JavaScript is disabled in your browser. Please enable JavaScript to view this website.
AB32560

Anti-14-3-3 alpha + beta antibody [Y62]

Be the first to review this product! Submit a review

|

(5 Publications)

Rabbit Recombinant Monoclonal 1433B phospho S184 + S186 antibody. Suitable for IP, Flow Cyt (Intra), WB, IHC-P, ICC/IF and reacts with Human, Mouse, Recombinant full length protein - Human, Rat samples. Cited in 5 publications.

View Alternative Names

14-3-3 protein beta/alpha, Protein 1054, Protein kinase C inhibitor protein 1, KCIP-1, YWHAB

8 Images
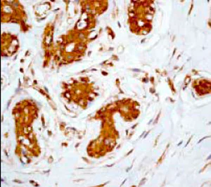
Immunohistochemistry (Formalin/PFA-fixed paraffin-embedded sections) - Anti-14-3-3 alpha + beta antibody [Y62] (AB32560)
  • IHC-P

Unknown

Immunohistochemistry (Formalin/PFA-fixed paraffin-embedded sections) - Anti-14-3-3 alpha + beta antibody [Y62] (AB32560)

ab32560, at a 1/500 dilution, staining 14-3-3 alpha + beta in paraffin embedded human breast tissue by Immunohistochemistry.

Perform heat mediated antigen retrieval with citrate buffer pH 6 before commencing with IHC staining protocol.

Flow Cytometry (Intracellular) - Anti-14-3-3 alpha + beta antibody [Y62] (AB32560)
  • Flow Cyt (Intra)

Lab

Flow Cytometry (Intracellular) - Anti-14-3-3 alpha + beta antibody [Y62] (AB32560)

Flow cytometric analysis of Hela (human cervical adenocarcinoma epithelial cell) cells labelling 14-3-3 alpha + beta with ab32560 at 1/1000 dilution (0.1ug) (Red) compared with a Secondary Antibody - Goat Anti-Rabbit IgG (Alexa Fluor® 488) (ab150081) and Isotype control - Rabbit monoclonal IgG (ab172730) (Black) and an unlabelled control (cells without incubation with primary antibody and secondary antibody) (Blue).

Immunocytochemistry/ Immunofluorescence - Anti-14-3-3 alpha + beta antibody [Y62] (AB32560)
  • ICC/IF

Lab

Immunocytochemistry/ Immunofluorescence - Anti-14-3-3 alpha + beta antibody [Y62] (AB32560)

Immunocytochemistry/ Immunofluorescence analysis of HeLa (human cervix adenocarcinoma epithelial cell) cells labeling 14-3-3 alpha + beta with purified ab32560 at 1/100 dilution (10 μg/mL). Cells were fixed in 100% Methanol. Cells were counterstained with ab195889 Anti-alpha Tubulin antibody [DM1A] - Microtubule Marker (Alexa Fluor® 594) 1/200 (2.5 μg/mL). Goat anti rabbit IgG (Alexa Fluor® 488, ab150077) was used as the secondary antibody at 1/1000 (2 μg/mL) dilution. DAPI (blue) was used as nuclear counterstain. ab195889 Anti-alpha Tubulin antibody [DM1A] - Microtubule Marker (Alexa Fluor® 594) 1/200 (2.5 μg/mL) was used as the secondary antibody only control.

Immunoprecipitation - Anti-14-3-3 alpha + beta antibody [Y62] (AB32560)
  • IP

Lab

Immunoprecipitation - Anti-14-3-3 alpha + beta antibody [Y62] (AB32560)

14-3-3 alpha + beta was immunoprecipitated from 10ug HeLa (human cervical adenocarcinoma epithelial cell) whole cell lysate with ab32560 at 1/30 dilution (2 µg in 0.35 mg lysates). Western blot was performed on the immunoprecipitate using ab32560 at 1/1000 dilution.

VeriBlot for IP secondary antibody(HRP) (ab131366) was used at 1/5000 dilution.

