JavaScript is disabled in your browser. Please enable JavaScript to view this website.
AB242062

Anti-15 Lipoxygenase 1 antibody [EPR22136]

Be the first to review this product! Submit a review

|

(3 Publications)

Rabbit Recombinant Monoclonal 15 Lipoxygenase 1 antibody. Suitable for IHC-P and reacts with Human samples. Cited in 3 publications.

View Alternative Names

LOG15, ALOX15, Polyunsaturated fatty acid lipoxygenase ALOX15, 12/15-lipoxygenase, Arachidonate 15-lipoxygenase, Arachidonate omega-6 lipoxygenase, Hepoxilin A3 synthase Alox15, Linoleate 13S-lipoxygenase, 12-LOX, 15-LOX, 15-LOX-1

2 Images
Immunohistochemistry (Formalin/PFA-fixed paraffin-embedded sections) - Anti-15 Lipoxygenase 1 antibody [EPR22136] (AB242062)
  • IHC-P

Supplier Data

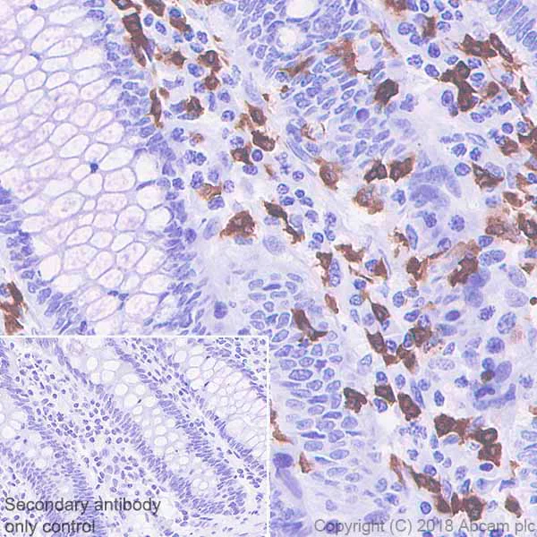
Immunohistochemistry (Formalin/PFA-fixed paraffin-embedded sections) - Anti-15 Lipoxygenase 1 antibody [EPR22136] (AB242062)

Immunohistochemical analysis of paraffin-embedded human colon tissue labeling 15 Lipoxygenase 1 with ab242062 at 1/4000 dilution, followed by a ready to use Goat Anti-Rabbit IgG H&L (HRP). Positive staining in eosinophils of human colon (PMID : 30118527; PMID : 23503644) is observed. Counterstained with hematoxylin.
Secondary antibody only control : Used PBS instead of primary antibody, secondary antibody is a ready to use Goat Anti-Rabbit IgG H&L (HRP).
Perform heat mediated antigen retrieval using ab93684 (Tris/EDTA buffer, pH 9.0).

Immunohistochemistry (Formalin/PFA-fixed paraffin-embedded sections) - Anti-15 Lipoxygenase 1 antibody [EPR22136] (AB242062)
  • IHC-P

Supplier Data

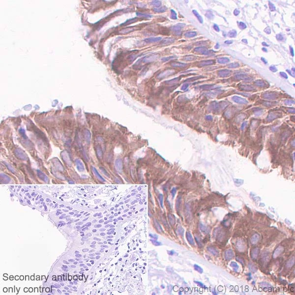
Immunohistochemistry (Formalin/PFA-fixed paraffin-embedded sections) - Anti-15 Lipoxygenase 1 antibody [EPR22136] (AB242062)

Immunohistochemical analysis of paraffin-embedded human bronchia tissue labeling 15 Lipoxygenase 1 with ab242062 at 1/4000 dilution, followed by a ready to use Goat Anti-Rabbit IgG H&L (HRP). Positive staining in epithelial cells of human bronchia (PMID : 24036245; PMID : 21831839) is observed. Counterstained with hematoxylin.
Secondary antibody only control : Used PBS instead of primary antibody, secondary antibody is a ready to use Goat Anti-Rabbit IgG H&L (HRP).
Perform heat mediated antigen retrieval using ab93684 (Tris/EDTA buffer, pH 9.0).

  • Carrier free

    Anti-15 Lipoxygenase 1 antibody [EPR22136] - BSA and Azide free

Key facts

Host species

Rabbit

Clonality

Monoclonal

Clone number

EPR22136

Isotype

IgG

Carrier free

No

Reacts with

Human

Applications

IHC-P

applications

Immunogen

The exact immunogen used to generate this antibody is proprietary information.

