ab209101). Heat mediated antigen retrieval was performed with Tris-EDTA buffer (pH 9.0, Epitope Retrieval Solution2) for 20 mins.

Immunohistochemistry (Formalin/PFA-fixed paraffin-embedded sections) - Rabbit specific IHC polymer detection kit HRP/DAB (AB209101)
  • IHC-P

Lab

Immunohistochemistry (Formalin/PFA-fixed paraffin-embedded sections) - Rabbit specific IHC polymer detection kit HRP/DAB (AB209101)

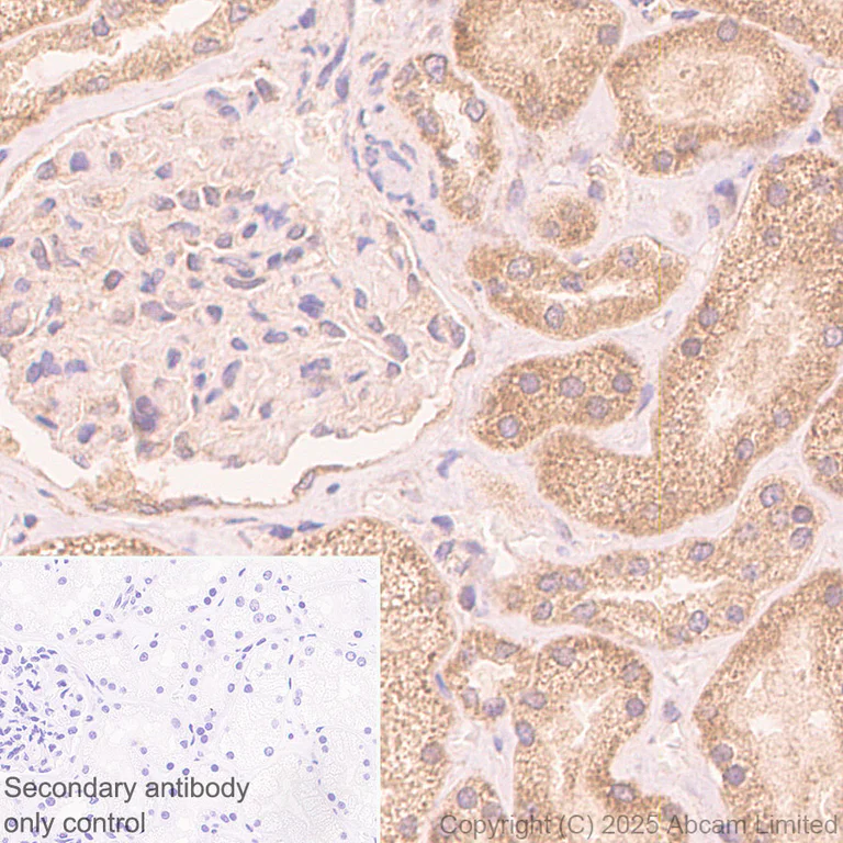
Immunohistochemical analysis of paraffin-embedded Human kidney tissue labeling FIG4 with ab325342 at 1/100 (4.7 μg/ml) dilution, followed by a ready to use Rabbit specific IHC polymer detection kit HRP/DAB (ab209101).

Positive staining on human kidney.

The primary antibody was incubated for 30 mins at room temperature.

The immunostaining was performed on a Leica Biosystems BOND® RX instrument

Counterstained with Hematoxylin.

Secondary antibody only control : Secondary antibody is a ready to use Rabbit specific IHC polymer detection kit HRP/DAB (ab209101).

Heat mediated antigen retrieval was performed with Tris-EDTA buffer (pH 9.0, Epitope Retrieval Solution2) for 20 mins

Immunohistochemistry (Formalin/PFA-fixed paraffin-embedded sections) - Rabbit specific IHC polymer detection kit HRP/DAB (AB209101)
  • IHC-P

Lab

Immunohistochemistry (Formalin/PFA-fixed paraffin-embedded sections) - Rabbit specific IHC polymer detection kit HRP/DAB (AB209101)

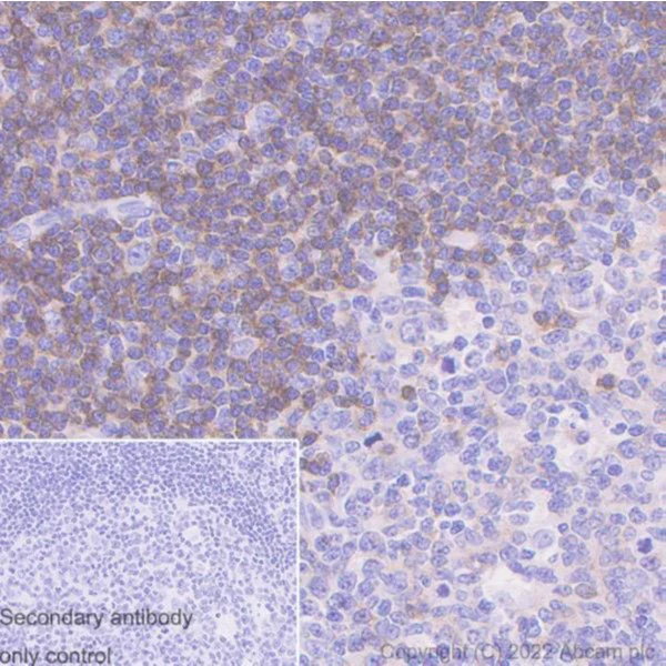
Immunohistochemical analysis of paraffin-embedded Human spleen tissue labeling CD18 with ab325521 at 1/100 (5.02 μg/ml) dilution, followed by a ready to use Rabbit specific IHC polymer detection kit HRP/DAB (ab209101).

Positive staining on human spleen.

