JavaScript is disabled in your browser. Please enable JavaScript to view this website.
AB268067

Anti-14-3-3 sigma/SFN antibody [CPTC-SFN-2]

Be the first to review this product! Submit a review

|

(1 Publication)

Mouse Monoclonal 1433S antibody. Suitable for WB, Protein Array, IHC-P and reacts with Human, Recombinant full length protein - Human samples. Cited in 1 publication. Immunogen corresponding to Recombinant Full Length Protein corresponding to Human SFN.

View Alternative Names

HME1, SFN, 14-3-3 protein sigma, Epithelial cell marker protein 1, Stratifin

3 Images
Immunohistochemistry (Formalin/PFA-fixed paraffin-embedded sections) - Anti-14-3-3 sigma/SFN antibody [CPTC-SFN-2] (AB268067)
  • IHC-P

Unknown

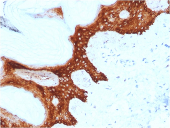
Immunohistochemistry (Formalin/PFA-fixed paraffin-embedded sections) - Anti-14-3-3 sigma/SFN antibody [CPTC-SFN-2] (AB268067)

Formalin-fixed, paraffin-embedded human Skin stained for 14-3-3 Sigma/SFN using ab268067 at 2 μg/ml in immunohistochemical analysis.

Western blot - Anti-14-3-3 sigma/SFN antibody [CPTC-SFN-2] (AB268067)
  • WB

Unknown

Western blot - Anti-14-3-3 sigma/SFN antibody [CPTC-SFN-2] (AB268067)

All lanes:

Western blot - Anti-14-3-3 sigma/SFN antibody [CPTC-SFN-2] (ab268067) at 2 µg/mL

All lanes:

PC-3 (Human prostate adenocarcinoma cell line) whole cell lysate

Predicted band size: 27 kDa

false

Protein Array - Anti-14-3-3 sigma/SFN antibody [CPTC-SFN-2] (AB268067)
  • Protein Array

Unknown

Protein Array - Anti-14-3-3 sigma/SFN antibody [CPTC-SFN-2] (AB268067)

Protein Array containing more than 19,000 full-length human proteins using ab268067. Z- and S- Score : The Z-score represents the strength of a signal that a monoclonal antibody (MAb) (in combination with a fluorescently-tagged anti-IgG secondary antibody) produces when binding to a particular protein on the HuProtTM array. Z-scores are described in units of standard deviations (SD's) above the mean value of all signals generated on that array. If targets on HuProtTM are arranged in descending order of the Z-score, the S-score is the difference (also in units of SD's) between the Z-score. S-score therefore represents the relative target specificity of a MAb to its intended target. A MAb is considered to specific to its intended target, if the MAb has an S-score of at least 2.5. For example, if a MAb binds to protein X with a Z-score of 43 and to protein Y with a Z-score of 14, then the S-score for the binding of that MAb to protein X is equal to 29.

Key facts

Host species

Mouse

Clonality

Monoclonal

Clone number

CPTC-SFN-2

Isotype

IgG1

Light chain type

kappa

Carrier free

No

Reacts with

Human

Applications

IHC-P, Protein Array, WB

applications

Immunogen

Recombinant Full Length Protein corresponding to Human SFN.

P31947

Reactivity data

{ "title": "Reactivity Data", "filters": { "stats": ["", "Species", "Dilution Info", "Notes"], "tabs": { "all-applications": {"fullname" : "All Applications", "shortname": "All Applications"}, "WB" : {"fullname" : "Western blot", "shortname":"WB"}, "ProteinArray" : {"fullname" : "Protein Array", "shortname":"Protein Array"}, "IHCP" : {"fullname" : "Immunohistochemistry (Formalin/PFA-fixed paraffin-embedded sections)", "shortname":"IHC-P"} }, "product-promise": { "all": "all", "testedAndGuaranteed": "tested", "guaranteed": "expected", "predicted": "predicted", "notRecommended": "not-recommended" } }, "values": { "Human": { "WB-species-checked": "testedAndGuaranteed", "WB-species-dilution-info": "1-2 µg/mL", "WB-species-notes": "<p></p>", "ProteinArray-species-checked": "guaranteed", "ProteinArray-species-dilution-info": "", "ProteinArray-species-notes": "", "IHCP-species-checked": "testedAndGuaranteed", "IHCP-species-dilution-info": "1-2 µg/mL", "IHCP-species-notes": "<p></p> Perform heat-mediated antigen retrieval with Tris/EDTA buffer pH 9.0 before commencing with IHC staining protocol." }, "Recombinant full length protein - Human": { "WB-species-checked": "notRecommended", "WB-species-dilution-info": "", "WB-species-notes": "", "ProteinArray-species-checked": "testedAndGuaranteed", "ProteinArray-species-dilution-info": "", "ProteinArray-species-notes": "<p></p>", "IHCP-species-checked": "notRecommended", "IHCP-species-dilution-info": "", "IHCP-species-notes": "" } } }

