JavaScript is disabled in your browser. Please enable JavaScript to view this website.
AB242344

Anti-0N Tau antibody [EPR21726] - BSA and Azide free

Be the first to review this product! Submit a review

|

(0 Publication)

Anti-0N Tau antibody [EPR21726] - BSA and Azide free (ab242344) is a rabbit recombinant monoclonal antibody provided in a PBS only buffer for easy conjugation detecting 0N Tau in Western Blot, IHC-P, IHC-Fr. Suitable for Human, Rat,.

- BSA, sodium azide, and glycerol-free for easy conjugation
- Biophysical QC for unrivalled batch-batch consistency

View Alternative Names

MAPTL, MTBT1, TAU, MAPT, Microtubule-associated protein tau, Neurofibrillary tangle protein, Paired helical filament-tau, PHF-tau

5 Images
Immunohistochemistry (Formalin/PFA-fixed paraffin-embedded sections) - Anti-0N Tau antibody [EPR21726] - BSA and Azide free (AB242344)
  • IHC-P

Supplier Data

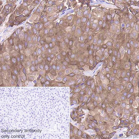
Immunohistochemistry (Formalin/PFA-fixed paraffin-embedded sections) - Anti-0N Tau antibody [EPR21726] - BSA and Azide free (AB242344)

Immunohistochemical analysis of paraffin-embedded human breast carcinoma tissue labeling Tau with ab218199 at 1/500 dilution, followed by a ready to use Goat Anti-Rabbit IgG H&L (HRP). Cytoplasmic staining on human breast carcinoma (PMID : 15914550) is observed. Counterstained with hematoxylin.
Secondary antibody only control : Used PBS instead of primary antibody, secondary antibody is a ready to use Goat Anti-Rabbit IgG H&L (HRP).
Perform heat mediated antigen retrieval using ab93684 (Tris/EDTA buffer, pH 9.0).

This data was developed using the same antibody clone in a different buffer formulation containing PBS, BSA, glycerol, and sodium azide.

Immunohistochemistry (Formalin/PFA-fixed paraffin-embedded sections) - Anti-0N Tau antibody [EPR21726] - BSA and Azide free (AB242344)
  • IHC-P

Supplier Data

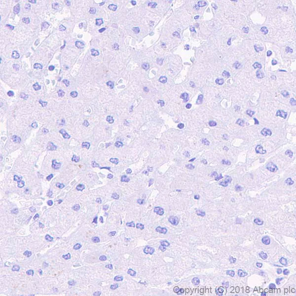
Immunohistochemistry (Formalin/PFA-fixed paraffin-embedded sections) - Anti-0N Tau antibody [EPR21726] - BSA and Azide free (AB242344)

Negative control - Immunohistochemical analysis of paraffin-embedded human liver tissue labeling Tau with ab218199 at 1/500 dilution, followed by a ready to use Goat Anti-Rabbit IgG H&L (HRP). No staining on human liver (PMID : 8752131) is observed. Counterstained with hematoxylin.
Secondary antibody only control : Used PBS instead of primary antibody, secondary antibody is a ready to use Goat Anti-Rabbit IgG H&L (HRP).
Perform heat mediated antigen retrieval using ab93684 (Tris/EDTA buffer, pH 9.0).

This data was developed using the same antibody clone in a different buffer formulation containing PBS, BSA, glycerol, and sodium azide.

Immunohistochemistry (Formalin/PFA-fixed paraffin-embedded sections) - Anti-0N Tau antibody [EPR21726] - BSA and Azide free (AB242344)
  • IHC-P

Supplier Data

Immunohistochemistry (Formalin/PFA-fixed paraffin-embedded sections) - Anti-0N Tau antibody [EPR21726] - BSA and Azide free (AB242344)

Immunohistochemical analysis of paraffin-embedded human cerebrum tissue labeling Tau with ab218199 at 1/500 dilution, followed by a ready to use Goat Anti-Rabbit IgG H&L (HRP). Cytoplasmic staining on human cerebrum (PMID : 17183532) is observed. Counterstained with hematoxylin.
Secondary antibody only control : Used PBS instead of primary antibody, secondary antibody is a ready to use Goat Anti-Rabbit IgG H&L (HRP).
Perform heat mediated antigen retrieval using ab93684 (Tris/EDTA buffer, pH 9.0).

This data was developed using the same antibody clone in a different buffer formulation containing PBS, BSA, glycerol, and sodium azide.

Immunohistochemistry (Frozen sections) - Anti-0N Tau antibody [EPR21726] - BSA and Azide free (AB242344)
  • IHC-Fr

Supplier Data

Immunohistochemistry (Frozen sections) - Anti-0N Tau antibody [EPR21726] - BSA and Azide free (AB242344)

Immunohistochemical analysis of 4% PFA-fixed, 0.2% Triton X-100 permeabilized frozen rat hippocampus tissue labeling Tau with ab218199 at 1/500 dilution (green), followed by ab150077 AlexaFluor®488 Goat anti-Rabbit secondary at a 1/1,000 dilution. Cytoplasmic staining on MF (mossy fibers) of rat hippocampus (PMID : 18925637, PMID : 24386422) is observed. Counterstained with DAPI (blue).
Secondary antibody only control : Used PBS instead of primary antibody, secondary antibody is ab150077 AlexaFluor®488 Goat anti-Rabbit used at a 1/1,000 dilution.

