JavaScript is disabled in your browser. Please enable JavaScript to view this website.
AB247270

Anti-14-3-3 alpha + beta antibody [Y62] - BSA and Azide free

Be the first to review this product! Submit a review

|

(1 Publication)

Rabbit Recombinant Monoclonal 1433B phospho S184 + S186 antibody. Carrier free. Suitable for IP, Flow Cyt, WB, IHC-P, ICC/IF and reacts with Human, Mouse samples. Cited in 1 publication.

View Alternative Names

14-3-3 protein beta/alpha, Protein 1054, Protein kinase C inhibitor protein 1, KCIP-1, YWHAB

5 Images
Immunocytochemistry/ Immunofluorescence - Anti-14-3-3 alpha + beta antibody [Y62] - BSA and Azide free (AB247270)
  • ICC/IF

Lab

Immunocytochemistry/ Immunofluorescence - Anti-14-3-3 alpha + beta antibody [Y62] - BSA and Azide free (AB247270)

Immunocytochemistry/ Immunofluorescence analysis of HeLa (human cervix adenocarcinoma epithelial cell) cells labeling 14-3-3 alpha + beta with purified ab32560 at 1/100 dilution (10 μg/mL). Cells were fixed in 100% Methanol. Cells were counterstained with ab195889 Anti-alpha Tubulin antibody [DM1A] - Microtubule Marker (Alexa Fluor® 594) 1/200 (2.5 μg/mL). Goat anti rabbit IgG (Alexa Fluor® 488, ab150077) was used as the secondary antibody at 1/1000 (2 μg/mL) dilution. DAPI (blue) was used as nuclear counterstain. ab195889 Anti-alpha Tubulin antibody [DM1A] - Microtubule Marker (Alexa Fluor® 594) 1/200 (2.5 μg/mL) was used as the secondary antibody only control.

This data was developed using the same antibody clone in a different buffer formulation containing PBS, BSA, glycerol, and sodium azide (ab32560).

Flow Cytometry (Intracellular) - Anti-14-3-3 alpha + beta antibody [Y62] - BSA and Azide free (AB247270)
  • Flow Cyt (Intra)

Lab

Flow Cytometry (Intracellular) - Anti-14-3-3 alpha + beta antibody [Y62] - BSA and Azide free (AB247270)

This data was developed using ab32560, the same antibody clone in a different buffer formulation.

Flow cytometric analysis of Hela (human cervical adenocarcinoma epithelial cell) cells labelling 14-3-3 alpha + beta with ab32560 at 1/1000 dilution (0.1ug) (Red) compared with a Secondary Antibody - Goat Anti-Rabbit IgG (Alexa Fluor® 488) (ab150081) and Isotype control - Rabbit monoclonal IgG (ab172730) (Black) and an unlabelled control (cells without incubation with primary antibody and secondary antibody) (Blue).

Flow Cytometry (Intracellular) - Anti-14-3-3 alpha + beta antibody [Y62] - BSA and Azide free (AB247270)
  • Flow Cyt (Intra)

Lab

Flow Cytometry (Intracellular) - Anti-14-3-3 alpha + beta antibody [Y62] - BSA and Azide free (AB247270)

Flow cytometric analysis of NIH/3T3 (mouse embryonic fibroblast) cells labelling 14-3-3 alpha + beta with ab32560 at 1/1000 dilution (0.1ug) (Red) compared with a Secondary Antibody - Goat Anti-Rabbit IgG (Alexa Fluor® 488) (ab150081) and Isotype control - Rabbit monoclonal IgG (ab172730) (Black) and an unlabelled control (cells without incubation with primary antibody and secondary antibody) (Blue).

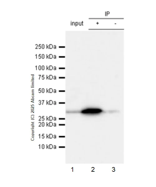
Immunoprecipitation - Anti-14-3-3 alpha + beta antibody [Y62] - BSA and Azide free (AB247270)
  • IP

Lab

Immunoprecipitation - Anti-14-3-3 alpha + beta antibody [Y62] - BSA and Azide free (AB247270)

This data was developed using ab32560, the same antibody clone in a different buffer formulation.

