JavaScript is disabled in your browser. Please enable JavaScript to view this website.
AB139415

Endoplasmic Reticulum Fraction Western Blot Cocktail

Be the first to review this product! Submit a review

|

(2 Publications)

Endoplasmic Reticulum Fraction Western Blot Cocktail (ab139415) is part of the reagents, controls & accessories range. Abcam offers high-quality biological reagents and tools including antibodies, proteins, assays, cell lines and lysates.
3 Images
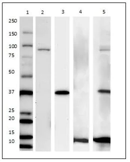
Western blot - Endoplasmic Reticulum Fraction Western Blot Cocktail (AB139415)
  • WB

Supplier Data

Western blot - Endoplasmic Reticulum Fraction Western Blot Cocktail (AB139415)

Developed using the ECL technique, performed under reducing conditions and exposed for 3 minutes. All blocking and antibody incubation steps performed in 5% milk, 20 mM Tris-HCl, 0.1% TWEEN-20.

Samples :
1 : Marker
2 : Human heart homogenate lysate - 20 µg
3 : HeLa cell lysate - 20 µg
4 : Mouse heart homogenate lysate - 20 µg
5 : NIH3T3 cell lysate - 20 µg
6 : Rat heart homogenate lysate - 20 µg
7 : H9C2 cell lysate - 20 µg

Primary antibody : ER Fraction WB cocktail at 1/250.
Secondary antibody : HRP conjugated secondary antibody cocktail at 1/2500.

Predicted/Observed band sizes :
GRP78 : 78 kDa/75 kDa
GAPDH : 37 kDa/37 kDa
Histone H3 (dimethyl K9) : 17 kDa/17 kDa

false

Western blot - Endoplasmic Reticulum Fraction Western Blot Cocktail (AB139415)
  • WB

Supplier Data

Western blot - Endoplasmic Reticulum Fraction Western Blot Cocktail (AB139415)

Developed using the ECL technique; Performed under reducing conditions; Exposure time : 5 mins. All blocking and antibody incubation steps were performed in 5% milk, 20 mM Tris-HCl, 0.1% TWEEN-20

Samples
Lane 1 : Marker
Lanes 2-5 : Hela Whole Cell Lysate – 20 µg

Primary antibody :
Lane 1 : None
Lane 2 : Anti-GRP78 antibody – Endoplasmic Reticulum Marker
Lane 3 : Anti- GAPDH antibody – Cytosolic Marker
Lane 4 : Anti- Histone H3 (di methyl K9) antibody – Nuclear Marker
Lane 5 : Assembled Endoplasmic Reticulum Antibody Cocktail

Secondary : HRP conjugated secondary antibody cocktail at 1/2500

Predicted GRP78 band size : 78 kDa
Observed band size : 78 kDa

Predicted GAPDH band size : 37 kDa
Observed band size : 37 kDa

Predicted Histone H3 (di methyl K9) band size : 17 kDa
Observed band size : 17 kDa

false

Western blot - Endoplasmic Reticulum Fraction Western Blot Cocktail (AB139415)
  • WB

Supplier Data

Western blot - Endoplasmic Reticulum Fraction Western Blot Cocktail (AB139415)

HeLa cell lysates were prepared using the Membrane Fractionation Kit (ab139409), blots were developed using the ECL technique, performed under reducing conditions and exposed for 5 minutes. A 4-15% gradient acrylamide gel was used and blocking and antibody incubation steps were performed in 5% milk, 20 mM Tris-HCl, 0.1% TWEEN-20.

Sample lanes :
Lane 1 – Marker
Lane 2 - HeLa whole cell lysate - 20 µL
Lane 3 - HeLa cytosolic fraction lysate - 20 µL
Lane 4 - HeLa membrane fraction lysate - 20 µL
Lane 5 - HeLa nuclear fraction lysate - 20 µL

Primary antibody : ER Fraction WB cocktail at 1/250 dilution
Secondary antibody : HRP conjugated secondary cocktail at 1/2500.

Predicted/observed band sizes :
GRP78 : 78 kDa/78 kDa
GAPDH : 37 kDa/37 kDa
Histone H3 (di methyl K9) : 17 kDa/17 kDa

false

Key facts

Applications

WB

applications

Reacts with

Mouse, Rat, Human

Form

Liquid

form

Storage buffer

Preservative: 0.0001% Sodium azide Constituents: 0.5% Glycerol (glycerin, glycerine), 0.009% Sodium chloride, 0.006% Tris, 0.0005% BSA

storage-buffer

Reactivity data

{ "title": "Reactivity Data", "filters": { "stats": ["", "Reactivity", "Dilution Info", "Notes"] }, "values": { "WB": { "reactivity":"TESTED_AND_REACTS", "dilution-info":"", "notes":"<p>Primary antibody cocktail = 1/250 dilution. Secondary antibody cocktail = 1/2500 dilution</p>" } } }

Product details

ab139415 contains 3 mAbs each targeting a specific organelle marker. The presence of endoplasmic reticulum is detected by GRP78; cytosol by Anti-GAPDH; and nucleus by Anti-Histone H3 (di methyl K9). This cocktail is suitable for determining the purity of organelle isolates prior to further characterization.

