JavaScript is disabled in your browser. Please enable JavaScript to view this website.
AB264319

Anti-14-3-3 tau antibody

Be the first to review this product! Submit a review

|

(4 Publications)

Rabbit Polyclonal 14-3-3 Theta + Tau antibody. Suitable for IHC-P, IP, WB and reacts with Human, Mouse samples. Cited in 4 publications. Immunogen corresponding to Synthetic Peptide within Human 14-3-3 protein theta aa 150 to C-terminus.

View Alternative Names

14-3-3 protein theta, 14-3-3 protein T-cell, 14-3-3 protein tau, Protein HS1, YWHAQ

3 Images
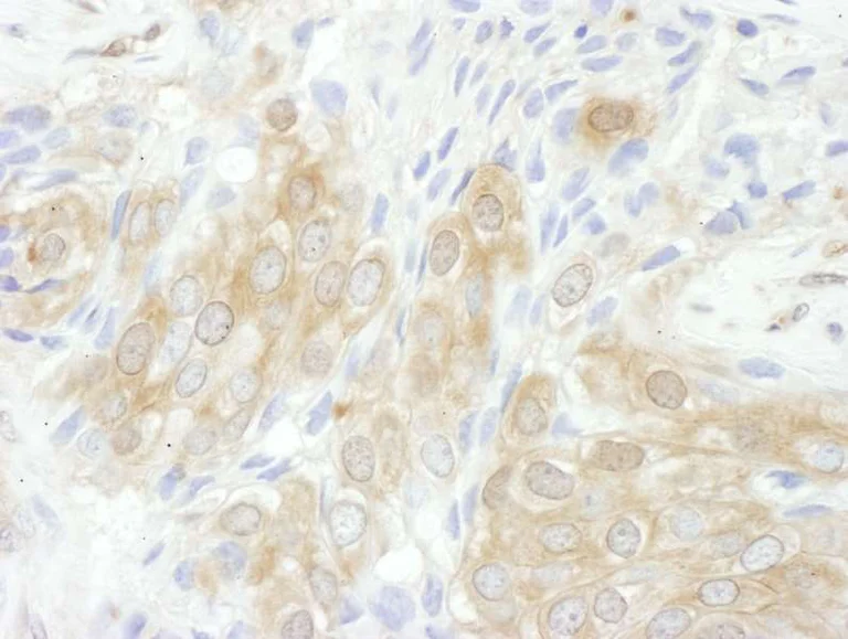
Immunohistochemistry (Formalin/PFA-fixed paraffin-embedded sections) - Anti-14-3-3 tau antibody (AB264319)
  • IHC-P

Unknown

Immunohistochemistry (Formalin/PFA-fixed paraffin-embedded sections) - Anti-14-3-3 tau antibody (AB264319)

Immunohistochemical analysis of formalin-fixed, paraffin-embedded human breast carcinoma tissue labeling 14-3-3 tau with ab264319 at 1/5,000 dilution. Detection : DAB.

Western blot - Anti-14-3-3 tau antibody (AB264319)
  • WB

Supplier Data

Western blot - Anti-14-3-3 tau antibody (AB264319)

All lanes:

Western blot - Anti-14-3-3 tau antibody (ab264319) at 0.1 µg/mL

Lane 1:

HeLa whole cell lysate at 50 µg

Lane 2:

HeLa whole cell lysate at 15 µg

Lane 3:

HeLa whole cell lysate at 5 µg

Lane 4:

HEK-293T whole cell lysate at 50 µg

Lane 5:

NIH/3T3 whole cell lysate at 50 µg

Predicted band size: 28 kDa

true

Exposure time: 30s

Immunoprecipitation - Anti-14-3-3 tau antibody (AB264319)
  • IP

Supplier Data

Immunoprecipitation - Anti-14-3-3 tau antibody (AB264319)

14-3-3 tau was immunoprecipitated from 1mg of HeLa (Human epithelial cell line from cervix adenocarcinoma) whole cell lysate with ab264319 at 6 μg/mg lysate. Western blot was performed from the immunoprecipitate using ab264319 at 1 μg/ml.
Lane 1 : ab264319 IP in HeLa whole cell lysate.
Lane 2 : Control IgG.

Exposure time : 30 secs.