The primary antibody was incubated for 30 mins at room temperature.

The immunostaining was performed on a Leica Biosystems BOND® RX instrument

Counterstained with Hematoxylin.

Secondary antibody only control : Secondary antibody is a ready to use Rabbit specific IHC polymer detection kit HRP/DAB (ab209101).

Heat mediated antigen retrieval was performed with Tris-EDTA buffer (pH 9.0, Epitope Retrieval Solution2) for 20 mins

Immunohistochemistry (Formalin/PFA-fixed paraffin-embedded sections) - Rabbit specific IHC polymer detection kit HRP/DAB (AB209101)
  • IHC-P

Lab

Immunohistochemistry (Formalin/PFA-fixed paraffin-embedded sections) - Rabbit specific IHC polymer detection kit HRP/DAB (AB209101)

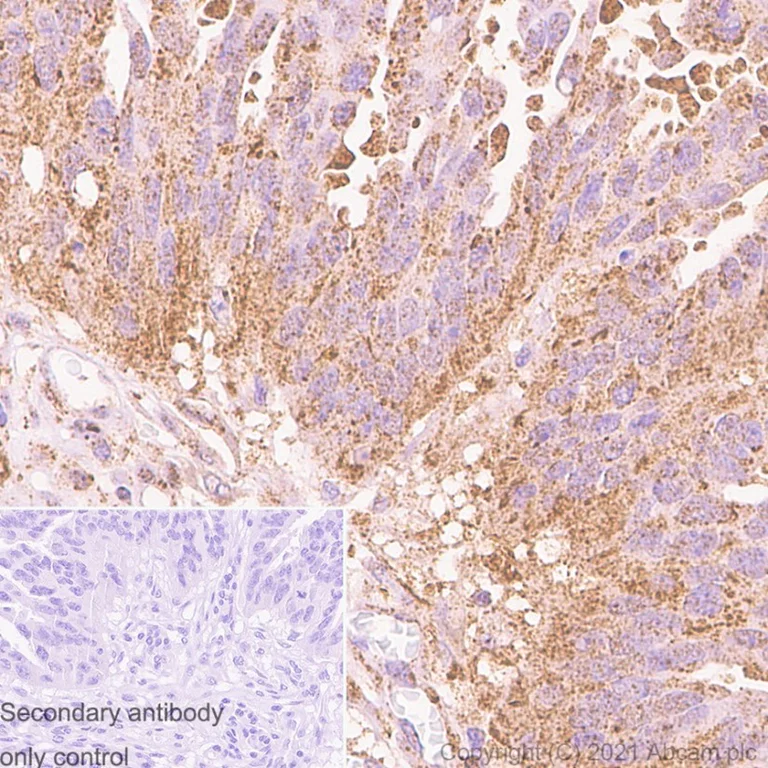
Immunohistochemical analysis of paraffin-embedded Human cerebrum tissue labeling FIG4 with ab325342 at 1/100 (4.7 μg/ml) dilution, followed by a ready to use Rabbit specific IHC polymer detection kit HRP/DAB (ab209101).

Positive staining on human cerebrum.

The primary antibody was incubated for 30 mins at room temperature.

The immunostaining was performed on a Leica Biosystems BOND® RX instrument

Counterstained with Hematoxylin.

Secondary antibody only control : Secondary antibody is a ready to use Rabbit specific IHC polymer detection kit HRP/DAB (ab209101).

Heat mediated antigen retrieval was performed with Tris-EDTA buffer (pH 9.0, Epitope Retrieval Solution2) for 20 mins

Immunohistochemistry (Formalin/PFA-fixed paraffin-embedded sections) - Rabbit specific IHC polymer detection kit HRP/DAB (AB209101)
  • IHC-P

Lab

Immunohistochemistry (Formalin/PFA-fixed paraffin-embedded sections) - Rabbit specific IHC polymer detection kit HRP/DAB (AB209101)

Immunohistochemical analysis of paraffin-embedded Human cerebrum tissue labeling ATP13A2 with ab322735 at 1/100 (5.24 µg/ml) dilution, followed by a ready to use Rabbit specific IHC polymer detection kit HRP/DAB (ab209101).

Positive staining on human cerebrum. The primary antibody was incubated for 30 mins at room temperature.

The immunostaining was performed on a Leica Biosystems BOND® RX instrument

Counterstained with Hematoxylin.

Secondary antibody only control : Secondary antibody is a ready to use Rabbit specific IHC polymer detection kit HRP/DAB (ab209101).

Heat mediated antigen retrieval was performed with Tris-EDTA buffer (pH 9.0, Epitope Retrieval Solution2) for 20 mins

Immunohistochemistry (Formalin/PFA-fixed paraffin-embedded sections) - Rabbit specific IHC polymer detection kit HRP/DAB (AB209101)
  • IHC-P

Lab

Immunohistochemistry (Formalin/PFA-fixed paraffin-embedded sections) - Rabbit specific IHC polymer detection kit HRP/DAB (AB209101)

