JavaScript is disabled in your browser. Please enable JavaScript to view this website.
AB317439

Anti-14-3-3 zeta antibody [EPR27044-19] - BSA and Azide free

Be the first to review this product! Submit a review

|

(0 Publication)

Rabbit Recombinant Monoclonal 1433Z antibody. Carrier free. Suitable for WB, ICC/IF, Flow Cyt (Intra), IP and reacts with Recombinant full length protein - Human, Human, Mouse, Rat samples.

View Alternative Names

14-3-3 protein zeta/delta, Protein kinase C inhibitor protein 1, KCIP-1, YWHAZ

7 Images
Immunocytochemistry/ Immunofluorescence - Anti-14-3-3 zeta antibody [EPR27044-19] - BSA and Azide free (AB317439)
  • ICC/IF

Supplier Data

Immunocytochemistry/ Immunofluorescence - Anti-14-3-3 zeta antibody [EPR27044-19] - BSA and Azide free (AB317439)

This data was developed using ab317438, the same antibody clone in a different buffer formulation.

Immunofluorescent analysis of 100% methanol-fixed, 0.1% TritonX-100 permeabilized 293T (human embryonic kidney epithelial cell) cells labelling 14-3-3 zeta with ab317438 at 1/50 (9.86 ug/ml) dilution, followed by ab150081 Goat Anti-Rabbit IgG H&L (Alexa Fluor® 488) preadsorbed antibody at 1/1000 (2 ug/ml) dilution (Green).

Confocal image showing cytoplasmic staining in 293T cell line (shown in green). The counterstain was observed in magenta. Nuclear DNA was labeled with DAPI (shown in blue). Image was taken with a confocal microscope (Leica-Microsystems, TCS SP8).

ab195889 Anti-alpha Tubulin mouse monoclonal antibody - Microtubule Marker (Alexa Fluor® 594) was used to counterstain tubulin at 1/200 (2.5ug/ml) dilution (Magenta). The Nuclear counterstain was DAPI (Blue).

Secondary antibody only control : Secondary antibody is ab150081 Goat Anti-Rabbit IgG H&L (Alexa Fluor® 488) preadsorbed at 1/1000 (2 ug/ml) dilution.

Flow Cytometry (Intracellular) - Anti-14-3-3 zeta antibody [EPR27044-19] - BSA and Azide free (AB317439)
  • Flow Cyt (Intra)

Supplier Data

Flow Cytometry (Intracellular) - Anti-14-3-3 zeta antibody [EPR27044-19] - BSA and Azide free (AB317439)

This data was developed using ab317438, the same antibody clone in a different buffer formulation.

Flow cytometric analysis of 4% paraformaldehyde fixed 90% methanol permeabilized 293T (human embryonic kidney epithelial cell) cells labelling 14-3-3 zeta with ab317438 at 1/500 dilution (0.1ug)/Red compared with a Rabbit monoclonal IgG (ab172730) (Black) isotype control and an unlabelled control (cells without incubation with primary antibody and secondary antibody) (Blue).

Goat Anti-Rabbit IgG (Alexa Fluor® 488, ab150081) at 1/5000 dilution was used as the secondary antibody.

Immunoprecipitation - Anti-14-3-3 zeta antibody [EPR27044-19] - BSA and Azide free (AB317439)
  • IP

Supplier Data

Immunoprecipitation - Anti-14-3-3 zeta antibody [EPR27044-19] - BSA and Azide free (AB317439)

This data was developed using ab317438, the same antibody clone in a different buffer formulation.

14-3-3 zeta was immunoprecipitated from 0.35 mg 293T (human embryonic kidney epithelial cell) whole cell lysate with ab317438 at 1/30 dilution (2ug in 0.35mg lysates). Western blot was performed on the immunoprecipitate using ab317438 at 1/1000 dilution. VeriBlot for IP secondary antibody(HRP)(ab131366) was used at 1/5000 dilution.

