JavaScript is disabled in your browser. Please enable JavaScript to view this website.
AB133989

Organelle Detection Western Blot Cocktail

Be the first to review this product! Submit a review

|

(2 Publications)

Organelle Detection Western Blot Cocktail (ab133989) is part of the reagents, controls & accessories range. Abcam offers high-quality biological reagents and tools including antibodies, proteins, assays, cell lines and lysates.

View Alternative Names

GAPD, CDABP0047, OK/SW-cl.12, GAPDH, Glyceraldehyde-3-phosphate dehydrogenase, Peptidyl-cysteine S-nitrosylase GAPDH

3 Images
Western blot - Organelle Detection Western Blot Cocktail (AB133989)
  • WB

Supplier Data

Western blot - Organelle Detection Western Blot Cocktail (AB133989)

All blocking and antibody incubation steps were done in 5% milk, 20 mM Tris-HCl, 0.1% TWEEN-20.

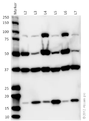
All lanes :
Anti-Sodium Potassium ATPase antibody – Plasma Membrane Marker
Anti-ATP5A antibody – Mitochondrial Marker
Anti-GAPDH antibody – Cytosolic Marker
Anti-Histone H3 (di methyl K9) antibody – Nuclear Marker
Lane 1 : Marker
Lane 2 : Human heart homogenate Whole Tissue Lysate - 20 µg
Lane 3 : HeLa Whole Cell Lysate - 20 µg
Lane 4 : Mouse heart homogenate Whole Tissue Lysate - 20 µg
Lane 5 : NIH-3T3 Whole Cell Lysate - 20 µg
Lane 6 : Rat heart homogenate Whole Tissue Lysate - 20 µg
Lane 7 : H9C2 Whole Cell Lysate - 20 µg

Secondary : ab131368 at 1/1000 dilution.

false

Western blot - Organelle Detection Western Blot Cocktail (AB133989)
  • WB

Supplier Data

Western blot - Organelle Detection Western Blot Cocktail (AB133989)

All blocking and antibody incubation steps were done in 5% milk, 20 mM Tris-HCl, 0.1% TWEEN-20.

Lane 2-6 : Mouse heart homogenate Whole Tissue Lysate 10 μg
Primary antibody :
Lane 2 : Anti-Sodium Potassium ATPase antibody – Plasma Membrane Marker
Lane 3 : Anti-ATP5A antibody – Mitochondrial Marker
Lane 4 : Anti-GAPDH antibody – Cytosolic Marker
Lane 5 : Anti-Histone H3 (di methyl K9) antibody – Nuclear Marker
Lane 6 : Assembled Organelle Detection Cocktail


Secondary : ab131368 at 1/1000 dilution.

Predicted Sodium Potassium ATPase band size : 113 kDa
Observed band size : 85 kDa

Predicted ATP5A band size : 60 kDa
Observed ATP5A band size : 52 kDa

Predicted sample band size : 36 kDa
Observed band size : 36 kDa

Predicted sample band size : 15.5 kDa
Observed band size : 17 kDa

false

Western blot - Organelle Detection Western Blot Cocktail (AB133989)
  • WB

Supplier Data

Western blot - Organelle Detection Western Blot Cocktail (AB133989)

HeLa cell lysate was prepared using the Cell Fractionation Kit ab109719. All blocking and antibody incubation steps were done in 5% milk, 20 mM Tris-HCl, 0.1% TWEEN-20.

All lanes :
Anti-Sodium Potassium ATPase antibody – Plasma Membrane Marker
Anti-ATP5A antibody – Mitochondrial Marker
Anti-GAPDH antibody – Cytosolic Marker
Anti-Histone H3 (di methyl K9) antibody – Nuclear Marker

Lane 1 : Marker
Lane 2 : HeLa Whole Cell Lysate
Lane 3 : HeLa Cytosolic Fraction Lysate
Lane 4 : HeLa Mitochondrial Fraction Lysate
Lane 5 : HeLa Nuclear Fraction Lysate

Secondary
Goat polyclonal to Mouse IgG – H&L – Pre-Adsorbed (HRP) at 1/10000.

false

Key facts

Applications

WB

applications

Target

GAPDH di methyl K9

target

Reacts with

Mouse, Rat, Human

Form

Liquid

form

Storage buffer

Preservative: 0.02% Sodium azide Constituents: 0.877% Sodium chloride, 0.357% HEPES

storage-buffer

Reactivity data

{ "title": "Reactivity Data", "filters": { "stats": ["", "Reactivity", "Dilution Info", "Notes"] }, "values": { "WB": { "reactivity":"TESTED_AND_REACTS", "dilution-info":"", "notes":"<p>The antibody cocktail should be diluted 250 X for western blotting.</p>" } } }

Product details

ab133989 contains 4 mAbs each targeting a specific organelle marker. The presence of plasma membrane is determined by Anti-Sodium Potassium ATPase antibody; mitochondrion by Anti-ATP5A antibody; cytosol by Anti-GAPDH; and nucleus by Anti-Histone H3 (di methyl K9). This cocktail is suitable for determining the purity of organelle isolates prior to further characterization.

This product is particularly valuable to researchers working in organelle proteomics. Mass spectrometry is frequently used in this field to determine the protein content of targeted organelle isolates. These isolates are obtained using differential centrifugation, density gradient fractionation, biochemical enrichment, or affinity purification. Unfortunately, the various methods of purification available for organelle isolation are imperfect and leave behind contaminants from undesired regions of the cell. These contaminants are inevitable, but being aware of which contaminants are present is crucial for analysis of mass spectrometry results. The high sensitivity and species cross reactivity of the antibodies in this cocktail will quickly and easily reveal impurities caused by imperfect sample preparation.

