JavaScript is disabled in your browser. Please enable JavaScript to view this website.
AB77187

Anti-14-3-3 sigma/SFN antibody

Be the first to review this product! Submit a review

|

(3 Publications)

Goat Polyclonal 1433S antibody. Suitable for WB, IHC-P and reacts with Mouse, Rat, Human samples. Cited in 3 publications. Immunogen corresponding to Synthetic Peptide within Human SFN.

View Alternative Names

HME1, SFN, 14-3-3 protein sigma, Epithelial cell marker protein 1, Stratifin

4 Images
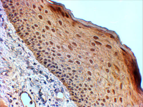
Immunohistochemistry (Formalin/PFA-fixed paraffin-embedded sections) - Anti-14-3-3 sigma/SFN antibody (AB77187)
  • IHC-P

Supplier Data

Immunohistochemistry (Formalin/PFA-fixed paraffin-embedded sections) - Anti-14-3-3 sigma/SFN antibody (AB77187)

Immunohistochemical analysis of paraffin embedded Human Skin tissue labeling 14-3-3 sigma/SFN with ab77187 at 2 ug/ml. Tissue underwent antigen retrieval in steam with Tris/EDTA buffer (pH 9.0). The HRP-staining procedure was used for detection.

Western blot - Anti-14-3-3 sigma/SFN antibody (AB77187)
  • WB

Supplier Data

Western blot - Anti-14-3-3 sigma/SFN antibody (AB77187)

Primary incubation was 1 hour. Detected using chemiluminescence.

All lanes:

Western blot - Anti-14-3-3 sigma/SFN antibody (ab77187) at 0.03 µg/mL

All lanes:

Human skin tissue lysate in RIPA buffer at 35 µg

Predicted band size: 27 kDa

Observed band size: 27 kDa

false

Western blot - Anti-14-3-3 sigma/SFN antibody (AB77187)
  • WB

Supplier Data

Western blot - Anti-14-3-3 sigma/SFN antibody (AB77187)

Primary incubation was 1 hour. Detected using chemiluminescence.

All lanes:

Western blot - Anti-14-3-3 sigma/SFN antibody (ab77187) at 0.03 µg/mL

Lane 1:

A431 cell lysate in RIPA buffer at 35 µg

Lane 2:

U2OS cell lysate in RIPA buffer at 35 µg

Predicted band size: 27 kDa

Observed band size: 27 kDa

false

Western blot - Anti-14-3-3 sigma/SFN antibody (AB77187)
  • WB

Supplier Data

Western blot - Anti-14-3-3 sigma/SFN antibody (AB77187)

Primary incubation was 1 hour. Detected using chemiluminescence.

All lanes:

Western blot - Anti-14-3-3 sigma/SFN antibody (ab77187) at 0.03 µg/mL

Lane 1:

Mouse skin tissue lysate in RIPA buffer at 35 µg

Lane 2:

Rat skin tissue lysate in RIPA buffer at 35 µg

Predicted band size: 27 kDa

Observed band size: 27 kDa

false

Key facts

Host species

Goat

Clonality

Polyclonal

Isotype

IgG

Carrier free

No

Reacts with

Mouse, Human, Rat

Applications

IHC-P, WB

applications

Immunogen

Synthetic Peptide within Human SFN. The exact immunogen used to generate this antibody is proprietary information.