Lane 1 : 293T (human embryonic kidney epithelial cell) whole cell lysate
Lane 2 : ab317438 IP in 293T (human embryonic kidney epithelial cell) whole cell lysate
Lane 3 : Rabbit monoclonal IgG (ab172730) instead of ab317438 in 293T whole cell lysate

All lanes:

Immunoprecipitation - Anti-14-3-3 zeta antibody [EPR27044-19] (<a href='/en-us/products/primary-antibodies/14-3-3-zeta-antibody-epr27044-19-ab317438'>ab317438</a>) at 1/30 dilution

All lanes:

293T (human embryonic kidney epithelial cell) whole cell lysate

Secondary

All lanes:

Immunoprecipitation - VeriBlot for IP Detection Reagent (HRP) (<a href='/en-us/products/reagents/veriblot-for-ip-detection-reagent-hrp-ab131366'>ab131366</a>) at 1/5000 dilution

false

Exposure time: 6s

Immunocytochemistry/ Immunofluorescence - Anti-14-3-3 zeta antibody [EPR27044-19] - BSA and Azide free (AB317439)
  • ICC/IF

Supplier Data

Immunocytochemistry/ Immunofluorescence - Anti-14-3-3 zeta antibody [EPR27044-19] - BSA and Azide free (AB317439)

This data was developed using ab317438, the same antibody clone in a different buffer formulation.

Immunofluorescent analysis of 100% methanol-fixed, 0.1% TritonX-100 permeabilized RAW 264.7 (mouse Abelson murine leukemia virus-induced tumor macrophage) cells labelling 14-3-3 zeta with ab317438 at 1/50 (9.86 ug/ml) dilution, followed by ab150081 Goat Anti-Rabbit IgG H&L (Alexa Fluor® 488) preadsorbed antibody at 1/1000 (2 ug/ml) dilution (Green).

Confocal image showing cytoplasmic staining in RAW 264.7 cell line (shown in green). The counterstain was observed in magenta. Nuclear DNA was labeled with DAPI (shown in blue). Image was taken with a confocal microscope (Leica-Microsystems, TCS SP8).

ab195889 Anti-alpha Tubulin mouse monoclonal antibody - Microtubule Marker (Alexa Fluor® 594) was used to counterstain tubulin at 1/200 (2.5ug/ml) dilution (Magenta). The Nuclear counterstain was DAPI (Blue).

Secondary antibody only control : Secondary antibody is ab150081 Goat Anti-Rabbit IgG H&L (Alexa Fluor® 488) preadsorbed at 1/1000 (2 ug/ml) dilution.

Western blot - Anti-14-3-3 zeta antibody [EPR27044-19] - BSA and Azide free (AB317439)
  • WB

Supplier Data

Western blot - Anti-14-3-3 zeta antibody [EPR27044-19] - BSA and Azide free (AB317439)

This data was developed using ab317438, the same antibody clone in a different buffer formulation.

In Western blot, Anti-GAPDH antibody [EPR16891] - Loading Control (ab181602) staining at 1/200000 dilution.

All lanes:

Western blot - Anti-14-3-3 zeta antibody [EPR27044-19] (<a href='/en-us/products/primary-antibodies/14-3-3-zeta-antibody-epr27044-19-ab317438'>ab317438</a>) at 1/1000 dilution

Lane 1:

293T (human embryonic kidney epithelial cell) transfected with scrambled siRNA control whole cell lysate at 5 µg with NFDM/TBST

Lane 2:

293T transfected with siRNA specifically targeting 14-3-3 zeta whole cell lysate at 5 µg with NFDM/TBST

Lane 3:

HeLa (human cervical adenocarcinoma epithelial cell) whole cell lysate at 20 µg with NFDM/TBST

Lane 4:

MCF7 (human breast adenocarcinoma epithelial cell) whole cell lysate at 20 µg with NFDM/TBST

Lane 5:

A549 (human lung carcinoma epithelial cell) whole cell lysate at 20 µg with NFDM/TBST

Lane 6:

SH-SY5Y (human neuroblastoma epithelial cell) whole cell lysate at 20 µg with NFDM/TBST

Lane 7:

Neuro-2a (mouse neuroblastoma neuroblast) whole cell lysate at 20 µg with NFDM/TBST

Lane 8:

RAW 264.7 (mouse Abelson murine leukemia virus-induced tumor macrophage) whole cell lysate at 20 µg with NFDM/TBST

Lane 9:

C6 (rat glial tumor glial cell) whole cell lysate at 20 µg with NFDM/TBST

Secondary

All lanes:

Western blot - Goat Anti-Rabbit IgG H&L (HRP) (<a href='/en-us/products/secondary-antibodies/goat-rabbit-igg-h-l-hrp-ab97051'>ab97051</a>) at 1/100000 dilution