Blocking and dilution buffer and concentration : 5% NFDM/TBST.

All lanes:

Immunoprecipitation - Anti-14-3-3 alpha + beta antibody [Y62] (ab32560) at 1/1000 dilution

Lane 1:

HeLa (human cervical adenocarcinoma epithelial cell) whole cell lysate at 10 µg

Lane 2:

ab32560 at 1/30 in HeLa (human cervical adenocarcinoma epithelial cell) whole cell lysate at 10 µg

Lane 3:

Rabbit monoclonal IgG (<a href='/en-us/products/primary-antibodies/rabbit-igg-monoclonal-epr25a-isotype-control-ab172730'>ab172730</a>) instead of ab32560 in HeLa whole cell lysate at 10 µg

Secondary

All lanes:

Immunoprecipitation - VeriBlot for IP Detection Reagent (HRP) (<a href='/en-us/products/reagents/veriblot-for-ip-detection-reagent-hrp-ab131366'>ab131366</a>) at 1/5000 dilution

false

Exposure time: 6s

Flow Cytometry (Intracellular) - Anti-14-3-3 alpha + beta antibody [Y62] (AB32560)
  • Flow Cyt (Intra)

Lab

Flow Cytometry (Intracellular) - Anti-14-3-3 alpha + beta antibody [Y62] (AB32560)

Flow cytometric analysis of NIH/3T3 (mouse embryonic fibroblast) cells labelling 14-3-3 alpha + beta with ab32560 at 1/1000 dilution (0.1ug) (Red) compared with a Secondary Antibody - Goat Anti-Rabbit IgG (Alexa Fluor® 488) (ab150081) and Isotype control - Rabbit monoclonal IgG (ab172730) (Black) and an unlabelled control (cells without incubation with primary antibody and secondary antibody) (Blue).

Immunoprecipitation - Anti-14-3-3 alpha + beta antibody [Y62] (AB32560)
  • IP

Lab

Immunoprecipitation - Anti-14-3-3 alpha + beta antibody [Y62] (AB32560)

14-3-3 alpha + beta was immunoprecipitated from 10ug NIH/3T3 (mouse embryonic fibroblast) whole cell lysate with ab32560 at 1/30 dilution (2 µg in 0.35 mg lysates). Western blot was performed on the immunoprecipitate using ab32560 at 1/1000 dilution.

VeriBlot for IP secondary antibody(HRP) (ab131366) was used at 1/5000 dilution.

Blocking and dilution buffer and concentration : 5% NFDM/TBST.

All lanes:

Immunoprecipitation - Anti-14-3-3 alpha + beta antibody [Y62] (ab32560) at 1/1000 dilution

Lane 1:

NIH/3T3 (mouse embryonic fibroblast) whole cell lysate at 10 µg

Lane 2:

ab32560 at 1/30 in NIH/3T3 (mouse embryonic fibroblast) whole cell lysate at 10 µg

Lane 3:

Rabbit monoclonal IgG (<a href='/en-us/products/primary-antibodies/rabbit-igg-monoclonal-epr25a-isotype-control-ab172730'>ab172730</a>) instead of ab32560 in NIH/3T3 whole cell lysate at 10 µg

Secondary

All lanes:

Immunoprecipitation - VeriBlot for IP Detection Reagent (HRP) (<a href='/en-us/products/reagents/veriblot-for-ip-detection-reagent-hrp-ab131366'>ab131366</a>) at 1/5000 dilution

false

Exposure time: 6s

Western blot - Anti-14-3-3 alpha + beta antibody [Y62] (AB32560)
  • WB

Lab

Western blot - Anti-14-3-3 alpha + beta antibody [Y62] (AB32560)

In Western blot, Anti-6X His tag® antibody [AD1.1.10] (ab15149) total protein control and secondary antibody used was Goat Anti-Rabbit IgG, (H+L), Peroxidase conjugated (ab97051) at 1/20000 dilution.

Blocking and diluting buffer and concentration : 5% NFDM/TBST.

ab32560 does not react with other 14-3-3 protein families.