P31947

Reactivity data

{ "title": "Reactivity Data", "filters": { "stats": ["", "Species", "Dilution Info", "Notes"], "tabs": { "all-applications": {"fullname" : "All Applications", "shortname": "All Applications"}, "WB" : {"fullname" : "Western blot", "shortname":"WB"}, "IHCP" : {"fullname" : "Immunohistochemistry (Formalin/PFA-fixed paraffin-embedded sections)", "shortname":"IHC-P"} }, "product-promise": { "all": "all", "testedAndGuaranteed": "tested", "guaranteed": "expected", "predicted": "predicted", "notRecommended": "not-recommended" } }, "values": { "Human": { "WB-species-checked": "testedAndGuaranteed", "WB-species-dilution-info": "0.03-0.1 µg/mL", "WB-species-notes": "<p>1 hour primary incubation is recommended for this product.</p>", "IHCP-species-checked": "testedAndGuaranteed", "IHCP-species-dilution-info": "2-4 µg/mL", "IHCP-species-notes": "<p></p>" }, "Mouse": { "WB-species-checked": "testedAndGuaranteed", "WB-species-dilution-info": "0.03-0.1 µg/mL", "WB-species-notes": "<p>1 hour primary incubation is recommended for this product.</p>", "IHCP-species-checked": "guaranteed", "IHCP-species-dilution-info": "", "IHCP-species-notes": "" }, "Rat": { "WB-species-checked": "testedAndGuaranteed", "WB-species-dilution-info": "0.03-0.1 µg/mL", "WB-species-notes": "<p>1 hour primary incubation is recommended for this product.</p>", "IHCP-species-checked": "guaranteed", "IHCP-species-dilution-info": "", "IHCP-species-notes": "" }, "Cow": { "WB-species-checked": "predicted", "WB-species-dilution-info": "", "WB-species-notes": "", "IHCP-species-checked": "predicted", "IHCP-species-dilution-info": "", "IHCP-species-notes": "" }, "Dog": { "WB-species-checked": "predicted", "WB-species-dilution-info": "", "WB-species-notes": "", "IHCP-species-checked": "predicted", "IHCP-species-dilution-info": "", "IHCP-species-notes": "" }, "Pig": { "WB-species-checked": "predicted", "WB-species-dilution-info": "", "WB-species-notes": "", "IHCP-species-checked": "predicted", "IHCP-species-dilution-info": "", "IHCP-species-notes": "" }, "Sheep": { "WB-species-checked": "predicted", "WB-species-dilution-info": "", "WB-species-notes": "", "IHCP-species-checked": "predicted", "IHCP-species-dilution-info": "", "IHCP-species-notes": "" } } }

Properties and storage information

Form
Liquid
Purification technique
Affinity purification Immunogen
Purification notes
Purified from goat serum by ammonium sulphate precipitation followed by antigen affinity chromatography using the immunizing peptide.
Storage buffer
pH: 7.3 Preservative: 0.02% Sodium azide Constituents: Tris buffered saline, 0.5% BSA
Shipped at conditions
Blue Ice
Appropriate short-term storage conditions
+4°C
Appropriate long-term storage conditions
-20°C
Aliquoting information
Upon delivery aliquot
Storage information
Avoid freeze / thaw cycle

Supplementary information

This supplementary information is collated from multiple sources and compiled automatically.

The 14-3-3 sigma protein also known as SFN is a member of the 14-3-3 family of proteins. It plays a major role in cellular processes by regulating various signaling pathways. This protein has a molecular mass of about 28 kDa. The expression of 14-3-3 sigma is most notable in epithelial cells and it participates in cell cycle control. It interacts with a wide range of signaling molecules emphasizing its involvement in cellular regulation.
Biological function summary

14-3-3 sigma contributes to cell cycle arrest and apoptosis. As part of a complex it interacts with other proteins to ensure proper cell division and prevent abnormal growth. It binds to phosphorylated serine/threonine residues on its target proteins influencing their activity and function. By doing this it exerts control over cell cycle checkpoints and influences DNA damage response mechanisms.

Pathways

14-3-3 sigma interacts with several pathways that are critical for maintaining cell stability and response to stress. It participates in the PI3K/AKT pathway working closely with proteins like AKT1 to facilitate cell survival and growth suppression under stress conditions. Its involvement in this pathway ties it to the regulation of cell proliferation and survival interconnecting with broader cellular networks.

