JavaScript is disabled in your browser. Please enable JavaScript to view this website.
AB97273

Anti-14-3-3 beta antibody

Be the first to review this product! Submit a review

|

(5 Publications)

Rabbit Polyclonal 1433B phospho S184 + S186 antibody. Suitable for WB, IHC-P, ICC/IF and reacts with Mouse, Human, Rat samples. Cited in 5 publications. Immunogen corresponding to Recombinant Fragment Protein within Human YWHAB phospho S184 + S186 aa 1-150.

View Alternative Names

14-3-3 protein beta/alpha, Protein 1054, Protein kinase C inhibitor protein 1, KCIP-1, YWHAB

7 Images
Immunohistochemistry (Formalin/PFA-fixed paraffin-embedded sections) - Anti-14-3-3 beta antibody (AB97273)
  • IHC-P

Supplier Data

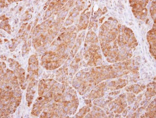
Immunohistochemistry (Formalin/PFA-fixed paraffin-embedded sections) - Anti-14-3-3 beta antibody (AB97273)

Immunohistochemistry (Formalin/PFA-fixed paraffin-embedded sections) analysis of SW480 xenograft labelling 14-3-3 beta with ab97273 at a dilution of 1/500.

Immunocytochemistry/ Immunofluorescence - Anti-14-3-3 beta antibody (AB97273)
  • ICC/IF

Unknown

Immunocytochemistry/ Immunofluorescence - Anti-14-3-3 beta antibody (AB97273)

ab97273, at a 1/200 dilution, staining 14-3-3 beta in paraformaldehyde fixed HeLa by Immunofluorescence analysis.
Right image is merged with DNA probe.

Immunohistochemistry (Formalin/PFA-fixed paraffin-embedded sections) - Anti-14-3-3 beta antibody (AB97273)
  • IHC-P

Supplier Data

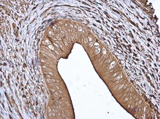
Immunohistochemistry (Formalin/PFA-fixed paraffin-embedded sections) - Anti-14-3-3 beta antibody (AB97273)

Immunohistochemistry (Formalin/PFA-fixed paraffin-embedded sections) analysis of rat cervix labelling 14-3-3 beta with ab97273 at a dilution of 1/500.

Western blot - Anti-14-3-3 beta antibody (AB97273)
  • WB

Unknown

Western blot - Anti-14-3-3 beta antibody (AB97273)

12% SDS PAGE

All lanes:

Western blot - Anti-14-3-3 beta antibody (ab97273) at 1/10000 dilution

Lane 1:

A431 whole cell lysate at 30 µg

Lane 2:

H1299 whole cell lysate at 30 µg

Lane 3:

HeLa whole cell lysate at 30 µg

Lane 4:

HepG2 whole cell lysate at 30 µg

Lane 5:

MOLT4 whole cell lysate at 30 µg

Lane 6:

Raji whole cell lysate at 30 µg

Predicted band size: 28 kDa

false

Western blot - Anti-14-3-3 beta antibody (AB97273)
  • WB

Supplier Data

Western blot - Anti-14-3-3 beta antibody (AB97273)

All lanes:

Western blot - Anti-14-3-3 beta antibody (ab97273) at 1/10000 dilution

Lane 1:

293T whole cell lysate at 30 µg

Lane 2:

A431 whole cell lysate at 30 µg

Lane 3:

HeLa whole cell lysate at 30 µg

Lane 4:

HepG2 whole cell lysate at 30 µg

Secondary

All lanes:

HRP-conjugated anti-rabbit IgG

Predicted band size: 28 kDa

false

Western blot - Anti-14-3-3 beta antibody (AB97273)
  • WB

Supplier Data

Western blot - Anti-14-3-3 beta antibody (AB97273)

12% SDS PAGE.

All lanes:

Western blot - Anti-14-3-3 beta antibody (ab97273) at 1/10000 dilution

All lanes:

Mouse brain tissue lysate at 20 µg

Predicted band size: 28 kDa

false

Western blot - Anti-14-3-3 beta antibody (AB97273)
  • WB

CiteAb

Western blot - Anti-14-3-3 beta antibody (AB97273)

14-3-3 beta western blot using anti-14-3-3 beta antibody ab97273. Publication image and figure legend from Xu, C., Du, Z., et al., 2020, J Cancer, PubMed 31949489.

ab97273 was used in this publication in western blot. This may not be the same as the application(s) guaranteed by Abcam. For a full list of applications guaranteed by Abcam for ab97273 please see the product overview.

