JavaScript is disabled in your browser. Please enable JavaScript to view this website.
AB243555

Anti-15 Lipoxygenase 1 antibody [EPR22136] - BSA and Azide free

Be the first to review this product! Submit a review

|

(1 Publication)

Rabbit Recombinant Monoclonal 15 Lipoxygenase 1 antibody. Carrier free. Suitable for IHC-P and reacts with Human samples. Cited in 1 publication.

View Alternative Names

LOG15, ALOX15, Polyunsaturated fatty acid lipoxygenase ALOX15, 12/15-lipoxygenase, Arachidonate 15-lipoxygenase, Arachidonate omega-6 lipoxygenase, Hepoxilin A3 synthase Alox15, Linoleate 13S-lipoxygenase, 12-LOX, 15-LOX, 15-LOX-1

2 Images
Immunohistochemistry (Formalin/PFA-fixed paraffin-embedded sections) - Anti-15 Lipoxygenase 1 antibody [EPR22136] - BSA and Azide free (AB243555)
  • IHC-P

Supplier Data

Immunohistochemistry (Formalin/PFA-fixed paraffin-embedded sections) - Anti-15 Lipoxygenase 1 antibody [EPR22136] - BSA and Azide free (AB243555)

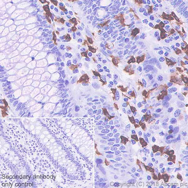
Immunohistochemical analysis of paraffin-embedded human colon tissue labeling 15 Lipoxygenase 1 with ab242062 at 1/4000 dilution, followed by a ready to use Goat Anti-Rabbit IgG H&L (HRP). Positive staining in eosinophils of human colon (PMID : 30118527; PMID : 23503644) is observed. Counterstained with hematoxylin.
Secondary antibody only control : Used PBS instead of primary antibody, secondary antibody is a ready to use Goat Anti-Rabbit IgG H&L (HRP).
Perform heat mediated antigen retrieval using ab93684 (Tris/EDTA buffer, pH 9.0).

This data was developed using the same antibody clone in a different buffer formulation containing PBS, BSA, glycerol, and sodium azide (ab242062).

Immunohistochemistry (Formalin/PFA-fixed paraffin-embedded sections) - Anti-15 Lipoxygenase 1 antibody [EPR22136] - BSA and Azide free (AB243555)
  • IHC-P

Supplier Data

Immunohistochemistry (Formalin/PFA-fixed paraffin-embedded sections) - Anti-15 Lipoxygenase 1 antibody [EPR22136] - BSA and Azide free (AB243555)

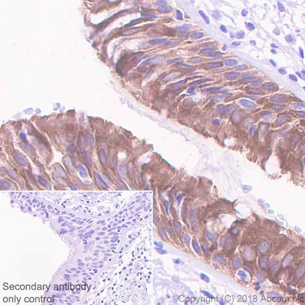
Immunohistochemical analysis of paraffin-embedded human bronchia tissue labeling 15 Lipoxygenase 1 with ab242062 at 1/4000 dilution, followed by a ready to use Goat Anti-Rabbit IgG H&L (HRP). Positive staining in epithelial cells of human bronchia (PMID : 24036245; PMID : 21831839) is observed. Counterstained with hematoxylin.
Secondary antibody only control : Used PBS instead of primary antibody, secondary antibody is a ready to use Goat Anti-Rabbit IgG H&L (HRP).
Perform heat mediated antigen retrieval using ab93684 (Tris/EDTA buffer, pH 9.0).This data was developed using the same antibody clone in a different buffer formulation containing PBS, BSA, glycerol, and sodium azide (ab242062).

Key facts

Host species

Rabbit

Clonality

Monoclonal

Clone number

EPR22136

Isotype

IgG

Carrier free

Yes

Reacts with

Human

Applications

IHC-P

applications

Immunogen

The exact immunogen used to generate this antibody is proprietary information.