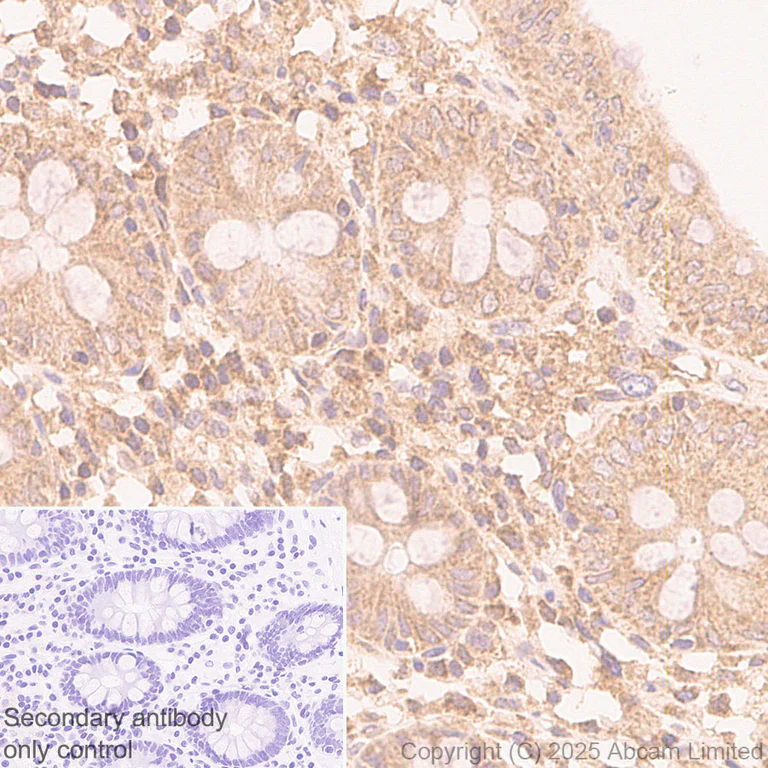
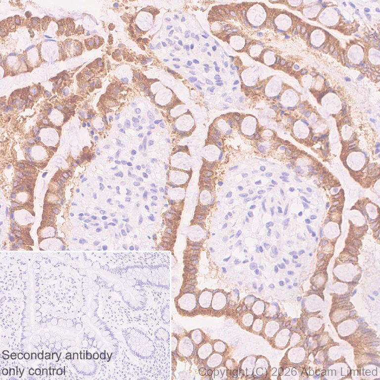
Immunohistochemical analysis of paraffin-embedded Human ileum tissue labeling TM6SF2 with ab325553 at 1/200 (2.47 µg/ml) dilution, followed by a ready to use Rabbit specific IHC polymer detection kit HRP/DAB (ab209101).

Positive staining on human ileum. The primary antibody was incubated for 30 mins at room temperature.

The immunostaining was performed on a Leica Biosystems BOND® RX instrument

Counterstained with Hematoxylin.

Secondary antibody only control : Secondary antibody is a ready to use Rabbit specific IHC polymer detection kit HRP/DAB (ab209101).

Heat mediated antigen retrieval was performed with Tris-EDTA buffer (pH 9.0, Epitope Retrieval Solution2) for 20 mins

Immunohistochemistry (Formalin/PFA-fixed paraffin-embedded sections) - Rabbit specific IHC polymer detection kit HRP/DAB (AB209101)
  • IHC-P

Lab

Immunohistochemistry (Formalin/PFA-fixed paraffin-embedded sections) - Rabbit specific IHC polymer detection kit HRP/DAB (AB209101)

Immunohistochemical analysis of paraffin-embedded Human colon tissue labeling FIG4 with ab325342 at 1/100 (4.7 μg/ml) dilution, followed by a ready to use Rabbit specific IHC polymer detection kit HRP/DAB (ab209101).

Positive staining on human colon.

The primary antibody was incubated for 30 mins at room temperature.

The immunostaining was performed on a Leica Biosystems BOND® RX instrument

Counterstained with Hematoxylin.

Secondary antibody only control : Secondary antibody is a ready to use Rabbit specific IHC polymer detection kit HRP/DAB (ab209101).

Heat mediated antigen retrieval was performed with Tris-EDTA buffer (pH 9.0, Epitope Retrieval Solution2) for 20 mins

Immunohistochemistry (Formalin/PFA-fixed paraffin-embedded sections) - Rabbit specific IHC polymer detection kit HRP/DAB (AB209101)
  • IHC-P

Lab

Immunohistochemistry (Formalin/PFA-fixed paraffin-embedded sections) - Rabbit specific IHC polymer detection kit HRP/DAB (AB209101)

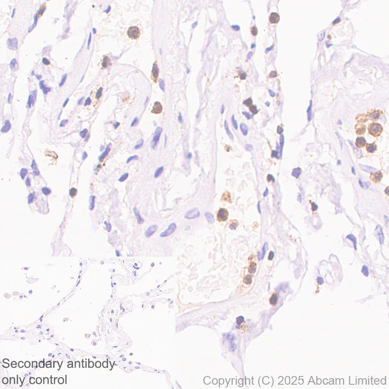
Immunohistochemical analysis of paraffin-embedded Human lung tissue labeling CD18 with ab325521 at 1/100 (5.02 μg/ml) dilution, followed by a ready to use Rabbit specific IHC polymer detection kit HRP/DAB (ab209101).

Positive staining on immune cells of human lung.

The primary antibody was incubated for 30 mins at room temperature.

The immunostaining was performed on a Leica Biosystems BOND® RX instrument

Counterstained with Hematoxylin.

Secondary antibody only control : Secondary antibody is a ready to use Rabbit specific IHC polymer detection kit HRP/DAB (ab209101).

Heat mediated antigen retrieval was performed with Tris-EDTA buffer (pH 9.0, Epitope Retrieval Solution2) for 20 mins

Immunohistochemistry (Formalin/PFA-fixed paraffin-embedded sections) - Rabbit specific IHC polymer detection kit HRP/DAB (AB209101)
  • IHC-P

Lab

Immunohistochemistry (Formalin/PFA-fixed paraffin-embedded sections) - Rabbit specific IHC polymer detection kit HRP/DAB (AB209101)

Immunohistochemical analysis of paraffin-embedded Human liver carcinoma tissue labeling TM6SF2 with ab325553 at 1/200 (2.47 µg/ml) dilution, followed by a ready to use Rabbit specific IHC polymer detection kit HRP/DAB (ab209101).

Positive staining on human liver carcinoma. The primary antibody was incubated for 30 mins at room temperature.