Reactivity data

{ "title": "Reactivity Data", "filters": { "stats": ["", "Species", "Dilution Info", "Notes"], "tabs": { "all-applications": {"fullname" : "All Applications", "shortname": "All Applications"}, "WB" : {"fullname" : "Western blot", "shortname":"WB"}, "IHCP" : {"fullname" : "Immunohistochemistry (Formalin/PFA-fixed paraffin-embedded sections)", "shortname":"IHC-P"}, "IP" : {"fullname" : "Immunoprecipitation", "shortname":"IP"} }, "product-promise": { "all": "all", "testedAndGuaranteed": "tested", "guaranteed": "expected", "predicted": "predicted", "notRecommended": "not-recommended" } }, "values": { "Human": { "WB-species-checked": "notRecommended", "WB-species-dilution-info": "1/1000", "WB-species-notes": "<p></p>", "IHCP-species-checked": "testedAndGuaranteed", "IHCP-species-dilution-info": "1/4000", "IHCP-species-notes": "<p></p> Perform heat-mediated antigen retrieval with Tris/EDTA buffer pH 9.0 before commencing with IHC staining protocol.", "IP-species-checked": "notRecommended", "IP-species-dilution-info": "", "IP-species-notes": "<p></p>" }, "Transfected cell lysate": { "WB-species-checked": "notRecommended", "WB-species-dilution-info": "1/1000", "WB-species-notes": "<p></p>", "IHCP-species-checked": "notRecommended", "IHCP-species-dilution-info": "", "IHCP-species-notes": "", "IP-species-checked": "notRecommended", "IP-species-dilution-info": "", "IP-species-notes": "" } } }

Product details

Patented technology
Our RabMAb® technology is a patented hybridoma-based technology for making rabbit monoclonal antibodies. For details on our patents, please refer to RabMAb® patents.

What are the advantages of a recombinant monoclonal antibody?
This product is a recombinant monoclonal antibody, which offers several advantages including:

  • - High batch-to-batch consistency and reproducibility
  • - Improved sensitivity and specificity
  • - Long-term security of supply
  • - Animal-free batch production

For more information, read more on recombinant antibodies.

Properties and storage information

Form
Liquid
Purification technique
Affinity purification Protein A
Storage buffer
pH: 7.2 - 7.4 Preservative: 0.01% Sodium azide Constituents: PBS, 40% Glycerol (glycerin, glycerine), 0.05% BSA
Shipped at conditions
Blue Ice
Appropriate short-term storage duration
1-2 weeks
Appropriate short-term storage conditions
+4°C
Appropriate long-term storage conditions
-20°C
Aliquoting information
Upon delivery aliquot
Storage information
Avoid freeze / thaw cycle

Supplementary information

This supplementary information is collated from multiple sources and compiled automatically.

15-Lipoxygenase 1 also known as 15-LOX-1 is an enzyme with significant mechanical roles in the human body. Its main function is to catalyze the oxidation of fatty acids especially converting arachidonic acid to 15-hydroperoxyeicosatetraenoic acid (15-HPETE). The protein has other names like arachidonate 15-lipoxygenase or 15-LO. The molecular weight of 15-LOX-1 is approximately 75 kDa. It is mainly expressed in cells of the reticulocyte and tracheobronchial epithelium as well as in macrophages and eosinophils.
Biological function summary

15-Lipoxygenase 1 plays a role in the immune and inflammatory responses. It is involved in lipid mediator biosynthesis producing reactive lipids that influence cell signaling and modulate reactions to inflammation. 15-LOX-1 acts as part of a complex with other enzymes within the lipoxygenase family which includes 5-lipoxygenase and 12-lipoxygenase. This enzyme can also be important for cell maturity and has roles in cell differentiation and maturation particularly in inflamed tissues.

Pathways

Several significant processes involve 15-Lipoxygenase 1 especially its part in the arachidonic acid metabolism and the linoleic acid pathway. In these pathways 15-LOX-1 transforms substances into various lipid signaling molecules like lipoxins and resolvins. These molecules have connections with other proteins like cyclooxygenase-2 (COX-2) and 5-LO which participate in the synthesis of other eicosanoids. The interplay of these pathways and proteins helps in regulating inflammation and resolving it ensuring a balanced biological response to stimuli.

15-Lipoxygenase 1 has associations with conditions including asthma and atherosclerosis. In asthma the enzyme contributes to the inflammatory changes observed in affected airways. Its involvement in this respiratory disorder links it with proteins such as LTC4 synthase that generate pro-inflammatory leukotrienes. In atherosclerosis 15-LOX-1 interacts with oxidized low-density lipoprotein (LDL) in arterial walls which contributes to plaque formation and the associated chronic inflammation. These roles reveal the enzyme's significance in both chronic inflammation and cardiovascular disease settings.

