JavaScript is disabled in your browser. Please enable JavaScript to view this website.
AB218199

Anti-0N Tau antibody [EPR21726]

Be the first to review this product! Submit a review

|

(1 Publication)

Rabbit Recombinant Monoclonal TAU antibody. Suitable for WB, IHC-P, IHC-Fr and reacts with Synthetic peptide, Human, Rat samples. Cited in 1 publication.

View Alternative Names

MAPTL, MTBT1, TAU, MAPT, Microtubule-associated protein tau, Neurofibrillary tangle protein, Paired helical filament-tau, PHF-tau

7 Images
Immunohistochemistry (Formalin/PFA-fixed paraffin-embedded sections) - Anti-0N Tau antibody [EPR21726] (AB218199)
  • IHC-P

Supplier Data

Immunohistochemistry (Formalin/PFA-fixed paraffin-embedded sections) - Anti-0N Tau antibody [EPR21726] (AB218199)

Immunohistochemical analysis of paraffin-embedded human breast carcinoma tissue labeling 0N Tau with ab218199 at 1/500 dilution followed by a ready to use Goat Anti-Rabbit IgG H&L (HRP). Cytoplasmic staining on human breast carcinoma (PMID : 15914550) is observed. Counterstained with hematoxylin.
Secondary antibody only control : Used PBS instead of primary antibody secondary antibody is a ready to use Goat Anti-Rabbit IgG H&L (HRP).
Perform heat mediated antigen retrieval using ab93684 (Tris/EDTA buffer pH 9.0).

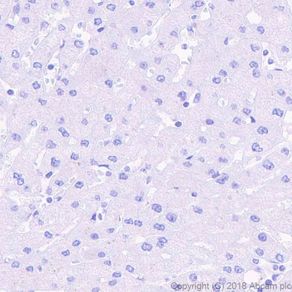
Immunohistochemistry (Formalin/PFA-fixed paraffin-embedded sections) - Anti-0N Tau antibody [EPR21726] (AB218199)
  • IHC-P

Supplier Data

Immunohistochemistry (Formalin/PFA-fixed paraffin-embedded sections) - Anti-0N Tau antibody [EPR21726] (AB218199)

Negative control - Immunohistochemical analysis of paraffin-embedded human liver tissue labeling 0N Tau with ab218199 at 1/500 dilution followed by a ready to use Goat Anti-Rabbit IgG H&L (HRP). No staining on human liver (PMID : 8752131) is observed. Counterstained with hematoxylin.
Secondary antibody only control : Used PBS instead of primary antibody secondary antibody is a ready to use Goat Anti-Rabbit IgG H&L (HRP).
Perform heat mediated antigen retrieval using ab93684 (Tris/EDTA buffer pH 9.0).

Immunohistochemistry (Formalin/PFA-fixed paraffin-embedded sections) - Anti-0N Tau antibody [EPR21726] (AB218199)
  • IHC-P

Supplier Data

Immunohistochemistry (Formalin/PFA-fixed paraffin-embedded sections) - Anti-0N Tau antibody [EPR21726] (AB218199)

Immunohistochemical analysis of paraffin-embedded human cerebrum tissue labeling 0N Tau with ab218199 at 1/500 dilution followed by a ready to use Goat Anti-Rabbit IgG H&L (HRP). Cytoplasmic staining on human cerebrum (PMID : 17183532) is observed. Counterstained with hematoxylin.
Secondary antibody only control : Used PBS instead of primary antibody secondary antibody is a ready to use Goat Anti-Rabbit IgG H&L (HRP).
Perform heat mediated antigen retrieval using ab93684 (Tris/EDTA buffer pH 9.0).