Observed band size: 27 kDa,36 kDa

false

Exposure time: 8s

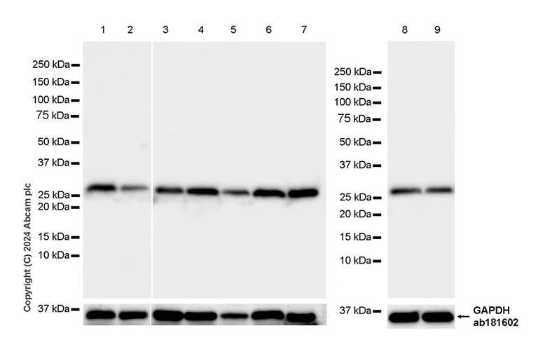
Western blot - Anti-14-3-3 zeta antibody [EPR27044-19] - BSA and Azide free (AB317439)
  • WB

Supplier Data

Western blot - Anti-14-3-3 zeta antibody [EPR27044-19] - BSA and Azide free (AB317439)

This data was developed using ab317438, the same antibody clone in a different buffer formulation.

Lanes 1-2 are applied with Goat Anti-Rabbit IgG, (H+L), Peroxidase conjugated (ab97051) at 1/100000 and lanes 3-4 are applied with Goat Anti-Rabbit IgG (HRP) with minimal cross-reactivity with human IgG at 1/2000.

In Western blot, Anti-GAPDH antibody [EPR16891] - Loading Control (ab181602) staining at 1/200000 dilution.

Exposure time : Lanes 1-2 : 8 seconds; lanes 3-4 : 1 second

All lanes:

Western blot - Anti-14-3-3 zeta antibody [EPR27044-19] (<a href='/en-us/products/primary-antibodies/14-3-3-zeta-antibody-epr27044-19-ab317438'>ab317438</a>) at 1/1000 dilution

Lane 1:

Mouse brain tissue lysate at 20 µg

Lane 2:

Rat brain tissue lysate at 20 µg

Lane 3:

Human lung cancer tissue lysate at 20 µg

Lane 4:

Human cerebellum tissue lysate at 20 µg

Secondary

Lanes 1 - 2:

Western blot - Goat Anti-Rabbit IgG H&L (HRP) (<a href='/en-us/products/secondary-antibodies/goat-rabbit-igg-h-l-hrp-ab97051'>ab97051</a>) at 1/100000 dilution

Lanes 3 - 4:

Goat Anti-Rabbit IgG (HRP) with minimal cross-reactivity with human IgG at 1/2000 dilution

Observed band size: 27 kDa,36 kDa

false

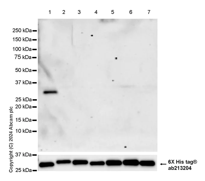
Western blot - Anti-14-3-3 zeta antibody [EPR27044-19] - BSA and Azide free (AB317439)
  • WB

Supplier Data

Western blot - Anti-14-3-3 zeta antibody [EPR27044-19] - BSA and Azide free (AB317439)

This data was developed using ab317438, the same antibody clone in a different buffer formulation.

This antibody does not cross-react with human 14-3-3 epsilon, 14-3-3 sigma, 14-3-3 eta, 14-3-3 gamma, 14-3-3 tau and 14-3-3 beta.

In Western blot, Anti-6X His tag® antibody [EPR20547] - ChIP Grade (ab213204) staining at 1/5000 dilution.

All lanes:

Western blot - Anti-14-3-3 zeta antibody [EPR27044-19] (<a href='/en-us/products/primary-antibodies/14-3-3-zeta-antibody-epr27044-19-ab317438'>ab317438</a>) at 1/1000 dilution

Lane 1:

His-tagged full-length human 14-3-3 zeta / YWHAZ recombinant protein at 10 ng with NFDM/TBST

Lane 2:

His-tagged full-length human 14-3-3 epsilon / YWHAE recombinant protein at 10 ng with NFDM/TBST

Lane 3:

His-tagged full-length human 14-3-3 sigma / YWHAS recombinant protein at 10 ng with NFDM/TBST

Lane 4:

His-tagged full-length human 14-3-3 eta / YWHAH recombinant protein at 10 ng with NFDM/TBST

Lane 5:

His-tagged full-length human 14-3-3 gamma / YWHAG recombinant protein at 10 ng with NFDM/TBST

Lane 6:

His-tagged full-length human 14-3-3 tau / YWHAQ recombinant protein at 10 ng with NFDM/TBST

Lane 7:

His-tagged full-length human 14-3-3 beta / YWHAB recombinant protein at 10 ng with NFDM/TBST

Secondary

All lanes:

Western blot - Goat Anti-Rabbit IgG H&L (HRP) (<a href='/en-us/products/secondary-antibodies/goat-rabbit-igg-h-l-hrp-ab97051'>ab97051</a>) at 1/100000 dilution

Observed band size: 27 kDa

false

Exposure time: 81s

Key facts

Host species

Rabbit

Clonality

Monoclonal

Clone number

EPR27044-19

Isotype

IgG

Carrier free

Yes

Reacts with

Human, Mouse, Rat

Applications

IP, ICC/IF, Flow Cyt (Intra), WB

applications

Immunogen

The exact immunogen used to generate this antibody is proprietary information.