Reactivity data

{ "title": "Reactivity Data", "filters": { "stats": ["", "Species", "Dilution Info", "Notes"], "tabs": { "all-applications": {"fullname" : "All Applications", "shortname": "All Applications"}, "IP" : {"fullname" : "Immunoprecipitation", "shortname":"IP"}, "WB" : {"fullname" : "Western blot", "shortname":"WB"}, "IHCP" : {"fullname" : "Immunohistochemistry (Formalin/PFA-fixed paraffin-embedded sections)", "shortname":"IHC-P"} }, "product-promise": { "all": "all", "testedAndGuaranteed": "tested", "guaranteed": "expected", "predicted": "predicted", "notRecommended": "not-recommended" } }, "values": { "Human": { "IP-species-checked": "notRecommended", "IP-species-dilution-info": "", "IP-species-notes": "<p></p>", "WB-species-checked": "notRecommended", "WB-species-dilution-info": "", "WB-species-notes": "<p></p>", "IHCP-species-checked": "testedAndGuaranteed", "IHCP-species-dilution-info": "", "IHCP-species-notes": "<p></p>" } } }

Product details

ab243555 is the carrier-free version of ab242062.

Patented technology
Our RabMAb® technology is a patented hybridoma-based technology for making rabbit monoclonal antibodies. For details on our patents, please refer to RabMAb® patents.

What are the advantages of a recombinant monoclonal antibody?
This product is a recombinant monoclonal antibody, which offers several advantages including:

  • - High batch-to-batch consistency and reproducibility
  • - Improved sensitivity and specificity
  • - Long-term security of supply
  • - Animal-free batch production

For more information, read more on recombinant antibodies.

Conjugation ready
Our carrier-free antibodies are typically supplied in a PBS-only formulation, purified and free of BSA, sodium azide and glycerol. This conjugation-ready format is designed for use with fluorochromes, metal isotopes, oligonucleotides, and enzymes, which makes them ideal for antibody labelling, functional and cell-based assays, flow-based assays (e.g. mass cytometry) and Multiplex Imaging applications.

Use our conjugation kits for antibody conjugates that are ready-to-use in as little as 20 minutes with 1 minute hands-on-time and 100% antibody recovery: available for fluorescent dyes, HRP, biotin and gold.

Compatibility
This product is compatible with the Maxpar® Antibody Labeling Kit from Fluidigm, without the need for antibody preparation. Maxpar® is a trademark of Fluidigm Canada Inc.

Properties and storage information

Form
Liquid
Purification technique
Affinity purification Protein A
Storage buffer
pH: 7.2 - 7.4 Constituents: PBS
Shipped at conditions
Blue Ice
Appropriate short-term storage conditions
+4°C
Appropriate long-term storage conditions
+4°C
Storage information
Do Not Freeze

Supplementary information

This supplementary information is collated from multiple sources and compiled automatically.

15-Lipoxygenase 1 also known as 15-LOX-1 is an enzyme with significant mechanical roles in the human body. Its main function is to catalyze the oxidation of fatty acids especially converting arachidonic acid to 15-hydroperoxyeicosatetraenoic acid (15-HPETE). The protein has other names like arachidonate 15-lipoxygenase or 15-LO. The molecular weight of 15-LOX-1 is approximately 75 kDa. It is mainly expressed in cells of the reticulocyte and tracheobronchial epithelium as well as in macrophages and eosinophils.
Biological function summary

15-Lipoxygenase 1 plays a role in the immune and inflammatory responses. It is involved in lipid mediator biosynthesis producing reactive lipids that influence cell signaling and modulate reactions to inflammation. 15-LOX-1 acts as part of a complex with other enzymes within the lipoxygenase family which includes 5-lipoxygenase and 12-lipoxygenase. This enzyme can also be important for cell maturity and has roles in cell differentiation and maturation particularly in inflamed tissues.

Pathways

Several significant processes involve 15-Lipoxygenase 1 especially its part in the arachidonic acid metabolism and the linoleic acid pathway. In these pathways 15-LOX-1 transforms substances into various lipid signaling molecules like lipoxins and resolvins. These molecules have connections with other proteins like cyclooxygenase-2 (COX-2) and 5-LO which participate in the synthesis of other eicosanoids. The interplay of these pathways and proteins helps in regulating inflammation and resolving it ensuring a balanced biological response to stimuli.