Immunohistochemistry (Frozen sections) - Anti-0N Tau antibody [EPR21726] (AB218199)
  • IHC-Fr

Supplier Data

Immunohistochemistry (Frozen sections) - Anti-0N Tau antibody [EPR21726] (AB218199)

Negative control - Immunohistochemical analysis of 4% PFA-fixed, 0.2% Triton X-100 permeabilized frozen rat stomach tissue labeling 0N Tau with ab218199 at 1/500 dilution, followed by ab150077 AlexaFluor®488 Goat anti-Rabbit secondary at a 1/1,000 dilution. No staining on rat stomach (PMID : 11727254; PMID : 8752131) is observed. Counterstained with DAPI (blue).
Secondary antibody only control : Used PBS instead of primary antibody, secondary antibody is ab150077 AlexaFluor®488 Goat anti-Rabbit used at a 1/1,000 dilution.

Heat mediated antigen retrieval using sodium citrate buffer (10 mM citrate pH 6.0 and 0.05% Tween-20).

Immunohistochemistry (Frozen sections) - Anti-0N Tau antibody [EPR21726] (AB218199)
  • IHC-Fr

Supplier Data

Immunohistochemistry (Frozen sections) - Anti-0N Tau antibody [EPR21726] (AB218199)

Immunohistochemical analysis of 4% PFA-fixed 0.2% Triton X-100 permeabilized frozen rat hippocampus tissue labeling 0N Tau with ab218199 at 1/500 dilution (green) followed by ab150077 AlexaFluor®488 Goat anti-Rabbit secondary at a 1/1000 dilution. Cytoplasmic staining on MF (mossy fibers) of rat hippocampus (PMID : 18925637 PMID : 24386422) is observed. Counterstained with DAPI (blue).
Secondary antibody only control : Used PBS instead of primary antibody secondary antibody is ab150077 AlexaFluor®488 Goat anti-Rabbit used at a 1/1000 dilution.

Heat mediated antigen retrieval using sodium citrate buffer (10 mM citrate pH 6.0 and 0.05% Tween-20).

Western blot - Anti-0N Tau antibody [EPR21726] (AB218199)
  • WB

Supplier Data

Western blot - Anti-0N Tau antibody [EPR21726] (AB218199)

Negative control : Human stomach PMID : 8752131; PMID : 11727254.

Blocking/Dilution buffer : 5% NFDM/TBST.

All lanes:

Western blot - Anti-0N Tau antibody [EPR21726] (ab218199) at 1/1000 dilution

Lane 1:

Human hippocampus lysate at 20 µg

Lane 2:

Human brain lysate at 20 µg

Lane 3:

Human stomach lysate at 20 µg

Secondary

All lanes:

Western blot - VeriBlot for IP Detection Reagent (HRP) (<a href='/en-us/products/reagents/veriblot-for-ip-detection-reagent-hrp-ab131366'>ab131366</a>) at 1/1000 dilution

Predicted band size: 79 kDa

false

Exposure time: 3min

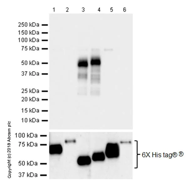
Western blot - Anti-0N Tau antibody [EPR21726] (AB218199)
  • WB

Supplier Data

Western blot - Anti-0N Tau antibody [EPR21726] (AB218199)

Blocking/Dilution buffer : 5% NFDM/TBST.

This antibody specifically recognizes 0N3R and 0N4R tau recombinant proteins. The lower weak bands maybe degraded tau fragments (PMID : 28045602).

All lanes:

Western blot - Anti-0N Tau antibody [EPR21726] (ab218199) at 1/1000 dilution

Lane 1:

His-tagged human 2N3R Tau recombinant protein (aa1-410) 10 ng

Lane 2:

His-tagged human 2N4R Tau recombinant protein (aa1-441) 10ng

Lane 3:

His-tagged human 0N3R Tau recombinant protein (aa1-352) 10ng

Lane 4:

His-tagged human 0N4R Tau recombinant protein (aa1-383) 10ng

Lane 5:

His-tagged human 1N3R Tau recombinant protein (aa1-381) 10ng

Lane 6:

His-tagged human 1N4R Tau recombinant protein (aa1-412) 10ng

Secondary

All lanes:

Western blot - Goat Anti-Rabbit IgG H&L (HRP) (<a href='/en-us/products/secondary-antibodies/goat-rabbit-igg-h-l-hrp-ab97051'>ab97051</a>) at 1/1000 dilution

