JavaScript is disabled in your browser. Please enable JavaScript to view this website.
AB237732

Anti-14-3-3 gamma/YWHAG antibody

Be the first to review this product! Submit a review

|

(2 Publications)

Rabbit Polyclonal 1433G antibody. Suitable for IP, WB, IHC-P and reacts with Human, Mouse, Rat samples. Cited in 2 publications. Immunogen corresponding to Recombinant Fragment Protein within Human YWHAG aa 100-200.

View Alternative Names

14-3-3 protein gamma, Protein kinase C inhibitor protein 1, KCIP-1, YWHAG

4 Images
Immunohistochemistry (Formalin/PFA-fixed paraffin-embedded sections) - Anti-14-3-3 gamma/YWHAG antibody (AB237732)
  • IHC-P

Supplier Data

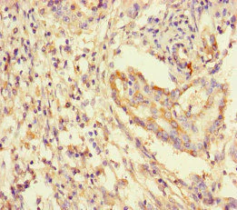
Immunohistochemistry (Formalin/PFA-fixed paraffin-embedded sections) - Anti-14-3-3 gamma/YWHAG antibody (AB237732)

Paraffin-embedded human pancreatic cancer tissue stained for 14-3-3 gamma/YWHAG using ab237732 at 1/100 dilution in immunohistochemical analysis.

Immunohistochemistry (Formalin/PFA-fixed paraffin-embedded sections) - Anti-14-3-3 gamma/YWHAG antibody (AB237732)
  • IHC-P

Supplier Data

Immunohistochemistry (Formalin/PFA-fixed paraffin-embedded sections) - Anti-14-3-3 gamma/YWHAG antibody (AB237732)

Paraffin-embedded human ovarian cancer tissue stained for 14-3-3 gamma/YWHAG using ab237732 at 1/100 dilution in immunohistochemical analysis.

Western blot - Anti-14-3-3 gamma/YWHAG antibody (AB237732)
  • WB

Supplier Data

Western blot - Anti-14-3-3 gamma/YWHAG antibody (AB237732)

All lanes:

Western blot - Anti-14-3-3 gamma/YWHAG antibody (ab237732) at 1/500 dilution

Lane 1:

Mouse brain lysate

Lane 2:

NIH/3T3 (mouse embryo fibroblast cell line) whole cell lysate

Lane 3:

A431 (human epidermoid carcinoma cell line) whole cell lysate

Lane 4:

K562 (human chronic myelogenous leukemia cell line from bone marrow) whole cell lysate

Lane 5:

Jurkat (human T cell leukemia cell line from peripheral blood) whole cell lysate

Lane 6:

Human placenta lysate

Secondary

All lanes:

Goat polyclonal to rabbit IgG at 1/50000 dilution

Predicted band size: 28 kDa

false

Western blot - Anti-14-3-3 gamma/YWHAG antibody (AB237732)
  • WB

Unknown

Western blot - Anti-14-3-3 gamma/YWHAG antibody (AB237732)

All lanes:

Western blot - Anti-14-3-3 gamma/YWHAG antibody (ab237732) at 1/500 dilution

Lane 1:

HeLa (human epithelial cell line from cervix adenocarcinoma) whole cell lysate

Lane 2:

Jurkat (human T cell leukemia cell line from peripheral blood) whole cell lysate

Lane 3:

NIH/3T3 (mouse embryo fibroblast cell line) whole cell lysate

Lane 4:

U-251 MG (human brain glioma cell line) whole cell lysate

Lane 5:

K562 (human chronic myelogenous leukemia cell line from bone marrow) whole cell lysate

Lane 6:

Rat brain lysate

Secondary

All lanes:

Goat polyclonal to rabbit IgG at 1/50000 dilution

Predicted band size: 28 kDa

false

Key facts

Host species

Rabbit

Clonality

Polyclonal

Isotype

IgG

Carrier free

No

Reacts with

Mouse, Rat, Human

Applications

WB, IHC-P, IP

applications

Immunogen

Recombinant Fragment Protein within Human YWHAG aa 100-200. The exact immunogen used to generate this antibody is proprietary information.