Product protocols

For this product, it's our understanding that no specific protocols are required. You can visit:

Target data

Non-heme iron-containing dioxygenase that catalyzes the stereo-specific peroxidation of free and esterified polyunsaturated fatty acids generating a spectrum of bioactive lipid mediators (PubMed : 17052953, PubMed : 1944593, PubMed : 24282679, PubMed : 25293588, PubMed : 32404334, PubMed : 8334154). It inserts peroxyl groups at C12 or C15 of arachidonate ((5Z,8Z,11Z,14Z)-eicosatetraenoate) producing both 12-hydroperoxyeicosatetraenoate/12-HPETE and 15-hydroperoxyeicosatetraenoate/15-HPETE (PubMed : 17052953, PubMed : 1944593, PubMed : 24282679, PubMed : 8334154). It may then act on 12-HPETE to produce hepoxilins, which may show pro-inflammatory properties (By similarity). Can also peroxidize linoleate ((9Z,12Z)-octadecadienoate) to 13-hydroperoxyoctadecadienoate/13-HPODE (PubMed : 8334154). May participate in the sequential oxidations of DHA ((4Z,7Z,10Z,13Z,16Z,19Z)-docosahexaenoate) to generate specialized pro-resolving mediators (SPMs)like resolvin D5 ((7S,17S)-diHPDHA) and (7S,14S)-diHPDHA, that actively down-regulate the immune response and have anti-aggregation properties with platelets (PubMed : 32404334). Can convert epoxy fatty acids to hydroperoxy-epoxides derivatives followed by an intramolecular nucleophilic substitution leading to the formation of monocyclic endoperoxides (PubMed : 25293588). Plays an important role during the maintenance of self-tolerance by peroxidizing membrane-bound phosphatidylethanolamine which can then signal the sorting process for clearance of apoptotic cells during inflammation and prevent an autoimmune response. In addition to its role in the immune and inflammatory responses, this enzyme may play a role in epithelial wound healing in the cornea through production of lipoxin A4 (LXA(4)) and docosahexaenoic acid-derived neuroprotectin D1 (NPD1; 10R,17S-HDHA), both lipid autacoids exhibit anti-inflammatory and neuroprotective properties. Furthermore, it may regulate actin polymerization which is crucial for several biological processes such as the phagocytosis of apoptotic cells. It is also implicated in the generation of endogenous ligands for peroxisome proliferator activated receptor (PPAR-gamma), hence modulating macrophage development and function. It may also exert a negative effect on skeletal development by regulating bone mass through this pathway. As well as participates in ER stress and downstream inflammation in adipocytes, pancreatic islets, and liver (By similarity). Finally, it is also involved in the cellular response to IL13/interleukin-13 (PubMed : 21831839).
See full target information ALOX15

Publications (3)

Recent publications for all applications. Explore the full list and refine your search

Advanced science (Weinheim, Baden-Wurttemberg, Germany) 11:e2405318 PubMed39356034

2024

Targeting Immunoproteasome in Polarized Macrophages Ameliorates Experimental Emphysema Via Activating NRF1/2-P62 Axis and Suppressing IRF4 Transcription.

Applications

Unspecified application

Species

Unspecified reactive species

Bingxin Guo,Xing Shi,Qiong Jiang,Yuanwei Pan,Yuqiong Yang,Yuanyuan Liu,Shuyu Chen,Wenjiao Zhu,Laibin Ren,Ruifang Liang,Xue Chen,Haizhao Xu,Laiyou Wei,Yongjian Lin,Jinyong Wang,Chen Qiu,Haibo Zhou,Lang Rao,Lingwei Wang,Rongchang Chen,Shanze Chen

OncoTargets and therapy 16:867-883 PubMed37915320

2023

B7 Induces Apoptosis in Colorectal Cancer Cells by Regulating the Expression of Caspase-3 and Inhibits Autophagy.

Applications

Unspecified application

Species

Unspecified reactive species

Xinyi Zhang,Fengxi Li,Rong Li,Nan Zhao,Dianfeng Liu,Yuelin Xu,Lei Wang,Dongxu Wang,Ruihong Zhao

Frontiers in cell and developmental biology 9:719187 PubMed34765600

2021

Transcriptional Repression of Ferritin Light Chain Increases Ferroptosis Sensitivity in Lung Adenocarcinoma.

Applications

Unspecified application

Species

Unspecified reactive species

Yikun Wang,Shiyu Qiu,Hong Wang,Jiangtao Cui,Xiaoting Tian,Yayou Miao,Congcong Zhang,Leiqun Cao,Lifang Ma,Xin Xu,Yongxia Qiao,Xiao Zhang
View all publications

Product promise

We are committed to supporting your work with high-quality reagents, and we're here for you every step of the way. In the unlikely event that one of our products does not perform as expected, you're protected by our Product Promise.
For full details, please see our Terms & Conditions

Please note: All products are 'FOR RESEARCH USE ONLY. NOT FOR USE IN DIAGNOSTIC OR THERAPEUTIC PROCEDURES'.

For licensing inquiries, please contact partnerships@abcam.com