All lanes:

Western blot - Anti-14-3-3 alpha + beta antibody [Y62] (ab32560) at 1/1000 dilution

Lane 1:

Human 14-3-3 beta (YWHAB) Recombinant Protein with a his tag

Lane 2:

Human 14-3 3 gamma (YWHAG) Recombinant Protein with a his tag

Lane 3:

Human 14-3-3 epsilon (YWHAE) Recombinant Protein with a his tag

Lane 4:

Human 14-3-3 zeta (YWHAZ) Recombinant Protein with a his tag

Lane 5:

Human 14 3 3 eta (YWHAH) Recombinant Protein with a his tag

Lane 6:

Human 14-3-3 theta (YWHAQ) Recombinant Protein with a his tag

Lane 7:

Human 14-3-3 sigma (SFN) Recombinant Protein with a his tag

Secondary

All lanes:

Western blot - Goat Anti-Rabbit IgG H&L (HRP) (<a href='/en-us/products/secondary-antibodies/goat-rabbit-igg-h-l-hrp-ab97051'>ab97051</a>) at 1/20000 dilution

Observed band size: 30 kDa

false

Exposure time: 42s

Western blot - Anti-14-3-3 alpha + beta antibody [Y62] (AB32560)
  • WB

Unknown

Western blot - Anti-14-3-3 alpha + beta antibody [Y62] (AB32560)

All lanes:

Western blot - Anti-14-3-3 alpha + beta antibody [Y62] (ab32560) at 1/1000 dilution

All lanes:

Hela cell lysate

Predicted band size: 28 kDa

Observed band size: 28 kDa

false

  • Carrier free

    Anti-14-3-3 alpha + beta antibody [Y62] - BSA and Azide free

Key facts

Host species

Rabbit

Clonality

Monoclonal

Clone number

Y62

Isotype

IgG

Carrier free

No

Reacts with

Human

Applications

WB, ICC/IF, Flow Cyt (Intra), IHC-P, IP

applications

Immunogen

The exact immunogen used to generate this antibody is proprietary information.