P61981

Reactivity data

{ "title": "Reactivity Data", "filters": { "stats": ["", "Species", "Dilution Info", "Notes"], "tabs": { "all-applications": {"fullname" : "All Applications", "shortname": "All Applications"}, "IP" : {"fullname" : "Immunoprecipitation", "shortname":"IP"}, "WB" : {"fullname" : "Western blot", "shortname":"WB"}, "IHCP" : {"fullname" : "Immunohistochemistry (Formalin/PFA-fixed paraffin-embedded sections)", "shortname":"IHC-P"} }, "product-promise": { "all": "all", "testedAndGuaranteed": "tested", "guaranteed": "expected", "predicted": "predicted", "notRecommended": "not-recommended" } }, "values": { "Human": { "IP-species-checked": "guaranteed", "IP-species-dilution-info": "1/200 - 1/2000", "IP-species-notes": "<p></p>", "WB-species-checked": "testedAndGuaranteed", "WB-species-dilution-info": "1/500 - 1/2000", "WB-species-notes": "<p></p>", "IHCP-species-checked": "testedAndGuaranteed", "IHCP-species-dilution-info": "1/20 - 1/200", "IHCP-species-notes": "<p></p>" }, "Mouse": { "IP-species-checked": "notRecommended", "IP-species-dilution-info": "1/200 - 1/2000", "IP-species-notes": "<p></p>", "WB-species-checked": "testedAndGuaranteed", "WB-species-dilution-info": "1/500 - 1/2000", "WB-species-notes": "<p></p>", "IHCP-species-checked": "notRecommended", "IHCP-species-dilution-info": "1/20 - 1/200", "IHCP-species-notes": "<p></p>" }, "Rat": { "IP-species-checked": "notRecommended", "IP-species-dilution-info": "1/200 - 1/2000", "IP-species-notes": "<p></p>", "WB-species-checked": "testedAndGuaranteed", "WB-species-dilution-info": "1/500 - 1/2000", "WB-species-notes": "<p></p>", "IHCP-species-checked": "notRecommended", "IHCP-species-dilution-info": "1/20 - 1/200", "IHCP-species-notes": "<p></p>" }, "Chicken": { "IP-species-checked": "notRecommended", "IP-species-dilution-info": "", "IP-species-notes": "", "WB-species-checked": "predicted", "WB-species-dilution-info": "", "WB-species-notes": "", "IHCP-species-checked": "notRecommended", "IHCP-species-dilution-info": "", "IHCP-species-notes": "" }, "Cow": { "IP-species-checked": "notRecommended", "IP-species-dilution-info": "", "IP-species-notes": "", "WB-species-checked": "predicted", "WB-species-dilution-info": "", "WB-species-notes": "", "IHCP-species-checked": "notRecommended", "IHCP-species-dilution-info": "", "IHCP-species-notes": "" }, "Orange": { "IP-species-checked": "notRecommended", "IP-species-dilution-info": "", "IP-species-notes": "", "WB-species-checked": "predicted", "WB-species-dilution-info": "", "WB-species-notes": "", "IHCP-species-checked": "notRecommended", "IHCP-species-dilution-info": "", "IHCP-species-notes": "" }, "Xenopus laevis": { "IP-species-checked": "notRecommended", "IP-species-dilution-info": "", "IP-species-notes": "", "WB-species-checked": "predicted", "WB-species-dilution-info": "", "WB-species-notes": "", "IHCP-species-checked": "notRecommended", "IHCP-species-dilution-info": "", "IHCP-species-notes": "" } } }

Properties and storage information

Form
Liquid
Purification technique
Affinity purification Immunogen
Purification notes
Purity >95%.
Storage buffer
pH: 7.4 Preservative: 0.03% Proclin 300 Constituents: PBS, 50% Glycerol (glycerin, glycerine)
Shipped at conditions
Blue Ice
Appropriate short-term storage duration
1-2 weeks
Appropriate short-term storage conditions
+4°C
Appropriate long-term storage conditions
-20°C
Aliquoting information
Upon delivery aliquot
Storage information
Avoid freeze / thaw cycle

Supplementary information

This supplementary information is collated from multiple sources and compiled automatically.