All lanes:

Immunoprecipitation - Anti-14-3-3 tau antibody (ab264319)

false

Key facts

Host species

Rabbit

Clonality

Polyclonal

Isotype

IgG

Carrier free

No

Reacts with

Mouse, Human

Applications

IP, WB, IHC-P

applications

Immunogen

Synthetic Peptide within Human 14-3-3 protein theta aa 150 to C-terminus. The exact immunogen used to generate this antibody is proprietary information.

P27348

Reactivity data

{ "title": "Reactivity Data", "filters": { "stats": ["", "Species", "Dilution Info", "Notes"], "tabs": { "all-applications": {"fullname" : "All Applications", "shortname": "All Applications"}, "IHCP" : {"fullname" : "Immunohistochemistry (Formalin/PFA-fixed paraffin-embedded sections)", "shortname":"IHC-P"}, "IP" : {"fullname" : "Immunoprecipitation", "shortname":"IP"}, "WB" : {"fullname" : "Western blot", "shortname":"WB"} }, "product-promise": { "all": "all", "testedAndGuaranteed": "tested", "guaranteed": "expected", "predicted": "predicted", "notRecommended": "not-recommended" } }, "values": { "Human": { "IHCP-species-checked": "testedAndGuaranteed", "IHCP-species-dilution-info": "1/1000 - 1/5000", "IHCP-species-notes": "<p></p> Perform heat-mediated antigen retrieval with citrate buffer pH 6 before commencing with IHC staining protocol.", "IP-species-checked": "testedAndGuaranteed", "IP-species-dilution-info": "2-10 µg/mg of lysate", "IP-species-notes": "<p></p>", "WB-species-checked": "testedAndGuaranteed", "WB-species-dilution-info": "1/2000 - 1/10000", "WB-species-notes": "<p></p>" }, "Mouse": { "IHCP-species-checked": "guaranteed", "IHCP-species-dilution-info": "", "IHCP-species-notes": "", "IP-species-checked": "guaranteed", "IP-species-dilution-info": "", "IP-species-notes": "", "WB-species-checked": "testedAndGuaranteed", "WB-species-dilution-info": "1/2000 - 1/10000", "WB-species-notes": "<p></p>" }, "Rat": { "IHCP-species-checked": "predicted", "IHCP-species-dilution-info": "", "IHCP-species-notes": "", "IP-species-checked": "predicted", "IP-species-dilution-info": "", "IP-species-notes": "", "WB-species-checked": "predicted", "WB-species-dilution-info": "", "WB-species-notes": "" }, "Chicken": { "IHCP-species-checked": "predicted", "IHCP-species-dilution-info": "", "IHCP-species-notes": "", "IP-species-checked": "predicted", "IP-species-dilution-info": "", "IP-species-notes": "", "WB-species-checked": "predicted", "WB-species-dilution-info": "", "WB-species-notes": "" }, "Cow": { "IHCP-species-checked": "predicted", "IHCP-species-dilution-info": "", "IHCP-species-notes": "", "IP-species-checked": "predicted", "IP-species-dilution-info": "", "IP-species-notes": "", "WB-species-checked": "predicted", "WB-species-dilution-info": "", "WB-species-notes": "" }, "Orangutan": { "IHCP-species-checked": "predicted", "IHCP-species-dilution-info": "", "IHCP-species-notes": "", "IP-species-checked": "predicted", "IP-species-dilution-info": "", "IP-species-notes": "", "WB-species-checked": "predicted", "WB-species-dilution-info": "", "WB-species-notes": "" }, "Rabbit": { "IHCP-species-checked": "predicted", "IHCP-species-dilution-info": "", "IHCP-species-notes": "", "IP-species-checked": "predicted", "IP-species-dilution-info": "", "IP-species-notes": "", "WB-species-checked": "predicted", "WB-species-dilution-info": "", "WB-species-notes": "" }, "Xenopus laevis": { "IHCP-species-checked": "predicted", "IHCP-species-dilution-info": "", "IHCP-species-notes": "", "IP-species-checked": "predicted", "IP-species-dilution-info": "", "IP-species-notes": "", "WB-species-checked": "predicted", "WB-species-dilution-info": "", "WB-species-notes": "" } } }

Properties and storage information

Form
Liquid
Purification technique
Affinity purification Immunogen
Storage buffer
pH: 7 - 8 Preservative: 0.09% Sodium azide Constituents: Tris citrate/phosphate
Shipped at conditions
Blue Ice
Appropriate short-term storage duration
1-2 weeks
Appropriate short-term storage conditions
+4°C
Appropriate long-term storage conditions
-20°C
Aliquoting information
Upon delivery aliquot
Storage information
Avoid freeze / thaw cycle

Supplementary information

This supplementary information is collated from multiple sources and compiled automatically.