The immunostaining was performed on a Leica Biosystems BOND® RX instrument

Counterstained with Hematoxylin.

Secondary antibody only control : Secondary antibody is a ready to use Rabbit specific IHC polymer detection kit HRP/DAB (ab209101).

Heat mediated antigen retrieval was performed with Tris-EDTA buffer (pH 9.0, Epitope Retrieval Solution2) for 20 mins

Immunohistochemistry (Formalin/PFA-fixed paraffin-embedded sections) - Rabbit specific IHC polymer detection kit HRP/DAB (AB209101)
  • IHC-P

Lab

Immunohistochemistry (Formalin/PFA-fixed paraffin-embedded sections) - Rabbit specific IHC polymer detection kit HRP/DAB (AB209101)

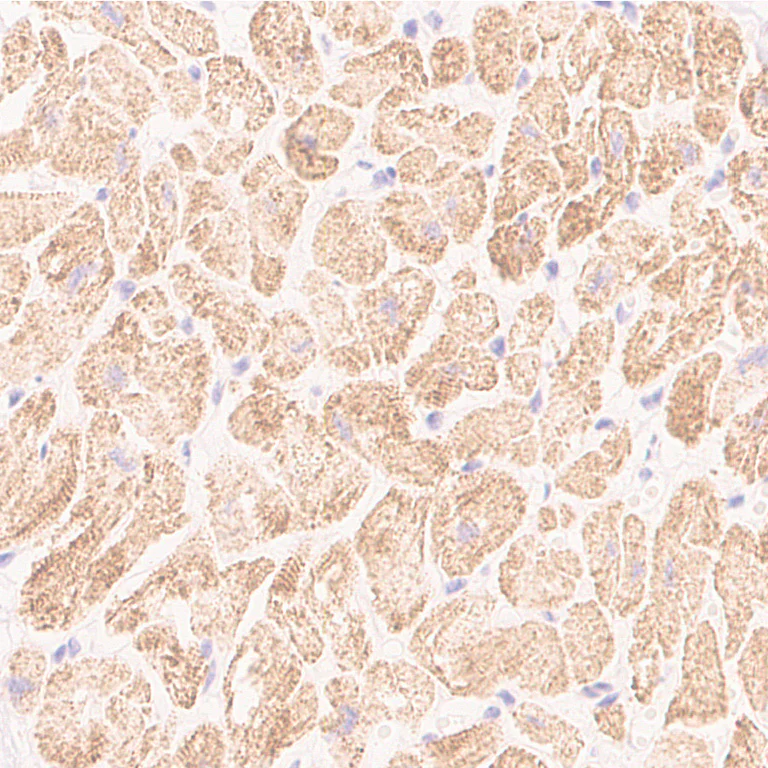
Immunohistochemical analysis of paraffin-embedded Human cardiac muscle tissue labeling Sarcomeric Alpha Actinin with ab68168 at 1/2000 dilution, followed by a ready to use Rabbit specific IHC polymer detection kit HRP/DAB (ab209101).

Positive staining on human cardiac muscle.
The primary antibody was incubated for 30 mins at room temperature.

Counterstained with Hematoxylin.

Heat mediated antigen retrieval was performed with Tris-EDTA buffer (pH 9.0, Epitope Retrieval Solution2) for 20 mins.

Immunohistochemistry (Formalin/PFA-fixed paraffin-embedded sections) - Rabbit specific IHC polymer detection kit HRP/DAB (AB209101)
  • IHC-P

Lab

Immunohistochemistry (Formalin/PFA-fixed paraffin-embedded sections) - Rabbit specific IHC polymer detection kit HRP/DAB (AB209101)

Immunohistochemical analysis of paraffin-embedded Human thyroid cancer tissue labeling FIG4 with ab325342 at 1/100 (4.7 μg/ml) dilution, followed by a ready to use Rabbit specific IHC polymer detection kit HRP/DAB (ab209101).

Positive staining on human thyroid cancer.

The primary antibody was incubated for 30 mins at room temperature.

The immunostaining was performed on a Leica Biosystems BOND® RX instrument

Counterstained with Hematoxylin.

Secondary antibody only control : Secondary antibody is a ready to use Rabbit specific IHC polymer detection kit HRP/DAB (ab209101).

Heat mediated antigen retrieval was performed with Tris-EDTA buffer (pH 9.0, Epitope Retrieval Solution2) for 20 mins

Immunohistochemistry (Formalin/PFA-fixed paraffin-embedded sections) - Rabbit specific IHC polymer detection kit HRP/DAB (AB209101)
  • IHC-P

Lab

Immunohistochemistry (Formalin/PFA-fixed paraffin-embedded sections) - Rabbit specific IHC polymer detection kit HRP/DAB (AB209101)

