JavaScript is disabled in your browser. Please enable JavaScript to view this website.
AB251175

Anti-14-3-3 sigma/SFN antibody [EPR5873(2)] - BSA and Azide free

Be the first to review this product! Submit a review

|

(1 Publication)

Rabbit Recombinant Monoclonal 1433S antibody. Carrier free. Suitable for WB, IHC-P and reacts with Synthetic peptide - Human, Human, Synthetic peptide samples. Cited in 1 publication.

View Alternative Names

HME1, SFN, 14-3-3 protein sigma, Epithelial cell marker protein 1, Stratifin

4 Images
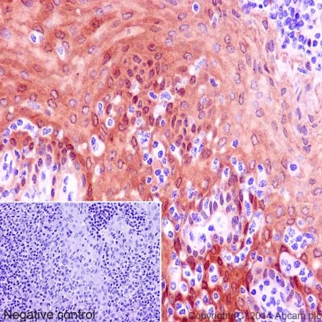
Immunohistochemistry (Formalin/PFA-fixed paraffin-embedded sections) - Anti-14-3-3 sigma/SFN antibody [EPR5873(2)] - BSA and Azide free (AB251175)
  • IHC-P

Supplier Data

Immunohistochemistry (Formalin/PFA-fixed paraffin-embedded sections) - Anti-14-3-3 sigma/SFN antibody [EPR5873(2)] - BSA and Azide free (AB251175)

This data was developed using ab193667, the same antibody clone in a different buffer formulation.

Immunohistochemical analysis of paraffin-embedded human tonsil tissue labeling 14-3-3 sigma/SFN with ab193667 at 1/600 dilution (2μg/ml), followed by prediluted HRP Polymer for Rabbit/Mouse IgG. Counter stained with Hematoxylin.

Perform heat mediated antigen retrieval with Tris/EDTA buffer pH 9.0 before commencing with IHC staining protocol.

Western blot - Anti-14-3-3 sigma/SFN antibody [EPR5873(2)] - BSA and Azide free (AB251175)
  • WB

Supplier Data

Western blot - Anti-14-3-3 sigma/SFN antibody [EPR5873(2)] - BSA and Azide free (AB251175)

This data was developed using ab193667, the same antibody clone in a different buffer formulation.

Blocking and dilution buffer : 5% NFDM/TBST.

Human full length 14-3-3 sigma/SFN recombinant protein is a house-made one with His-Tag.

All lanes:

Western blot - Anti-14-3-3 sigma/SFN antibody [EPR5873(2)] (<a href='/en-us/products/primary-antibodies/14-3-3-sigma-sfn-antibody-epr58732-ab193667'>ab193667</a>) at 1/1000 dilution

All lanes:

Human 14-3-3 sigma/SFN recombinant protein with His tag at 10 µg

Secondary

All lanes:

Goat Anti-Rabbit IgG, (H+L), Peroxidase conjugated at 1/1000 dilution

Predicted band size: 27 kDa

Observed band size: 28 kDa

false

Western blot - Anti-14-3-3 sigma/SFN antibody [EPR5873(2)] - BSA and Azide free (AB251175)
  • WB

Supplier Data

Western blot - Anti-14-3-3 sigma/SFN antibody [EPR5873(2)] - BSA and Azide free (AB251175)

This data was developed using ab193667, the same antibody clone in a different buffer formulation.

Blocking and dilution buffer : 5% NFDM/TBST.

All lanes:

Western blot - Anti-14-3-3 sigma/SFN antibody [EPR5873(2)] (<a href='/en-us/products/primary-antibodies/14-3-3-sigma-sfn-antibody-epr58732-ab193667'>ab193667</a>) at 1/1000 dilution

Lane 1:

Human skin lysate at 20 µg

Lane 2:

A431 cell lysate at 20 µg

Lane 3:

HACAT cell lysate at 20 µg

Secondary

All lanes:

Goat Anti-Rabbit IgG, (H+L), Peroxidase conjugated at 1/1000 dilution

Predicted band size: 27 kDa

Observed band size: 28 kDa

false

Western blot - Anti-14-3-3 sigma/SFN antibody [EPR5873(2)] - BSA and Azide free (AB251175)
  • WB

Supplier Data

Western blot - Anti-14-3-3 sigma/SFN antibody [EPR5873(2)] - BSA and Azide free (AB251175)

This data was developed using ab193667, the same antibody clone in a different buffer formulation. Blocking and dilution buffer : 5% NFDM/TBST

All lanes:

Western blot - Anti-14-3-3 sigma/SFN antibody [EPR5873(2)] (<a href='/en-us/products/primary-antibodies/14-3-3-sigma-sfn-antibody-epr58732-ab193667'>ab193667</a>) at 1/1000 dilution