Reactivity data

{ "title": "Reactivity Data", "filters": { "stats": ["", "Species", "Dilution Info", "Notes"], "tabs": { "all-applications": {"fullname" : "All Applications", "shortname": "All Applications"}, "IP" : {"fullname" : "Immunoprecipitation", "shortname":"IP"}, "FlowCytIntra" : {"fullname" : "Flow Cytometry (Intracellular)", "shortname":"Flow Cyt (Intra)"}, "WB" : {"fullname" : "Western blot", "shortname":"WB"}, "IHCP" : {"fullname" : "Immunohistochemistry (Formalin/PFA-fixed paraffin-embedded sections)", "shortname":"IHC-P"}, "ICCIF" : {"fullname" : "Immunocytochemistry/ Immunofluorescence", "shortname":"ICC/IF"} }, "product-promise": { "all": "all", "testedAndGuaranteed": "tested", "guaranteed": "expected", "predicted": "predicted", "notRecommended": "not-recommended" } }, "values": { "Human": { "IP-species-checked": "testedAndGuaranteed", "IP-species-dilution-info": "1/1000", "IP-species-notes": "<p></p>", "FlowCytIntra-species-checked": "testedAndGuaranteed", "FlowCytIntra-species-dilution-info": "1/1000", "FlowCytIntra-species-notes": "<p></p>", "WB-species-checked": "testedAndGuaranteed", "WB-species-dilution-info": "1/1000", "WB-species-notes": "<p></p>", "IHCP-species-checked": "testedAndGuaranteed", "IHCP-species-dilution-info": "", "IHCP-species-notes": "<p></p> Perform heat-mediated antigen retrieval with citrate buffer pH 6 before commencing with IHC staining protocol.", "ICCIF-species-checked": "testedAndGuaranteed", "ICCIF-species-dilution-info": "1/100", "ICCIF-species-notes": "<p></p>" }, "Mouse": { "IP-species-checked": "testedAndGuaranteed", "IP-species-dilution-info": "1/1000", "IP-species-notes": "<p></p>", "FlowCytIntra-species-checked": "testedAndGuaranteed", "FlowCytIntra-species-dilution-info": "1/1000", "FlowCytIntra-species-notes": "<p></p>", "WB-species-checked": "guaranteed", "WB-species-dilution-info": "", "WB-species-notes": "<p></p>", "IHCP-species-checked": "guaranteed", "IHCP-species-dilution-info": "", "IHCP-species-notes": "", "ICCIF-species-checked": "guaranteed", "ICCIF-species-dilution-info": "", "ICCIF-species-notes": "" }, "Rat": { "IP-species-checked": "predicted", "IP-species-dilution-info": "", "IP-species-notes": "", "FlowCytIntra-species-checked": "predicted", "FlowCytIntra-species-dilution-info": "", "FlowCytIntra-species-notes": "", "WB-species-checked": "guaranteed", "WB-species-dilution-info": "", "WB-species-notes": "<p></p>", "IHCP-species-checked": "predicted", "IHCP-species-dilution-info": "", "IHCP-species-notes": "", "ICCIF-species-checked": "predicted", "ICCIF-species-dilution-info": "", "ICCIF-species-notes": "" }, "Recombinant full length protein - Human": { "IP-species-checked": "notRecommended", "IP-species-dilution-info": "", "IP-species-notes": "", "FlowCytIntra-species-checked": "notRecommended", "FlowCytIntra-species-dilution-info": "", "FlowCytIntra-species-notes": "", "WB-species-checked": "testedAndGuaranteed", "WB-species-dilution-info": "1/1000", "WB-species-notes": "<p></p>", "IHCP-species-checked": "notRecommended", "IHCP-species-dilution-info": "", "IHCP-species-notes": "", "ICCIF-species-checked": "notRecommended", "ICCIF-species-dilution-info": "", "ICCIF-species-notes": "" } } }

Product details

Patented technology
Our RabMAb® technology is a patented hybridoma-based technology for making rabbit monoclonal antibodies. For details on our patents, please refer to RabMAb® patents.

What are the advantages of a recombinant monoclonal antibody?
This product is a recombinant monoclonal antibody, which offers several advantages including:

  • - High batch-to-batch consistency and reproducibility
  • - Improved sensitivity and specificity
  • - Long-term security of supply
  • - Animal-free batch production

For more information, read more on recombinant antibodies.

Properties and storage information

Form
Liquid
Purification technique
Affinity purification Protein A
Storage buffer
pH: 7.2 - 7.4 Preservative: 0.01% Sodium azide Constituents: PBS, 50% Glycerol (glycerin, glycerine), 0.05% BSA
Shipped at conditions
Blue Ice
Appropriate short-term storage conditions
+4°C
Appropriate long-term storage conditions
-20°C
Aliquoting information
Upon delivery aliquot
Storage information
Avoid freeze / thaw cycle

Supplementary information

This supplementary information is collated from multiple sources and compiled automatically.

14-3-3 alpha + beta proteins also known as YWHAZ (14-3-3 zeta) and YWHAB (14-3-3 beta) are part of a family of conserved proteins weighing approximately 28-33 kDa each. These proteins are found in many tissues and engage in binding phosphorylated serine/threonine residues on their target molecules. This binding influences the activity localization and stability of these target proteins. Expression of 14-3-3 alpha + beta proteins is prominent in the brain where they participate in key signaling pathways.
Biological function summary

14-3-3 proteins play central roles in regulating diverse cellular processes. These proteins frequently serve as scaffolding molecules stabilizing complexes for signal transduction pathways. By interacting with numerous partner proteins 14-3-3 complexes modulate cell cycle control apoptosis and DNA damage response. They help maintain cellular homeostasis by binding and regulating enzymes receptors and transcription factors.