14-3-3 gamma also known as YWHAG or 14-3-3 gamma protein is a member of the 14-3-3 protein family. These proteins play significant roles in signal transduction. 14-3-3 gamma is a dimeric protein with a molecular mass of about 28 to 32 kDa per monomer. It is ubiquitously expressed including in tissues such as brain muscle and heart. This protein influences a wide range of cellular processes by interacting with various signaling proteins often through recognition of phosphorylated serine or threonine motifs.
Biological function summary

Proteins within the 14-3-3 family like the 14-3-3 gamma function as adaptors and scaffolds in signal transduction pathways. They are part of multi-protein complexes that modulate interactions among proteins within the cell. 14-3-3 gamma interacts dynamically with a variety of target proteins assisting in their activities and proper localization. Its interaction facilitates cellular processes including cell cycle control apoptosis and stress response owing to its activity as a regulator of distinct signaling pathways.

Pathways

14-3-3 gamma participates in the MAPK/ERK pathway which is pivotal for cell growth and differentiation. It also plays an integral role in the PI3K/AKT pathway which contributes to survival and proliferation signals. In these pathways 14-3-3 gamma interacts with important kinases such as Raf and AKT. These interactions help transduce signals from receptors on the cell surface to the nucleus impacting gene expression and cellular responses.

Research has linked 14-3-3 gamma to neurodegenerative diseases such as Alzheimer's disease. In Alzheimer's 14-3-3 gamma interacts with proteins like tau which become abnormally phosphorylated and aggregate. Additionally this protein has associations with certain cancers where it might influence tumor growth and progression through interactions with cell cycle regulatory proteins. Its modulation of key signaling pathways makes it a candidate of interest in the development of therapeutic strategies for these diseases.

Product protocols

For this product, it's our understanding that no specific protocols are required. You can visit:

Target data

Adapter protein implicated in the regulation of a large spectrum of both general and specialized signaling pathways (PubMed : 15696159, PubMed : 16511572, PubMed : 36732624). Binds to a large number of partners, usually by recognition of a phosphoserine or phosphothreonine motif (PubMed : 15696159, PubMed : 16511572, PubMed : 36732624). Binding generally results in the modulation of the activity of the binding partner (PubMed : 16511572). Promotes inactivation of WDR24 component of the GATOR2 complex by binding to phosphorylated WDR24 (PubMed : 36732624). Participates in the positive regulation of NMDA glutamate receptor activity by promoting the L-glutamate secretion through interaction with BEST1 (PubMed : 29121962). Reduces keratinocyte intercellular adhesion, via interacting with PKP1 and sequestering it in the cytoplasm, thereby reducing its incorporation into desmosomes (PubMed : 29678907).
See full target information YWHAG

Publications (2)

Recent publications for all applications. Explore the full list and refine your search

Molecular medicine reports 25: PubMed35485284

2022

TXNDC9 knockdown inhibits lung adenocarcinoma progression by targeting YWHAG.

Applications

Unspecified application

Species

Unspecified reactive species

Jing Wang,Xiaotao Pan,Jie Li,Jin Zhao

Leukemia 35:1073-1086 PubMed32826957

2020

SLAMF receptors negatively regulate B cell receptor signaling in chronic lymphocytic leukemia via recruitment of prohibitin-2.

Applications

Unspecified application

Species

Unspecified reactive species

Lisa von Wenserski,Christoph Schultheiß,Sarah Bolz,Simon Schliffke,Donjete Simnica,Edith Willscher,Helwe Gerull,Gerrit Wolters-Eisfeld,Kristoffer Riecken,Boris Fehse,Marcus Altfeld,Peter Nollau,Mascha Binder
View all publications

Product promise

We are committed to supporting your work with high-quality reagents, and we're here for you every step of the way. In the unlikely event that one of our products does not perform as expected, you're protected by our Product Promise.
For full details, please see our Terms & Conditions

Please note: All products are 'FOR RESEARCH USE ONLY. NOT FOR USE IN DIAGNOSTIC OR THERAPEUTIC PROCEDURES'.

For licensing inquiries, please contact partnerships@abcam.com