Properties and storage information

Shipped at conditions
Blue Ice
Appropriate short-term storage conditions
+4°C
Appropriate long-term storage conditions
+4°C

Supplementary information

This supplementary information is collated from multiple sources and compiled automatically.

Sodium Potassium ATPase also known as Na+/K+-ATPase is an essential membrane enzyme responsible for maintaining the electrochemical gradients of sodium and potassium ions across the plasma membrane. This enzyme has a known molecular mass of approximately 112 kDa. It is widely expressed in most animal cells especially in excitable cells such as neurons and muscle cells. Additionally Na+/K+-ATPase plays an important role in organelle function contributing to processes like nutrient uptake and waste removal.
Biological function summary

The Na+/K+-ATPase enzyme helps regulate cellular volume and influence cell cycle progression. It forms part of a larger protein complex and is vital for maintaining cellular homeostasis. Beyond its mechanical ion-pumping function it is involved in signaling pathways that impact cell growth and differentiation. Its activity is important for neurotransmission and muscle contraction influencing organelle isolation processes. Na+/K+-ATPase also interacts with other proteins like ATPase inhibitory factor 1 which modulates its function.

Pathways

Na+/K+-ATPase participates actively in ion transport pathways and signaling cascades. For instance it is important in the ATP hydrolysis-driven transport process which relates directly with the maintenance of membrane potential and cellular excitability. It interacts with the Wnt signaling pathway influencing cellular communication and tissue patterning. Proteins such as phospholemman and Src kinase have functional interactions with Na+/K+-ATPase modulating its activity and influence across these pathways.

Na+/K+-ATPase dysregulation associates with conditions such as hypertension and heart failure. Abnormal function of this enzyme can disrupt ion homeostasis leading to elevated blood pressure or cardiac dysfunction. It also links to neurological disorders like schizophrenia where altered Na+/K+-ATPase activity may affect neurotransmission. The enzyme's interaction with proteins like alpha-synuclein and amyloid-beta plays a role in these pathologies further impacting disease progression and symptomatology.

Product protocols

Target data

Has both glyceraldehyde-3-phosphate dehydrogenase and nitrosylase activities, thereby playing a role in glycolysis and nuclear functions, respectively (PubMed : 11724794, PubMed : 3170585). Glyceraldehyde-3-phosphate dehydrogenase is a key enzyme in glycolysis that catalyzes the first step of the pathway by converting D-glyceraldehyde 3-phosphate (G3P) into 3-phospho-D-glyceroyl phosphate (PubMed : 11724794, PubMed : 3170585). Modulates the organization and assembly of the cytoskeleton (By similarity). Facilitates the CHP1-dependent microtubule and membrane associations through its ability to stimulate the binding of CHP1 to microtubules (By similarity). Component of the GAIT (gamma interferon-activated inhibitor of translation) complex which mediates interferon-gamma-induced transcript-selective translation inhibition in inflammation processes (PubMed : 23071094). Upon interferon-gamma treatment assembles into the GAIT complex which binds to stem loop-containing GAIT elements in the 3'-UTR of diverse inflammatory mRNAs (such as ceruplasmin) and suppresses their translation (PubMed : 23071094). Also plays a role in innate immunity by promoting TNF-induced NF-kappa-B activation and type I interferon production, via interaction with TRAF2 and TRAF3, respectively (PubMed : 23332158, PubMed : 27387501). Participates in nuclear events including transcription, RNA transport, DNA replication and apoptosis (By similarity). Nuclear functions are probably due to the nitrosylase activity that mediates cysteine S-nitrosylation of nuclear target proteins such as SIRT1, HDAC2 and PRKDC (By similarity).
See full target information GAPDH di methyl K9

Publications (2)

Recent publications for all applications. Explore the full list and refine your search

Open research Europe 3:88 PubMed37981907

2023

Ergolide mediates anti-cancer effects on metastatic uveal melanoma cells and modulates their cellular and extracellular vesicle proteomes.

Applications

Unspecified application

Species

Unspecified reactive species

Husvinee Sundaramurthi,Valentina Tonelotto,Kieran Wynne,Fiona O'Connell,Eve O'Reilly,Marcel Costa-Garcia,Csenger Kovácsházi,Agnes Kittel,Simone Marcone,Alfonso Blanco,Eva Pallinger,Szabolcs Hambalkó,Jose Maria Piulats Rodriguez,Péter Ferdinandy,Jacintha O'Sullivan,David Matallanas,Lasse D Jensen,Zoltán Giricz,Breandán N Kennedy

Molecular neurobiology 56:7267-7283 PubMed31016475

2019

Reverting Metabolic Dysfunction in Cortex and Cerebellum of APP/PS1 Mice, a Model for Alzheimer's Disease by Pioglitazone, a Peroxisome Proliferator-Activated Receptor Gamma (PPARγ) Agonist.

Applications

Unspecified application

Species

Unspecified reactive species

Kai Lun Chang,Ling Rong Wong,Hai Ning Pee,Shili Yang,Paul Chi-Lui Ho
View all publications

Product promise

We are committed to supporting your work with high-quality reagents, and we're here for you every step of the way. In the unlikely event that one of our products does not perform as expected, you're protected by our Product Promise.
For full details, please see our Terms & Conditions

Please note: All products are 'FOR RESEARCH USE ONLY. NOT FOR USE IN DIAGNOSTIC OR THERAPEUTIC PROCEDURES'.

For licensing inquiries, please contact partnerships@abcam.com