Pathways

14-3-3 proteins are integral to many signaling cascades. The MAPK/ERK pathway involves these proteins with 14-3-3 binding to Raf kinases influencing signal transduction. They also participate in the PI3K/Akt pathway where 14-3-3 interaction with Akt affects cell survival and growth. 14-3-3 proteins regulate various cellular functions by interacting with related kinases and phosphatases in these pathways.

Alterations of 14-3-3 protein function have significant implications. Neurodegenerative disorders such as Alzheimer’s disease show changes in 14-3-3 protein binding patterns affecting neuronal stability. Aberrant 14-3-3 interactions also connect to cancerous pathways particularly in breast cancer where regulation of p53 and other tumor suppressor proteins becomes disrupted. 14-3-3 proteins influence disease progression through their extensive network of protein interactions.

Product protocols

For this product, it's our understanding that no specific protocols are required. You can visit:

Target data

Adapter protein implicated in the regulation of a large spectrum of both general and specialized signaling pathways. Binds to a large number of partners, usually by recognition of a phosphoserine or phosphothreonine motif. Binding generally results in the modulation of the activity of the binding partner. Negative regulator of osteogenesis. Blocks the nuclear translocation of the phosphorylated form (by AKT1) of SRPK2 and antagonizes its stimulatory effect on cyclin D1 expression resulting in blockage of neuronal apoptosis elicited by SRPK2. Negative regulator of signaling cascades that mediate activation of MAP kinases via AKAP13.
See full target information YWHAB phospho S184 + S186

Publications (5)

Recent publications for all applications. Explore the full list and refine your search

Experimental and therapeutic medicine 25:193 PubMed37090079

2023

YWHAB knockdown inhibits cell proliferation whilst promoting cell cycle arrest and apoptosis in colon cancer cells through PIK3R2.

Applications

Unspecified application

Species

Unspecified reactive species

Xin Zhou,Aijun Chen,Tingting Zhang

Nature communications 13:3586 PubMed35739107

2022

Macrocycle-stabilization of its interaction with 14-3-3 increases plasma membrane localization and activity of CFTR.

Applications

Unspecified application

Species

Unspecified reactive species

Loes M Stevers,Madita Wolter,Graeme W Carlile,Dwight Macdonald,Luc Richard,Frank Gielkens,John W Hanrahan,David Y Thomas,Sai Kumar Chakka,Mark L Peterson,Helmut Thomas,Luc Brunsveld,Christian Ottmann

Cell death & disease 12:170 PubMed33568630

2021

Akt kinase LANCL2 functions as a key driver in EGFR-mutant lung adenocarcinoma tumorigenesis.

Applications

Unspecified application

Species

Unspecified reactive species

Yuqing Lou,Jianlin Xu,Yanwei Zhang,Wei Zhang,Xueyan Zhang,Ping Gu,Hua Zhong,Huimin Wang,Jun Lu,Baohui Han

Frontiers in oncology 10:541479 PubMed33102213

2020

Identification and Validation of Novel Biomarkers for Diagnosis and Prognosis of Hepatocellular Carcinoma.

Applications

Unspecified application

Species

Unspecified reactive species

Xiaoyi Hu,Mingyang Bao,Jiacheng Huang,Lin Zhou,Shusen Zheng

Journal of cell science 128:992-1000 PubMed25588844

2015

Front-signal-dependent accumulation of the RHOA inhibitor FAM65B at leading edges polarizes neutrophils.

Applications

WB, IP

Species

Human, Human

Kun Gao,Wenwen Tang,Yuan Li,Pingzhao Zhang,Dejie Wang,Long Yu,Chenji Wang,Dianqing Wu
View all publications

Product promise

We are committed to supporting your work with high-quality reagents, and we're here for you every step of the way. In the unlikely event that one of our products does not perform as expected, you're protected by our Product Promise.
For full details, please see our Terms & Conditions

Please note: All products are 'FOR RESEARCH USE ONLY. NOT FOR USE IN DIAGNOSTIC OR THERAPEUTIC PROCEDURES'.

For licensing inquiries, please contact partnerships@abcam.com