YWHAB is a direct downstream target of miR-129-5p. Note : (A) The potential interaction between miR-129-5p and putative binding sites in the YWHAB 3'-UTR predicted by TargetScan (upper panel). A highly-conserved miR-129-5p targeting sequence was predicted in the 3'-UTR of the YWHAB mRNA (bottom panel). (B) The sequences of the mutated YWHAB 3' UTR, in which several nucleotides within the miR-129-5p binding site were mutated. (C) The luciferase activity in the A549 and H1299 cells. Cells were cotransfected with miRNAs and luciferase report plasmids and the luciferase activities were detected in different groups. Each value is evaluated by the relative luciferase activity of firefly to renilla. (D) Effect of miR-129-5p on YWHAB mRNA level in the A549 and H1299 cells. After the cells were transfected, the YWHAB protein expression was detected by RT-PCR. β-actin was used for the internal control. (E) Effect of miR-129-5p on YWHAB protein level in the A549 and H1299 cells. After the cells were transfected, the YWHAB protein expression was detected by Western blot. GAPDH was used for the internal control. Relative levels of YWHAB were analyzed by quantification of the density of the bands with Image J software (bottom panel).

false

Key facts

Host species

Rabbit

Clonality

Polyclonal

Isotype

IgG

Carrier free

No

Reacts with

Mouse, Rat, Human

Applications

WB, IHC-P, ICC/IF

applications

Immunogen

Recombinant Fragment Protein within Human YWHAB phospho S184 + S186 aa 1-150. The exact immunogen used to generate this antibody is proprietary information.

P31946

Reactivity data

{ "title": "Reactivity Data", "filters": { "stats": ["", "Species", "Dilution Info", "Notes"], "tabs": { "all-applications": {"fullname" : "All Applications", "shortname": "All Applications"}, "WB" : {"fullname" : "Western blot", "shortname":"WB"}, "IHCP" : {"fullname" : "Immunohistochemistry (Formalin/PFA-fixed paraffin-embedded sections)", "shortname":"IHC-P"}, "ICCIF" : {"fullname" : "Immunocytochemistry/ Immunofluorescence", "shortname":"ICC/IF"} }, "product-promise": { "all": "all", "testedAndGuaranteed": "tested", "guaranteed": "expected", "predicted": "predicted", "notRecommended": "not-recommended" } }, "values": { "Human": { "WB-species-checked": "testedAndGuaranteed", "WB-species-dilution-info": "1/5000 - 1/20000", "WB-species-notes": "<p></p>", "IHCP-species-checked": "testedAndGuaranteed", "IHCP-species-dilution-info": "1/100 - 1/1000", "IHCP-species-notes": "<p></p>", "ICCIF-species-checked": "testedAndGuaranteed", "ICCIF-species-dilution-info": "1/100 - 1/200", "ICCIF-species-notes": "<p></p>" }, "Mouse": { "WB-species-checked": "testedAndGuaranteed", "WB-species-dilution-info": "1/5000 - 1/20000", "WB-species-notes": "<p></p>", "IHCP-species-checked": "guaranteed", "IHCP-species-dilution-info": "", "IHCP-species-notes": "", "ICCIF-species-checked": "guaranteed", "ICCIF-species-dilution-info": "", "ICCIF-species-notes": "" }, "Rat": { "WB-species-checked": "guaranteed", "WB-species-dilution-info": "", "WB-species-notes": "", "IHCP-species-checked": "testedAndGuaranteed", "IHCP-species-dilution-info": "1/100 - 1/1000", "IHCP-species-notes": "<p></p>", "ICCIF-species-checked": "guaranteed", "ICCIF-species-dilution-info": "", "ICCIF-species-notes": "" }, "Pig": { "WB-species-checked": "predicted", "WB-species-dilution-info": "", "WB-species-notes": "", "IHCP-species-checked": "predicted", "IHCP-species-dilution-info": "", "IHCP-species-notes": "", "ICCIF-species-checked": "predicted", "ICCIF-species-dilution-info": "", "ICCIF-species-notes": "" } } }

Properties and storage information

Form
Liquid
Purification technique
Affinity purification Immunogen
Storage buffer
pH: 7 Preservative: 0.01% Thimerosal (merthiolate) Constituents: 10% Glycerol (glycerin, glycerine), 1.21% Tris, 0.75% Glycine
Shipped at conditions
Blue Ice
Appropriate short-term storage conditions
+4°C
Appropriate long-term storage conditions
-20°C
Aliquoting information
Upon delivery aliquot
Storage information
Avoid freeze / thaw cycle

Supplementary information

This supplementary information is collated from multiple sources and compiled automatically.