15-Lipoxygenase 1 has associations with conditions including asthma and atherosclerosis. In asthma the enzyme contributes to the inflammatory changes observed in affected airways. Its involvement in this respiratory disorder links it with proteins such as LTC4 synthase that generate pro-inflammatory leukotrienes. In atherosclerosis 15-LOX-1 interacts with oxidized low-density lipoprotein (LDL) in arterial walls which contributes to plaque formation and the associated chronic inflammation. These roles reveal the enzyme's significance in both chronic inflammation and cardiovascular disease settings.

Product protocols

For this product, it's our understanding that no specific protocols are required. You can visit:

Target data

Non-heme iron-containing dioxygenase that catalyzes the stereo-specific peroxidation of free and esterified polyunsaturated fatty acids generating a spectrum of bioactive lipid mediators (PubMed : 17052953, PubMed : 1944593, PubMed : 24282679, PubMed : 25293588, PubMed : 32404334, PubMed : 8334154). It inserts peroxyl groups at C12 or C15 of arachidonate ((5Z,8Z,11Z,14Z)-eicosatetraenoate) producing both 12-hydroperoxyeicosatetraenoate/12-HPETE and 15-hydroperoxyeicosatetraenoate/15-HPETE (PubMed : 17052953, PubMed : 1944593, PubMed : 24282679, PubMed : 8334154). It may then act on 12-HPETE to produce hepoxilins, which may show pro-inflammatory properties (By similarity). Can also peroxidize linoleate ((9Z,12Z)-octadecadienoate) to 13-hydroperoxyoctadecadienoate/13-HPODE (PubMed : 8334154). May participate in the sequential oxidations of DHA ((4Z,7Z,10Z,13Z,16Z,19Z)-docosahexaenoate) to generate specialized pro-resolving mediators (SPMs)like resolvin D5 ((7S,17S)-diHPDHA) and (7S,14S)-diHPDHA, that actively down-regulate the immune response and have anti-aggregation properties with platelets (PubMed : 32404334). Can convert epoxy fatty acids to hydroperoxy-epoxides derivatives followed by an intramolecular nucleophilic substitution leading to the formation of monocyclic endoperoxides (PubMed : 25293588). Plays an important role during the maintenance of self-tolerance by peroxidizing membrane-bound phosphatidylethanolamine which can then signal the sorting process for clearance of apoptotic cells during inflammation and prevent an autoimmune response. In addition to its role in the immune and inflammatory responses, this enzyme may play a role in epithelial wound healing in the cornea through production of lipoxin A4 (LXA(4)) and docosahexaenoic acid-derived neuroprotectin D1 (NPD1; 10R,17S-HDHA), both lipid autacoids exhibit anti-inflammatory and neuroprotective properties. Furthermore, it may regulate actin polymerization which is crucial for several biological processes such as the phagocytosis of apoptotic cells. It is also implicated in the generation of endogenous ligands for peroxisome proliferator activated receptor (PPAR-gamma), hence modulating macrophage development and function. It may also exert a negative effect on skeletal development by regulating bone mass through this pathway. As well as participates in ER stress and downstream inflammation in adipocytes, pancreatic islets, and liver (By similarity). Finally, it is also involved in the cellular response to IL13/interleukin-13 (PubMed : 21831839).
See full target information ALOX15

Publications (1)

Recent publications for all applications. Explore the full list and refine your search

World journal of surgical oncology 20:350 PubMed36280841

2022

Loss of NPM2 expression is a potential immunohistochemical marker for malignant peritoneal mesothelioma: a single-center study of 92 cases.

Applications

Unspecified application

Species

Unspecified reactive species

He-Liang Wu,Zhi-Ran Yang,Yan-Dong Su,Ru Ma,Xue-Mei Du,Ying Gao,Yan Li
View all publications

Product promise

We are committed to supporting your work with high-quality reagents, and we're here for you every step of the way. In the unlikely event that one of our products does not perform as expected, you're protected by our Product Promise.
For full details, please see our Terms & Conditions

Please note: All products are 'FOR RESEARCH USE ONLY. NOT FOR USE IN DIAGNOSTIC OR THERAPEUTIC PROCEDURES'.

For licensing inquiries, please contact partnerships@abcam.com