Lane 1:

14-3-3 beta (YWHAB) Human Recombinant Protein 10 ng, with DDDK tagged at 10 ng

Lane 2:

14-3-3 gamma (YWHAG) Human Recombinant Protein 10 ng, with DDDK tagged at 10 ng

Lane 3:

14-3-3 epsilon (YWHAE) Human Recombinant Protein 10 ng, with DDDK tagged at 10 ng

Lane 4:

14-3-3 zeta (YWHAZ) Human Recombinant Protein 10 ng, with DDDK tagged at 10 ng

Lane 5:

14-3-3 eta (YWHAH) Human Recombinant Protein 10 ng, with DDDK tagged at 10 ng

Lane 6:

14-3-3 theta (YWHAQ) Human Recombinant Protein 10 ng, with DDDK tagged at 10 ng

Lane 7:

14-3-3 sigma (SFN) Human Recombinant Protein 10 ng, with DDDK tagged at 10 ng

Secondary

All lanes:

Western blot - Goat Anti-Rabbit IgG H&L (HRP) (<a href='/en-us/products/secondary-antibodies/goat-rabbit-igg-h-l-hrp-ab97051'>ab97051</a>) at 1/20000 dilution

Predicted band size: 27 kDa

Observed band size: 28 kDa

false

Exposure time: 60s

Key facts

Host species

Rabbit

Clonality

Monoclonal

Clone number

EPR5873(2)

Isotype

IgG

Carrier free

Yes

Reacts with

Human

Applications

IHC-P, WB

applications

Immunogen

The exact immunogen used to generate this antibody is proprietary information.

Reactivity data

{ "title": "Reactivity Data", "filters": { "stats": ["", "Species", "Dilution Info", "Notes"], "tabs": { "all-applications": {"fullname" : "All Applications", "shortname": "All Applications"}, "WB" : {"fullname" : "Western blot", "shortname":"WB"}, "IHCP" : {"fullname" : "Immunohistochemistry (Formalin/PFA-fixed paraffin-embedded sections)", "shortname":"IHC-P"} }, "product-promise": { "all": "all", "testedAndGuaranteed": "tested", "guaranteed": "expected", "predicted": "predicted", "notRecommended": "not-recommended" } }, "values": { "Human": { "WB-species-checked": "testedAndGuaranteed", "WB-species-dilution-info": "", "WB-species-notes": "<p></p>", "IHCP-species-checked": "testedAndGuaranteed", "IHCP-species-dilution-info": "", "IHCP-species-notes": "<p></p>" }, "Rat": { "WB-species-checked": "predicted", "WB-species-dilution-info": "", "WB-species-notes": "", "IHCP-species-checked": "predicted", "IHCP-species-dilution-info": "", "IHCP-species-notes": "" }, "Synthetic peptide": { "WB-species-checked": "notRecommended", "WB-species-dilution-info": "", "WB-species-notes": "", "IHCP-species-checked": "testedAndGuaranteed", "IHCP-species-dilution-info": "", "IHCP-species-notes": "<p></p>" }, "Synthetic peptide - Human": { "WB-species-checked": "testedAndGuaranteed", "WB-species-dilution-info": "", "WB-species-notes": "<p></p>", "IHCP-species-checked": "notRecommended", "IHCP-species-dilution-info": "", "IHCP-species-notes": "" } } }

Product details

ab251175 is the carrier-free version of ab193667.

Patented technology
Our RabMAb® technology is a patented hybridoma-based technology for making rabbit monoclonal antibodies. For details on our patents, please refer to RabMAb® patents.

What are the advantages of a recombinant monoclonal antibody?
This product is a recombinant monoclonal antibody, which offers several advantages including:

  • - High batch-to-batch consistency and reproducibility
  • - Improved sensitivity and specificity
  • - Long-term security of supply
  • - Animal-free batch production

For more information, read more on recombinant antibodies.

Conjugation ready
Our carrier-free antibodies are typically supplied in a PBS-only formulation, purified and free of BSA, sodium azide and glycerol. This conjugation-ready format is designed for use with fluorochromes, metal isotopes, oligonucleotides, and enzymes, which makes them ideal for antibody labelling, functional and cell-based assays, flow-based assays (e.g. mass cytometry) and Multiplex Imaging applications.

Use our conjugation kits for antibody conjugates that are ready-to-use in as little as 20 minutes with 1 minute hands-on-time and 100% antibody recovery: available for fluorescent dyes, HRP, biotin and gold.