Predicted band size: 79 kDa

false

  • Carrier free

    Anti-0N Tau antibody [EPR21726] - BSA and Azide free

  • 578 PE

    PE Anti-0N Tau antibody [EPR21726]

  • 660 APC

    APC Anti-0N Tau antibody [EPR21726]

  • 617 Alexa Fluor® 594

    Alexa Fluor® 594 Anti-0N Tau antibody [EPR21726]

  • 665 Alexa Fluor® 647

    Alexa Fluor® 647 Anti-0N Tau antibody [EPR21726]

  • 519 Alexa Fluor® 488

    Alexa Fluor® 488 Anti-0N Tau antibody [EPR21726]

  • 565 Alexa Fluor® 555

    Alexa Fluor® 555 Anti-0N Tau antibody [EPR21726]

  • 775 Alexa Fluor® 750

    Alexa Fluor® 750 Anti-0N Tau antibody [EPR21726]

Key facts

Host species

Rabbit

Clonality

Monoclonal

Clone number

EPR21726

Isotype

IgG

Carrier free

No

Reacts with

Rat, Human

Applications

WB, IHC-Fr, IHC-P

applications

Immunogen

The exact immunogen used to generate this antibody is proprietary information.

Specificity

The specificity of this antibody refers to P10636-2.

Reactivity data

{ "title": "Reactivity Data", "filters": { "stats": ["", "Species", "Dilution Info", "Notes"], "tabs": { "all-applications": {"fullname" : "All Applications", "shortname": "All Applications"}, "WB" : {"fullname" : "Western blot", "shortname":"WB"}, "IHCP" : {"fullname" : "Immunohistochemistry (Formalin/PFA-fixed paraffin-embedded sections)", "shortname":"IHC-P"}, "IHCFr" : {"fullname" : "Immunohistochemistry (Frozen sections)", "shortname":"IHC-Fr"} }, "product-promise": { "all": "all", "testedAndGuaranteed": "tested", "guaranteed": "expected", "predicted": "predicted", "notRecommended": "not-recommended" } }, "values": { "Human": { "WB-species-checked": "testedAndGuaranteed", "WB-species-dilution-info": "1/1000", "WB-species-notes": "<p></p>", "IHCP-species-checked": "testedAndGuaranteed", "IHCP-species-dilution-info": "1/500", "IHCP-species-notes": "<p></p>", "IHCFr-species-checked": "guaranteed", "IHCFr-species-dilution-info": "", "IHCFr-species-notes": "" }, "Rat": { "WB-species-checked": "guaranteed", "WB-species-dilution-info": "", "WB-species-notes": "", "IHCP-species-checked": "guaranteed", "IHCP-species-dilution-info": "", "IHCP-species-notes": "", "IHCFr-species-checked": "testedAndGuaranteed", "IHCFr-species-dilution-info": "1/500", "IHCFr-species-notes": "<p>Heat mediated antigen retrieval using sodium citrate buffer (10mM citrate pH 6.0 + 0.05% Tween-20).</p>" }, "Synthetic peptide": { "WB-species-checked": "testedAndGuaranteed", "WB-species-dilution-info": "1/1000", "WB-species-notes": "<p></p>", "IHCP-species-checked": "testedAndGuaranteed", "IHCP-species-dilution-info": "1/500", "IHCP-species-notes": "<p></p>", "IHCFr-species-checked": "testedAndGuaranteed", "IHCFr-species-dilution-info": "1/500", "IHCFr-species-notes": "<p>Heat mediated antigen retrieval using sodium citrate buffer (10mM citrate pH 6.0 + 0.05% Tween-20).</p>" } } }

Product details

Patented technology
Our RabMAb® technology is a patented hybridoma-based technology for making rabbit monoclonal antibodies. For details on our patents, please refer to RabMAb® patents.

What are the advantages of a recombinant monoclonal antibody?
This product is a recombinant monoclonal antibody, which offers several advantages including:

  • - High batch-to-batch consistency and reproducibility
  • - Improved sensitivity and specificity
  • - Long-term security of supply
  • - Animal-free batch production

For more information, read more on recombinant antibodies.