14-3-3 alpha + beta was immunoprecipitated from 10ug NIH/3T3 (mouse embryonic fibroblast) whole cell lysate with ab32560 at 1/30 dilution (2 µg in 0.35 mg lysates). Western blot was performed on the immunoprecipitate using ab32560 at 1/1000 dilution.

VeriBlot for IP secondary antibody(HRP) (ab131366) was used at 1/5000 dilution.

Blocking and dilution buffer and concentration : 5% NFDM/TBST.

All lanes:

Immunoprecipitation - Anti-14-3-3 alpha + beta antibody [Y62] (<a href='/en-us/products/primary-antibodies/14-3-3-alpha-beta-antibody-y62-ab32560'>ab32560</a>) at 1/1000 dilution

Lane 1:

NIH/3T3 (mouse embryonic fibroblast) whole cell lysate at 10 µg

Lane 2:

<a href='/en-us/products/primary-antibodies/14-3-3-alpha-beta-antibody-y62-ab32560'>ab32560</a> at 1/30 in NIH/3T3 (mouse embryonic fibroblast) whole cell lysate at 10 µg

Lane 3:

Rabbit monoclonal IgG (<a href='/en-us/products/primary-antibodies/rabbit-igg-monoclonal-epr25a-isotype-control-ab172730'>ab172730</a>) instead of <a href='/en-us/products/primary-antibodies/14-3-3-alpha-beta-antibody-y62-ab32560'>ab32560</a> in NIH/3T3 whole cell lysate at 10 µg

Secondary

All lanes:

Immunoprecipitation - VeriBlot for IP Detection Reagent (HRP) (<a href='/en-us/products/reagents/veriblot-for-ip-detection-reagent-hrp-ab131366'>ab131366</a>) at 1/5000 dilution

false

Exposure time: 6s

Western blot - Anti-14-3-3 alpha + beta antibody [Y62] - BSA and Azide free (AB247270)
  • WB

Lab

Western blot - Anti-14-3-3 alpha + beta antibody [Y62] - BSA and Azide free (AB247270)

This data was developed using ab32560, the same antibody clone in a different buffer formulation.

In Western blot, Anti-6X His tag® antibody [AD1.1.10] (ab15149) total protein control and secondary antibody used was Goat Anti-Rabbit IgG, (H+L), Peroxidase conjugated (ab97051) at 1/20000 dilution.

Blocking and diluting buffer and concentration : 5% NFDM/TBST.

ab32560 does not react with other 14-3-3 protein families.

All lanes:

Western blot - Anti-14-3-3 alpha + beta antibody [Y62] (<a href='/en-us/products/primary-antibodies/14-3-3-alpha-beta-antibody-y62-ab32560'>ab32560</a>) at 1/1000 dilution

Lane 1:

Human 14-3-3 beta (YWHAB) Recombinant Protein with a his tag

Lane 2:

Human 14-3 3 gamma (YWHAG) Recombinant Protein with a his tag

Lane 3:

Human 14-3-3 epsilon (YWHAE) Recombinant Protein with a his tag

Lane 4:

Human 14-3-3 zeta (YWHAZ) Recombinant Protein with a his tag

Lane 5:

Human 14 3 3 eta (YWHAH) Recombinant Protein with a his tag

Lane 6:

Human 14-3-3 theta (YWHAQ) Recombinant Protein with a his tag

Lane 7:

Human 14-3-3 sigma (SFN) Recombinant Protein with a his tag

Secondary

All lanes:

Western blot - Goat Anti-Rabbit IgG H&L (HRP) (<a href='/en-us/products/secondary-antibodies/goat-rabbit-igg-h-l-hrp-ab97051'>ab97051</a>) at 1/20000 dilution

Observed band size: 30 kDa

false

Exposure time: 42s

Key facts

Host species

Rabbit

Clonality

Monoclonal

Clone number

Y62

Isotype

IgG

Carrier free

Yes

Reacts with

Mouse, Human

Applications

Flow Cyt, ICC/IF, IP, WB, IHC-P

applications

Immunogen

The exact immunogen used to generate this antibody is proprietary information.