Compatibility
This product is compatible with the Maxpar® Antibody Labeling Kit from Fluidigm, without the need for antibody preparation. Maxpar® is a trademark of Fluidigm Canada Inc.

Properties and storage information

Form
Liquid
Purification technique
Affinity purification Protein A
Storage buffer
pH: 7.2 - 7.4 Constituents: PBS
Shipped at conditions
Blue Ice
Appropriate short-term storage conditions
+4°C
Appropriate long-term storage conditions
+4°C
Storage information
Do Not Freeze

Supplementary information

This supplementary information is collated from multiple sources and compiled automatically.

The 14-3-3 sigma protein also known as SFN is a member of the 14-3-3 family of proteins. It plays a major role in cellular processes by regulating various signaling pathways. This protein has a molecular mass of about 28 kDa. The expression of 14-3-3 sigma is most notable in epithelial cells and it participates in cell cycle control. It interacts with a wide range of signaling molecules emphasizing its involvement in cellular regulation.
Biological function summary

14-3-3 sigma contributes to cell cycle arrest and apoptosis. As part of a complex it interacts with other proteins to ensure proper cell division and prevent abnormal growth. It binds to phosphorylated serine/threonine residues on its target proteins influencing their activity and function. By doing this it exerts control over cell cycle checkpoints and influences DNA damage response mechanisms.

Pathways

14-3-3 sigma interacts with several pathways that are critical for maintaining cell stability and response to stress. It participates in the PI3K/AKT pathway working closely with proteins like AKT1 to facilitate cell survival and growth suppression under stress conditions. Its involvement in this pathway ties it to the regulation of cell proliferation and survival interconnecting with broader cellular networks.

Disruptions in 14-3-3 sigma function are linked to cancer and neurodegenerative diseases. In cancer its downregulation or loss leads to unchecked cell division contributing to tumor progression. In neurodegenerative diseases such as Alzheimer's the protein's interaction with tau phosphorylation processes affects disease progression. Furthermore it interacts with proteins like p53 emphasizing its role in tumor suppression and cellular stress responses.

Product protocols

For this product, it's our understanding that no specific protocols are required. You can visit:

Target data

Adapter protein implicated in the regulation of a large spectrum of both general and specialized signaling pathways (PubMed : 15731107, PubMed : 22634725, PubMed : 28202711, PubMed : 37797010). Binds to a large number of partners, usually by recognition of a phosphoserine or phosphothreonine motif (PubMed : 15731107, PubMed : 22634725, PubMed : 28202711, PubMed : 37797010). Binding generally results in the modulation of the activity of the binding partner (PubMed : 15731107, PubMed : 22634725, PubMed : 28202711, PubMed : 37797010). Promotes cytosolic retention of GBP1 GTPase by binding to phosphorylated GBP1, thereby inhibiting the innate immune response (PubMed : 37797010). Also acts as a TP53/p53-regulated inhibitor of G2/M progression (PubMed : 9659898). When bound to KRT17, regulates protein synthesis and epithelial cell growth by stimulating Akt/mTOR pathway (By similarity). Acts to maintain desmosome cell junction adhesion in epithelial cells via interacting with and sequestering PKP3 to the cytoplasm, thereby restricting its translocation to existing desmosome structures and therefore maintaining desmosome protein homeostasis (PubMed : 24124604). Also acts to facilitate PKP3 exchange at desmosome plaques, thereby maintaining keratinocyte intercellular adhesion (PubMed : 29678907). May also regulate MDM2 autoubiquitination and degradation and thereby activate p53/TP53 (PubMed : 18382127).
See full target information SFN

Publications (1)

Recent publications for all applications. Explore the full list and refine your search

International journal of biological sciences 21:4027-4050 PubMed40612676

2025

Exogenous SPD inhibits trastuzumab-mediated cardiomyocyte pyroptosis through SIRT3-regulated mitochondrial quality control.

Applications

Unspecified application

Species

Unspecified reactive species

Xue Yu,Yan Yang,Tianzuo Chen,Qianbing Wang,Zitong Wang,Xi Gao,Qianxue Wang,Jinxiang Guo,Yuqin Wang,Yajie Zhao,Shilin Wang,Wei Lu,Xing Luo,Tielei Gao,Jiayuan Kou,Hong Li,Liming Yang
View all publications

Product promise

We are committed to supporting your work with high-quality reagents, and we're here for you every step of the way. In the unlikely event that one of our products does not perform as expected, you're protected by our Product Promise.
For full details, please see our Terms & Conditions

Please note: All products are 'FOR RESEARCH USE ONLY. NOT FOR USE IN DIAGNOSTIC OR THERAPEUTIC PROCEDURES'.

For licensing inquiries, please contact partnerships@abcam.com