Reactivity data

{ "title": "Reactivity Data", "filters": { "stats": ["", "Species", "Dilution Info", "Notes"], "tabs": { "all-applications": {"fullname" : "All Applications", "shortname": "All Applications"}, "WB" : {"fullname" : "Western blot", "shortname":"WB"}, "ICCIF" : {"fullname" : "Immunocytochemistry/ Immunofluorescence", "shortname":"ICC/IF"}, "FlowCytIntra" : {"fullname" : "Flow Cytometry (Intracellular)", "shortname":"Flow Cyt (Intra)"}, "IP" : {"fullname" : "Immunoprecipitation", "shortname":"IP"}, "IHCP" : {"fullname" : "Immunohistochemistry (Formalin/PFA-fixed paraffin-embedded sections)", "shortname":"IHC-P"} }, "product-promise": { "all": "all", "testedAndGuaranteed": "tested", "guaranteed": "expected", "predicted": "predicted", "notRecommended": "not-recommended" } }, "values": { "Human": { "WB-species-checked": "testedAndGuaranteed", "WB-species-dilution-info": "", "WB-species-notes": "<p></p>", "ICCIF-species-checked": "testedAndGuaranteed", "ICCIF-species-dilution-info": "", "ICCIF-species-notes": "<p></p>", "FlowCytIntra-species-checked": "testedAndGuaranteed", "FlowCytIntra-species-dilution-info": "", "FlowCytIntra-species-notes": "<p></p>", "IP-species-checked": "testedAndGuaranteed", "IP-species-dilution-info": "", "IP-species-notes": "<p></p>", "IHCP-species-checked": "notRecommended", "IHCP-species-dilution-info": "", "IHCP-species-notes": "<p></p>" }, "Mouse": { "WB-species-checked": "testedAndGuaranteed", "WB-species-dilution-info": "", "WB-species-notes": "<p></p>", "ICCIF-species-checked": "testedAndGuaranteed", "ICCIF-species-dilution-info": "", "ICCIF-species-notes": "<p></p>", "FlowCytIntra-species-checked": "guaranteed", "FlowCytIntra-species-dilution-info": "", "FlowCytIntra-species-notes": "", "IP-species-checked": "guaranteed", "IP-species-dilution-info": "", "IP-species-notes": "", "IHCP-species-checked": "notRecommended", "IHCP-species-dilution-info": "", "IHCP-species-notes": "<p></p>" }, "Rat": { "WB-species-checked": "testedAndGuaranteed", "WB-species-dilution-info": "", "WB-species-notes": "<p></p>", "ICCIF-species-checked": "guaranteed", "ICCIF-species-dilution-info": "", "ICCIF-species-notes": "", "FlowCytIntra-species-checked": "guaranteed", "FlowCytIntra-species-dilution-info": "", "FlowCytIntra-species-notes": "", "IP-species-checked": "guaranteed", "IP-species-dilution-info": "", "IP-species-notes": "", "IHCP-species-checked": "notRecommended", "IHCP-species-dilution-info": "", "IHCP-species-notes": "<p></p>" }, "Recombinant full length protein - Human": { "WB-species-checked": "testedAndGuaranteed", "WB-species-dilution-info": "", "WB-species-notes": "<p></p>", "ICCIF-species-checked": "notRecommended", "ICCIF-species-dilution-info": "", "ICCIF-species-notes": "", "FlowCytIntra-species-checked": "notRecommended", "FlowCytIntra-species-dilution-info": "", "FlowCytIntra-species-notes": "", "IP-species-checked": "notRecommended", "IP-species-dilution-info": "", "IP-species-notes": "", "IHCP-species-checked": "notRecommended", "IHCP-species-dilution-info": "", "IHCP-species-notes": "" } } }

Product details

ab317439 is the carrirer-free version of ab317438.

Patented technology
Our RabMAb® technology is a patented hybridoma-based technology for making rabbit monoclonal antibodies. For details on our patents, please refer to RabMAb® patents.