Properties and storage information

Form
Liquid
Purification technique
Affinity purification Protein A
Storage buffer
pH: 7.2 - 7.4 Preservative: 0.01% Sodium azide Constituents: PBS, 40% Glycerol (glycerin, glycerine), 0.05% BSA
Shipped at conditions
Blue Ice
Appropriate short-term storage duration
1-2 weeks
Appropriate short-term storage conditions
+4°C
Appropriate long-term storage conditions
-20°C
Aliquoting information
Upon delivery aliquot
Storage information
Avoid freeze / thaw cycle

Supplementary information

This supplementary information is collated from multiple sources and compiled automatically.

The 0N Tau protein also known by its alternate names MAPT (microtubule-associated protein tau) and non-N-terminal tau serves important mechanical functions in the stabilization of microtubules within neurons. It does so by binding to and promoting microtubule assembly and maintenance. The mass of the 0N Tau isoform varies because of alternative splicing but it is a critical component of neurofibrillary structures. This protein expression occurs primarily in neurons but can also be found in glial cells of the central nervous system.
Biological function summary

The stabilization function of the 0N Tau isoform influences the cellular cytoskeleton's structural integrity which is necessary for accurate neuronal transport and function. It participates in the microtubule complex which forms the network necessary for intracellular transport and structural support. Stability and dynamics of this network allow efficient transport of nutrients organelles and signaling molecules within the cells playing an important role in maintaining neuronal health and function.

Pathways

The 0N Tau protein is involved in critical pathways like the MAPK and PI3K-Akt signaling pathways. These pathways influence cell survival proliferation and apoptotic processes. Proteins like glycogen synthase kinase-3 beta (GSK-3β) regulate phosphorylation of tau affecting its binding to microtubules and subsequent cellular dynamics. Additionally hyperphosphorylation of tau by kinases such as CDK5 modifies its function and alters cellular pathways.

The role of 0N Tau becomes significant in neurodegenerative conditions like Alzheimer's disease and frontotemporal dementia. These disorders are associated with aberrant phosphorylation and aggregation of tau resulting in pathological tau tangles. The relationship of 0N Tau with amyloid-beta peptides also links it to Alzheimer's disease further highlighting its involvement in neurodegeneration. Proteins like amyloid precursor protein (APP) connect with tau pathology within these diseases contributing to neuronal dysfunction and degeneration.

Product protocols

For this product, it's our understanding that no specific protocols are required. You can visit:

Target data

The protein expressed by the MAPT gene promotes microtubule assembly and stability and might be involved in establishing and maintaining neuronal polarity. Its C-terminus binds axonal microtubules, and the N-terminus binds neural plasma membrane components, suggesting that tau functions as a linker protein between the two. Axonal polarity is predetermined by MAPT localization within the neuronal cell's domain defined by the centrosome. The short isoforms allow cytoskeleton plasticity, whereas the longer isoforms may preferentially play a role in its stabilization. This supplementary information is collated from multiple sources and compiled automatically.
See full target information MAPT

Additional targets

MAPT

Publications (1)

Recent publications for all applications. Explore the full list and refine your search

Molecular therapy. Methods & clinical development 31:101144 PubMed38027058

2023

Persistence of exon 2 skipping and dystrophin expression at 18 months after U7snRNA-mediated therapy in the Dup2 mouse model.

Applications

Unspecified application

Species

Unspecified reactive species

Liubov V Gushchina,Adrienne J Bradley,Tatyana A Vetter,Jacob W Lay,Natalie L Rohan,Emma C Frair,Nicolas Wein,Kevin M Flanigan
View all publications

Product promise

We are committed to supporting your work with high-quality reagents, and we're here for you every step of the way. In the unlikely event that one of our products does not perform as expected, you're protected by our Product Promise.
For full details, please see our Terms & Conditions

Please note: All products are 'FOR RESEARCH USE ONLY. NOT FOR USE IN DIAGNOSTIC OR THERAPEUTIC PROCEDURES'.

For licensing inquiries, please contact partnerships@abcam.com