This product is particularly valuable to researchers working in organelle proteomics. Mass spectrometry is frequently used in this field to determine the protein content of targeted organelle isolates. These isolates are obtained using differential centrifugation, density gradient fractionation, biochemical enrichment, or affinity purification. Unfortunately, the various methods of purification available for organelle isolation are imperfect and leave behind contaminants from undesired regions of the cell. These contaminants are inevitable, but being aware of which contaminants are present is crucial for analysis of mass spectrometry results. The high sensitivity and species cross reactivity of the antibodies in this cocktail will quickly and easily reveal impurities caused by imperfect sample preparation.

Properties and storage information

Shipped at conditions
Blue Ice
Appropriate short-term storage conditions
-20°C
Appropriate long-term storage conditions
-20°C

Supplementary information

This supplementary information is collated from multiple sources and compiled automatically.

GRP78 BiP also known as glucose-regulated protein 78 or heat shock protein A5 is a vital chaperone protein with a molecular mass of approximately 78 kDa. It is present in the endoplasmic reticulum where it assists in protein folding and quality control. GRP78 is widely expressed across various cell types and plays a significant role in managing stress within the endoplasmic reticulum. GAPDH or glyceraldehyde-3-phosphate dehydrogenase is an enzyme involved in glycolysis with a mass of around 36 kDa and it is pervasive in most tissues. Histone H3 a core component of the nucleosome weighs about 15 kDa and is essential for DNA packaging in eukaryotic cells.
Biological function summary

GRP78 BiP participates in maintaining cellular homeostasis by regulating the unfolded protein response and aiding in the assembly of multimeric protein complexes. GRP78 interacts closely with various other proteins to mitigate stress in the endoplasmic reticulum such as protein disulfide isomerase. GAPDH is central to energy production and intersects with various cellular processes including autophagy and nuclear functions. Histone H3 contributes to chromatin structure and gene expression functioning as part of the histone octamer complex.

Pathways

GRP78 BiP functions in the endoplasmic reticulum stress pathway connecting with key proteins like ATF6 during the unfolded protein response. GAPDH plays a role in the glycolytic pathway linking to enzymes such as hexokinase and pyruvate kinase facilitating energy production. Histone H3 is important in the DNA replication and repair pathway interacting with proteins such as histone acetyltransferases that modify chromatin structure and gene expression.

GRP78 BiP has associations with cancer and neurodegenerative disorders. It interacts with proteins like PERK in response to endoplasmic reticulum stress which contributes to tumor growth and progression. GAPDH relates to neurodegenerative diseases and its interaction with proteins such as S-nitrosylated caspase-3 can result in neuronal apoptosis. Histone H3 has a connection with cancer and is implicated in epigenetic changes associated with histone mutations and post-translational modifications impacting gene expression profiles in tumor development.

Product protocols

Target data

Publications (2)

Recent publications for all applications. Explore the full list and refine your search

PloS one 15:e0237930 PubMed32841274

2020

Enrichment of microsomes from Chinese hamster ovary cells by subcellular fractionation for its use in proteomic analysis.

Applications

Unspecified application

Species

Unspecified reactive species

Saumel Pérez-Rodriguez,María de Jesús Ramírez-Lira,Tune Wulff,Bjørn Gunnar Voldbor,Octavio T Ramírez,Mauricio A Trujillo-Roldán,Norma A Valdez-Cruz

Bio-protocol 9:e3379 PubMed33654875

2019

Isolation of Pure Mitochondria from Rat Kidneys and Western Blot of Mitochondrial Respiratory Chain Complexes.

Applications

Unspecified application

Species

Unspecified reactive species

Tamara Micakovic,Wiktoria Z Banczyk,Euan Clark,Bettina Kränzlin,Jörg Peters,Sigrid Christa Hoffmann
View all publications

Product promise

We are committed to supporting your work with high-quality reagents, and we're here for you every step of the way. In the unlikely event that one of our products does not perform as expected, you're protected by our Product Promise.
For full details, please see our Terms & Conditions

Please note: All products are 'FOR RESEARCH USE ONLY. NOT FOR USE IN DIAGNOSTIC OR THERAPEUTIC PROCEDURES'.

For licensing inquiries, please contact partnerships@abcam.com