Properties and storage information

Form
Liquid
Purification technique
Affinity purification Protein A/G
Purification notes
Purified from Bioreactor concentrate
Storage buffer
pH: 7.2 - 7.4 Preservative: 0.05% Sodium azide Constituents: PBS, 0.05% BSA
Shipped at conditions
Blue Ice
Appropriate short-term storage duration
1-2 weeks
Appropriate short-term storage conditions
+4°C
Appropriate long-term storage conditions
-20°C
Aliquoting information
Upon delivery aliquot
Storage information
Avoid freeze / thaw cycle

Supplementary information

This supplementary information is collated from multiple sources and compiled automatically.

The 14-3-3 sigma protein also known as SFN is a member of the 14-3-3 family of proteins. It plays a major role in cellular processes by regulating various signaling pathways. This protein has a molecular mass of about 28 kDa. The expression of 14-3-3 sigma is most notable in epithelial cells and it participates in cell cycle control. It interacts with a wide range of signaling molecules emphasizing its involvement in cellular regulation.
Biological function summary

14-3-3 sigma contributes to cell cycle arrest and apoptosis. As part of a complex it interacts with other proteins to ensure proper cell division and prevent abnormal growth. It binds to phosphorylated serine/threonine residues on its target proteins influencing their activity and function. By doing this it exerts control over cell cycle checkpoints and influences DNA damage response mechanisms.

Pathways

14-3-3 sigma interacts with several pathways that are critical for maintaining cell stability and response to stress. It participates in the PI3K/AKT pathway working closely with proteins like AKT1 to facilitate cell survival and growth suppression under stress conditions. Its involvement in this pathway ties it to the regulation of cell proliferation and survival interconnecting with broader cellular networks.

Disruptions in 14-3-3 sigma function are linked to cancer and neurodegenerative diseases. In cancer its downregulation or loss leads to unchecked cell division contributing to tumor progression. In neurodegenerative diseases such as Alzheimer's the protein's interaction with tau phosphorylation processes affects disease progression. Furthermore it interacts with proteins like p53 emphasizing its role in tumor suppression and cellular stress responses.

Product protocols

For this product, it's our understanding that no specific protocols are required. You can visit:

Target data

Adapter protein implicated in the regulation of a large spectrum of both general and specialized signaling pathways (PubMed : 15731107, PubMed : 22634725, PubMed : 28202711, PubMed : 37797010). Binds to a large number of partners, usually by recognition of a phosphoserine or phosphothreonine motif (PubMed : 15731107, PubMed : 22634725, PubMed : 28202711, PubMed : 37797010). Binding generally results in the modulation of the activity of the binding partner (PubMed : 15731107, PubMed : 22634725, PubMed : 28202711, PubMed : 37797010). Promotes cytosolic retention of GBP1 GTPase by binding to phosphorylated GBP1, thereby inhibiting the innate immune response (PubMed : 37797010). Also acts as a TP53/p53-regulated inhibitor of G2/M progression (PubMed : 9659898). When bound to KRT17, regulates protein synthesis and epithelial cell growth by stimulating Akt/mTOR pathway (By similarity). Acts to maintain desmosome cell junction adhesion in epithelial cells via interacting with and sequestering PKP3 to the cytoplasm, thereby restricting its translocation to existing desmosome structures and therefore maintaining desmosome protein homeostasis (PubMed : 24124604). Also acts to facilitate PKP3 exchange at desmosome plaques, thereby maintaining keratinocyte intercellular adhesion (PubMed : 29678907). May also regulate MDM2 autoubiquitination and degradation and thereby activate p53/TP53 (PubMed : 18382127).
See full target information SFN

Publications (1)

Recent publications for all applications. Explore the full list and refine your search

Oncology letters 28:530 PubMed39290955

2024

Male breast cancer metastasising to the liver: A case report.

Applications

Unspecified application

Species

Unspecified reactive species

Mingming Jiang,Linyun Li,Hongjie Liu,Hua Xie
View all publications

Product promise

We are committed to supporting your work with high-quality reagents, and we're here for you every step of the way. In the unlikely event that one of our products does not perform as expected, you're protected by our Product Promise.
For full details, please see our Terms & Conditions

Please note: All products are 'FOR RESEARCH USE ONLY. NOT FOR USE IN DIAGNOSTIC OR THERAPEUTIC PROCEDURES'.

For licensing inquiries, please contact partnerships@abcam.com