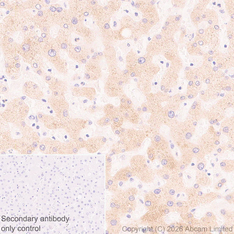
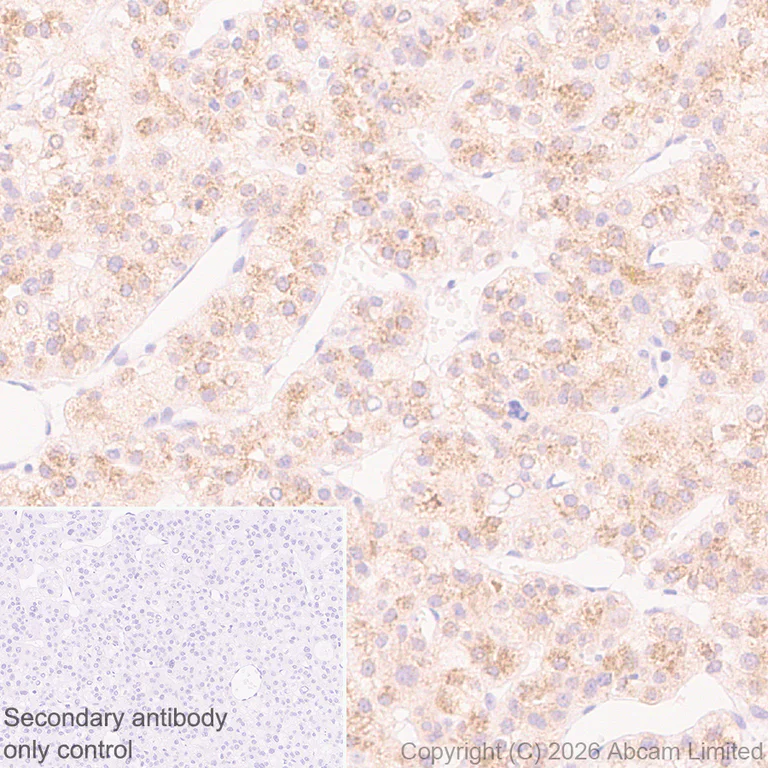
Immunohistochemical analysis of paraffin-embedded Human liver tissue labeling TM6SF2 with ab325553 at 1/200 (2.47 µg/ml) dilution, followed by a ready to use Rabbit specific IHC polymer detection kit HRP/DAB (ab209101).

Positive staining on human liver. The primary antibody was incubated for 30 mins at room temperature.

The immunostaining was performed on a Leica Biosystems BOND® RX instrument

Counterstained with Hematoxylin.

Secondary antibody only control : Secondary antibody is a ready to use Rabbit specific IHC polymer detection kit HRP/DAB (ab209101).

Heat mediated antigen retrieval was performed with Tris-EDTA buffer (pH 9.0, Epitope Retrieval Solution2) for 20 mins

Immunohistochemistry (Formalin/PFA-fixed paraffin-embedded sections) - Rabbit specific IHC polymer detection kit HRP/DAB (AB209101)
  • IHC-P

Supplier Data

Immunohistochemistry (Formalin/PFA-fixed paraffin-embedded sections) - Rabbit specific IHC polymer detection kit HRP/DAB (AB209101)

Immunohistochemical analysis of paraffin-embedded Human pancreas tissue labeling TIGIT with ab324237 at 1/100 (5.12 ug/ml) dilution, followed by a ready to use Rabbit specific IHC polymer detection kit HRP/DAB (ab209101).

Negative control : no staining on human pancreas. The primary antibody was incubated for 30 mins at room temperature.
The immunostaining was performed on a Leica Biosystems BOND® RX instrument

Counterstained with Hematoxylin.

Secondary antibody only control : Secondary antibody is a ready to use Rabbit specific IHC polymer detection kit HRP/DAB (ab209101).

Heat mediated antigen retrieval was performed with Tris-EDTA buffer (pH 9.0, Epitope Retrieval Solution2) for 20 mins

Immunohistochemistry (PFA perfusion fixed frozen sections) - Rabbit specific IHC polymer detection kit HRP/DAB (AB209101)
  • IHC-FoFr

Lab

Immunohistochemistry (PFA perfusion fixed frozen sections) - Rabbit specific IHC polymer detection kit HRP/DAB (AB209101)
Immunohistochemistry (Formalin/PFA-fixed paraffin-embedded sections) - Rabbit specific IHC polymer detection kit HRP/DAB (AB209101)
  • IHC-P

Supplier Data

Immunohistochemistry (Formalin/PFA-fixed paraffin-embedded sections) - Rabbit specific IHC polymer detection kit HRP/DAB (AB209101)

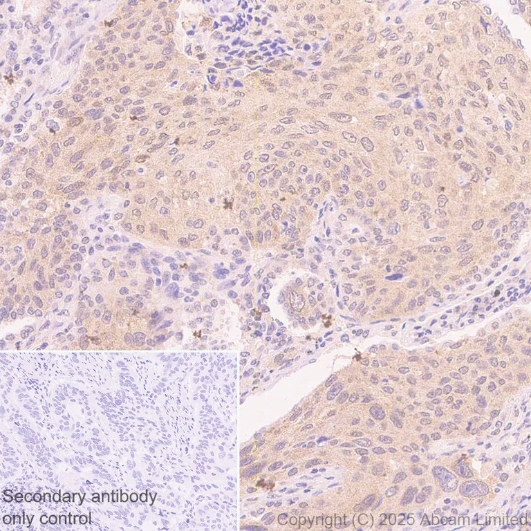
Immunohistochemical analysis of paraffin-embedded Human lung cancer tissue labeling Phospholipase A2 activator protein (PLAP) with ab32354 at 1/2000 dilution.

The primary antibody was incubated for 30 mins at room temperature followed by a ready to use Rabbit specific IHC polymer detection kit HRP/DAB (ab209101). Counterstained with hematoxylin.

The immunostaining was performed on a Leica Biosystems BOND RX instrument.

Heat mediated antigen retrieval was performed with Tris-EDTA buffer (pH 9.0, epitope retrieval solution2) for 20 mins.

Immunohistochemistry (Formalin/PFA-fixed paraffin-embedded sections) - Rabbit specific IHC polymer detection kit HRP/DAB (AB209101)
  • IHC-P

Lab

Immunohistochemistry (Formalin/PFA-fixed paraffin-embedded sections) - Rabbit specific IHC polymer detection kit HRP/DAB (AB209101)

Immunohistochemical analysis of paraffin-embedded (A) Wildtype HEK-293 (human embryonic kidney epithelial cell) cell pellet and (B) ATP13A2 knockout HEK-293 cell pellet. tissue labeling ATP13A2 with ab322735 at 1/100 (5.24 µg/ml) dilution, followed by a ready to use Rabbit specific IHC polymer detection kit HRP/DAB (ab209101).