This data was developed using the same antibody clone in a different buffer formulation containing PBS, BSA, glycerol, and sodium azide.

Immunohistochemistry (Frozen sections) - Anti-0N Tau antibody [EPR21726] - BSA and Azide free (AB242344)
  • IHC-Fr

Supplier Data

Immunohistochemistry (Frozen sections) - Anti-0N Tau antibody [EPR21726] - BSA and Azide free (AB242344)

Negative control - Immunohistochemical analysis of 4% PFA-fixed, 0.2% Triton X-100 permeabilized frozen rat stomach tissue labeling Tau with ab218199 at 1/500 dilution, followed by ab150077 AlexaFluor®488 Goat anti-Rabbit secondary at a 1/1,000 dilution. No staining on rat stomach (PMID : 11727254; PMID : 8752131) is observed. Counterstained with DAPI (blue).
Secondary antibody only control : Used PBS instead of primary antibody, secondary antibody is ab150077 AlexaFluor®488 Goat anti-Rabbit used at a 1/1,000 dilution.

Heat mediated antigen retrieval using sodium citrate buffer (10 mM citrate pH 6.0 and 0.05% Tween-20).

This data was developed using the same antibody clone in a different buffer formulation containing PBS, BSA, glycerol, and sodium azide.

Key facts

Host species

Rabbit

Clonality

Monoclonal

Clone number

EPR21726

Isotype

IgG

Carrier free

Yes

Reacts with

Rat, Human

Applications

WB, IHC-Fr, IHC-P

applications

Immunogen

The exact immunogen used to generate this antibody is proprietary information.

Specificity

The specificity of this antibody refers to P10636-2.

Reactivity data

{ "title": "Reactivity Data", "filters": { "stats": ["", "Species", "Dilution Info", "Notes"], "tabs": { "all-applications": {"fullname" : "All Applications", "shortname": "All Applications"}, "IHCFr" : {"fullname" : "Immunohistochemistry (Frozen sections)", "shortname":"IHC-Fr"}, "IHCP" : {"fullname" : "Immunohistochemistry (Formalin/PFA-fixed paraffin-embedded sections)", "shortname":"IHC-P"}, "WB" : {"fullname" : "Western blot", "shortname":"WB"} }, "product-promise": { "all": "all", "testedAndGuaranteed": "tested", "guaranteed": "expected", "predicted": "predicted", "notRecommended": "not-recommended" } }, "values": { "Human": { "IHCFr-species-checked": "guaranteed", "IHCFr-species-dilution-info": "", "IHCFr-species-notes": "", "IHCP-species-checked": "testedAndGuaranteed", "IHCP-species-dilution-info": "", "IHCP-species-notes": "<p></p>", "WB-species-checked": "testedAndGuaranteed", "WB-species-dilution-info": "", "WB-species-notes": "<p></p>" }, "Rat": { "IHCFr-species-checked": "testedAndGuaranteed", "IHCFr-species-dilution-info": "", "IHCFr-species-notes": "<p></p>", "IHCP-species-checked": "guaranteed", "IHCP-species-dilution-info": "", "IHCP-species-notes": "", "WB-species-checked": "guaranteed", "WB-species-dilution-info": "", "WB-species-notes": "" }, "Recombinant full length protein - Human": { "IHCFr-species-checked": "notRecommended", "IHCFr-species-dilution-info": "", "IHCFr-species-notes": "", "IHCP-species-checked": "notRecommended", "IHCP-species-dilution-info": "", "IHCP-species-notes": "", "WB-species-checked": "testedAndGuaranteed", "WB-species-dilution-info": "", "WB-species-notes": "<p></p>" }, "Synthetic peptide": { "IHCFr-species-checked": "testedAndGuaranteed", "IHCFr-species-dilution-info": "", "IHCFr-species-notes": "<p></p>", "IHCP-species-checked": "testedAndGuaranteed", "IHCP-species-dilution-info": "", "IHCP-species-notes": "<p></p>", "WB-species-checked": "notRecommended", "WB-species-dilution-info": "", "WB-species-notes": "" } } }

You may be interested in:

AB273617

Human Tau ELISA Kit

0

0 Reviews

View product

We recommend this product because it’s often used in the same experiment or related research.

We advise that you always check the datasheet to ensure it fits your experiments, or contact ourtechnical teamfor help.

Product details

What is this antibody validated in?
Anti-0N Tau antibody [EPR21726] - BSA and Azide free (ab242344) is a rabbit recombinant monoclonal antibody and is validated for use in Western Blot (WB), Immunohistochemistry (IHC-P), Immunohistochemistry (IHC-Fr) in Human, Rat, samples.