14-3-3 beta also known as YWHAB is a protein that electrically neutralizes and stabilizes partner proteins. It has a mass of about 30 kDa and is part of the highly conserved 14-3-3 protein family. This family is ubiquitous in eukaryotic cells with 14-3-3 beta being expressed in many tissues including the brain and muscles. Its mechanical role involves binding phosphorylated serine and threonine residues which influences the conformation and function of the target protein.
Biological function summary

14-3-3 beta plays a central role in cellular processes like signal transduction apoptosis and cell cycle control. It often acts in concert with other proteins forming complexes that regulate these vital functions. For instance it binds to Raf-1 kinase affecting cell growth and differentiation. It also interacts with proteins involved in the mitogen-activated protein kinase (MAPK) pathway highlighting its diverse biological significance.

Pathways

14-3-3 beta is important in both the MAPK and apoptotic pathways. In the MAPK pathway it helps regulate the phosphorylation status of proteins involved in cell proliferation. The protein binds to Raf-1 an important component in MAPK signaling impacting cellular responses to growth signals. In the context of apoptosis 14-3-3 beta partners with BAD protein a pro-apoptotic factor sequestering it away from mitochondria this interaction is critical for cell survival by preventing the apoptotic process.

Disruptions in 14-3-3 beta function associate with neurodegenerative diseases and cancer. For example its interaction with proteins like Tau connected to Alzheimer's disease points to its involvement in neurodegeneration. Aberrations in its regulatory roles can also contribute to uncontrolled cell growth linked to cancer. Furthermore its interaction with Bcl-2 family proteins ties it to variations in apoptotic regulation seen in cancerous cells.

Product protocols

For this product, it's our understanding that no specific protocols are required. You can visit:

Target data

Adapter protein implicated in the regulation of a large spectrum of both general and specialized signaling pathways. Binds to a large number of partners, usually by recognition of a phosphoserine or phosphothreonine motif. Binding generally results in the modulation of the activity of the binding partner. Negative regulator of osteogenesis. Blocks the nuclear translocation of the phosphorylated form (by AKT1) of SRPK2 and antagonizes its stimulatory effect on cyclin D1 expression resulting in blockage of neuronal apoptosis elicited by SRPK2. Negative regulator of signaling cascades that mediate activation of MAP kinases via AKAP13.
See full target information YWHAB phospho S184 + S186

Publications (5)

Recent publications for all applications. Explore the full list and refine your search

Genes & diseases 11:101100 PubMed39281832

2024

Elevated meteorin-like protein from high-intensity interval training improves heart function via AMPK/HDAC4 pathway.

Applications

Unspecified application

Species

Unspecified reactive species

Yongshun Wang,Jie Yuan,Huadong Liu,Jie Chen,Jieru Zou,Xiaoyi Zeng,Lei Du,Xin Sun,Zhengyuan Xia,Qingshan Geng,Yin Cai,Jingjin Liu

Journal of Cancer 11:858-866 PubMed31949489

2020

MiR-129-5p sensitization of lung cancer cells to etoposide-induced apoptosis by reducing YWHAB.

Applications

Unspecified application

Species

Unspecified reactive species

Chengshan Xu,Zhongli Du,Simei Ren,Xiaoshuan Liang,Huihui Li

Frontiers in medicine 6:237 PubMed31737636

2019

Low Expression of 14-3-3beta Is Associated With Adverse Survival of Diffuse Large B-Cell Lymphoma Patients.

Applications

Unspecified application

Species

Unspecified reactive species

Chaoping Li,Zhaoming Li,Mingzhi Zhang

Molecular medicine reports 17:2493-2500 PubMed29207109

2017

Downregulation of 14-3-3β inhibits proliferation and migration in osteosarcoma cells.

Applications

Unspecified application

Species

Unspecified reactive species

Quanming Wu,Jianwei Zhu,Fan Liu,Jin Liu,Mingpeng Li

Molecular & cellular proteomics : MCP 11:M111.009530 PubMed21976671

2011

Brainstem deficiency of the 14-3-3 regulator of serotonin synthesis: a proteomics analysis in the sudden infant death syndrome.

Applications

WB

Species

Human

Kevin G Broadbelt,Keith D Rivera,David S Paterson,Jhodie R Duncan,Felicia L Trachtenberg,Joao A Paulo,Martha D Stapels,Natalia S Borenstein,Richard A Belliveau,Elisabeth A Haas,Christina Stanley,Henry F Krous,Hanno Steen,Hannah C Kinney
View all publications

Product promise

We are committed to supporting your work with high-quality reagents, and we're here for you every step of the way. In the unlikely event that one of our products does not perform as expected, you're protected by our Product Promise.
For full details, please see our Terms & Conditions

Please note: All products are 'FOR RESEARCH USE ONLY. NOT FOR USE IN DIAGNOSTIC OR THERAPEUTIC PROCEDURES'.

For licensing inquiries, please contact partnerships@abcam.com