Positive staining on (A) Wildtype HEK-293 cell pellet, no staining on (B) ATP13A2 knockout HEK-293 cell pellet. The primary antibody was incubated for 30 mins at room temperature.

The immunostaining was performed on a Leica Biosystems BOND® RX instrument

Counterstained with Hematoxylin.

Secondary antibody only control : Secondary antibody is a ready to use Rabbit specific IHC polymer detection kit HRP/DAB (ab209101).

Heat mediated antigen retrieval was performed with Tris-EDTA buffer (pH 9.0, Epitope Retrieval Solution2) for 20 mins

Immunohistochemistry (Formalin/PFA-fixed paraffin-embedded sections) - Rabbit specific IHC polymer detection kit HRP/DAB (AB209101)
  • IHC-P

Lab

Immunohistochemistry (Formalin/PFA-fixed paraffin-embedded sections) - Rabbit specific IHC polymer detection kit HRP/DAB (AB209101)

Immunohistochemical analysis of paraffin-embedded (A) SK-OV-3 (human ovarian cancer epithelial cell) cell pellet (B) HEK-293T (human embryonic kidney epithelial cell) cell pellet tissue labeling TM6SF2 with ab325553 at 1/200 (2.47 µg/ml) dilution, followed by a ready to use Rabbit specific IHC polymer detection kit HRP/DAB (ab209101).

Positive staining on SK-OV-3 (image A), no staining on HEK293T (image B). The primary antibody was incubated for 30 mins at room temperature.

The immunostaining was performed on a Leica Biosystems BOND® RX instrument

Counterstained with Hematoxylin.

Secondary antibody only control : Secondary antibody is a ready to use Rabbit specific IHC polymer detection kit HRP/DAB (ab209101).

Heat mediated antigen retrieval was performed with Tris-EDTA buffer (pH 9.0, Epitope Retrieval Solution2) for 20 mins

Immunohistochemistry (Formalin/PFA-fixed paraffin-embedded sections) - Rabbit specific IHC polymer detection kit HRP/DAB (AB209101)
  • IHC-P

Lab

Immunohistochemistry (Formalin/PFA-fixed paraffin-embedded sections) - Rabbit specific IHC polymer detection kit HRP/DAB (AB209101)

Immunohistochemical analysis of paraffin-embedded Human cardiac muscle tissue labeling CD18 with ab325521 at 1/100 (5.02 μg/ml) dilution, followed by a ready to use Rabbit specific IHC polymer detection kit HRP/DAB (ab209101).

Low expression tissue : no staining on human cardiac muscle.

The primary antibody was incubated for 30 mins at room temperature.

The immunostaining was performed on a Leica Biosystems BOND® RX instrument

Counterstained with Hematoxylin.

Secondary antibody only control : Secondary antibody is a ready to use Rabbit specific IHC polymer detection kit HRP/DAB (ab209101).

Heat mediated antigen retrieval was performed with Tris-EDTA buffer (pH 9.0, Epitope Retrieval Solution2) for 20 mins

Immunohistochemistry (Formalin/PFA-fixed paraffin-embedded sections) - Rabbit specific IHC polymer detection kit HRP/DAB (AB209101)
  • IHC-P

Lab

Immunohistochemistry (Formalin/PFA-fixed paraffin-embedded sections) - Rabbit specific IHC polymer detection kit HRP/DAB (AB209101)

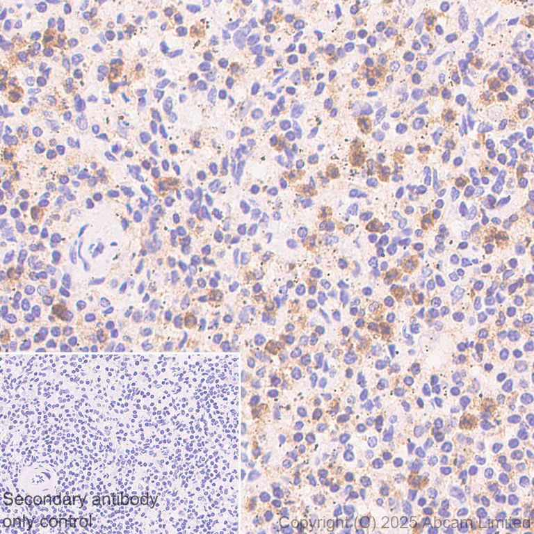
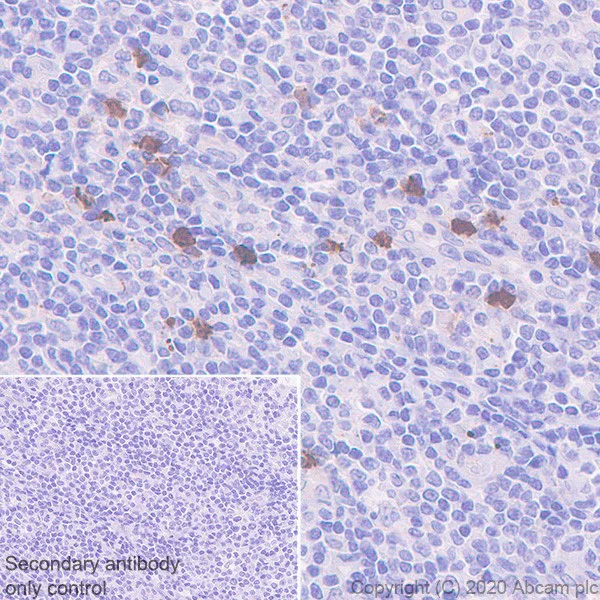
Immunohistochemical analysis of paraffin-embedded Human tonsil tissue labeling CD79b with ab183343 at 1/100 (0.11 μg/ml) followed by Rabbit specific IHC polymer detection kit HRP/DAB (ab209101). The section was incubated with ab183343 for 10 mins at room temperature. The immunostaining was performed on a Leica Biosystems BOND® RX instrument. Counterstained with Hematoxylin. Heat mediated antigen retrieval with Citrate buffer (pH 6.0, epitope retrieval solution 1) for 20 mins was used.