What are the advantages of a recombinant monoclonal antibody?
This product is a recombinant monoclonal antibody, which offers several advantages including:

  • - High batch-to-batch consistency and reproducibility
  • - Improved sensitivity and specificity
  • - Long-term security of supply
  • - Animal-free batch production

For more information, read more on recombinant antibodies.

Conjugation ready
Our carrier-free antibodies are typically supplied in a PBS-only formulation, purified and free of BSA, sodium azide and glycerol. This conjugation-ready format is designed for use with fluorochromes, metal isotopes, oligonucleotides, and enzymes, which makes them ideal for antibody labelling, functional and cell-based assays, flow-based assays (e.g. mass cytometry) and Multiplex Imaging applications.

Use our conjugation kits for antibody conjugates that are ready-to-use in as little as 20 minutes with 1 minute hands-on-time and 100% antibody recovery: available for fluorescent dyes, HRP, biotin and gold.

Compatibility
This product is compatible with the Maxpar® Antibody Labeling Kit from Fluidigm, without the need for antibody preparation. Maxpar® is a trademark of Fluidigm Canada Inc.

Properties and storage information

Form
Liquid
Purification technique
Affinity purification Protein A
Storage buffer
pH: 7.2 - 7.4 Constituents: PBS
Shipped at conditions
Blue Ice
Appropriate short-term storage conditions
+4°C
Appropriate long-term storage conditions
+4°C

Supplementary information

This supplementary information is collated from multiple sources and compiled automatically.

The 14-3-3 zeta protein also known as 14-3-3 protein zeta/delta and 1433 protein belongs to the 14-3-3 protein family. These proteins have a molecular weight of around 28-33 kDa. 14-3-3 zeta proteins are expressed across various human tissues including the brain heart and muscles. Mechanically the 14-3-3 zeta protein interacts with different phosphorylated serine and threonine residues on its target proteins. This binding modulates the target proteins' conformation and activity influencing their function in cellular signaling and regulation.
Biological function summary

The 14-3-3 zeta protein plays an important role in several cellular processes. It acts as an adapter in signal transduction pathways and cell cycle control. Additionally the 14-3-3 zeta protein forms complexes with other proteins to regulate apoptosis and stress responses. By binding to various partners this protein influences the distribution and localization of proteins within the cell affecting diverse functions such as metabolism and cell growth.

Pathways

The 14-3-3 zeta protein participates actively in two primary pathways: the MAPK/ERK and PI3K/AKT pathways. Within the MAPK/ERK pathway it influences cellular differentiation and proliferation interacting closely with proteins like Raf and MEK. In the PI3K/AKT pathway 14-3-3 zeta affects cell survival working alongside proteins such as AKT and Bad. These interactions make 14-3-3 zeta a significant player in the regulation of cellular processes.

14-3-3 zeta protein has been connected with neurodegenerative diseases and cancer. Altered expression or function of this protein has been observed in conditions like Alzheimer's disease where it interacts with tau protein and in various cancers where 14-3-3 zeta impacts tumor progression by modulating the function of proteins like p53 and Rb. Understanding these interactions helps in exploring therapeutic strategies for disease intervention.

Product protocols

For this product, it's our understanding that no specific protocols are required. You can visit:

Target data

Adapter protein implicated in the regulation of a large spectrum of both general and specialized signaling pathways (PubMed : 14578935, PubMed : 15071501, PubMed : 15644438, PubMed : 16376338, PubMed : 16959763, PubMed : 31024343, PubMed : 9360956). Binds to a large number of partners, usually by recognition of a phosphoserine or phosphothreonine motif (PubMed : 35662396). Binding generally results in the modulation of the activity of the binding partner (PubMed : 35662396). Promotes cytosolic retention and inactivation of TFEB transcription factor by binding to phosphorylated TFEB (PubMed : 35662396). Induces ARHGEF7 activity on RAC1 as well as lamellipodia and membrane ruffle formation (PubMed : 16959763). In neurons, regulates spine maturation through the modulation of ARHGEF7 activity (By similarity).
See full target information 14-3-3 protein zeta/delta

Product promise

We are committed to supporting your work with high-quality reagents, and we're here for you every step of the way. In the unlikely event that one of our products does not perform as expected, you're protected by our Product Promise.
For full details, please see our Terms & Conditions

Please note: All products are 'FOR RESEARCH USE ONLY. NOT FOR USE IN DIAGNOSTIC OR THERAPEUTIC PROCEDURES'.

For licensing inquiries, please contact partnerships@abcam.com