Other related products
We have a range of other formats of antibody clone [EPR21726] also available for your convenience: ab218199, Carrier free - ab242344, APC - ab319311, PE - ab319450, Alexa Fluor® 488 - ab319577, Alexa Fluor® 647 - ab319685, Alexa Fluor® 594 - ab319804, Alexa Fluor® 555 - ab319945, Alexa Fluor® 750 - ab321397

Patented technology
Our RabMAb® technology is a patented hybridoma-based technology for making rabbit monoclonal antibodies. For details on our patents, please refer to RabMAb® patents.

What are the advantages of a recombinant monoclonal antibody?
This product is a recombinant monoclonal antibody, which offers several advantages including:

  • - High batch-to-batch consistency and reproducibility
  • - Improved sensitivity and specificity
  • - Long-term security of supply
  • - Animal-free batch production

For more information, read more on recombinant antibodies.

Conjugation ready
Our carrier-free antibodies are typically supplied in a PBS-only formulation, purified and free of BSA, sodium azide and glycerol. This conjugation-ready format is designed for use with fluorochromes, metal isotopes, oligonucleotides, and enzymes, which makes them ideal for antibody labelling, functional and cell-based assays, flow-based assays (e.g. mass cytometry) and Multiplex Imaging applications.

Use our conjugation kits for antibody conjugates that are ready-to-use in as little as 20 minutes with 1 minute hands-on-time and 100% antibody recovery: available for fluorescent dyes, HRP, biotin and gold.

Compatibility
This product is compatible with the Maxpar® Antibody Labeling Kit from Fluidigm, without the need for antibody preparation. Maxpar® is a trademark of Fluidigm Canada Inc.

Properties and storage information

Form
Liquid
Purification technique
Affinity purification Protein A
Storage buffer
pH: 7.2 - 7.4 Constituents: PBS
Shipped at conditions
Blue Ice
Appropriate short-term storage conditions
+4°C
Appropriate long-term storage conditions
+4°C
Storage information
Do Not Freeze

Supplementary information

This supplementary information is collated from multiple sources and compiled automatically.

The 0N Tau protein also known by its alternate names MAPT (microtubule-associated protein tau) and non-N-terminal tau serves important mechanical functions in the stabilization of microtubules within neurons. It does so by binding to and promoting microtubule assembly and maintenance. The mass of the 0N Tau isoform varies because of alternative splicing but it is a critical component of neurofibrillary structures. This protein expression occurs primarily in neurons but can also be found in glial cells of the central nervous system.
Biological function summary

The stabilization function of the 0N Tau isoform influences the cellular cytoskeleton's structural integrity which is necessary for accurate neuronal transport and function. It participates in the microtubule complex which forms the network necessary for intracellular transport and structural support. Stability and dynamics of this network allow efficient transport of nutrients organelles and signaling molecules within the cells playing an important role in maintaining neuronal health and function.

Pathways

The 0N Tau protein is involved in critical pathways like the MAPK and PI3K-Akt signaling pathways. These pathways influence cell survival proliferation and apoptotic processes. Proteins like glycogen synthase kinase-3 beta (GSK-3Β) regulate phosphorylation of tau affecting its binding to microtubules and subsequent cellular dynamics. Additionally hyperphosphorylation of tau by kinases such as CDK5 modifies its function and alters cellular pathways.

The role of 0N Tau becomes significant in neurodegenerative conditions like Alzheimer's disease and frontotemporal dementia. These disorders are associated with aberrant phosphorylation and aggregation of tau resulting in pathological tau tangles. The relationship of 0N Tau with amyloid-beta peptides also links it to Alzheimer's disease further highlighting its involvement in neurodegeneration. Proteins like amyloid precursor protein (APP) connect with tau pathology within these diseases contributing to neuronal dysfunction and degeneration.

Product protocols

For this product, it's our understanding that no specific protocols are required. You can visit:

Target data

The protein expressed by the MAPT gene promotes microtubule assembly and stability and might be involved in establishing and maintaining neuronal polarity. Its C-terminus binds axonal microtubules, and the N-terminus binds neural plasma membrane components, suggesting that tau functions as a linker protein between the two. Axonal polarity is predetermined by MAPT localization within the neuronal cell's domain defined by the centrosome. The short isoforms allow cytoskeleton plasticity, whereas the longer isoforms may preferentially play a role in its stabilization. This supplementary information is collated from multiple sources and compiled automatically.
See full target information MAPT

Additional targets

MAPT

Product promise

We are committed to supporting your work with high-quality reagents, and we're here for you every step of the way. In the unlikely event that one of our products does not perform as expected, you're protected by our Product Promise.
For full details, please see our Terms & Conditions

Please note: All products are 'FOR RESEARCH USE ONLY. NOT FOR USE IN DIAGNOSTIC OR THERAPEUTIC PROCEDURES'.

For licensing inquiries, please contact partnerships@abcam.com