14-3-3 tau also known as 14-3-3 θ or YWHAQ belongs to the 14-3-3 protein family which consists of regulatory proteins involved in various cellular processes. This protein has a mass of approximately 28 kDa. It is expressed in many tissues throughout the body with high levels observed in the brain. 14-3-3 tau interacts with other proteins through specific serine/threonine phosphorylation motifs influencing their function by altering their conformation activity or localization within the cell.
Biological function summary

This protein takes part in modulating important cellular processes such as signal transduction cell cycle control apoptotic signaling and stress response. It often forms part of larger protein complexes enhancing or inhibiting the activity of kinases phosphatases and other signaling molecules. Its interactions contribute to maintaining cellular homeostasis and ensuring proper response to external and internal signals which is very important for neurological functions.

Pathways

14-3-3 tau plays significant roles in the MAPK and PI3K/AKT signaling pathways. These pathways regulate cell survival growth and proliferation. It interacts with key proteins like Raf kinase in the MAPK pathway and mediates cross-talk between different signaling routes. In the PI3K/AKT pathway it influences the phosphorylation status of BAD a pro-apoptotic molecule therefore helping to control the balance between cell survival and programmed cell death.

14-3-3 tau has connections to neurodegenerative disorders like Alzheimer's disease and Parkinson's disease. It interacts with tau protein in Alzheimer's where abnormal phosphorylation of tau disrupts microtubule stability leading to the formation of neurofibrillary tangles. Altered 14-3-3 tau expression or function may contribute to the pathology of these diseases by interfering with normal signal transduction and cellular stress response mechanisms. Moreover in Parkinson's disease the protein modulates the activity of LRRK2 linking it with neuronal loss and motor dysfunction.

Product protocols

For this product, it's our understanding that no specific protocols are required. You can visit:

Target data

Adapter protein implicated in the regulation of a large spectrum of both general and specialized signaling pathways. Binds to a large number of partners, usually by recognition of a phosphoserine or phosphothreonine motif. Binding generally results in the modulation of the activity of the binding partner. Negatively regulates the kinase activity of PDPK1.
See full target information 14-3-3 protein theta

Publications (4)

Recent publications for all applications. Explore the full list and refine your search

Genes & diseases 12:101519 PubMed40612667

2025

Restriction of YWHAB-mediated YAP cytoplasmic retention is a novel mechanism underlying stemness maintenance and chemoresistance in ovarian cancer peritoneal metastasis.

Applications

Unspecified application

Species

Unspecified reactive species

Chang Liu,Lei Shi,Zijun Meng,Manlin Zhang,Zhiqi Zhang,Yunzhe Li,Kaiwen Du,Muyao Yang,Lin Qiu,Jing Feng,Yuchen He,Jiayun Liu,Hua Zhang,Hongbin Zhang,Tingyuan Lang,Zhuo Yang

Cell death discovery 11:242 PubMed40393974

2025

Mitochondrial SLC25A10 promotes prostate cancer progression by inhibiting ferritinophagy.

Applications

Unspecified application

Species

Unspecified reactive species

Guopeng Yu,Kailei Chen,Bin Xu,Qi Cao

Translational oncology 46:102006 PubMed38823259

2024

Succinylation of 14-3-3 theta by CPT1A promotes survival and paclitaxel resistance in nasal type extranodal natural killer/T-cell lymphoma.

Applications

Unspecified application

Species

Unspecified reactive species

Xiao Cui,Chengcheng Cao,Xinyang Li,Biyan Lin,Aihui Yan,Ying Yang

Journal of biochemical and molecular toxicology 36:e22939 PubMed34719845

2021

Genistein suppresses ox-LDL-elicited oxidative stress and senescence in HUVECs through the SIRT1-p66shc-Foxo3a pathways.

Applications

Unspecified application

Species

Unspecified reactive species

Huaping Zhang,Xuefen Pang,Haixia Yu,Hui Zhou
View all publications

Product promise

We are committed to supporting your work with high-quality reagents, and we're here for you every step of the way. In the unlikely event that one of our products does not perform as expected, you're protected by our Product Promise.
For full details, please see our Terms & Conditions

Please note: All products are 'FOR RESEARCH USE ONLY. NOT FOR USE IN DIAGNOSTIC OR THERAPEUTIC PROCEDURES'.

For licensing inquiries, please contact partnerships@abcam.com