Reactivity data

{ "title": "Reactivity Data", "filters": { "stats": ["", "Species", "Dilution Info", "Notes"], "tabs": { "all-applications": {"fullname" : "All Applications", "shortname": "All Applications"}, "IP" : {"fullname" : "Immunoprecipitation", "shortname":"IP"}, "FlowCyt" : {"fullname" : "Flow Cytometry", "shortname":"Flow Cyt"}, "WB" : {"fullname" : "Western blot", "shortname":"WB"}, "IHCP" : {"fullname" : "Immunohistochemistry (Formalin/PFA-fixed paraffin-embedded sections)", "shortname":"IHC-P"}, "ICCIF" : {"fullname" : "Immunocytochemistry/ Immunofluorescence", "shortname":"ICC/IF"} }, "product-promise": { "all": "all", "testedAndGuaranteed": "tested", "guaranteed": "expected", "predicted": "predicted", "notRecommended": "not-recommended" } }, "values": { "Human": { "IP-species-checked": "testedAndGuaranteed", "IP-species-dilution-info": "", "IP-species-notes": "<p></p>", "FlowCyt-species-checked": "testedAndGuaranteed", "FlowCyt-species-dilution-info": "", "FlowCyt-species-notes": "<p></p>", "WB-species-checked": "testedAndGuaranteed", "WB-species-dilution-info": "", "WB-species-notes": "<p></p>", "IHCP-species-checked": "guaranteed", "IHCP-species-dilution-info": "", "IHCP-species-notes": "<p></p> Perform heat-mediated antigen retrieval with citrate buffer pH 6 before commencing with IHC staining protocol.", "ICCIF-species-checked": "testedAndGuaranteed", "ICCIF-species-dilution-info": "", "ICCIF-species-notes": "<p></p>" }, "Mouse": { "IP-species-checked": "testedAndGuaranteed", "IP-species-dilution-info": "", "IP-species-notes": "<p></p>", "FlowCyt-species-checked": "testedAndGuaranteed", "FlowCyt-species-dilution-info": "", "FlowCyt-species-notes": "<p></p>", "WB-species-checked": "guaranteed", "WB-species-dilution-info": "", "WB-species-notes": "", "IHCP-species-checked": "predicted", "IHCP-species-dilution-info": "", "IHCP-species-notes": "", "ICCIF-species-checked": "guaranteed", "ICCIF-species-dilution-info": "", "ICCIF-species-notes": "" }, "Rat": { "IP-species-checked": "predicted", "IP-species-dilution-info": "", "IP-species-notes": "", "FlowCyt-species-checked": "predicted", "FlowCyt-species-dilution-info": "", "FlowCyt-species-notes": "", "WB-species-checked": "predicted", "WB-species-dilution-info": "", "WB-species-notes": "", "IHCP-species-checked": "predicted", "IHCP-species-dilution-info": "", "IHCP-species-notes": "", "ICCIF-species-checked": "predicted", "ICCIF-species-dilution-info": "", "ICCIF-species-notes": "" } } }

Product details

ab247270 is the carrier-free version of ab32560.

Patented technology
Our RabMAb® technology is a patented hybridoma-based technology for making rabbit monoclonal antibodies. For details on our patents, please refer to RabMAb® patents.

What are the advantages of a recombinant monoclonal antibody?
This product is a recombinant monoclonal antibody, which offers several advantages including:

  • - High batch-to-batch consistency and reproducibility
  • - Improved sensitivity and specificity
  • - Long-term security of supply
  • - Animal-free batch production

For more information, read more on recombinant antibodies.

Conjugation ready
Our carrier-free antibodies are typically supplied in a PBS-only formulation, purified and free of BSA, sodium azide and glycerol. This conjugation-ready format is designed for use with fluorochromes, metal isotopes, oligonucleotides, and enzymes, which makes them ideal for antibody labelling, functional and cell-based assays, flow-based assays (e.g. mass cytometry) and Multiplex Imaging applications.