Disruptions in 14-3-3 sigma function are linked to cancer and neurodegenerative diseases. In cancer its downregulation or loss leads to unchecked cell division contributing to tumor progression. In neurodegenerative diseases such as Alzheimer's the protein's interaction with tau phosphorylation processes affects disease progression. Furthermore it interacts with proteins like p53 emphasizing its role in tumor suppression and cellular stress responses.

Product protocols

For this product, it's our understanding that no specific protocols are required. You can visit:

Target data

Adapter protein implicated in the regulation of a large spectrum of both general and specialized signaling pathways (PubMed : 15731107, PubMed : 22634725, PubMed : 28202711, PubMed : 37797010). Binds to a large number of partners, usually by recognition of a phosphoserine or phosphothreonine motif (PubMed : 15731107, PubMed : 22634725, PubMed : 28202711, PubMed : 37797010). Binding generally results in the modulation of the activity of the binding partner (PubMed : 15731107, PubMed : 22634725, PubMed : 28202711, PubMed : 37797010). Promotes cytosolic retention of GBP1 GTPase by binding to phosphorylated GBP1, thereby inhibiting the innate immune response (PubMed : 37797010). Also acts as a TP53/p53-regulated inhibitor of G2/M progression (PubMed : 9659898). When bound to KRT17, regulates protein synthesis and epithelial cell growth by stimulating Akt/mTOR pathway (By similarity). Acts to maintain desmosome cell junction adhesion in epithelial cells via interacting with and sequestering PKP3 to the cytoplasm, thereby restricting its translocation to existing desmosome structures and therefore maintaining desmosome protein homeostasis (PubMed : 24124604). Also acts to facilitate PKP3 exchange at desmosome plaques, thereby maintaining keratinocyte intercellular adhesion (PubMed : 29678907). May also regulate MDM2 autoubiquitination and degradation and thereby activate p53/TP53 (PubMed : 18382127).
See full target information SFN

Publications (3)

Recent publications for all applications. Explore the full list and refine your search

EMBO molecular medicine 13:e12871 PubMed33650774

2021

Integrative analysis of cell state changes in lung fibrosis with peripheral protein biomarkers.

Applications

Unspecified application

Species

Unspecified reactive species

Christoph H Mayr,Lukas M Simon,Gabriela Leuschner,Meshal Ansari,Janine Schniering,Philipp E Geyer,Ilias Angelidis,Maximilian Strunz,Pawandeep Singh,Nikolaus Kneidinger,Frank Reichenberger,Edith Silbernagel,Stephan Böhm,Heiko Adler,Michael Lindner,Britta Maurer,Anne Hilgendorff,Antje Prasse,Jürgen Behr,Matthias Mann,Oliver Eickelberg,Fabian J Theis,Herbert B Schiller

Nature cell biology 22:934-946 PubMed32661339

2020

Persistence of a regeneration-associated, transitional alveolar epithelial cell state in pulmonary fibrosis.

Applications

Unspecified application

Species

Unspecified reactive species

Yoshihiko Kobayashi,Aleksandra Tata,Arvind Konkimalla,Hiroaki Katsura,Rebecca F Lee,Jianhong Ou,Nicholas E Banovich,Jonathan A Kropski,Purushothama Rao Tata

Molecular biology of the cell 25:4195-204 PubMed25298405

2014

Rap1-dependent pathways coordinate cytokinesis in Dictyostelium.

Applications

ICC/IF

Species

Dictyostelium discoideum

Katarzyna Plak,Ineke Keizer-Gunnink,Peter J M van Haastert,Arjan Kortholt
View all publications

Product promise

We are committed to supporting your work with high-quality reagents, and we're here for you every step of the way. In the unlikely event that one of our products does not perform as expected, you're protected by our Product Promise.
For full details, please see our Terms & Conditions

Please note: All products are 'FOR RESEARCH USE ONLY. NOT FOR USE IN DIAGNOSTIC OR THERAPEUTIC PROCEDURES'.

For licensing inquiries, please contact partnerships@abcam.com