Immunohistochemistry (Formalin/PFA-fixed paraffin-embedded sections) - Rabbit specific IHC polymer detection kit HRP/DAB (AB209101)
  • IHC-P

Supplier Data

Immunohistochemistry (Formalin/PFA-fixed paraffin-embedded sections) - Rabbit specific IHC polymer detection kit HRP/DAB (AB209101)
Immunohistochemistry (Formalin/PFA-fixed paraffin-embedded sections) - Rabbit specific IHC polymer detection kit HRP/DAB (AB209101)
  • IHC-P

Supplier Data

Immunohistochemistry (Formalin/PFA-fixed paraffin-embedded sections) - Rabbit specific IHC polymer detection kit HRP/DAB (AB209101)
Immunohistochemistry (Formalin/PFA-fixed paraffin-embedded sections) - Rabbit specific IHC polymer detection kit HRP/DAB (AB209101)
  • IHC-P

Supplier Data

Immunohistochemistry (Formalin/PFA-fixed paraffin-embedded sections) - Rabbit specific IHC polymer detection kit HRP/DAB (AB209101)
Immunohistochemistry (Formalin/PFA-fixed paraffin-embedded sections) - Rabbit specific IHC polymer detection kit HRP/DAB (AB209101)
  • IHC-P

Lab

Immunohistochemistry (Formalin/PFA-fixed paraffin-embedded sections) - Rabbit specific IHC polymer detection kit HRP/DAB (AB209101)

Immunohistochemical analysis of paraffin-embedded human tonsil tissue labelling Galectin 10 with ab157475 at 1/40000 dilution, followed by ready to use Rabbit specific IHC polymer detection kit HRP/DAB (ab209101). Positive staining on stromal cells of human tonsil. is observed. Counter stained with Hematoxylin.

Secondary antibody only control : Used PBS instead of primary antibody, secondary antibody is ready to use Rabbit specific IHC polymer detection kit HRP/DAB (ab209101).

Heat mediated antigen retrieval was performed with Tris-EDTA buffer (pH 9.0, Epitope Retrieval Solution2) for 20 mins.

The section was incubated with ab157475 for 30 mins at room temperature. The immunostaining staining was performed on a Leica Biosystems BOND® RX instrument.

Immunohistochemistry (Formalin/PFA-fixed paraffin-embedded sections) - Rabbit specific IHC polymer detection kit HRP/DAB (AB209101)
  • IHC-P

Lab

Immunohistochemistry (Formalin/PFA-fixed paraffin-embedded sections) - Rabbit specific IHC polymer detection kit HRP/DAB (AB209101)

Immunohistochemical analysis of paraffin-embedded human colon carcinoma tissue labelling Galectin 10 with ab157475 at 1/40000 dilution, followed by ready to use Rabbit specific IHC polymer detection kit HRP/DAB (ab209101). Positive staining on stromal cells of human colon carcinoma is observed. Counter stained with Hematoxylin.

Secondary antibody only control : Used PBS instead of primary antibody, secondary antibody is ready to use Rabbit specific IHC polymer detection kit HRP/DAB (ab209101).

Heat mediated antigen retrieval was performed with Tris-EDTA buffer (pH 9.0, Epitope Retrieval Solution2) for 20 mins.

The section was incubated with ab157475 for 30 mins at room temperature. The immunostaining staining was performed on a Leica Biosystems BOND® RX instrument.

Immunohistochemistry (Formalin/PFA-fixed paraffin-embedded sections) - Rabbit specific IHC polymer detection kit HRP/DAB (AB209101)
  • IHC-P

Supplier Data

Immunohistochemistry (Formalin/PFA-fixed paraffin-embedded sections) - Rabbit specific IHC polymer detection kit HRP/DAB (AB209101)

Immunohistochemical analysis of paraffin-embedded Human skeletal muscl tissue labeling ENPP3/B10 with ab313376 at 1/100 (5.27 ug/ml) followed by a ready to use Rabbit specific IHC polymer detection kit HRP/DAB (ab209101). Negative control : no staining on human skeletal muscle. The section was incubated with ab313376 for 30 mins at room temperature.The immunostaining was performed on a Leica Biosystems BOND® RX instrument Counterstained with Hematoxylin. Secondary antibody only control : Secondary antibody is a ready to use Rabbit specific IHC polymer detection kit HRP/DAB (ab209101). Heat mediated antigen retrieval was performed with Tris-EDTA buffer (pH 9.0, Epitope Retrieval Solution2) for 20 mins

Key facts

Reactivity data

{ "title": "Reactivity Data", "filters": { "stats": ["", "Reactivity", "Dilution Info", "Notes"] }, "values": { "IHC": { "reactivity":"TESTED_AND_REACTS", "dilution-info":"", "notes":"<p></p>" } } }

Product details

Rabbit specific IHC polymer detection kit HRP/DAB (ab209101) is a sensitive immunoenzymatic system for detecting antibodies bound to antigens within tissue sections by light microscopy. Signal amplification is achieved using an indirect polymer detection system.

As Rabbit specific IHC polymer detection kit HRP/DAB does not use avidin or biotin, nonspecific staining from endogenous avidin-biotin activity is eliminated and there is no need for additional steps to block endogenous biotin.