Use our conjugation kits for antibody conjugates that are ready-to-use in as little as 20 minutes with 1 minute hands-on-time and 100% antibody recovery: available for fluorescent dyes, HRP, biotin and gold.

Compatibility
This product is compatible with the Maxpar® Antibody Labeling Kit from Fluidigm, without the need for antibody preparation. Maxpar® is a trademark of Fluidigm Canada Inc.

Properties and storage information

Form
Liquid
Purification technique
Affinity purification Protein A
Storage buffer
pH: 7.2 - 7.4 Constituents: PBS
Shipped at conditions
Blue Ice
Appropriate short-term storage conditions
+4°C
Appropriate long-term storage conditions
+4°C
Storage information
Do Not Freeze

Supplementary information

This supplementary information is collated from multiple sources and compiled automatically.

14-3-3 alpha + beta proteins also known as YWHAZ (14-3-3 zeta) and YWHAB (14-3-3 beta) are part of a family of conserved proteins weighing approximately 28-33 kDa each. These proteins are found in many tissues and engage in binding phosphorylated serine/threonine residues on their target molecules. This binding influences the activity localization and stability of these target proteins. Expression of 14-3-3 alpha + beta proteins is prominent in the brain where they participate in key signaling pathways.
Biological function summary

14-3-3 proteins play central roles in regulating diverse cellular processes. These proteins frequently serve as scaffolding molecules stabilizing complexes for signal transduction pathways. By interacting with numerous partner proteins 14-3-3 complexes modulate cell cycle control apoptosis and DNA damage response. They help maintain cellular homeostasis by binding and regulating enzymes receptors and transcription factors.

Pathways

14-3-3 proteins are integral to many signaling cascades. The MAPK/ERK pathway involves these proteins with 14-3-3 binding to Raf kinases influencing signal transduction. They also participate in the PI3K/Akt pathway where 14-3-3 interaction with Akt affects cell survival and growth. 14-3-3 proteins regulate various cellular functions by interacting with related kinases and phosphatases in these pathways.

Alterations of 14-3-3 protein function have significant implications. Neurodegenerative disorders such as Alzheimer’s disease show changes in 14-3-3 protein binding patterns affecting neuronal stability. Aberrant 14-3-3 interactions also connect to cancerous pathways particularly in breast cancer where regulation of p53 and other tumor suppressor proteins becomes disrupted. 14-3-3 proteins influence disease progression through their extensive network of protein interactions.

Product protocols

For this product, it's our understanding that no specific protocols are required. You can visit:

Target data

Adapter protein implicated in the regulation of a large spectrum of both general and specialized signaling pathways. Binds to a large number of partners, usually by recognition of a phosphoserine or phosphothreonine motif. Binding generally results in the modulation of the activity of the binding partner. Negative regulator of osteogenesis. Blocks the nuclear translocation of the phosphorylated form (by AKT1) of SRPK2 and antagonizes its stimulatory effect on cyclin D1 expression resulting in blockage of neuronal apoptosis elicited by SRPK2. Negative regulator of signaling cascades that mediate activation of MAP kinases via AKAP13.
See full target information YWHAB phospho S184 + S186

Publications (1)

Recent publications for all applications. Explore the full list and refine your search

OncoTargets and therapy 18:1093-1105 PubMed41019790

2025

Ebp1 p48 Promotes Oncogenic Properties in Non-Small Cell Lung Cancer Through PI3K/Akt Signaling Pathways.

Applications

Unspecified application

Species

Unspecified reactive species

Lina Ma,Shuyuan Wang,Jia Zhang,Mengyuan Xin,Dongyuan Xu,Lan Liu,Xiangdan Li
View all publications

Product promise

We are committed to supporting your work with high-quality reagents, and we're here for you every step of the way. In the unlikely event that one of our products does not perform as expected, you're protected by our Product Promise.
For full details, please see our Terms & Conditions

Please note: All products are 'FOR RESEARCH USE ONLY. NOT FOR USE IN DIAGNOSTIC OR THERAPEUTIC PROCEDURES'.

For licensing inquiries, please contact partnerships@abcam.com