How the kit works
- Primary antibody specific to an antigen on the tissue section is detected by primary antibody Amplifier.
- HRP polymer is added to enable detection with signal amplification.
- Antibody-bound antigen sites are visualized by adding an appropriate substrate/chromogen (not provided). We recommend the DAB Substrate Kit (ab64238).

Find complete IHC kits, and reagents for antigen retrieval, blocking, signal amplification, visualization, counterstaining, and mounting in the IHC kits and reagents guide.

What's included?

{ "values": { "15mL": { "sellingSize": "15 mL", "publicAssetCode":"ab209101-15mL", "assetComponentDetails": [ { "size":"1 x 15 mL", "name":"Amplifier", "number":"AB209101-CMP01", "productcode":"" }, { "size":"1 x 15 mL", "name":"Detector", "number":"AB209101-CMP02", "productcode":"" } ] } } }

Properties and storage information

Shipped at conditions
Blue Ice
Appropriate short-term storage conditions
+4°C
Appropriate long-term storage conditions
+4°C
Storage information
+4°C

Product protocols

Target data

Publications (27)

Recent publications for all applications. Explore the full list and refine your search

Molecular medicine (Cambridge, Mass.) 31:141 PubMed40251491

2025

Tripartite motif-containing 27 negatively regulates NF-κB activation in bone remodeling.

Applications

Unspecified application

Species

Unspecified reactive species

Kabsun Kim,Jung Ha Kim,Inyoung Kim,Semun Seong,Hyun Kook,Jeong-Tae Koh,Nacksung Kim

Molecular medicine reports 30: PubMed39329201

2024

Exosomal miR‑194 from adipose‑derived stem cells impedes hypertrophic scar formation through targeting TGF‑β1.

Applications

Unspecified application

Species

Unspecified reactive species

Zhishan Xu,Yuan Tian,Lijun Hao

Journal of nanobiotechnology 22:100 PubMed38462597

2024

Ce6-modified Fe ions-doped carbon dots as multifunctional nanoplatform for ferroptosis and photodynamic synergistic therapy of melanoma.

Applications

Unspecified application

Species

Unspecified reactive species

Haiqiu Li,Yichen Dou,Hang Yang,Hanlin Xing,Cheng Zhu,Tao Wang,Zhaopeng Xuan,Mingxi Yang

Frontiers in oral health 5:1337582 PubMed38370876

2024

Expression of PD-L1 and p-RPS6 in epithelial dysplasia and squamous cell carcinoma of the oral cavity.

Applications

Unspecified application

Species

Unspecified reactive species

Jaruwat Hanroongsri,Panomwat Amornphimoltham,Rania H Younis,Risa Chaisuparat

Journal of nanobiotechnology 21:431 PubMed37978538

2023

Fe-doped carbon dots: a novel biocompatible nanoplatform for multi-level cancer therapy.

Applications

Unspecified application

Species

Unspecified reactive species

Mingxi Yang,Haiqiu Li,Xinchen Liu,Lei Huang,Boya Zhang,Kexuan Liu,Wangni Xie,Jing Cui,Daowei Li,Laijin Lu,Hongchen Sun,Bai Yang

Cells 12: PubMed37947632

2023

Myocardial Mitochondrial DNA Drives Macrophage Inflammatory Response through STING Signaling in Coxsackievirus B3-Induced Viral Myocarditis.

Applications

Unspecified application

Species

Unspecified reactive species

Andong Qin,Zhenke Wen,Sidong Xiong

International journal of general medicine 15:7383-7393 PubMed36164284

2022

The Clinical Significance of Deglycosylated PD-L1 Level Detection Using 28-8 Monoclonal Antibody in Lung Adenocarcinoma.

Applications

Unspecified application

Species

Unspecified reactive species

Huiyu Wang,Dingyi Gu,Datian Chen,Jie Mei,Xuejing Yang,Junli Ding,Junying Xu,Meilin Wang,Chaoying Liu,Dong Hua

International journal of molecular sciences 23: PubMed36012579

2022

Nebulized Non-Immunogenic Staphylokinase in the Mice Acute Lung Injury Model.

Applications

Unspecified application

Species

Unspecified reactive species

Sergey S Markin,Roman D Lapshin,Olga S Baskina,Svetlana A Korotchenko,Irina V Mukhina,Sergei V Ivanov,Mikhail P Semenov,Valerii V Beregovykh,Andrey M Semenov

ACS nano 16:12695-12710 PubMed35939651

2022

Lipid Nanoparticle Delivery of Fas Plasmid Restores Fas Expression to Suppress Melanoma Growth .

Applications

Unspecified application

Species

Unspecified reactive species

Zeinab Y Al Subeh,Dakota B Poschel,Priscilla S Redd,John D Klement,Alyssa D Merting,Dafeng Yang,Megh Mehta,Huidong Shi,Yolonda L Colson,Nicholas H Oberlies,Cedric J Pearce,Aaron H Colby,Mark W Grinstaff,Kebin Liu

Quantitative imaging in medicine and surgery 12:3300-3313 PubMed35655844

2022

Immuno-PET imaging of PD-L1 expression in patient-derived lung cancer xenografts with [Ga]Ga-NOTA-Nb109.

Applications

Unspecified application

Species

Unspecified reactive species

Qingzhu Liu,Xiaodan Wang,Yanling Yang,Chao Wang,Jian Zou,Jianguo Lin,Ling Qiu
View all publications
websiteProtocolBooklet
en

Product promise

We are committed to supporting your work with high-quality reagents, and we're here for you every step of the way. In the unlikely event that one of our products does not perform as expected, you're protected by our Product Promise.
For full details, please see our Terms & Conditions

Please note: All products are 'FOR RESEARCH USE ONLY. NOT FOR USE IN DIAGNOSTIC OR THERAPEUTIC PROCEDURES'.

For licensing inquiries, please contact partnerships@abcam.com